Cada vez son más las personas que se preocupan por la estética de su sonrisa. Unos dientes blancos y bien alineados son la mejor carta de presentación. Sin embargo, con el paso del tiempo es habitual que la estética de tus dientes se vea truncada. Por este motivo, cada vez son más los pacientes demandan recuperar el blanco de su sonrisa.

Las tinciones dentales son un problema estético común que afecta a personas de todas las edades. A menudo, la sonrisa es una de las primeras cosas que la gente nota, y las manchas en los dientes pueden afectar negativamente la autoestima. En este artículo, exploraremos qué son las tinciones dentales, sus causas y los tratamientos disponibles para devolver el brillo a tu sonrisa.
¿Qué son las tinciones dentales?
Las tinciones dentarias son alteraciones en el color de las piezas dentarias. Las tinciones dentales se refieren a la decoloración o manchas que aparecen en la superficie de los dientes. Estas manchas pueden variar en color, desde tonos amarillentos hasta marrones o incluso grises. No todos tenemos el mismo tono de blanco en nuestros dientes, su color es un factor genético.
Es el resultado del color de la dentina -más o menos amarillenta- y del grosor del esmalte dental -más o menos traslúcido-. Es decir, el color de nuestros dientes es un parámetro variable que depende de la combinación de estos dos factores.
Además, debemos tener en cuenta que el grosor del esmalte dental y la dentina varía en función de la pieza. La dentición también influye en el tono del esmalte.
Tipos de tinciones dentales
Existen dos tipos principales de tinciones dentales:
1. Tinciones dentales extrínsecas
Las tinciones extrínsecas se producen a causa del oscurecimiento de la capa externa del diente -esmalte-. Estas manchas afectan la capa externa del diente, conocida como esmalte. Se puede eliminar a través de una profilaxis o mediante técnicas de higiene profesional.
2. Tinciones dentales intrínsecas
Por el contrario, las tinciones intrínsecas tienen su origen en la tinción de la estructura interna del diente. Se originan en el interior del diente y son más difíciles de tratar. Suponen la tinción de la estructura interna del diente y se debe a la presencia de sustancias cromógenas en el interior del esmalte y la dentina. En función de cada caso, sus efectos pueden ser permanentes, transitorios, generalizados o aislados.
¿Cuáles son las principales causas de las tinciones dentales?
Existen múltiples factores que contribuyen a la aparición de tinciones dentales. Pero, además, existen una serie de factores que pueden provocar tinciones en los dientes.
1. Hábitos alimenticios y de consumo
Una de las causas más frecuentes de las tinciones dentales es la ingesta de distintas bebidas o alimentos. La ingesta de diferentes bebidas o alimentos es una de las causas principales de las tinciones dentales. El consumo frecuente de ciertos alimentos y bebidas contribuye a la aparición de tinciones dentales.
En primer lugar, si has visto cómo se ha oscurecido el color de tu dentadura debes atender al consumo de bebidas colorantes como, por ejemplo, el té, el café, el vino tinto o las bebidas gaseosas -por ejemplo, la Coca-cola-. Además, existen ciertos alimentos de pigmentación intensa que también pueden influir en el blanco de tu sonrisa. Ciertos alimentos: Como el café, vino, té, cola o chocolate.
2. Higiene oral inadecuada
Más allá de estos hábitos de consumo, existen ciertas rutinas asociadas a la higiene dental que puede influir en el color de nuestros dientes.

3. Factores médicos y medicamentos
Como hemos comentado con anterioridad, las tinciones intrínsecas suponen un oscurecimiento de la estructura interna del diente ligado, generalmente, a la ingesta de algunos medicamentos o a distintas afecciones bucales.
Otra de las causas más comunes de las tinciones intrínsecas es la ingesta de tetraciclinas. Las tetraciclinas son un antibiótico de amplio espectro empleado especialmente durante las décadas de los 60 y 70 para erradicar procesos infecciosos.
4. Envejecimiento natural
En primer lugar, la edad.
5. Factores genéticos
La tonalidad de nuestros dientes es un factor que viene determinado genéticamente.
6. Profesionales
La clorhexidina. El uso regular de enjuagues con clorhexidina para el control de la placa bacteriana en pacientes periodontales provoca la aparición de manchas de color negro. La aparición de estas manchas va a depender entre otros factores de la concentración de clorhexidina, la duración del tratamiento o de la técnica correcta de cepillado.
