Las carillas dentales se han convertido en uno de los tratamientos de estética dental más solicitados en la actualidad. Se colocan en la superficie frontal de los dientes con la finalidad de mejorar su aspecto. Son uno de los tratamientos dentales estéticos más demandados actualmente, tanto por su sencillez como por su precio. Pero, ¿sabes qué son las carillas dentales? ¿Conoces todos los tipos de carillas que existen? ¿Cuáles son sus características?
Si estás pensando en transformar tu sonrisa con carillas pero te sientes perdido entre "composite" y "porcelana", sigue leyendo. En este artículo, te brindaremos una guía completa sobre los diferentes tipos y materiales de carillas dentales.
Carillas Dentales Vs Diseño de Sonrisa | Lo que tienes que saber antes de decidir
¿Qué son las Carillas Dentales?
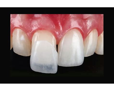
Las carillas dentales son unas láminas muy finas -generalmente inferiores a un milímetro de espesor- que se fijan sobre la parte visible de uno o varios dientes. Las carillas dentales son láminas ultradelgadas que se adhieren a la superficie frontal de los dientes para mejorar su apariencia. Su principal objetivo es mejorar el aspecto de los dientes, ya sea para modificar su tamaño, color, forma o posición. Por tanto, tienen una finalidad puramente estética.
Estas pequeñas maravillas de la odontología estética pueden corregir problemas de color, forma, tamaño, separaciones entre dientes y fracturas menores. Su objetivo es corregir problemas estéticos (fracturas leves, cambios de color…) o patológicos (originados por caries). Pueden estar hechas de diferentes materiales, pero suelen ser de porcelana o composite.

¿Cuándo es Necesario Colocar Carillas Dentales?
Las carillas dentales permiten solucionar las pequeñas imperfecciones que afectan al color, la forma, el tamaño y la posición de tus dientes. Las carillas dentales son un tratamiento eficaz a la hora de corregir y/o disimular pequeños defectos que afectan negativamente al aspecto de los dientes. A continuación, te detallamos los casos concretos en los que puede resultar recomendable ponerse carillas para mejorar la apariencia de la sonrisa:
- Dientes amarillos o con manchas: las carillas se pueden utilizar en pacientes que presentan dientes amarillos, decolorados o con manchas.
- Resistencia al blanqueamiento dental: las carillas son un excelente complemento al blanqueamiento.
- Dientes desalineados: las carillas también pueden ofrecer un buen resultado estético a los pacientes que tienen ligeras malposiciones dentales, ya que en ocasiones permiten disimularlas.
- Dientes con formas o tamaños irregulares: las carillas se utilizan para corregir pequeños defectos que afectan a la forma de los dientes.
- Diastemas: las carillas también están recomendadas para disimular los diastemas o espacios entre los dientes.
- Dientes desgastados: las carillas se pueden colocar en dientes que presentan desgastes en el esmalte.
- Dientes fisurados o fracturados: las carillas también pueden estar indicadas en determinados casos de fisuras o fracturas leves en los dientes.
Tipos de Carillas Dentales
A la hora de elegir este tratamiento estético, debes saber que existen diferentes tipos de carillas dentales entre las cuales puedes elegir en función de los materiales utilizados en su fabricación. Existen diferentes tipos de carillas dentales en función del material y la técnica empleados en su confección. Cada una de ellas tiene sus ventajas, y la elección dependerá del caso concreto y las necesidades del paciente. Las dos opciones más utilizadas son las carillas de porcelana y las de composite.
Carillas Dentales de Composite

Las carillas de composite están fabricadas con una resina similar a la que utilizamos para los empastes estéticos modernos. Son carillas dentales moldeadas directamente en la pieza dental que se quiere mejorar mediante la aplicación de una resina conocida como «composite». El material de su fabricación tiene similitudes con los que se utilizan para algunas obturaciones. Por lo general, estas últimas suelen confeccionarse en la propia clínica dental con un material fotocurable, igual que el que se usa para hacer los empastes.
El proceso de colocación es relativamente sencillo. Tras una preparación mínima del diente, el especialista aplica la resina capa por capa, dándole forma y puliendo hasta conseguir el resultado deseado. El composite se aplica directamente sobre el diente, normalmente en una única sesión. Sus ventajas incluyen un precio más accesible, rapidez en el tratamiento, facilidad de reparación y un tallado mínimo o nulo del diente natural.
Carillas Dentales de Porcelana

