Las encías oscuras pueden ser un problema de autoestima bastante difícil para la persona que las padece, pues tener unas encías oscuras afectan negativamente la forma estética de la sonrisa. Pero, lo más preocupante no es solo la parte visual, sino que el color de la mucosa probablemente sea un aviso de que presentamos alguna complicación relacionada con la salud bucodental.
No te alarmes si sufres esta afección, no siempre se trata de algo especialmente grave, pero es muy importante conocer las causas de las manchas negras en las encías. En Clínica dental Loscos contamos con un equipo de expertos en periodoncia que harán una exploración previa de tu caso para diagnosticar qué está causando que la encía se oscurezca.

¿Qué es la melanosis gingival?
La melanosis gingival o encías negras es un trastorno de pigmentación que afecta a la estética de la sonrisa, a pesar de no traer consigo patologías graves para la salud de quien lo sufre. Las tinciones oscuras en las encías comúnmente están relacionadas con enfermedades bucodentales por lo que es importante descartar cualquier posible enfermedad periodontal.
Pese a afectar solo a factores estéticos, es aconsejable acudir a la consulta de un profesional periodoncista en el momento que aparece una mancha negra en la encía o esta se oscurece.
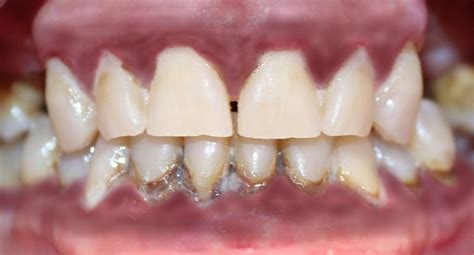
El aspecto de la encía debe ser de un color rosa pálido y de una textura gelatinosa. Su función es cubrir las raíces de los dientes y protegerlos. Si detectas que ese rosa se ha oscurecido o está acompañado de manchas negras es importante que un profesional estudie qué puede estar ocurriendo.
Causas de la aparición de una mancha negra en la encía
Los motivos por los que puede surgir una mancha negra en la encía pueden ser varios, como por ejemplo un consumo reiterado de ciertos medicamentos que afecten al sistema endocrino del paciente. Aunque no es lo habitual, la melanosis gingival puede ser también un signo de lesión periodontal o incluso de algunas enfermedades más graves como el cáncer oral.
Algunas de las causas por las que podría aparecer una mancha negra en la encía, son las siguientes:
- Aumento de secreción de melanina: Como explicábamos, una mancha negra en la encía suele estar causada por un aumento de secreción de la melanina, conocido como melanoplaquia. Es común que esta afección sea de naturaleza hereditaria y no implique una enfermedad periodontal, pero no hay manera de prevenir su aparición. Sin embargo, sí que se puede solucionar mediante diversos tratamientos de periodoncia.
- Tabaquismo: Otra causa de la melanosis gingival es el depósito de sustancias tóxicas del tabaco. La nicotina puede ser responsable de generar alguna mancha negra en la encía con ausencia de brillo. En este caso, lo mejor es dejar de fumar o, al menos, reducir la cantidad de cigarros que se fuman diariamente.
- Amalgama: Asimismo, una mancha negra en la encía también puede estar causada por el contacto con restauraciones de amalgama. Estas están fabricadas con metal y al entrar en continua fricción con la encía pueden generar la melanosis gingival. Este hecho tampoco significa que exista un problema de salud, sino que es únicamente estético.
- Enfermedades periodontales: Las enfermedades periodontales (gingivitis y periodontitis) afectan directamente al tejido de las encías. Lo habitual es que estas se inflamen y enrojezcan, pero hay casos en los que la acumulación de sarro y placa bacteriana acaba causando que la encía se vuelva oscura. Para tratar una encía oscura por una enfermedad periodontal hay que eliminar primero la infección y después realizar los tratamientos especializados para eliminar las manchas negras u oscuras.
- Ciertos medicamentos: Algunos medicamentos como los anticonceptivos y algunos antibióticos presentan en sus efectos secundarios la melanosis gingival. Pueden hacer modificaciones en la mucosa oral, causando manchas negras en las encías.
- Tratamientos dentales: Durante el postoperatorio de algunos tratamientos dentales como el injerto de encía puede generarse una necrosis en la zona. Esto consiste en que la cantidad de sangre que fluye por ese tejido es mínima. Por tanto, el tejido corporal muere temporalmente haciendo que la encía se oscurezca. Es algo de lo que no hay que preocuparse, es muy común y desaparece en cuestión de días.
