Un puente dental fijo es una de las principales soluciones a las que se recurre ante la pérdida de uno o varios dientes. Se trata de un producto sanitario que se hace a medida para poder reemplazar los dientes perdidos o partes de ellos para mejorar así la función masticatoria de la cavidad bucodental.
En ocasiones, los puentes dentales permanecen en la boca muchos años, en otras situaciones únicamente un tiempo corto. La presencia de una retracción gingival puede ser uno de los motivos adecuados para que sea necesario el cambio de un puente dental antiguo. Si este se encuentra en una zona estética, es decir formando parte de algún de los dientes anteriores, aún con más ímpetu.
Exploraremos en detalle las razones para quitar un puente dental, el procedimiento, las consecuencias y las alternativas disponibles para recuperar la función y estética de tu sonrisa.

Tipos de Prótesis Dentales
Existen dos principales tipos de prótesis dental: la prótesis fija y la removible.
- Prótesis Fija: Es la que la mayoría de los pacientes desean ya que es mucho más cómoda y los resultados son más satisfactorios. Este tipo de prótesis, puede ir desde la restauración de un solo diente hasta la rehabilitación completa de todos los dientes para obtener una oclusión ideal. Un puente dental es un tipo de prótesis fija ya que se cementa de forma definitiva.
- Prótesis Removible: Por ejemplo, la dentadura postiza no es fija, se mueve y puede causar rozaduras.
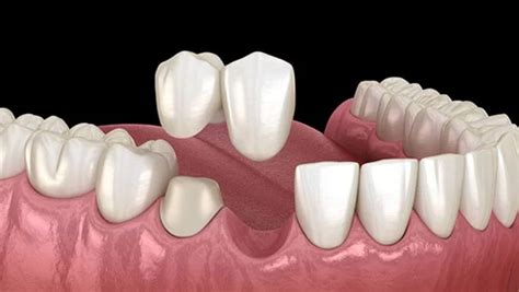
¿Qué es un Puente Dental Fijo?
Un puente dental fijo es un tipo de prótesis que sirve para reemplazar uno o varios dientes perdidos. Esta prótesis se adhiere y une a los dientes remanentes de ambos lados de la ausencia dental. Es, por tanto, una alternativa similar a los implantes dentales.
El puente dental fijo es una buena alternativa a los implantes. En otras palabras, podríamos decir que el puente dental fijo es la alternativa intermedia entre el implante y la prótesis removible.
Tipos de Puentes Dentales Fijos
Los puentes dentales fijos se pueden fabricar en diferentes materiales y se clasifican según su soporte:
- Puentes sobre dientes: Se anclan sobre las piezas dentales sanas que el paciente conserva en la boca. En este caso, son los propios dientes adyacentes los que actúan como pilares.
- Puentes sobre implantes: Se sujetan sobre implantes dentales. Por tanto, se colocan cuando no hay dientes contiguos que puedan sostener el puente.
NO TE HAGAS PUENTES DENTALES FIJOS, sin evaluar primero opciones más conservadoras.
Razones para Quitar un Puente Dental
La retirada de un puente dental puede ser necesaria por diversas razones:
- Retracción Gingival: Antiguamente los puentes dentales estaban hechos de metal y cerámica por lo que como consecuencia de la retracción gingival puede verse una línea oscura en la zona gingival correspondiente al metal de la prótesis.
- Cambio de Color: El paso del tiempo hace que los dientes naturales puedan variar la tonalidad por lo que puede existir una variabilidad de color entre el puente y los propios dientes.
- Desgaste y Desadaptación: Con los años las prótesis dentales van desgastándose y desadaptándose ya que van perdiendo todas sus propiedades iniciales. El desgaste puede ser producido por una actividad masticatoria habitual o también por algún tipo de hábito parafuncional como el bruxismo el cual debería ser controlado antes de proceder a cambiar la prótesis dental.
- Ajuste Inadecuado: Una de las causas más comunes es un puente que no se ajusta correctamente.
- Problemas en los Dientes Pilares: Los dientes que sostienen el puente pueden estar debilitados, presentar caries, filtraciones bajo las fundas o inflamación pulpar.
- Enfermedad Periodontal: Cuando la higiene no es adecuada, se acumula placa bacteriana alrededor del puente. Esto puede dar lugar a una gingivitis o incluso a una periodontitis.
- Infección: Si aparece dolor intenso, palpitante, acompañado de inflamación, pus, mal aliento o fiebre, puede estar desarrollándose una infección en la raíz de un diente pilar.
Procedimiento para Retirar un Puente Dental Fijo
Tal y como su propio nombre indica, esta prótesis es una solución permanente y fija. Por tanto, para retirar un puente dental fijo es necesario acudir a una clínica dental.
