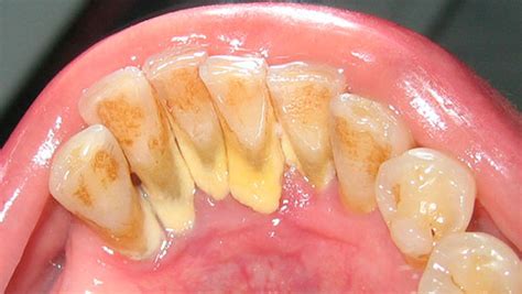
El sarro dental, también conocido como cálculo o tártaro dental, es la placa bacteriana que se ha endurecido. Esta placa es una película que se deposita sobre los dientes y está compuesta de bacterias, saliva, restos de comida y células muertas. Aparece en todas las personas y se deposita continuamente en los dientes a lo largo del día y la noche.

Si no se retira mediante el cepillado, después de aproximadamente 72 horas, comienza a endurecerse y se convierte en sarro al entrar en contacto con sales minerales presentes en la cavidad bucal. A diferencia de la placa bacteriana, el sarro no se puede eliminar con el cepillado dental.
La acumulación de sarro puede provocar caries, deteriorar los dientes, provocar periodontitis e incluso provocar su caída. Además de poder provocar problemas de salud como caries dentales, gingivitis o halitosis, el sarro dental constituye un problema estético, ya que tiene tendencia a colorearse y puede acabar siendo amarillento o incluso marronáceo.
¿Cómo Afecta el Sarro a los Dientes?
Las bacterias que contiene el sarro pueden afectar de manera negativa a nuestras encías y dientes. El paso del tiempo y el crecimiento cada vez mayor del sarro, puede llevar a una enfermedad de las encías. Por ello es importante prevenirlo y así poder evitar la gingivitis.
Problemas que puede provocar el sarro en la boca:
- Gingivitis: La placa y el sarro irritan e inflaman las encías, que se hinchan y sangran. Se pueden formar “bolsillos” en los que pueden proliferar bacterias.
- Periodontitis: Es una forma más severa de la enfermedad de las encías, en la que los ligamentos y el hueso que soportan el diente se destruyen. Con frecuencia, desencadena la pérdida de la pieza dental.
- Caries dentales: Son agujeros o cavidades que dañan la estructura del diente. Se producen cuando las bacterias presentes en la placa metabolizan los azúcares y producen ácidos capaces de disolver el esmalte con el paso del tiempo.
- Mal aliento (halitosis): Debido a menudo a una mala higiene oral, las bacterias presentes en la boca segregan compuestos de azufre que producen un olor desagradable. Puede ocurrir que el sarro no sea visible, pero que sí se perciba el mal aliento.
- Aumento de la sensibilidad en los dientes: Sobre todo al frío y/o al calor.
Además, los trastornos dentales pueden llegar a provocar una gran variedad de problemas de salud sistémicos como trastornos digestivos o enfermedades cardiovasculares, entre otros.
¿Qué Causa el Sarro?
Como acabamos de ver, la ausencia o deficiencia de higiene dental es la principal causa de formación del sarro: si no se retira periódicamente, la placa dental se acumula, endurece y mineraliza, lo que da lugar a la formación del sarro.

Factores de riesgo:
- El consumo excesivo de alimentos o bebidas ricos en azúcar.
- El tabaquismo.
- El consumo excesivo de café, té o vino.
- El uso incorrecto o prolongado de algunos colutorios.
- La malposición o mala alineación de los dientes.
- Factores genéticos que afectan a la saliva como el grado de acidez (pH).
- Producir una cantidad insuficiente de saliva debido al uso de medicamentos u otras condiciones médicas.
- Tener edad avanzada.
Tipos de Sarro
En función de su localización, el sarro puede ser:
- Supragingival: Se acumular en la superficie visible de los dientes y encías.
- Subgingival: Se localiza por debajo de la línea de la encía, por lo que es más difícil de percibir.