- Manchas de nicotina: la acumulación de nicotina en las zonas que sujetan al diente estimula la cantidad de melanina, lo que hace que las encías se oscurezcan.
- Manchas por amalgama: la amalgama es un material metálico que se empleaba hasta hace unos años en algunas restauraciones de dientes. Actualmente está prohibido debido a que tenía mercurio que podía ser peligroso para la salud.
- Gingivitis: consiste en una inflamación de las encías producida normalmente por la acumulación de placa bacteriana o algún tipo de infección. Es el estadío más benigno de la enfermedad periodontal. La encía reacciona inflamándose y sangrando en muchos casos, originando mal aliento y problemas en nuestra salud oral.
- Periodontitis: se trata de un estadío más grave de la enfermedad periodontal. Las encías se infectan e inflaman provocando una destrucción del aparato de sujeción. Las encías se inflaman, sangran e incluso cambian de color, oscureciéndose. Además de afectar a la encía, afecta al hueso, provocando su destrucción y desencadenando así una movilidad o pérdida dental.
- Melanoplaquia: la herencia genética tiene, en ocasiones, una importante presencia en diferentes aspectos de la boca. Las encías son el tejido mucoso que rodea la cavidad oral, rodeando así todos los dientes. Esta encía forma parte del sistema de soporte del diente, realizando una barrera entre el hueso y el resto de la boca que de normal es de color rosa. Esta mucosa puede cambiar de color cuando se padece de algún tipo de problema como los citados anteriormente.
- Melanosis del fumador: La melanosis del fumador es una condición en la que la pigmentación de las encías aumenta debido al consumo de tabaco. Esta pigmentación es causada por el aumento de melanina en respuesta a la irritación continua del tabaco. Las manchas suelen ser de color marrón oscuro o negro y aparecen en áreas de las encías que están en contacto directo con el humo del tabaco.
- Amalgama dental: La amalgama dental es un material utilizado en empastes que contiene mercurio, plata y otros metales. Durante los procedimientos dentales, pequeñas partículas de amalgama pueden incrustarse en las encías, provocando una decoloración conocida como «tatuaje de amalgama». Estas manchas son generalmente inofensivas y se presentan como puntos negros o grises cerca del sitio del empaste.
- Medicamentos: Algunos medicamentos pueden inducir pigmentación en las encías como efecto secundario. Medicamentos como la minociclina (un antibiótico), ciertos antimaláricos, y medicamentos antirretrovirales pueden causar manchas oscuras en las encías. Esta pigmentación es generalmente benigna y puede ser reversible al suspender el medicamento, aunque siempre debe hacerse bajo la supervisión de un médico.
- Nevus melanocítico: El nevus melanocítico, o lunar, es una acumulación de células productoras de pigmento (melanocitos) que puede aparecer en las encías. Estas manchas suelen ser de color marrón o negro, de forma redondeada o irregular, y pueden estar presentes desde el nacimiento o desarrollarse a lo largo del tiempo.
- Melanoma oral: El melanoma oral es una forma rara pero grave de cáncer que puede manifestarse como una mancha negra en las encías. Este tipo de melanoma puede ser agresivo y requiere atención médica inmediata. Las manchas asociadas con el melanoma oral pueden cambiar de color, tamaño o forma, y pueden estar acompañadas de otros síntomas como dolor, sangrado o crecimiento rápido.
Tratamientos dentales
Si las encías están amoratadas e inflamadas, el tratamiento debe ser controlar la enfermedad periodontal. En este caso, el problema fundamental del paciente no es el estético, sino que está en riesgo la conservación de su dentadura. Gracias a estos tratamientos podrás recuperar la estética de tu sonrisa, pero además tu salud bucodental.
Una vez que hemos determinado la causa de la mancha negra en la encía, desarrollamos un plan de tratamiento personalizado para abordar el problema de raíz.
- Tratamiento periodontal: si las encías están amoratadas e inflamadas, el tratamiento debe ser controlar la enfermedad periodontal. En este caso, el problema fundamental del paciente no es el estético, sino que está en riesgo la conservación de su dentadura. Gracias a estos tratamientos podrás recuperar la estética de tu sonrisa, pero además tu salud bucodental.
- Eliminación de tatuajes de amalgama: Para manchas causadas por partículas de amalgama, podemos realizar un procedimiento para eliminar estas partículas de las encías.