Antes de colocar un puente dental fijo es necesario llevar a cabo el estudio y diagnóstico del caso. De esta manera, nuestros odontólogos llevan a cabo una exploración bucodental y toman una serie de radiografías, fotografías y medidas de la boca.
Pasos Comunes en la Retirada de un Puente Dental
- Evaluación Inicial: Tu odontólogo realizará una evaluación exhaustiva de tu salud bucal y del puente en cuestión.
- Anestesia: Para garantizar tu comodidad y minimizar cualquier molestia, se administrará anestesia local en la zona del puente.
- Retirada del Puente: El odontólogo utilizará herramientas especializadas para aflojar y retirar cuidadosamente el puente de los dientes pilares.
Ventajas de un Puente Dental Fijo
La colocación de un puente dental fijo presenta numerosas ventajas:
- Salud: Un diente perdido que no es reemplazado ocasiona diversos riesgos y problemas en la salud oral del paciente. Por ejemplo, el hecho de que exista un espacio hace que los dientes vecinos comiencen a moverse para ocupar el hueco vacío. Esto empeora la alineación de los dientes y puede provocar desgastes en el esmalte, especialmente en las piezas dentales que tienen que soportar unos contactos y choques para los que no estaban prepara-das.
- Resistencia: El puente dental fijo está fabricado con un material altamente resistente.
- Durabilidad: Muy ligado con lo anterior, otra de las ventajas de los puentes dentales fijos es que son una solución a largo plazo.
- Estética: La falta de dientes hace que la sonrisa tenga un aspecto descuidado y envejecido. Por tanto, uno de los principales beneficios de los puentes dentales fijos es que mejoran la estética de la cara. Además, hay que tener en cuenta que los puentes dentales se fabrican teniendo en cuenta la forma, el tamaño y el color del resto de dientes.

Desventajas de un Puente Dental Fijo
El puente dental fijo presenta más beneficios que inconvenientes:
- Tallado: En el caso de anclarse sobre los dientes del paciente, el puente dental fijo requiere tallar determinadas piezas dentales que están sanas.
- Reabsorción ósea: Los puentes fijos que se colocan sobre los dientes naturales del paciente no previenen la reabsorción ósea, que es el proceso mediante el cual el hueso, tras la caída de una pieza dental, comienza a atrofiarse.
Cuidados Posteriores a la Retirada del Puente Dental
Después de retirar el puente dental, es crucial seguir las instrucciones del odontólogo para asegurar una correcta recuperación:
- Higiene Bucal: Mantener una higiene bucal rigurosa es fundamental para prevenir infecciones y promover la curación.
- Dieta Blanda: Se recomienda consumir alimentos blandos durante los primeros días para evitar irritar la zona.
- Medicamentos: Tomar los medicamentos recetados por el odontólogo para controlar el dolor y prevenir infecciones.
- Revisiones: Asistir a las revisiones programadas con el odontólogo para monitorear la curación y evaluar las opciones de reemplazo del diente perdido.
Alternativas a los Puentes Dentales Fijos
Existen varias alternativas para reemplazar los dientes perdidos, incluyendo:
- Implantes Dentales: Un implante dental es una de las mejores soluciones para recuperar alguna o varias piezas dentales perdidas, ya que nos devuelven no solo la funcionalidad de la dentadura, sino también la estética de nuestra sonrisa.
- Prótesis Removibles: Son una opción más económica, pero menos cómoda y estable que los puentes fijos o los implantes.
¿Duele Quitar un Puente Dental?
La retirada de un puente dental puede ser necesaria por diversas razones, pero la preocupación sobre el dolor es común entre los pacientes.
El proceso de retirar un implante dental generalmente se realiza bajo anestesia local para minimizar cualquier molestia o dolor durante el procedimiento. La mayoría de los pacientes experimentan una sensación de presión o movimiento en lugar de dolor agudo durante la extracción.
Experiencia Postoperatoria
- Dolor y molestias: Tras la extracción, es común sentir dolor o molestias en la zona durante los primeros días.
- Inflamación y hinchazón: La zona puede inflamarse y causar hinchazón facial en los primeros días.
- Sangrado: Alguno sangrado leve puede ocurrir inicialmente.
- Dieta suave: Se suele recomendar una dieta suave para evitar irritar la zona.
¿Qué pasa si te quitas un implante dental?
Cabe recalcar que, por normal general, la extracción de un implante dental realizada por un experto en implantología y con la planificación adecuada no supone ningún problema o riesgo para el paciente.
Si tras quitar un implante dental no vuelves a reponer la pieza, sufrirás problemas derivados de la ausencia del diente.
Conclusión
La retirada de un puente dental puede ser necesaria por diversas razones, pero con una evaluación adecuada y un procedimiento realizado por un profesional cualificado, es posible minimizar el dolor y las molestias. Es fundamental seguir los cuidados postoperatorios y explorar las opciones de reemplazo para mantener una buena salud bucal y una sonrisa completa.