La limpieza dental es un procedimiento fundamental para mantener una buena salud bucal y general. Sin embargo, muchas personas no saben en qué consiste exactamente ni cuál es su importancia. La limpieza dental es un procedimiento que se realiza para eliminar la placa bacteriana y el sarro de los dientes y las encías.
Todo el mundo cree saber qué es el sarro y la placa bacteriana pero, a la hora de la verdad, existe cierto desconocimiento al respecto. La placa bacteriana puede definirse como una especie de residuo pegajoso e incoloro que se deposita de forma constante sobre la superficie de las piezas dentales. La placa dental va depositándose continuamente en los dientes, a lo largo del día y la noche. Incluso, después de cepillar los dientes, la placa se desarrolla en su superficie al cabo de unas 24 horas.
Cuando te cepillas los dientes es muy difícil llegar a todas las zonas de la boca. Es en estas zonas donde se nos acumula toda la placa bacteriana. Es la base de la prevención de la odontología. Con las limpiezas dentales eliminas las placas bacterianas, y con la limpieza bucal mejoras tu sonrisa y evitas contraer enfermedades más graves como la gingivitis u otras enfermedades periodontales.

¿Qué es el Sarro?
El sarro, también llamado cálculo o tártaro dental, es consecuencia del endurecimiento de la placa bacteriana. Si la placa no se retira mediante el cepillado, después de aproximadamente 72 horas, comienza a endurecerse y se convierte en sarro al entrar en contacto con sales minerales presentes en la cavidad bucal.
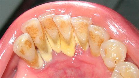
El sarro es por tanto resultado del endurecimiento de esa placa bacteriana no retirada. Forma un recubrimiento blanquecino o amarillento en la base de los dientes, en especial en los dientes inferiores anteriores por el lado de la lengua y en los molares superiores por el lado de la mejilla. La placa puede eliminarse mediante el cepillado diario, sin embargo, el sarro no puede eliminarse mediante cepillado y solo pueden eliminarlo adecuadamente un dentista o un higienista dental.El sarro está compuesto en su mayor parte (del 70 al 90%) por elementos inorgánicos ―sales minerales―, que se combinan con sustancias orgánicas como proteínas, carbohidratos y, en menor medida, lípidos.
Además de poder provocar problemas de salud como caries dentales, gingivitis o halitosis, el sarro dental constituye un problema estético.
¿Qué causa el sarro?
Como acabamos de ver, la ausencia o deficiencia de higiene dental es la principal causa de formación del sarro: si no se retira periódicamente, la placa dental se acumula, endurece y mineraliza, lo que da lugar a la formación del sarro.
¿Cuáles son sus factores de riesgo?
Además de una incorrecta higiene bucal, existen otros factores que propician la aparición del sarro. Entre ellos, se encuentran los siguientes:
- El consumo excesivo de alimentos o bebidas ricos en azúcar.
- El tabaquismo.
- El consumo excesivo de café, té o vino.
- El uso incorrecto o prolongado de algunos colutorios.
- La malposición o mala alineación de los dientes. Ello aumenta la dificultad de llevar a cabo una higiene adecuada y, por tanto, de retirar correctamente la placa dental.
- Factores genéticos que afectan a la saliva como el grado de acidez (pH).
- Producir una cantidad insuficiente de saliva debido al uso de medicamentos u otras condiciones médicas.
- Tener edad avanzada. Con el paso de los años, las encías pueden retraerse, lo que expone una mayor superficie dental a la acumulación de placa y a la formación de sarro.
¿Cómo es el sarro?
El sarro tiene la apariencia de una costra gruesa que cubre los dientes, sobre todo la parte trasera de las piezas delanteras inferiores, que es una zona más difícil de limpiar. También puede formarse entre las piezas dentales y el borde de las encías.
Inicialmente su color es blanquecino, pero se mancha con facilidad y puede adquirir un tono amarillento o amarronado. Asimismo, puede presentarse acompañado de hinchazón y enrojecimiento de las encías, cuadro conocido como gingivitis.
¿Qué tipos existen?
En función de su localización, el sarro puede ser:
- Supragingival. Se acumula en la superficie visible de los dientes y encías.
- Subgingival. Se localiza por debajo de la línea de la encía, por lo que es más difícil de percibir.
Riesgos de la Acumulación de Sarro
Cuando la placa dental no se elimina habitualmente a través del cepillado, se endurece y da lugar al llamado sarro. El gran problema reside en que, para que la placa haya derivado en sarro, se ha tenido que ir acumulando una gran cantidad de bacterias en la boca. Por eso, además de un problema estético que se aprecia a simple vista, estamos ante un importante riesgo para la salud bucodental que puede afectar de manera muy negativa a dientes y encías.