- Cirugía menor: En casos más graves, como un nevus melanocítico sospechoso o melanoma oral, podemos realizar una cirugía menor para extirpar la mancha y enviar una muestra para biopsia.

¿Cómo eliminar una mancha negra en la encía?
Existe un gran abanico de opciones para eliminar una mancha negra en la encía, pero el principal es el tratamiento periodontal de microcirugía gingival, que se realiza con el láser de er-Yag. Se basa en eliminar el tejido oscurecido de la encía a través de la emisión de una luz a una longitud de onda de 2940 nanómetros que estimula la regeneración de la mucosa sin causarle el menor daño. Este tratamiento mínimamente invasivo es la solución más cómoda, indolora, eficaz y segura para el paciente, consiguiendo grandes resultados.
La microabrasión es otro tratamiento bucodental que se utiliza para pulir cuidadosamente cualquier tipo de mancha negra en la encía hasta borrarla. A través de esta técnica, el dentista es capaz de eliminar la melanosis gingival y devolver al paciente su color de encía natural.
Otro tratamiento muy útil para acabar con la preocupación que provoca la melanosis gingival es la despigmentación con bisturí. Esta técnica es una de las más efectivas para eliminar una mancha negra en la encía, pero es cierto que su cicatrización conlleva más tiempo al tratarse de un método quirúrgico.
- Tratamiento periodontal: si las encías están amoratadas e inflamadas, el tratamiento debe ser controlar la enfermedad periodontal. En este caso, el problema fundamental del paciente no es el estético, sino que está en riesgo la conservación de su dentadura. Gracias a estos tratamientos podrás recuperar la estética de tu sonrisa, pero además tu salud bucodental.
- Despigmentación quirúrgica: es una pequeña cirugía plástica periodontal. Sirve para eliminar el tejido epitelial. Este tratamiento se puede realizar con electrobisturí o con láser. En general, ambas técnicas son muy sencillas y rápidas. Sin embargo, el láser presenta una serie de ventajas para el paciente: reduce el sangrado y acelera la cicatrización.
- Microabrasión: Tanto la microabrasión como la despigmentación quirúrgica son tratamientos indicados para la melanosis gingival o para las encías oscuras debido al consumo de determinados fármacos.
- Injertos de encía: En algunos casos, los dentistas pueden recomendar injertos de encía para cubrir áreas oscuras. Este procedimiento implica la colocación de tejido sano sobre las zonas afectadas, logrando un color más uniforme y natural en las encías.
- Terapia láser: es otra opción para aclarar las encías. El láser permite eliminar las células pigmentadas sin dañar el tejido circundante. Además, este procedimiento es mínimamente invasivo, por lo que el tiempo de recuperación suele ser corto.
Prevención
La prevención es clave para mantener una buena salud bucal y evitar la aparición de manchas negras en las encías. Una higiene bucal adecuada es fundamental para prevenir una amplia gama de problemas dentales, incluidas las manchas negras en las encías.
- Consultar los efectos secundarios de los medicamentos: de esa manera, sabrás de antemano si pueden causar un perjuicio estético en tu boca. Y, en caso de que así sea, tendrás la oportunidad de preguntar al médico si existe otra opción.
- En una gran cantidad de casos, las encías oscuras o negras no se pueden prevenir, ya que están causadas por razones genéticas.
Encías oscuras por implantes
Te miras al espejo tras colocarte un implante y todo va bien… hasta que notas la encía más oscura de lo habitual. ¿Es normal? ¿Deberías preocuparte por ello?
Justo después de que nuestros dentistas en Santiago te coloquen un implante, es bastante habitual que la zona esté inflamada y que el color de la encía cambie un poco. A veces aparece amoratada o con un tono más oscuro. Es parte del proceso de cicatrización, y suele ir desapareciendo con los días.
Por ejemplo, si el implante o la prótesis tienen partes metálicas cerca de la superficie y tu encía es fina, es posible que esa estructura se “transparente” un poco. También es importante tener en cuenta tu higiene. El tabaco, el café, el vino tinto o una limpieza deficiente pueden teñir ligeramente la encía con el paso del tiempo.
Si notas que la zona se oscurece más con el paso de los días, que aparecen molestias, sangrado o incluso mal olor, es fundamental que vengas de nuevo a Clínica Implanteoral Milladoiro. Nosotros valoraremos en consulta todo lo que está ocurriendo: el color, tu higiene, tus hábitos, la estabilidad del implante… Y, si hace falta, haremos una radiografía para ver cómo está el hueso.