Tratamiento del Sarro
No es posible eliminar el sarro con el cepillado. Una vez se ha formado, solamente el odontólogo puede retirarlo mediante una tartrectomía, una limpieza dental que permite extraerlo mediante el uso de instrumentos especiales. En el caso de que el sarro se haya acumulado bajo las encías, es necesario realizar un curetaje o raspado dental.
El tratamiento básico para eliminar el sarro se denomina tartrectomía, profilaxis o limpieza dental profesional y lo debe realizar un dentista experto. La limpieza consiste en un raspado coronal indoloro, por lo que se realiza sin anestesia. En aquellos casos en los que el sarro se encuentra por debajo de la línea de la encía la limpieza dental profesional no es suficiente para eliminarlo.
¿Cómo Evitar el Sarro Dental de Forma Natural?
No existe ningún truco casero que nos diga cómo evitar el sarro en los dientes de forma natural. Este se va a formar hagamos lo que hagamos. Sin embargo, tomando las medidas de prevención adecuadas, podemos evitar que su acumulación no sea tan excesiva que ponga en riesgo nuestra salud bucodental.
Para reducir al mínimo la placa bacteriana y evitar así que se forme el sarro, es necesario limpiar todos días los dientes, la lengua, las encías, el paladar y el interior de las mejillas. En concreto, una higiene oral completa debe incluir los siguientes cuidados personales:
Consejos para prevenir la creación de sarro en tus dientes:
- Cepillar los dientes con regularidad: El cepillado es la técnica más sencilla, económica y eficaz contra el sarro, por ello habría que cepillarse los dientes al menos tres veces al día. El cepillado debe durar al menos 2 minutos, repasando las piezas dentales por todos sus lados.
- Usar hilo dental: Para tener una buena salud bucal, no solo hay que cepillarse los dientes, sino que también es importante el uso de hilo dental para eliminar la placa que se queda entre los dientes y llegar a los sitios donde el cepillo no alcanza. Después de usar el irrigador y lavar los dientes, se pasa hilo dental entre los huecos de los dientes y encías.
- Acudir al dentista: Además de una correcta higiene bucodental casera, es necesario ir al dentista al menos una vez al año para tener la opinión y el cuidado de un especialista. La eliminación del exceso de sarro por un especialista evitará futuras enfermedades bucales que podrían traer más problemas consigo. En este sentido, lo aconsejable es someterse a este procedimiento al menos una vez al año, aunque en personas con mayor acumulación de sarro puede ser beneficioso hacerlo cada seis meses para cuidar la salud bucodental.
- No fumar: Algunos estudios demuestran que las personas que fuman tienen más probabilidades de acumular sarro en sus dientes.
- Uso diario de colutorio: El cepillado cubre solo la limpieza de un 25% de la boca. Con uso de colutorio completa tu higiene bucodental eliminando los restos no alcanzados por el cepillado y reparando y protegiendo el esmalte y las encías.

Otros consejos útiles:
- Utilizar un irrigador: Un irrigador bucal es un sistema que, mediante agua a presión, nos permite realizar limpiezas bucales y eliminar los restos de suciedad que pueden quedar tanto en las encías como entre los dientes, accediendo a zonas que no sería posible con un cepillo de dientes.
- Lavarse los dientes tres veces al día: Es importante lavarse los dientes de dos a tres veces al día, después de cada comida, siendo interesante no esperar demasiado desde que se termina de tomar alimentos hasta que se lavan los dientes porque, así, evitamos que las bacterias de la boca interactúen con los restos de alimentos.
¿Qué hacer si se desprende un pedazo de sarro?
Si te ha pasado esto recientemente, mantén la calma. No entres en pánico: Lo primero, mantén la calma. Como ya mencioné, normalmente no es una emergencia grave. Si no hay dolor fuerte o sangrado, puedes respirar aliviado.
Enjuaga tu boca suavemente: Lava tu boca con agua tibia (incluso con un poco de sal disuelta, que tiene efecto antiséptico suave) para eliminar cualquier resto suelto y refrescar la zona. Esto ayuda a que, si la encía quedó expuesta, no se irrite con residuos.
