La protrusión dental, popularmente conocida como "dientes de conejo", es una condición donde los dientes superiores sobresalen significativamente por delante de los inferiores. Esta peculiaridad dental, que a menudo llama la atención, ha sido objeto de curiosidad y debate en el mundo de la odontología y la estética dental.

¿Qué son los Dientes de Conejo?
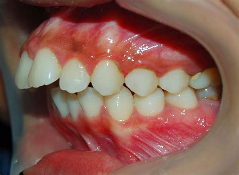
La protrusión dental se presenta cuando los dientes superiores quedan muy por delante de los inferiores. Las personas que lo padecen suelen tener dificultad para cerrar bien los labios y los dientes quedan más salidos.
La protrusión dental también es llamada sonrisa de dientes de conejo. Es una afección muy común en niños, que consiste en que los incisivos superiores quedan muy por delante de los inferiores. Estos pueden ser más grandes que los demás dientes y a su vez estar apiñados.
Las personas que lo padecen en muchos casos tienen dificultades para cerrar por completo los labios, ya que los dientes tienen una gran inclinación hacia adelante o afuera. Esto, a su vez, genera como consecuencia que los dientes superiores no encajen correctamente con los inferiores.
También puede ocurrir que no solo los dientes superiores estén adelantados, sino también la mandíbula superior de la inferior.
En casos en los que los dientes de conejo causen preocupaciones significativas, existen opciones de tratamiento disponibles, que pueden incluir ortodoncia o cirugía maxilofacial, dependiendo de la gravedad del problema.
Características Clave de los Dientes de Conejo:
- Variabilidad en el Grado: La intensidad de esta característica varía de persona a persona.
- Impacto en la Estética: Esta característica puede afectar la apariencia estética de una persona y su autoestima.
- Opciones de Tratamiento: En casos en que los dientes de conejo causen problemas funcionales o estéticos significativos, los tratamientos ortodónticos, como los frenos, pueden ser una solución.
Si bien los dientes de conejo pueden ser una peculiaridad intrigante, también pueden tener implicaciones estéticas y funcionales.
Identificación de los Dientes de Conejo
- Observación Visual: La forma más obvia de identificar los dientes de conejo es mediante una simple observación visual. Los incisivos centrales superiores sobresalen más allá de los labios, lo que crea una apariencia similar a la de los dientes frontales de un conejo.
- Análisis de la Mordida: En una mordida normal, los incisivos superiores e inferiores se alinean de manera uniforme cuando se cierra la boca.
- Evaluación Dental Profesional: Un dentista u ortodoncista puede confirmar la presencia de dientes de conejo mediante una evaluación dental más detallada. Esto incluirá inspeccionar la mordida, medir la protrusión de los incisivos superiores y evaluar la salud dental en general.
Tratamiento Ortodóncico de dientes adelantados sin extracciones (Clase II esquelética)
Causas de la Protrusión Dental
Existen varias razones por las cuales una persona puede tener los dientes salidos o la sonrisa de conejo. A continuación, mencionamos las más frecuentes.

Causas Genéticas
Una de las razones por las que un adulto padece protrusión dental es:
- La maloclusión del maxilar II: Este es un factor genético que provoca los dientes salidos. El maxilar superior está más adelantado que el inferior, haciendo que los dientes no encajen. En algunas personas, los incisivos superiores pueden llegar a sobresalir hasta un centímetro de los inferiores.
- Mandíbula retraída: Otra posibilidad es que la mandíbula esté retraída. Si este es el caso, puede causar que el maxilar esté adelantado.
- La deglución atípica: La deglución atípica, o la colocación inadecuada de la lengua en el momento de tragar, es otro factor genético que en algunas personas provoca protrusión dental. En este caso, la lengua presiona los dientes superiores y por ese motivo se terminan desplazando hacia delante.
Hábitos que Pueden Causar Protrusión Dental
El segundo motivo más común de los dientes salidos es por chuparse el dedo, el cual suele ocurrir en niños y niñas. Al “hacer la pipa”, se hace presión con el dedo hacia la parte interior de los dientes superiores, empujándolos hacia afuera.
Otro hábito que puede provocar esta patología es morderse las uñas. Al realizar esto, se ejerce una fuerza que, con el tiempo, puede acabar provocando los dientes salidos.
La succión labial es el hábito de morderse los labios con los dientes, normalmente superiores. Por ese motivo, se terminan empujando hacia afuera y en algunos casos, la persona termina con los dientes salidos.
También puede generarse por distintas causas como:
- Succión del dedo: cuando los niños se chupan el dedo o hacen la acción de succionar con la boca constantemente, es posible que desarrolle algún problema de alineamiento dental como la protrusión.
