¿Notas que tus dientes tienen una especie de “capa dura” cerca de la encía que no se va con el cepillado? Es muy posible que se trate de sarro dental, uno de los problemas más comunes -y más ignorados- en salud bucodental. Aunque pueda parecer solo un tema estético, lo cierto es que el sarro tiene un impacto directo en la salud de tus encías y dientes. En este artículo, te explicamos qué es exactamente, cómo se forma, por qué es importante eliminarlo y, sobre todo, qué puedes hacer para prevenirlo.
Rutina Anti Caries ¿Cómo se lava los dientes un dentista en casa?
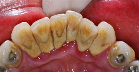
¿Qué es el Sarro Dental?
El sarro, también llamado cálculo dental, es la mineralización de la placa bacteriana que se acumula sobre los dientes. Es decir, cuando la placa no se elimina correctamente mediante la higiene diaria, acaba endureciéndose por la acción de la saliva y los minerales, formando una capa sólida adherida al esmalte.

Imagen de Wikimedia Commons, autor: Shaimaa Abdellatif
A diferencia de la placa, que es blanda y transparente, el sarro es duro, rugoso y puede presentar una coloración amarilla, marrón o incluso negra. Una vez formado, no puede eliminarse con el cepillado: necesita ser retirado por un profesional mediante una limpieza dental.
¿Cómo se Produce el Sarro?
Todo comienza con la placa bacteriana. Tras las comidas, se forma una película de bacterias y restos de alimentos sobre los dientes. Cuando esta placa no se elimina correctamente, comienza a endurecerse por la acción de los minerales presentes en la saliva. En tan solo 24 a 72 horas puede empezar a calcificarse, y en cuestión de pocos días transformarse en sarro adherido a la superficie dental.
Ciertos factores pueden favorecer su aparición:
- Mala técnica de cepillado, ausencia del mismo o uso irregular del hilo dental.
- Dieta rica en azúcares o carbohidratos fermentables.
- Sequedad bucal o poca producción de saliva.
- Ortodoncia, coronas o prótesis mal ajustadas.
- Predisposición genética.
¿Por Qué es Perjudicial para la Salud?
El sarro en sí no duele, no molesta más allá de un tema estético, por eso es considerado como un enemigo silencioso. Su presencia favorece la acumulación de más placa bacteriana, lo que puede desencadenar:
- Gingivitis: inflamación y sangrado de encías.
- Periodontitis: infección crónica que afecta al hueso y puede provocar la pérdida del diente.
- Caries: al retener bacterias y dificultar la higiene.
- Halitosis: mal aliento persistente.
- Manchas dentales: especialmente en fumadores o consumidores habituales de café, té o vino tinto.
El sarro que se acumula bajo la línea de la encía -conocido como sarro subgingival- es especialmente perjudicial, ya que no es visible a simple vista y puede avanzar de forma silenciosa, comprometiendo el hueso y los tejidos que sostienen el diente.
¿Cómo se Detecta?
En muchos casos, el sarro supragingival es visible: se presenta como una línea amarillenta o marrón entre los dientes y la encía. Por el contrario, el sarro subgingival requiere una evaluación profesional.

Imagen de Wikimedia Commons, autor: Dozenist
En una clínica dental, se detecta mediante una exploración con sonda periodontal y, si es necesario, con radiografías para evaluar el estado del hueso.
¿Cómo se Elimina el Sarro?
El único método eficaz para eliminar el sarro es la limpieza dental profesional. Durante la profilaxis, se utilizan ultrasonidos para desprender el cálculo sin dañar el diente, y se pule la superficie para dificultar que vuelva a adherirse la placa.
En algunos casos avanzados, especialmente si hay afectación periodontal, es necesario realizar un raspado y alisado radicular, un tratamiento más profundo que permite limpiar por debajo de la encía.
¿La Limpieza Dental Duele?
La limpieza dental duele en función del estado de la boca del paciente. Una profilaxis dental no tiene por qué doler si la boca está en salud. En la fase inicial de la enfermedad periodontal, la gingivitis, se produce un enrojecimiento e inflamación de las encías. A medida que las bacterias se acumulan en dientes y encías, el cálculo dental o sarro aumenta. Esta capa amarillenta es la placa bacteriana solidificada y cuanto más tiempo permanezca en la boca, más cuesta retirarla. Además, con el tiempo llegará al interior de la encía.
Otra de las consecuencias de la enfermedad periodontal que causa dolor durante la limpieza profesional es tener los dientes sensibles a causa de la retracción de las encías. Si tienes dolor durante tu limpieza bucal, no te alarmes: puedes reducir e incluso eliminar por completo cualquier atisbo de molestia durante el tratamiento. La anestesia local insensibiliza por completo la boca, evitando molestias y dolor en cualquier tratamiento.
Es muy habitual que el proceso de raspado dental pueda generar inquietud en algunas personas, ya que suelen estar preocupadas por el dolor del proceso o si este daña los dientes. En realidad, durante el proceso de raspado se suele sentir una sensación de presión, pero no dolor. Si experimentas molestia o sensibilidad, es importante que se lo hagamos saber inmediatamente a nuestro dentista.
Los profesionales están capacitados para realizar un raspado dental de manera segura, consiguiendo una limpieza profunda e indolora. El raspado dental es un proceso seguro e indoloro. No debemos temer este procedimiento ya que es la solución ante un problema de salud bucodental importante. Para sortear las incomodidades que este pueda generar estamos los profesionales debidamente formados.