No intentes arrancar más sarro por tu cuenta: Puede ser tentador pensar «si se cayó ese pedazo, voy a raspar a ver si quito más». ¡Evítalo! Rascar con objetos afilados (o con fuerza excesiva) puede lastimar tu encía o el esmalte del diente. Además, el sarro está fuertemente adherido; quitarlo tú mismo es difícil y podrías terminar con una lesión.
Revisa tus síntomas: Pon atención a cómo se siente la zona. ¿Notas la encía inflamada donde estaba el sarro? ¿Hay sangrado leve al cepillar? ¿El diente se siente más sensible al aire o al agua fría ahora que se cayó la “costrita” de sarro? Algunos de estos síntomas son normales después de que el sarro se desprende, porque puede haber una pequeña inflamación en la encía alrededor o el diente expuesto a estímulos. Si el dolor es intenso o la encía sangra en exceso espontáneamente, eso sí amerita consultar más urgente.
Cepilla con suavidad esa área: Continúa con tu higiene oral rutinaria, cepillando suavemente los dientes cercanos y usando hilo dental en la zona, sin hurgar demasiado debajo de la encía. Mantener la limpieza ayudará a que no se acumule más placa mientras esperas tratamiento.
Agenda una visita al dentista lo antes posible: Este paso es clave. No lo dejes pasar. Aunque no tengas dolor, debes acudir a una limpieza dental profesional para retirar el resto del sarro. Idealmente, haz la cita en cuanto puedas dentro de los próximos días o semanas.
Mientras esperas la cita, cuida tu boca: En esos días previos a tu limpieza profesional, sé muy constante con tu higiene: cepíllate dos veces al día correctamente, usa hilo dental cada noche (con más razón ahora), y puedes añadir un enjuague bucal suave con clorhexidina si tu dentista te lo recomienda o uno sin alcohol para mantener baja la carga bacterial. Esto mantendrá a raya la placa bacteriana nueva y ayudará a que la encía se calme un poco.
La Caída de los Dientes y la Enfermedad Periodontal
La caída de dientes en adultos es una señal de que algo no está funcionando correctamente en la salud bucodental. La enfermedad periodontal es una patología inflamatoria crónica que afecta las encías y el hueso que sostiene los dientes. La caída de dientes en adultos es una consecuencia seria de la enfermedad periodontal o piorrea, pero con un diagnóstico temprano y el tratamiento adecuado, es posible evitarla.

Cuando la placa no se elimina por completo, puede deteriorar el estado de tus dientes y encías. Cuando la placa se acumula, se convierte en sarro, una sustancia endurecida en los dientes que solo puede eliminar un profesional de la odontología. El sarro da lugar a huecos o «bolsas» a lo largo de la línea de las encías. Esto puede provocar la retracción de las encías y la exposición de los dientes y la línea de las encías a posibles problemas de salud periodontal.
Síntomas más comunes de la enfermedad periodontal:
- Dientes con movilidad o desplazados
- Sangrado o retracción de las encías
- Pérdida de piezas dentales
Las técnicas de prevención precoz que implican una rutina de cuidado bucal completa pueden ayudar a mantener la salud de tus encías para que puedas conservar tu sonrisa natural.
Tabla Resumen de Consejos para Evitar el Sarro y la Caída de los Dientes
| Consejo | Descripción | Frecuencia |
|---|---|---|
| Cepillado dental | Cepillar los dientes con pasta dental con flúor | Al menos tres veces al día |
| Uso de hilo dental | Limpiar entre los dientes para remover la placa | Al menos una vez al día, preferiblemente por la noche |
| Visitas al dentista | Realizar limpiezas profesionales y chequeos | Cada 6 a 12 meses |
| Enjuague bucal | Usar un enjuague bucal antibacteriano | Una vez al día, después del cepillado nocturno |
| Dieta saludable | Reducir el consumo de azúcares y alimentos procesados | Diariamente |
| No fumar | Evitar el consumo de tabaco | Siempre |