- Por empujar los incisivos con la lengua: Muchas personas tienen el mal hábito de empujar los incisivos hacia afuera con la lengua. Esto hace que los dientes se desplacen y tomen una posición inadecuada.
- Succión labial: se interpone el labio inferior por la parte posterior de los incisivos superiores. Como si te estuvieras mordiendo los labios.
- Factores genéticos: Muchas veces los hijos, al igual que los padres, presentan maloclusión tipo II o protrusión dental. Es una afección que se puede heredar.
Consecuencias de la Protrusión Dental
Tener los dientes de arriba más salidos, además de afectar a la autoestima y la confianza de la persona, tiene otros inconvenientes y puede causar problemas de salud, entre ellos:
- Aparición de caries
- Golpes o fracturas por culpa de los dientes salidos
- Problemas al masticar y malestar al comer
- Inflamación de las encías
- Problemas respiratorios
- Alteración de la forma de la cara
Tener los dientes de maxilar superior salidos y sufrir de maloclusión tipo II, puede generar múltiples problemas como:
- Afecta de la autoestima: debido a su apariencia afecta la confianza en sí mismo.
- Aparición de caries: Las personas con protrusión dental en ocasiones respiran por la boca, lo que aumenta la proliferación de bacterias y reseca el interior de la boca. Además, pueden sufrir de apiñamiento, lo que dificulta la higiene dental.
- Problemas al masticar: la incomodidad al masticar se produce debido a que los dientes superiores e inferiores no encajan correctamente.
- Desarrollo de enfermedades periodontales: como lo mencionamos realizar respiración bucal y no poder cerrar la boca completamente aumenta la sequedad en la boca y, por lo tanto, existe una mayor cantidad de bacterias que pueden generar enfermedades en las encías.
- Mayor posibilidad de sufrir traumatismos dentales: muchas veces los que padecen de protrusión dental no pueden cerrar la boca por completo; por lo que, los incisivos superiores están más expuestos en caso de que recibas un golpe en la boca.
- Alteración en la forma de la cara o boca: Tener los dientes inclinados hacia afuera da una apariencia poco estética, haciendo que la zona del labio superior se vea proyectada hacia adelante y la del mentón muy retraída.
Diagnóstico de la Protrusión Dental
Si notas que tienes los dientes salidos puede ser una señal de protrusión dental. No obstante, quien está capacitado para dar un diagnóstico certero es el dentista.
Evaluación Clínica
Acudir a las consultas regulares es la manera en la que se obtendrá un diagnóstico. El dentista hará una evaluación física para determinar con exactitud el problema; es decir, si son los dientes que no han salido en la posición correcta o si hay alguna malformación en los huesos.
La valoración temprana permitirá aplicar el tratamiento adecuado a tiempo. Antes de los 12 años, los huesos están en desarrollo, por lo que se puede intervenir la mandíbula para corregir la protrusión dental. En consecuencia, se evita tener que someterse a un tratamiento más invasivo en el futuro.
Estudios de Imagen
En ciertas ocasiones, un simple examen visual no proporciona suficiente información para diagnosticar el origen de una protrusión dental. De manera que el dentista puede requerir estudios de imagenología para obtener una visión detallada de la estructura ósea y dental.
A partir de estos estudios se puede ver con mayor claridad si hay anomalías en el desarrollo de los maxilares. También revelan si hay dientes impactados y apiñamiento dental. Con esta información, se formula el tratamiento adecuado para corregir la protrusión.
Opciones de Tratamiento para la Protrusión Dental
La protrusión dental es una afección que se corrige mediante tratamiento de ortodoncia, cirugía ortognática, o una combinación de ambos, de preferencia a una edad temprana.

Tratamientos Ortodónticos
La ortodoncia permite tratar la inclinación hacia adelante que poseen los dientes en estos casos. Los dispositivos más utilizados para corregir la posición de los dientes de un paciente con protrusión son:
- Brackets metálicos: es el tratamiento de ortodoncia tradicional para mejorar la posición de los dientes.
- Brackets estéticos: están hechos de materiales como cerámica, porcelana, por lo que son menos visibles que los metálicos y también más cómodos.
- Alineadores invisibles o invisaling: es una alternativa moderna, mucho más discreta que los brackets.
Antes de determinar el tratamiento, el dentista debe evaluar la complejidad del caso, así como la edad del paciente y el origen de la protrusión. De esta forma ofrecerá el tratamiento que se adapte mejor a su condición y necesidades.
La ortodoncia permite corregir la inclinación hacia adelante que tienen los incisivos superiores y regresarlos a su posición normal. En caso de que el paciente, además del mal posicionamiento de los dientes, posea una maloclusión tipo II, que afecta la forma o posición del maxilar, el dentista propondrá una solución mediante avance o retracción mandibular, dependiendo del caso.