Si no te haces limpiezas dentales regulares, puedes experimentar una acumulación de placa y sarro, lo que puede llevar a caries, enfermedades de las encías y pérdida de dientes.
Si no se elimina correctamente la placa bacteriana y se forma sarro, pueden producirse, en función del tipo de bacterias predominantes, los siguientes problemas en la boca:
- Gingivitis: La placa y el sarro irritan e inflaman las encías, que se hinchan y sangran. Se pueden formar “bolsillos” en los que pueden proliferar bacterias. Esta es una enfermedad en la que se irritan e inflaman las encías. Esto causa un gran daño a los tejidos blandos dentro de la cavidad bucal. Alguna de las consecuencias que puede tener esta enfermedad es la pérdida de los dientes, sumado a dolor en las encías, inflamación y la presencia de un color violeta en estas. Además, genera una gran sensibilidad que dificulta llevar a cabo actividades tan rutinarias como comer o beber.
- Periodontitis: Es una forma más severa de la enfermedad de las encías, en la que los ligamentos y el hueso que soportan el diente se destruyen. Con frecuencia, desencadena la pérdida de la pieza dental. Cuando hablamos de periodontitis nos referimos a la acumulación de sarro bajo las encías. Esta puede considerarse como una de las peores consecuencias de la acumulación del sarro, ya que pone en peligro nuestra dentadura, y la salud de nuestra boca en general. Esta enfermedad puede causar el aflojamiento de los dientes, produciendo que cambien su posición y afectando la armonía de nuestra dentadura con la mandíbula. Esto origina problemas para hablar, cantar, o tocar instrumentos de viento.
- Caries dentales: Son agujeros o cavidades que dañan la estructura del diente. Se producen cuando las bacterias presentes en la placa metabolizan los azúcares y producen ácidos capaces de disolver el esmalte con el paso del tiempo. Las caries son pequeñas aberturas que se forman en los dientes y que pueden ser muy perjudiciales conforme pasa el tiempo. Algunas de las molestias que causan las caries son dolores repentinos en los dientes, que se generan sin causa aparente. También pueden causar sensibilidad dental y dolor al comer determinados alimentos. La consecuencia más visible es la mancha marrón o negra que se produce en la dentadura.
- Mal aliento (halitosis): Debido a menudo a una mala higiene oral, las bacterias presentes en la boca segregan compuestos de azufre que producen un olor desagradable. Puede ocurrir que el sarro no sea visible, pero que sí se perciba el mal aliento. Los “bolsillos” que se crean por la gingivitis y periodontitis acumulan bacterias y pueden incrementar la halitosis. La halitosis es lo que comúnmente llamamos mal aliento, y este es causado por un tipo de bacteria que produce una serie de compuestos sulfurados. Padecer de halitosis puede generar vergüenza y, en algunos casos, ansiedad en la persona que lo padece.
- Aumento de la sensibilidad en los dientes: sobre todo al frío y/o al calor.
- Problemas cardiológicos: Varios estudios sugieren que algunas consecuencias de la acumulación del sarro pueden contribuir a problemas cardiológicos, como los infartos. Esto se debe a que, en algunos casos, las enfermedades periodontales necesitan como tratamiento el uso de antibióticos y otros medicamentos.
- Cambios estéticos: A consecuencia de la acumulación del sarro, los pacientes pueden sufrir cambios estéticos tales como la retracción de las encías, y la formación de espacios negros entre los dientes. Esto se traduce en encías inflamadas y dientes que se ven más largos a causa de esta retracción.
Además, los trastornos dentales pueden llegar a provocar una gran variedad de problemas de salud sistémicos como trastornos digestivos o enfermedades cardiovasculares, entre otros.
Nº1 REMEDIO CASERO para ELIMINAR la PLACA, el SARRO y PREVENIR la CARIES
Beneficios de la Limpieza Dental Profesional
La limpieza dental, también conocida como profilaxis, es aquella técnica que limpia todas esas zonas donde no llegas con tu cepillado normal. Se realiza en una clínica dental por un profesional. El procedimiento comienza con una revisión dental, en la que el dentista examina tus dientes y encías para detectar cualquier problema dental o de salud bucal. A continuación, se utiliza una herramienta especializada para eliminar la placa bacteriana y el sarro de tus dientes y encías. Una vez eliminada la placa y el sarro, se utiliza un cepillo dental especial para limpiar los dientes y las encías.

