El sarro en los dientes no es solo un problema estético, sino también un enemigo formidable de la salud bucodental. Como dentistas especializados en salud y prevención bucodental, en este artículo profundizaremos en qué es exactamente el sarro, cómo se forma, y qué impacto tiene en nuestra salud dental.
Nº1 REMEDIO CASERO para ELIMINAR la PLACA, el SARRO y PREVENIR la CARIES
¿Qué es el Sarro y Cómo se Forma?
El sarro, conocido científicamente como cálculo dental, es una acumulación endurecida de placa bacteriana en los dientes. La placa es una mezcla pegajosa de bacterias, saliva y restos de alimentos que, si no se elimina adecuadamente, se mineraliza convirtiéndose en sarro. Este proceso se ve acelerado por sustancias en la saliva que facilitan la cristalización de los minerales.

El sarro, también llamado cálculo o tártaro dental, es consecuencia del endurecimiento de la placa bacteriana. La placa bacteriana es una película que se deposita sobre los dientes y está compuesta de bacterias, saliva, restos de comida y células muertas. Aparece en todas las personas. La placa dental va depositándose continuamente en los dientes, a lo largo del día y la noche. Incluso, después de cepillar los dientes, la placa se desarrolla en su superficie al cabo de unas 24 horas.
Si la placa no se retira mediante el cepillado, después de aproximadamente 72 horas, comienza a endurecerse y se convierte en sarro al entrar en contacto con sales minerales presentes en la cavidad bucal. Además, la placa permite la proliferación de bacterias entre las que se incluyen las que producen la caries, de ahí la importancia del cepillado diario y el uso de seda dental.
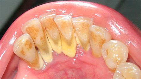
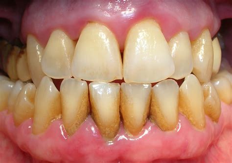
El sarro es por tanto resultado del endurecimiento de esa placa bacteriana no retirada. Forma un recubrimiento blanquecino o amarillento en la base de los dientes, en especial en los dientes inferiores anteriores por el lado de la lengua y en los molares superiores por el lado de la mejilla. La placa puede eliminarse mediante el cepillado diario, sin embargo, el sarro no puede eliminarse mediante cepillado y solo pueden eliminarlo adecuadamente un dentista o un higienista dental.
El sarro está compuesto en su mayor parte (del 70 al 90%) por elementos inorgánicos ―sales minerales―, que se combinan con sustancias orgánicas como proteínas, carbohidratos y, en menor medida, lípidos.
Además de poder provocar problemas de salud como caries dentales, gingivitis o halitosis, el sarro dental constituye un problema estético.
Causas de la Aparición del Sarro en los Dientes
Como acabamos de ver, la ausencia o deficiencia de higiene dental es la principal causa de formación del sarro: si no se retira periódicamente, la placa dental se acumula, endurece y mineraliza, lo que da lugar a la formación del sarro.
La base de la formación de sarro es una higiene bucal deficiente. Cuando los dientes no se cepillan adecuadamente o no se utiliza hilo dental regularmente, la placa bacteriana se acumula en los dientes y, con el tiempo, se endurece formando sarro. Especialmente crítico es el cepillado antes de dormir, ya que durante la noche la producción de saliva disminuye, lo que facilita la acumulación de placa.
La alimentación juega un papel crucial en la formación de sarro. Los alimentos y bebidas ricos en azúcares y almidones contribuyen a la formación de ácidos en la boca. Estos ácidos favorecen la proliferación de bacterias y, por lo tanto, la formación de placa que eventualmente se convierte en sarro. Snacks frecuentes y bebidas azucaradas son particularmente perjudiciales.
Las características individuales, como la composición química de la saliva, pueden afectar a la formación del sarro. Algunas personas producen saliva que favorece la acumulación de minerales en la placa, acelerando la formación de sarro. Además, ciertos factores genéticos pueden predisponer a las personas a una mayor formación de sarro.
El tabaquismo es otro factor significativo en la formación de sarro. Los productos del tabaco no solo manchan los dientes, sino que también afectan la saliva, facilitando la acumulación de placa y su posterior mineralización en sarro.
La probabilidad de desarrollo de sarro aumenta con la edad. Con el tiempo, la acumulación de placa se vuelve más probable, y la eficacia de las técnicas de higiene bucal puede disminuir, especialmente si hay problemas de movilidad o destreza manual.
Ciertos medicamentos y condiciones que reducen la producción de saliva pueden contribuir a la formación de sarro. La saliva juega un papel crucial en la limpieza natural de la boca, y su disminución puede acelerar la formación de placa y sarro.
¿Cuáles son sus factores de riesgo?
Además de una incorrecta higiene bucal, existen otros factores que propician la aparición del sarro. Entre ellos, se encuentran los siguientes:
- El consumo excesivo de alimentos o bebidas ricos en azúcar.
- El tabaquismo.
- El consumo excesivo de café, té o vino.
- El uso incorrecto o prolongado de algunos colutorios.