Tratamientos Ortopédicos en Niños
Cuando un niño presenta protrusión dental, lo ideal es corregirla cuando están en el pico de crecimiento. Esto es aproximadamente a los 12 años de edad y se hace mediante ortodoncia interceptiva, como los expansores palatinos.
Esto con el fin de evitar problemas mayores cuando sea adolescente o adulto. Esto porque los dientes de los niños se mueven con mayor facilidad que lo de los adultos. Por eso su corrección dura poco tiempo.
Si el paciente padece de protrusión dental debido a malos hábitos como chuparse el dedo o empujar los dientes con la lengua. Debe tratarse mediante logopedia. El especialista se encargará de tratar, prevenir y detectar trastornos que afectan la comunicación y deglución.
Cirugía Ortognática en Casos Severos
Si la protrusión dental se origina en la posición inadecuada de los huesos de la mandíbula y se trata de un paciente adulto, entonces se debe recurrir a la cirugía ortognática. Por lo general, esta se combina con ortodoncia.
Tiempo de Tratamiento
El tiempo del tratamiento de protrusión dental depende de muchos factores, como la gravedad y complejidad del caso, el tipo de aparato de ortodoncia que usen y el cumplimiento de las citas de control y de ajuste del aparato.
El tiempo de duración promedio para corregir la protrusión dental es entre 7 y 12 meses. Pero si es un caso complejo, corregir el problema puede tardar hasta 24 meses y requerir cirugía.
Es importante mencionar que para mantener los dientes en su posición después de un tratamiento de ortodoncia debes usar retenedores bucales por lo menos durante 6 meses.
Prevención de la Protrusión Dental
Diagnosticar la protrusión dental a una edad temprana y tratarla evitará que el paciente tengas problemas más graves a medida que crezca. Por eso es importante que asistas al dentista con regularidad y lleves a tus hijos a sus revisiones periódicas mientras están en proceso de mudanza de los dientes.
Intervención Temprana en Hábitos Infantiles
Es posible prevenir la protrusión dental si se abordan desde temprano los hábitos dañinos. Por ejemplo, eliminar el chupete antes de los tres años de edad. Si el hábito persiste, es necesario buscar estrategias para ayudar al niño a dejarlo. Lo mismo aplica para los pequeños que se chupan el pulgar.
Asimismo, si el niño empuja los dientes con la lengua, puede ser necesaria la intervención de un profesional para que deje de hacerlo. Se puede recurrir a un terapeuta del habla o un ortodoncista para corregirlo.
En caso de que el niño respire por la boca, hay que identificar y tratar la causa subyacente.
Evaluaciones Dentales Regulares
Es importante visitar al dentista con regularidad. De esta manera se pueden aplicar los tratamientos a tiempo para guiar el crecimiento de la mandíbula y los dientes.
Autoestima y Aceptación
Hay personas con dientes de conejo han aprendido a abrazar su singularidad y consideran que sus dientes son una parte especial de su identidad. Para ellos, la confianza se deriva de aceptarse a sí mismos tal como son.
Lamentablemente, algunas personas con dientes de conejo han sido objeto de burlas y estigmatización, especialmente durante la infancia y la adolescencia. Aquellos que eligen recibir tratamiento ortodóntico o cirugía maxilofacial a menudo experimentan una transformación significativa en su apariencia y autoestima.
Compartir experiencias con otros que enfrentan desafíos similares puede ser una fuente de apoyo y empoderamiento para las personas con dientes de conejo. A pesar de los desafíos, muchas personas con dientes de conejo han logrado el éxito en diversas áreas de la vida, incluidas carreras profesionales y relaciones personales sólidas.
En última instancia, las experiencias de las personas con dientes de conejo son únicas y personales. Las historias de personas con dientes de conejo son testimonios de diversidad y resiliencia. Cada experiencia es única, desde la aceptación orgullosa hasta la transformación a través del tratamiento dental.
Consejos para Afrontar los Dientes de Conejo
- Buscar Orientación Profesional: Consultar a un ortodoncista o un dentista es el primer paso importante.
- Mantener la Paciencia: El tratamiento puede llevar tiempo, y los resultados pueden no ser inmediatos.
- Seguir las Instrucciones: Cumplir con las indicaciones del profesional de la salud dental es crucial para el éxito del tratamiento.
- Abrazar la Transformación: Muchos que han tratado sus dientes de conejo destacan cómo el tratamiento ha mejorado su autoestima y calidad de vida.
Ahora que sabes qué es la protrusión dental y como se corrige, no dudes en contactarnos y pedir cita con uno de nuestros dentistas especialistas para empezar el tratamiento y lograr una sonrisa más bonita.