Si te preocupa el color de la encía tras un implante, contacta con nosotros. A veces no es nada, pero si lo es, mejor detectarlo a tiempo. Y si simplemente te molesta a nivel estético, buscaremos una solución.
Las enfermedades más comunes causadas por implantes dentales son la periimplantitis y la mucositis periimplantaria. Sus síntomas incluyen dolor, sangrado, inflamación de encías, mal olor y pérdida ósea.

¿Cuándo preocuparse por las encías negras?
En general, las encías negras o muy oscuras no suponen un problema para la salud oral de la persona. Sin embargo, como hemos mencionado, algunas personas piensan que son antiestéticas. Sin embargo, las encías moradas o rojas sí que pueden advertir la existencia de un problema de salud: gingivitis o periodontitis. En estos casos, es preferible acudir al odontólogo cuanto antes.
Ante cualquiera de estos signos, no dudes en consultar. En mi consulta he aprendido que muchos pacientes aguantan semanas o meses con sangrados o molestias leves por miedo a “molestar” o a lo que les digamos. ¡Al contrario! Mientras más pronto vengan, más sencillo suele ser el tratamiento. Así evitamos que una simple mucositis evolucione a periimplantitis.
Recuerda: tu implante no tiene terminaciones nerviosas propias, así que puede estar perdiendo hueso silenciosamente sin dolor hasta fases avanzadas.
Prevención de enfermedades en implantes
Siempre le digo a mis pacientes: “El éxito de un implante no termina cuando salés de la cirugía con tu diente nuevo, ahí comienza tu responsabilidad con su cuidado.” La prevención es tu mejor aliada para no tener nunca que enfrentarte a una periimplantitis.
- Higiene oral impecable todos los días: suena obvio, pero es la piedra angular. Cepíllate los dientes y el implante al menos 2-3 veces al día, dedicando el tiempo necesario (unos 2 minutos). Presta especial atención a la zona del implante: utiliza un cepillo de cerdas suaves para no irritar la encía, pero asegurándote de limpiar bien la unión entre la corona del implante y la encía. Complementa con hilo dental o cepillos interdentales (esos cepillitos pequeños) alrededor del implante para quitar placa donde el cepillo normal no llega. Si tu dentista te lo recomienda, también puedes usar un enjuague bucal antiséptico (por ejemplo, con clorhexidina en periodos cortos, o uno con aceites esenciales) para reducir las bacterias. La higiene meticulosa reduce drásticamente el riesgo de mucositis y periimplantitis.
- Visitas regulares de control y limpieza profesional: Tener implantes no significa “ya no volver al dentista hasta que duela algo”. Al contrario, recomiendo hacer revisiones periódicas con tu odontólogo o periodoncista cada 4-6 meses (según tu caso) para que evalúen tus encías e implantes. En estas visitas, realizaremos limpiezas profesionales (profilaxis) alrededor de los implantes, eliminando sarro o placa que tú no hayas podido quitar. También inspeccionaremos las encías: mediremos sondas alrededor del implante para detectar inflamación temprana, y tomaremos radiografías periódicas para vigilar el nivel del hueso. Estas visitas permiten detectar mucositis incipientes y tratarlas antes de que se vuelvan periimplantitis.
- No fumes, o reducí el tabaco al mínimo: Sé que dejar de fumar es un consejo frecuente para todo, ¡pero es que el tabaco realmente perjudica los implantes! Numerosos estudios han demostrado que los pacientes fumadores tienen mucho mayor riesgo de periimplantitis e incluso de fracaso del implante. El humo y la nicotina irritan la encía, disminuyen el flujo sanguíneo (lo que debilita las defensas locales) y facilitan que la placa bacteriana se mineralice formando sarro. Además, fumar retrasa la cicatrización tras la cirugía del implante y puede comprometer la integración con el hueso. Si eres fumador, intenta dejarlo o al menos reducirlo significativamente, sobre todo en las semanas de cicatrización tras la colocación del implante.
- Cuida tu salud general (diabetes controlada, etc.): Como cualquier parte de nuestro cuerpo, la boca está conectada con la salud integral. Diabetes no controlada, por ejemplo, se asocia con mayor incidencia de infecciones en implantes y peor respuesta al tratamiento. Si eres diabético, mantén tus niveles de glucosa estables con la medicación y dieta indicada, y avísale a tu dentista, porque quizás recome...
