El flúor es un tema que genera diversas opiniones en el ámbito odontológico. Durante décadas, ha sido un componente clave en la prevención de las caries. En este artículo, exploraremos los beneficios y los posibles riesgos del flúor para que puedas tomar decisiones informadas sobre su uso en tu rutina diaria de higiene dental.
¿Qué es el Flúor?
El flúor es un mineral natural presente en diversas fuentes como el agua, el suelo, las rocas y ciertos alimentos. Es fundamental en la salud dental debido a su capacidad para fortalecer el esmalte dental, la capa protectora externa de los dientes, y prevenir la aparición de caries. Este mineral puede ser encontrado de manera natural en algunas aguas subterráneas y, en muchos países, se añade de manera controlada al agua potable para mejorar la salud dental de la población. También es un componente muy común en productos dentales como pastas de dientes, enjuagues bucales y tratamientos profesionales aplicados por muchos dentistas.

Beneficios del Flúor para los Dientes
Los beneficios del flúor en los dientes son ampliamente reconocidos. Se ha demostrado que su uso regular reduce significativamente el riesgo de caries tanto en niños como en adultos. El flúor es ampliamente reconocido por su papel en la prevención de las caries, lo que lo convierte en uno de los pilares fundamentales para mantener una buena salud bucal. Este mineral actúa fortaleciendo el esmalte dental, la primera línea de defensa de nuestros dientes frente a los ataques de ácidos y bacterias.
Aunque mucha gente puede no saberlo, uno de los beneficios más destacados del flúor es su capacidad para remineralizar áreas del esmalte que han comenzado a debilitarse. El flúor reduce la acumulación de placa bacteriana y la formación de sarro gracias a la formación de fluoruro de calcio. Además de ayudar a reponer los niveles de calcio y fósforo de las piezas dentales. El flúor tiene otros importantes beneficios, como su contribución a la reducción de la sensibilidad dental.
En resumen, el flúor ofrece los siguientes beneficios:
- Fortalece el esmalte dental.
- Remineraliza áreas debilitadas del esmalte.
- Reduce la sensibilidad dental.
- Previene el crecimiento de las bacterias orales que descomponen el azúcar y los carbohidratos.
¿Qué es el flúor dental? Estos son sus beneficios para los dientes
Riesgos del Flúor: ¿Cuándo Puede Ser Perjudicial?
Aunque el flúor es conocido por sus múltiples beneficios para la salud dental, su uso en exceso puede provocar efectos secundarios, especialmente en los dientes que están en desarrollo. Se ha demostrado que uno de los principales riesgos que se asocia a la exposición excesiva al flúor es la fluorosis dental.
La fluorosis dental se produce cuando los dientes en formación (generalmente en niños menores de 8 años) están expuestos a niveles elevados de flúor durante un período largo de tiempo. La fluorosis suele ser más común en niños pequeños que ingieren grandes cantidades de flúor, ya sea a través del agua fluorada, suplementos de flúor o por el consumo accidental de pasta dental fluorada. En la mayoría de los casos, si aparece la fluorosis, lo hace de manera leve y solo tiene un impacto estético en los dientes, sin llegar a afectar su propia funcionalidad.
Además, algunas investigaciones han planteado la posibilidad de que una exposición excesiva al flúor pueda tener efectos negativos en la salud general, como problemas óseos o neurológicos.

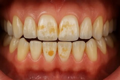
¿Qué es la Fluorosis Dental?
La fluorosis dental es una hipoplasia o hipomaduración del esmalte o dentina causada por una exposición excesiva al flúor especialmente en la etapa de desarrollo de las piezas dentales. Se caracteriza por formar una especie de sarro en los dientes que los mancha de color café o pardo, creando un aspecto desagradable y poco higiénico. Esta condición es permanente, aunque desde luego ya existen tratamientos para eliminarla, sin embargo lo mejor es prevenirla evitando que los niños se cepillen con grandes cantidades de pasta con flúor y también es conveniente descartar el agua con fluoruro. Se pueden realizar blanqueamientos periódicos ya que las manchas cafés persisten y vuelven a aparecer. Otra opción es recurrir a las prótesis dentales como coronas o carillas estéticas dentales.
Otros Riesgos Potenciales
- Intoxicación por flúor: La ingestión accidental o excesiva de pasta de dientes con flúor puede llevar a la intoxicación por flúor, especialmente en niños pequeños que pueden tragar grandes cantidades de pasta dental. Ingerir grandes cantidades de flúor en poco tiempo puede generar náuseas, vómitos y malestar estomacal.