Una limpieza dental regular ofrece una serie de beneficios para tu salud bucodental, pero es importante tener en cuenta tanto las ventajas como las posibles desventajas y riesgos asociados con este procedimiento.
La limpieza dental tiene numerosos beneficios para tu salud bucal y general:
- Ayuda a prevenir las caries eliminando la placa bacteriana y los restos de alimentos que se acumulan en los dientes.
- El sarro es una placa endurecida que se forma en los dientes y solo puede ser eliminado por un profesional dental.
- Las enfermedades de las encías, como la gingivitis y la periodontitis, pueden ser prevenidas con higienes dentales regulares. La acumulación de placa y sarro puede causar inflamación de las encías y, eventualmente, llevar a enfermedades más graves.
- El mal aliento es a menudo causado por la acumulación de bacterias en la boca.
- Durante una limpieza, el dentista puede detectar problemas de salud bucal en sus etapas iniciales, como caries pequeñas o problemas de encías.
- Aunque una limpieza dental no es un tratamiento de blanqueamiento, puede ayudar a mantener los dientes más blancos al eliminar manchas superficiales causadas por alimentos y bebidas.
- La salud bucal está estrechamente relacionada con la salud general del cuerpo. Las bacterias en la boca pueden entrar en el torrente sanguíneo y causar problemas en otras partes del cuerpo, como enfermedades cardiovasculares.
- Tener dientes limpios y encías saludables puede mejorar significativamente la confianza en uno mismo.
- La enfermedad de las encías avanzada puede llevar a la pérdida de dientes.
Después de una limpieza dental profesional, tus dientes se sentirán y lucirán más limpios y frescos que nunca. Después de eliminar la placa y el sarro, tus dientes se sentirán notablemente más suaves y lisos al tacto. Además, cualquier mancha superficial causada por el consumo de café, té u otras sustancias se eliminará durante el proceso de pulido, revelando un brillo natural y saludable.
Lo idóneo es realizar una limpieza bucal cada 6 meses. Los odontólogos de clínica dental recomiendan la limpieza dental 2 veces al año. Seis meses es el tiempo idóneo para evitar problemas de encías más graves. Existen casos donde se debe de hacer cada un menor tiempo, para ello hay que ver los casos concretos de cada uno de los pacientes.
Limpieza Dental con Ultrasonidos
La limpieza dental con ultrasonidos es un tratamiento indoloro y eficaz que elimina el sarro y la placa bacteriana mediante vibraciones de alta frecuencia. Los ultrasonidos en la limpieza dental es una técnica avanzada que utiliza ondas sonoras de alta frecuencia para eliminar el sarro y la placa bacteriana acumulada en los dientes y encías. Este proceso se lleva a cabo mediante un dispositivo especializado que emite vibraciones ultrasónicas a través de una punta metálica para desintegrar y eliminar la acumulación de bacterias y depósitos de alimentos en la superficie de los dientes y debajo de la línea de las encías. Con su capacidad para eliminar el sarro y la placa bacteriana de manera precisa y rápida, este innovador método se ha convertido en una opción cada vez más popular en las clínicas dentales de todo el mundo, incluyendo Clínicas ClearDent.
Una higiene dental completa con aparato de ultrasonido es un proceso integral que asegura una limpieza profunda y efectiva de tus dientes y encías:
- Evaluación inicial: Antes de comenzar la limpieza dental, el odontólogo realizará una evaluación inicial de tu salud bucal.
- Eliminación de placa y sarro: El paso siguiente implica la eliminación de placa y sarro de tus dientes y encías. Para ello, el profesional utiliza un aparato de ultrasonido que emite vibraciones de alta frecuencia.
- Pulido dental: Una vez que se ha eliminado la mayor parte de la placa y el sarro, se procede al pulido dental. Esto se realiza utilizando una herramienta rotatoria con una pasta abrasiva suave.
- Irrigación y limpieza final: Después del pulido, se realiza una irrigación de la boca para eliminar cualquier residuo de pasta y restos de placa o sarro sueltos. Esto se puede hacer con agua o una solución antibacteriana.
- Instrucciones de cuidado en el hogar: Para mantener los resultados de la limpieza dental, el odontólogo te proporcionará instrucciones personalizadas de cuidado bucal en el hogar.
Algunas preguntas comunes sobre la limpieza con ultrasonidos son:
- ¿Es dolorosa la limpieza con ultrasonidos?