Las carillas de porcelana representan el estándar dorado en estética dental. Son láminas ultrafinas de cerámica que se fabrican a medida en laboratorio. Son un tipo de carilla cuya colocación involucra porcelana inyectada para su confección, brindando garantías de alta calidad y excelente durabilidad.
El proceso de colocación requiere varias visitas. En la primera cita, se realiza un tallado mínimo del diente para crear espacio para la carilla. Posteriormente, se toman impresiones precisas que se envían al laboratorio, donde técnicos especializados crearán tus carillas a medida. En una segunda visita, se adhieren definitivamente.
Sus ventajas son una estética excelente, gran durabilidad (10-20 años), resistencia a las manchas y al desgaste, y son biocompatibles. Como característica de las carillas de porcelana es que proporcionan una altísima durabilidad y resistencia. Ofrecen unos resultados muy naturales y apenas son perceptibles, algo que nuestros pacientes aprecian considerablemente.
Carillas Dentales de Porcelana Feldespática
Otro tipo de carilla dental, menos frecuente, es la de porcelana feldespática. Se trata de unas laminas pequeñas con grosor entre 0.2-0.5 milímetros que se colocan sobre la pieza dental a modificar. Sus resultados son muy estéticos y han sido utilizadas desde hace mucho tiempo por dentistas y especialistas en estética dental.
La colocación de carillas de porcelana ultrafinas no requiere del tallado de un diente, por lo que es ideal para personas con mayor sensibilidad. Las carillas de cerámica feldespática y las de composite están contraindicadas para pacientes con bruxismo y patologías de presión maxilar.
Carillas de Disilicato de Litio
Estas carillas están fabricadas con disilicato de litio, un material que se caracteriza por su alta calidad, resistencia y naturalidad. El principal beneficio de las carillas de mínima invasión es que su proceso de planificación, diseño y fabricación es guiado y 100% digital.
Este protocolo disminuye el tiempo total de tratamiento, reduce el margen de error humano y permite que el tallado del esmalte sea mínimo (similar al grosor de un cabello). Por tanto, las carillas mínimamente invasivas requieren muy poca o ninguna preparación del diente antes de su colocación. Esto significa que el esmalte dental no se altera significativamente, lo que las convierte en una opción menos agresiva para el diente. Esto contrasta con el protocolo seguido en las tradicionales carillas de porcelana, que requieren un tallado mayor del diente.
| Tipo de Carilla | Material | Durabilidad | Estética | Precio |
|---|---|---|---|---|
| Composite | Resina compuesta | 5-7 años | Buena | Más económico |
| Porcelana | Cerámica | 10-15 años | Excelente | Más caro |
| Disilicato de Litio | Cerámica reforzada | 15-20 años | Excelente | Caro |
Consideraciones Adicionales
La duración de las carillas dentales está determinada por diversos factores, como los cuidados que siga el paciente en cuanto a higiene oral, alimentación, tabaco, hábitos, revisiones con el dentista, etc. Adicionalmente, la durabilidad del tratamiento también depende del material con el que están fabricadas las carillas y de la técnica de colocación (directa o indirecta). Lo que sí podemos decirte es que, con unos cuidados y unos mantenimientos adecuados, son un tratamiento pensado para durar a largo plazo.
Elegir entre carillas de porcelana vs composite depende de tus expectativas estéticas, presupuesto y tiempo disponible. No, siempre que las coloque un profesional cualificado. Ni las de porcelana ni las de composite responden a los tratamientos de blanqueamiento dental. En algunos casos, el dentista puede recomendar un tratamiento de ortodoncia invisible previo a la colocación de carillas.
tags: #diferencias #entre #carillas