- Fluorosis esquelética: La ingesta elevada de flúor puede provocar fluorosis esquelética, una condición más grave que afecta a los huesos y articulaciones.
Cómo Usar el Flúor de Manera Segura
Para aprovechar al máximo los beneficios del flúor sin exponer tus dientes a riesgos innecesarios, es muy importante seguir las recomendaciones adecuadas para su uso. El flúor es un aliado poderoso en la prevención de caries, pero su uso excesivo puede causar efectos negativos, especialmente en los niños pequeños.
- Uso adecuado de la pasta dental con flúor: Se recomienda utilizar pastas dentales que contengan la cantidad adecuada de flúor para tu edad y necesidades específicas. Para los adultos, se recomienda una pasta con una concentración de flúor de entre 1.000 y 1.500 ppm (partes por millón).
- Supervisión en el cepillado de los niños: Es fundamental que los padres supervisen a los niños menores de 6 años mientras se cepillan los dientes, asegurándose de que no traguen la pasta dental. También es importante enseñarles a escupir el exceso de pasta después del cepillado para minimizar la ingesta de flúor. En cuanto a los niños, dependiendo de la edad, la concentración de flúor en la pasta puede variar.
- Control del consumo de agua fluorada: En algunas áreas, el agua potable contiene niveles añadidos de flúor como medida preventiva contra las caries. Aunque este método es seguro y eficaz en dosis controladas, es importante conocer la cantidad de flúor en el agua de tu zona.
- Tratamientos profesionales con flúor: Los tratamientos profesionales con flúor, que se aplican en la consulta dental, pueden ser especialmente beneficiosos para personas con alto riesgo de caries o para aquellos con necesidades especiales de protección dental. Estos tratamientos suelen consistir en la aplicación de geles o barnices de flúor en concentraciones más altas que las encontradas en los productos de uso doméstico, proporcionando una capa protectora adicional para el esmalte dental.
- Consultas regulares con el dentista: La clave para un uso seguro del flúor es la moderación y el asesoramiento profesional. Los dentistas están capacitados para ofrecer recomendaciones personalizadas sobre el uso del flúor, adaptadas a tu situación específica.
Siguiendo estas recomendaciones y adoptando una rutina de cuidado dental adecuada, puedes disfrutar de los beneficios del flúor sin preocuparte por sus posibles efectos adversos.
Alternativas a la Pasta de Dientes con Flúor
Si prefieres evitar el flúor en tu pasta de dientes, existen varias alternativas disponibles en el mercado:
- Pasta de dientes sin flúor: Hay muchas marcas que ofrecen pastas de dientes sin flúor, que están formuladas para proporcionar limpieza y protección bucal sin este compuesto.
- Pasta de dientes natural: Algunas personas optan por utilizar pastas de dientes naturales que contienen ingredientes como bicarbonato de sodio, aceites esenciales, y otros componentes naturales para limpiar y proteger los dientes sin flúor ni otros aditivos químicos.
- Polvo dental: El polvo dental es una alternativa a la pasta de dientes que puede estar formulado sin flúor.
- Enjuagues bucales naturales: Algunas personas eligen enjuagues bucales naturales que no contienen flúor como alternativa a la pasta de dientes.
- Hidroxiapatita: Es un ingrediente alternativo que se ha vuelto más popular en la pasta de dientes como una alternativa al flúor. La hidroxiapatita es un mineral natural y el componente principal del esmalte dental y la dentina, y se ha demostrado que tiene propiedades remineralizantes y protectoras contra las caries.
Es importante considerar que las pastas de dientes sin flúor pueden no ofrecer la misma protección contra la caries dental que aquellas con esta sustancia. Por lo tanto, es fundamental mantener una buena rutina de cuidado bucal que incluya visitas regulares al dentista y una dieta equilibrada.
Tabla Comparativa: Pasta de Dientes con Flúor vs. Sin Flúor
| Característica | Pasta de Dientes con Flúor | Pasta de Dientes sin Flúor |
|---|---|---|
| Prevención de Caries | Alta | Menor (depende de los ingredientes) |
| Fortalecimiento del Esmalte | Sí | No directamente |
| Riesgo de Fluorosis | Sí (con uso excesivo) | No |
| Ingredientes Comunes | Fluoruro de sodio, fluoruro de estaño | Bicarbonato de sodio, aceites esenciales, xilitol |
| Recomendación | Para personas con alto riesgo de caries | Para personas que prefieren alternativas naturales o tienen riesgo de fluorosis |