- ¿Es seguro para personas con implantes dentales o aparatos ortodónticos?
- ¿Con qué frecuencia se recomienda realizar una limpieza con ultrasonidos?
- ¿Cubre este tratamiento el seguro dental?
Diferencia entre Curetaje y Limpieza Dental
La limpieza bucal es una técnica de prevención de enfermedades periodontales o gingivitis. Esta técnica se realiza sobre la superficie del diente, el borde de la encía y los espacios interdentales eliminando el sarro y toda placa bacteriana. En nuestro dentista de Vitoria la limpieza dental se hace en un día y se tarda unos 30-45 minutos dependiendo de la situación de cada paciente.
El curetaje, también conocido como raspado y alisado radicular, se realiza cuando el sarro se ha introducido en las encías provocando inflamación y enfermedades periodontales más graves. A medida que se va acumulando cada vez más sarro, los surcos entre el diente y la encía se van haciendo cada vez son más grandes. El curetaje, a diferencia de la limpieza dental, es un proceso más duradero.
En resumen, la limpieza dental se centra en la salud bucal eliminando placa y sarro, mientras que el blanqueamiento se enfoca en mejorar la apariencia de los dientes al hacerlos más blancos.
¿Cómo Prevenir la Formación de Sarro?
Para reducir al mínimo la placa y evitar que se forme el sarro es necesario mantener una buena higiene bucal. Asimismo, el sarro puede extraerse con un aparato que emite ultrasonidos que lo desintegran. En el caso de que el sarro se haya acumulado bajo las encías, es necesario realizar un curetaje o raspado dental. Este implica una limpieza más profunda, que sí suele requerir la aplicación de anestesia local.
Para reducir al mínimo la placa bacteriana y evitar así que se forme el sarro, es necesario limpiar todos días los dientes, la lengua, las encías, el paladar y el interior de las mejillas. En concreto, una higiene oral completa debe incluir los siguientes cuidados personales:
- Cepillarse los dientes cuidadosamente: Debe hacerse tras cada comida pero, sobre todo, es fundamental realizar un cepillado profundo antes de irse a dormir, cuando baja la producción de saliva y los movimientos de la lengua, ya que estos contribuyen a remover la placa bacteriana. Puede utilizarse un cepillo manual o eléctrico, aunque estos últimos han demostrado retirar la placa con mayor eficacia si cuentan con tecnología oscilatoria-rotatoria. En todo caso, se recomienda que el cepillo tenga cerdas suaves o medias y que el cabezal no sea demasiado grande para que llegue a todos los rincones de la boca.
- Cepillarse las encías: Tras los dientes, debe cepillarse con suavidad la dentadura a lo largo de la línea de las encías.
- Usar un dentífrico con flúor: El dentífrico que usemos para el cepillado debe incluir flúor en su fórmula, porque ayuda a prevenir las caries. También existe la opción de realizar enjuagues bucales fluorados tras el cepillado dental. En niños deben emplearse dentífricos adaptados a su edad en contenido de flúor.
- Limpiarse los espacios interdentales: Si existe espacio suficiente, debe emplearse un cepillo interproximal o, si no, hilo o seda dental. Ambos deben usarse al menos una vez al día, preferiblemente por la noche, con el fin de asegurar la limpieza de las caras laterales de los dientes y que no queden restos de comida entre ellos. También se puede emplear un irrigador de agua para eliminar los desechos que se encuentren entre los dientes y debajo de las encías. Es especialmente importante la limpieza con cepillo interproximal, seda o irrigador, en personas que lleven implantes o puentes, ya que los espacios entre los dientes y la retracción de las encías pueden favorecer la acumulación de placa en espacios difícilmente accesibles.
- Limpiarse la lengua: Debe frotarse suavemente hacia adelante usando el cepillo de dientes o un limpiador lingual, ya que en ella se acumulan un gran número de bacterias.
Además, los expertos recomiendan un examen rutinario de los dientes al menos una vez al año y una limpieza profesional cada seis o doce meses con el fin de eliminar el sarro, ya que este puede acumularse en los dientes incluso aunque se lleve a cabo en casa una buena higiene dental.
Recuerda que la acumulación del sarro es un problema que puede ser controlado con una limpieza adecuada y una visita de control a tu dentista una vez al año, como mínimo.
Pero al margen, la revisión y la limpieza periódica serán determinantes para evitar una acumulación de placa que pueda traer problemas mayores como un problema periodontal. ¿Cuánto tiempo ha pasado desde tu última limpieza dental?