Una sonrisa deslumbrante es una de las mejores cartas de presentación que podemos tener. Las carillas dentales se han convertido en la solución estrella para conseguirla. Las carillas representan la estética dental elevada a su máxima expresión, tienen la facultad de incrementar la belleza natural de los dientes y resaltar las características de la sonrisa.

Se trata de unas delgadas láminas de porcelana, fabricadas a medida, que se colocan sobre la superficie de los dientes, cubriendo el frente y el borde de los mismos, permitiendo corregir distintos tipos de defectos que puedan presentar los dientes. Pero… ¿sabías que no todas son iguales? Si estás pensando en transformar tu sonrisa con carillas pero te sientes perdido entre "composite" y "porcelana", sigue leyendo.
¿Qué son las carillas dentales?
Las carillas dentales son láminas extremadamente finas que se adhieren a la parte frontal de los dientes para mejorar su apariencia. Las carillas dentales son unas finas láminas que se adhieren a la superficie frontal (visible) de los dientes con el objetivo de mejorar su apariencia. Estas láminas pueden estar hechas de diferentes materiales, como la porcelana, el composite o el disilicato de litio, y se diseñan a medida de cada paciente.
Se utilizan en odontología estética para corregir diversos problemas, como el color, la forma, el tamaño de los dientes, los espacios entre ellos y fracturas menores. Las carillas dentales permiten solucionar las pequeñas imperfecciones que afectan al color, la forma, el tamaño y la posición de tus dientes.
Sonrisa más saludable, juvenil y armónica.
¿Para qué sirven las carillas dentales?
Las carillas dentales sirven para corregir pequeños defectos que afectan al color, el tamaño, la forma o la posición de los dientes. Al corregir los pequeños defectos de los dientes, las carillas dentales aportan a la sonrisa un aspecto más saludable, juvenil, cuidado y armónico. Las carillas dan un mejor aspecto en color y forma a los dientes.
Entre las imperfecciones que pueden solucionar podemos destacar las siguientes:
- Dientes amarillos o con manchas
- Desgastes en el esmalte
- Diastemas (espacios entre los dientes)
- Leves malposiciones dentales
- Fisuras o fracturas
En cualquiera de los casos anteriores es necesario que el odontólogo realice una valoración del paciente para determinar si las alteraciones de sus dientes pueden ser corregidas con carillas.

Tipos de Carillas Dentales: Composite vs. Porcelana
Los dos tipos principales son las carillas de composite y las carillas de porcelana. Tanto las carillas de composite como las de porcelana tienen su lugar en la odontología estética moderna. Las primeras ofrecen una solución accesible y rápida, mientras que las segundas proporcionan resultados de máxima calidad y durabilidad. Dos tipos materiales: disilicato de litio y composite.
Carillas de Composite
Las carillas de composite están fabricadas con una resina similar a la que utilizamos para los empastes estéticos modernos. Las carillas de composite se aplican directamente sobre el diente en capas en una sola visita. El dentista las esculpe y les da forma. Para casos menos severos existen como alternativa las carillas de composite, que es una resina que se modela sobre el diente a corregir.
Sus ventajas incluyen un precio más accesible, rapidez en el tratamiento, facilidad de reparación y un tallado mínimo o nulo del diente natural. Las principales ventajas de las carillas de composite son su proceso de colocación sencillo, que no requieren tallar los dientes y su precio. El composite se aplica directamente sobre el diente, normalmente en una única sesión. Son más económicas que las carillas de porcelana o disilicato de litio, pero también suelen durar menos tiempo.

Carillas de Porcelana
Las carillas de porcelana representan el estándar dorado en estética dental. En el caso de las carillas de porcelana es posible colocar unas carillas provisionales mientras se fabrican las definitivas. Las carillas de porcelana, al utilizar este material, cuentan con la ventaja de que resisten muy bien a las manchas. Además, la porcelana tiene un aspecto muy similar al de los dientes naturales cuando estos están sanos y blancos.
La colocación de carillas de porcelana requiere varias visitas. El proceso de colocación requiere varias visitas. En la primera cita, se realiza un tallado mínimo del diente para crear espacio para la carilla. Primero se realiza un tallado mínimo del diente, se toman impresiones y se envían a un laboratorio para fabricar las carillas a medida. Posteriormente, se toman impresiones precisas que se envían al laboratorio, donde técnicos especializados crearán tus carillas a medida.
En una segunda visita, se adhieren definitivamente. Sus ventajas son una estética excelente, gran durabilidad (10-20 años), resistencia a las manchas y al desgaste, y son biocompatibles.