- La malposición o mala alineación de los dientes. Ello aumenta la dificultad de llevar a cabo una higiene adecuada y, por tanto, de retirar correctamente la placa dental.
- Factores genéticos que afectan a la saliva como el grado de acidez (pH).
- Producir una cantidad insuficiente de saliva debido al uso de medicamentos u otras condiciones médicas.
- Tener edad avanzada. Con el paso de los años, las encías pueden retraerse, lo que expone una mayor superficie dental a la acumulación de placa y a la formación de sarro.
¿Cómo es el sarro?
El sarro tiene la apariencia de una costra gruesa que cubre los dientes, sobre todo la parte trasera de las piezas delanteras inferiores, que es una zona más difícil de limpiar. También puede formarse entre las piezas dentales y el borde de las encías.
Inicialmente su color es blanquecino, pero se mancha con facilidad y puede adquirir un tono amarillento o amarronado. Asimismo, puede presentarse acompañado de hinchazón y enrojecimiento de las encías, cuadro conocido como gingivitis.
¿Qué tipos existen?
En función de su localización, el sarro puede ser:
- Supragingival. Se acumula en la superficie visible de los dientes y encías.
- Subgingival. Se localiza por debajo de la línea de la encía, por lo que es más difícil de percibir.
Prevención y tratamiento del sarro
La prevención del sarro es una parte crucial del cuidado bucodental. A continuación, se detallan estrategias efectivas para prevenir la formación de sarro y mantener una salud oral óptima:
- Cepillado efectivo: Utilizar una técnica de cepillado adecuada es fundamental. Se recomienda cepillar los dientes al menos dos veces al día, durante dos minutos cada vez, utilizando una pasta dental con fluoruro. Prestar especial atención a los molares posteriores y a las áreas cerca de la línea de las encías, donde el sarro tiende a acumularse más.
- Usar hilo dental: El hilo dental no solo elimina los restos de comida entre los dientes, sino que también ayuda a eliminar la placa que se forma en áreas que el cepillo no puede alcanzar. El uso diario del hilo dental es esencial para prevenir la formación de sarro.
- Enjuagues bucales antisépticos: Los enjuagues con agentes antisépticos pueden ayudar a reducir la cantidad de bacterias en la boca, disminuyendo la formación de placa y sarro.
- Dieta y nutrición: Reducir el consumo de alimentos y bebidas con alto contenido de azúcares y almidones puede disminuir significativamente la formación de placa. Además, una dieta rica en frutas, verduras y agua ayuda a promover una buena salud bucodental. Aumentar el consumo de manzanas y otras frutas y verduras también contribuye a reducir la aparición de sarro.
- Dejar de fumar: Dado que fumar es un factor de riesgo significativo para la formación de sarro, dejar de fumar puede reducir drásticamente la acumulación de sarro y mejorar la salud bucal general.
- Visitas regulares al dentista: Las limpiezas dentales profesionales son esenciales para eliminar cualquier sarro que se haya formado y para revisar la salud bucal general. Se recomienda visitar al dentista al menos una vez cada seis meses para realizar un mantenimiento y comprobar que todo marcha bien.
- Productos de higiene específicos: Considera el uso de pastas dentales y enjuagues bucales diseñados para controlar la placa y prevenir el sarro. Algunos productos contienen ingredientes específicos que pueden ayudar a prevenir la mineralización de la placa.

Para reducir al mínimo la placa bacteriana y evitar así que se forme el sarro, es necesario limpiar todos días los dientes, la lengua, las encías, el paladar y el interior de las mejillas. En concreto, una higiene oral completa debe incluir los siguientes cuidados personales:
- Cepillarse los dientes cuidadosamente. Debe hacerse tras cada comida pero, sobre todo, es fundamental realizar un cepillado profundo antes de irse a dormir, cuando baja la producción de saliva y los movimientos de la lengua, ya que estos contribuyen a remover la placa bacteriana. Puede utilizarse un cepillo manual o eléctrico, aunque estos últimos han demostrado retirar la placa con mayor eficacia si cuentan con tecnología oscilatoria-rotatoria. En todo caso, se recomienda que el cepillo tenga cerdas suaves o medias y que el cabezal no sea demasiado grande para que llegue a todos los rincones de la boca.
- Cepillarse las encías. Tras los dientes, debe cepillarse con suavidad la dentadura a lo largo de la línea de las encías.
- Usar un dentífrico con flúor. El dentífrico que usemos para el cepillado debe incluir flúor en su fórmula, porque ayuda a prevenir las caries. También existe la opción de realizar enjuagues bucales fluorados tras el cepillado dental. En niños deben emplearse dentífricos adaptados a su edad en contenido de flúor.
- Limpiarse los espacios interdentales. Si existe espacio suficiente, debe emplearse un cepillo interproximal o, si no, hilo o seda dental. Ambos deben usarse al menos una vez al día, preferiblemente por la noche, con el fin de asegurar la limpieza de las caras laterales de los dientes y que no queden restos de comida entre ellos. También se puede emplear un irrigador de agua para eliminar los desechos que se encuentren entre los dientes y debajo de las encías. Es especialmente importante la limpieza con cepillo interproximal, seda o irrigador, en personas que lleven implantes o puentes, ya que los espacios entre los dientes y la retracción de las encías pueden favorecer la acumulación de placa en espacios difícilmente accesibles.