7. Bacterianas
- Depósitos verdes: Aparecen sobre todo en niños y adolescentes.
- Depósitos naranjas: Principalmente aparecen en las zonas cervicales de la cara vestibular de los dientes anteriores.
- Depósitos negros: asociados a bacterias cromógenas, que descomponen los restos de comida en sustancias oscuras. Son poco frecuentes y aparecen tanto en niños como adultos, siendo más frecuentes en la dentición temporal. Aunque estas manchas son intrínsecas, no se eliminan con un blanqueamiento tradicional.
- Materia alba y sarro: se trata de un depósito blanco amarillento que se compone de bacterias, células epiteliales, restos alimenticios, proteína salivares, etc. Se depositan en la superficie dental cuando el paciente no se cepilla durante unos días. Es de poca consistencia pero puede tener espesores bastante grandes que están poco cohesionados y poco adheridos. Cuando transcurre cierto tiempo, esta placa bacteriana puede calcificarse formando el sarro o tártaro, que se presenta como un depósito más denso y duro de color amarillo el supragingival, o negro el subgingival, pero que puede colorearse con otros pigmentos, como el tabaco.
Tinciones por metales
Estas se producen en pacientes que por cuestiones laborales, o por ingesta de medicamentos, entran en contacto con sales de distintos minerales, que posteriormente precipitan en la boca.
Tinciones por tetraciclinas
Algunos de nuestros pacientes sufren esta alteración en sus dientes, lo que también afecta a su imagen y autoestima. Si te sientes identificado y te gustaría eliminar estas manchas irreversibles, tenemos la solución. En este post te contamos a qué se deben estas coloraciones por tetraciclina y cómo puedes comenzar a disfrutar de una sonrisa perfecta.

¿Qué es la tetraciclina?
La tetraciclina es un medicamento que se usó hace años para tratar una gran cantidad de patologías. Acné, otitis, infecciones en mujeres embarazadas… Al cabo del tiempo, se corroboró que este antibiótico se unía a los dientes en formación, al hueso y al cartílago.
Por todo ello, la consecuencia era la aparición de tinciones o manchas de color grisáceas o marrones en los dientes de los que lo tomaban, afectando incluso a la futura dentadura de los bebés que todavía no habían nacido.
Grados de las tinciones por tetraciclina
Estas coloraciones no influían, ni lo hacen a día de hoy, sobre la salud de las personas afectadas. Sin embargo, perjudica la estética de la sonrisa.
Dependiendo del color, la forma y la intensidad de estas tinciones dentales por tetraciclina, se pueden distinguir cuatro grados:
- Primer grado. Se caracteriza por la aparición de tinciones de color amarillentas y/o marrones claras, de forma leve y uniforme.
- Segundo grado. Las manchas son de mayor intensidad y los dientes se muestran amarillos, marrones o grises de manera más uniforme.
- Tercer grado. La coloración de los dientes es más oscura y forma bandas o líneas.
- Cuarto grado. Es la menos frecuente, llegando incluso a afectar a las encías. Se trata de manchas muy severas presentando bandas o estrías e incluso irregularidades en las piezas dentales.
Cuál es el MEJOR BLANQUEADOR DENTAL en 2023 🦷✌️
Opciones de tratamiento
El tratamiento más adecuado para eliminar las tinciones dentales de manera eficaz dependerá tanto de la causa del mismo como del estado de gravedad de las distintas afecciones que suponen el oscurecimiento del esmalte. Todo depende del tipo de manchas y de qué las causa.
¿Cómo se pueden eliminar las tinciones dentales?
1. Higiene dental profesional
Para las tinciones extrínsecas leves, una limpieza dental regular realizada por un dentista puede ser suficiente para eliminar las manchas superficiales. El tratamiento de las tinciones extrínsecas consiste fundamentalmente en la realización de limpiezas o tartrectomías con pulidos, cambio de hábitos y mejora de la higiene.
En determinados casos muy concretos la coloración se hace intrínseca como en el caso de los fumadores de largo tiempo, y se requiere de tratamientos similares a los realizados en las tinciones de tipo intrínseco.