¿Cómo se Puede Prevenir el Sarro?
Aquí viene lo más importante: el sarro es completamente prevenible si mantenemos una buena higiene diaria y revisiones dentales periódicas. Te dejamos algunas claves:
- Cepíllate los dientes al menos dos veces al día durante dos minutos, con un cepillo de calidad (manual o eléctrico) y una pasta con flúor.
- Usa hilo dental o cepillos interproximales a diario para limpiar entre los dientes.
- Enjuagues con colutorio antiséptico, si tu dentista te lo indica.
- Evita el tabaco y reduce el consumo de azúcar y bebidas pigmentadas.
- Acude a una limpieza profesional cada 6-12 meses, incluso si no notas síntomas. Es la única forma de mantener el sarro bajo control.
El sarro no sólo afecta a la estética de tu sonrisa: puede comprometer seriamente la salud de tus encías y dientes. La limpieza dental profesional es un tratamiento que todos deberíamos realizar periódicamente para mantener una salud bucal perfecta. Cuando esta placa se calcifica en forma de sarro, la limpieza profunda en una clínica dental es la única manera de eliminarla eficazmente.
Con la higiene eliminamos la placa bacteriana de la parte visible del diente y hasta dos milímetros de la placa que hay detrás de la encía. Si vemos que hay placa bacteriana más profunda, recomendaremos realizar limpiezas más profundas con anestesia. Previamente habrá que realizar un estudio por parte de nuestra especialista en encías llamado periodontograma, para poder determinar el alcance de dichas bacterias y así poder eliminarlas de forma precisa.
¿Qué Hacer si se Desprende un Pedazo de Sarro?
Encontrar un pedazo de sarro desprendido puede ser inquietante. La buena noticia es que, por sí mismo, un trozo de sarro caído no suele ser una emergencia grave. De hecho, suele ser un síntoma de otro problema: la presencia de sarro abundante en tu boca y posiblemente encías inflamadas.
Sigue estos pasos:
- Mantén la calma: Como ya mencioné, normalmente no es una emergencia grave. Si no hay dolor fuerte o sangrado, puedes respirar aliviado.
- Enjuaga tu boca suavemente: Lava tu boca con agua tibia (incluso con un poco de sal disuelta, que tiene efecto antiséptico suave) para eliminar cualquier resto suelto y refrescar la zona.
- No intentes arrancar más sarro por tu cuenta: Rascar con objetos afilados (o con fuerza excesiva) puede lastimar tu encía o el esmalte del diente.
- Revisa tus síntomas: Pon atención a cómo se siente la zona. ¿Notas la encía inflamada donde estaba el sarro? ¿Hay sangrado leve al cepillar? ¿El diente se siente más sensible al aire o al agua fría ahora que se cayó la “costrita” de sarro?
- Cepilla con suavidad esa área: Continúa con tu higiene oral rutinaria, cepillando suavemente los dientes cercanos y usando hilo dental en la zona, sin hurgar demasiado debajo de la encía.
- Agenda una visita al dentista lo antes posible: No lo dejes pasar. Aunque no tengas dolor, debes acudir a una limpieza dental profesional para retirar el resto del sarro.
- Mientras esperas la cita, cuida tu boca: Sé muy constante con tu higiene: cepíllate dos veces al día correctamente, usa hilo dental cada noche (con más razón ahora), y puedes añadir un enjuague bucal suave con clorhexidina si tu dentista te lo recomienda o uno sin alcohol para mantener baja la carga bacterial.
El Sarro Duro Detrás de los Dientes
El sarro duro detrás de los dientes afecta a más del 70% de los adultos (según la Encuesta de Salud Oral en España 2020), convirtiéndose en una de las principales causas de enfermedades periodontales. Este problema requiere un enfoque profesional y especializado para su correcta eliminación.
La diferencia fundamental entre la placa bacteriana y el sarro duro radica en su composición y resistencia. Mientras que la placa bacteriana es una biopelícula blanda que puede eliminarse mediante el cepillado dental regular, el sarro duro presenta una estructura mineralizada que no puede removerse con métodos de higiene bucal convencionales.
Síntomas del Sarro Duro
- Mal aliento crónico.
- Inflamación de las encías (gingivitis).
- Coloración amarillenta o marrón en los dientes.
- Sensibilidad dental.
- Molestias o dolor durante la masticación.
La anatomía oral explica por qué el sarro duro detrás de los dientes inferiores es tan común. Las glándulas sublinguales y submandibulares, ubicadas debajo de la lengua, secretan constantemente saliva rica en minerales directamente hacia la superficie lingual de los incisivos inferiores.
| Problema | Descripción | Solución |
|---|---|---|
| Acumulación de sarro | Endurecimiento de la placa bacteriana | Limpieza dental profesional |
| Gingivitis | Inflamación y sangrado de encías | Higiene bucal mejorada y limpieza profesional |
| Halitosis | Mal aliento persistente | Eliminación del sarro y mejora de la higiene |
| Sensibilidad dental | Raíces dentales expuestas por retracción gingival | Tratamiento profesional y productos para dientes sensibles |
Conclusión
Que se te caiga un trozo de sarro no es el fin del mundo, pero sí es un aviso importante de que algo pasa en tu salud bucal. La solución pasa por mantener la calma, limpiar la zona, y sobre todo acudir al dentista para una limpieza profesional que elimine todo el sarro. Una vez hecho esto, pon en práctica hábitos de higiene rigurosos para que no se repita.