- Limpiarse la lengua. Debe frotarse suavemente hacia adelante usando el cepillo de dientes o un limpiador lingual, ya que en ella se acumulan un gran número de bacterias.
Además, los expertos recomiendan un examen rutinario de los dientes al menos una vez al año y una limpieza profesional cada seis o doce meses con el fin de eliminar el sarro, ya que este puede acumularse en los dientes incluso aunque se lleve a cabo en casa una buena higiene dental.
¿Qué problemas puede provocar en la boca?
Si no se elimina correctamente la placa bacteriana y se forma sarro, pueden producirse, en función del tipo de bacterias predominantes, los siguientes problemas en la boca:
- Gingivitis. La placa y el sarro irritan e inflaman las encías, que se hinchan y sangran. Se pueden formar “bolsillos” en los que pueden proliferar bacterias.
- Periodontitis. Es una forma más severa de la enfermedad de las encías, en la que los ligamentos y el hueso que soportan el diente se destruyen. Con frecuencia, desencadena la pérdida de la pieza dental.
- Caries dentales. Son agujeros o cavidades que dañan la estructura del diente. Se producen cuando las bacterias presentes en la placa metabolizan los azúcares y producen ácidos capaces de disolver el esmalte con el paso del tiempo.
- Mal aliento (halitosis). Debido a menudo a una mala higiene oral, las bacterias presentes en la boca segregan compuestos de azufre que producen un olor desagradable. Puede ocurrir que el sarro no sea visible, pero que sí se perciba el mal aliento. Los “bolsillos” que se crean por la gingivitis y periodontitis acumulan bacterias y pueden incrementar la halitosis
- Aumento de la sensibilidad en los dientes, sobre todo al frío y/o al calor.
Además, los trastornos dentales pueden llegar a provocar una gran variedad de problemas de salud sistémicos como trastornos digestivos o enfermedades cardiovasculares, entre otros.
Impacto del Sarro en los Dientes
El sarro en los dientes proporciona una superficie rugosa que facilita la acumulación de más placa, lo que puede conducir a gingivitis y, potencialmente, a periodontitis. El sarro alberga bacterias que pueden causar mal aliento o halitosis. El sarro puede manchar los dientes y, a largo plazo, contribuir a la erosión del esmalte dental.

Comprender el impacto del sarro en tus dientes es esencial para mantener una buena salud bucal. El sarro puede aumentar el riesgo de caries, enfermedad de las encías, mal aliento, manchas en los dientes y dificultad para eliminar la placa.
A medida que el sarro se acumula a lo largo y debajo de la línea de las encías, irrita los delicados tejidos de las encías, lo que provoca inflamación y gingivitis. Si no se aborda de inmediato, la gingivitis puede progresar a periodontitis, una forma más grave de enfermedad de las encías.
La acumulación de sarro también puede contribuir al mal aliento persistente o halitosis. Las bacterias que residen en el sarro liberan gases de mal olor a medida que descomponen las partículas de alimentos en tu boca. Además, la textura rugosa del sarro proporciona lugares adicionales para que las bacterias prosperen, exacerbando el problema del mal aliento.
Las manchas de sarro pueden hacer que tus dientes se vean amarillos o decolorados. Debido a su naturaleza porosa, el sarro absorbe y atrapa manchas de alimentos, bebidas y el consumo de tabaco, lo que provoca una decoloración visible en la superficie de tus dientes.
El sarro proporciona una superficie rugosa que dificulta la eliminación de la placa de tus dientes. La placa es una película pegajosa compuesta por bacterias, partículas de alimentos y saliva que se forma constantemente en los dientes. Sin embargo, si se forma sarro, proporciona una superficie endurecida que dificulta que tu cepillo de dientes y el hilo dental lleguen a la placa debajo.
¿Cómo se trata el sarro?
No es posible eliminar el sarro con el cepillado. Una vez se ha formado, solamente el odontólogo puede retirarlo mediante una tratectomía, una limpieza dental que permite extraerlo mediante el uso de instrumentos especiales. Se trata de un procedimiento indoloro y que no requiere ningún tipo de anestesia, aunque puede resultar un poco molesto para personas con elevada sensibilidad dental; en este caso, puede emplearse un espray con un anestésico local para insensibilizar el área.
Asimismo, el sarro puede extraerse con un aparato que emite ultrasonidos que lo desintegran.
En el caso de que el sarro se haya acumulado bajo las encías, es necesario realizar un curetaje o raspado dental. Este implica una limpieza más profunda, que sí suele requerir la aplicación de anestesia local.
El sarro en los dientes es un problema común pero manejable. Con una buena rutina de higiene oral, una dieta adecuada y visitas periódicas al dentista, puedes proteger tus dientes y encías de sus efectos negativos.