2. Blanqueamiento dental
Es uno de los tratamientos más comunes y efectivos para las manchas superficiales y algunas intrínsecas. Este tratamiento consigue aclarar los dientes varias tonalidades utilizando el peróxido de hidrógeno.
A este respecto, en Ferrus & Bratos somos partidarios del tratamiento combinado, que aúna la acción del agente blanqueador aplicado sobre las férulas dentales junto con una sesión de lámpara en clínica.
En la Clínica Dental Alberto Barreiro ofrecemos opciones de blanqueamiento dental profesional que incluyen tratamientos en la clínica y kits de blanqueamiento para uso en casa bajo supervisión dental.
En casa: el blanqueamiento dental desde casa consiste en el uso de férulas personalizadas con geles blanqueadores.
El blanqueamiento que realizamos en nuestra clínica dental en Zaragoza para este tipo de tinciones es un tratamiento cuya duración puede ir desde 2 hasta 6 meses. Al paciente se le realizan sesiones de blanqueamiento en clínica aplicando un producto específico y activado con un láser, también en el domicilio del paciente mediante férulas y producto que nosotros prescribimos y facilitamos.
Según el Consejo General de Dentistas de España, los productos blanqueantes con más del 0,1% de peróxido de hidrógeno deben usarse bajo supervisión dental, ya que un mal uso puede poner en riesgo tu salud. Además, las opciones con menos del 0,1% son inocuas, pero su eficacia es casi nula.
Sin embargo, en algunas ocasiones el blanqueamiento resulta inefectivo a la hora de devolver el blanco a su sonrisa. Por un lado, en los casos más severos de tinciones por tetraciclinas. Por otro, en el caso de dientes desvitalizados a causa de un fuerte traumatismo o de un proceso endodóntico, que solo podrán ser abordados mediante un blanqueamiento interno de la pieza.
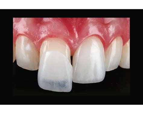
3. Tratamientos restauradores
Para manchas intrínsecas más profundas o cuando el blanqueamiento no es suficiente, las carillas dentales pueden ser una excelente solución.
Por otro lado, si las tinciones por tetraciclina son más intensas, severas o graves, te aconsejamos un tratamiento basado en carillas. Se tratan de finas láminas de cerámica o composite colocados sobre la pieza dental. Dentro de estas, se pueden diferenciar las carillas de porcelana y carillas de composite.
En Clínica Dental Lorenzo somos pioneros en la era de la odontología digital. Realizamos estas carillas con un sistema CAD/CAM llamado CEREC. Consiste en un escáner intraoral con el que sustituimos las incómodas pastas de impresión por modelo digital 3D de los dientes preparados para recibir las carillas.

Mediante un software informático diseñamos estas carillas con una gran biblioteca de anatomías dentales diferentes y frenamos estas carillas diseñadas de un grosor de 0,4 - 0,6 mm lo que permite reducir mucho los tiempos de trabajo y de colocación de estas carillas. En nuestra clínica somos especialistas en realizar este trabajo en un solo día, sin provisionales y sin esperas. Dependiendo de tu caso podemos rehabilitar tu sonrisa mediante carillas cerámicas en menos de 24 horas, un servicio único en la ciudad de Zaragoza.
4. Cambios en los hábitos diarios
Consume alimentos y bebidas sin pigmentos, como arroz, pollo, pescado blanco y lácteos naturales.
Prevención de las tinciones dentales
Prevenir las tinciones dentales es clave para mantener una sonrisa blanca y radiante.
- Mantén una buena higiene oral: cepíllate los dientes al menos dos veces al día con una pasta dental blanqueadora y utiliza hilo dental diariamente para eliminar la placa entre los dientes.
- Limita el consumo de alimentos y bebidas que manchan: modera el consumo de café, té, vino tinto y refrescos oscuros.
- Visita a tu dentista regularmente: las revisiones dentales regulares son fundamentales para detectar y tratar cualquier problema dental antes de que se agrave.
Las tinciones dentales pueden ser un inconveniente estético, pero con los tratamientos adecuados y un buen cuidado oral, es posible mantener una sonrisa brillante. Si has notado manchas en tus dientes o simplemente deseas mejorar la apariencia de tu sonrisa, te invitamos a solicitar una cita en Clínica Dental Alberto Barreiro. No esperes más para cuidar tu salud bucodental. ¡Pide tu cita hoy mismo!