¿Cómo Elegir el Tipo de Carilla Ideal?
La respuesta honesta es que no existe una opción universalmente superior. No hay una opción universalmente "mejor". Lo importante es descubrir qué es mejor para tu caso particular. La clave está en una evaluación profesional personalizada.
La elección ideal depende de factores personales como tu presupuesto, expectativas estéticas, el estado actual de tus dientes, tus hábitos (consumo de café, tabaco) y la durabilidad que deseas.
Si buscas una solución rápida y económica para mejoras menores, las carillas de composite pueden ser tu aliada perfecta.

Tabla comparativa de carillas de composite y porcelana
Procedimiento para Colocar las Carillas Dentales
Dado que existen distintos tipos de carillas dentales, cada una de ellas sigue un protocolo de colocación específico. Sin embargo, todas comparten los principales pasos del proceso.
- Estudio bucodental completo: consta de una exploración oral y la realización de radiografías (panorámicas y periapicales) y fotografías (intraorales y extraorales). Durante este proceso, el odontólogo examinará los dientes del paciente para asegurarse de que es apto para recibir el tratamiento y si es más adecuado realizarlo con carillas de porcelana o composite.
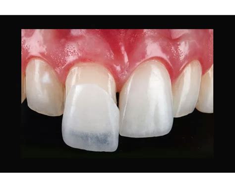
- Preparación de los dientes: con algunas carillas hay que realizar una mínima reducción del esmalte dental. Este paso suele ser necesario en las carillas de porcelana, pero no en las de composite. En segundo lugar, se preparará el diente a tratar. Esta preparación consiste en eliminar de la superficie del diente parte del esmalte. Sin tallado o con un tallado mínimo (como el grosor de un cabello).
- Toma de impresiones: tras preparar los dientes, en el caso de que haya que hacerlo, se toman medidas de los mismos para confeccionar las carillas de manera personalizada. En tercer lugar, se tomarán las impresiones.
- Fabricación de las carillas: la confección puede realizarse directamente en la clínica dental (en el caso de las de composite) o encargarse al laboratorio (en el caso de las de disilicato de litio). El cuarto paso consiste en colocar las impresiones de las carillas ya terminadas.
- Colocación de las carillas: en función del proceso de confección, la técnica de colocación también varía. Las carillas de composite se crean directamente sobre el diente, en una sesión en la clínica dental. En cambio, las carillas mínimamente invasivas (disilicato de litio) se fabrican en el laboratorio y posteriormente se colocan en la clínica dental. Para poder hacerlo, hay que preparar el diente, en un proceso que consiste en limpiar, pulir y grabar la pieza dental.
- Ajuste de la colocación: Para ello, se eliminará cualquier exceso del cemento especial utilizado. El quinto y último paso será ajustar esta colocación.
Al igual que en la mayoría de tratamientos dentales, es imprescindible que el paciente mantenga una buena higiene dental.
Durabilidad de las Carillas Dentales
La durabilidad es una diferencia clave. La duración de las carillas dentales está determinada por diversos factores, como los cuidados que siga el paciente en cuanto a higiene oral, alimentación, tabaco, hábitos, revisiones con el dentista, etc. Adicionalmente, la durabilidad del tratamiento también depende del material con el que están fabricadas las carillas y de la técnica de colocación (directa o indirecta).
Por ello, no resulta posible determinar de antemano cuánto tiempo duran las carillas dentales. Lo que sí podemos decirte es que, con unos cuidados y unos mantenimientos adecuados, son un tratamiento pensado para durar a largo plazo.
Precios de las Carillas Dentales
¿Quieres saber cuánto cuestan las carillas dentales? El precio de las carillas varía según el material elegido. El precio de las carillas puede variar en función del material, la cantidad de dientes tratados y la complejidad del caso. Además, contamos con planes de financiación para facilitar el acceso a los tratamientos.
A continuación, puedes ver los precios de las carillas dentales:
- 6 carillas: Pago único 1.107€
- 8 carillas: Pago único 1.396€
- 10 carillas: Pago único 1.671€
*Consulta las condiciones de financiación en la clínica.

Ejemplo de financiación para un tratamiento de carillas
¿Duele la Colocación de Carillas?
No, no es un tratamiento doloroso. ¿Te preguntas si duele colocarlas? En general, no. Normalmente, se hace incluso sin anestesia, ya que no se rebaja el diente.
Cuidados Posteriores y Mantenimiento
Las carillas dentales no requieren ningún cuidado diferente al que se le otorga a los dientes. En términos generales, podemos decir que las carillas dentales no requieren cuidados difíciles o especiales. Será suficiente con un correcto cepillado, el uso de la seda dental, la visita regular al dentista y la correcta limpieza. Es necesario mantener una buena higiene oral, tener precauciones al comer alimentos duros y acudir al dentista entre una y dos veces al año.
Además, en la mayoría de los casos será necesario usar una férula de descarga para dormir. Esto ayudará a proteger las carillas de los desgastes y contribuirá a que duren más tiempo.
¿Conoces los TIPOS de CARILLAS DENTALES? ✨ El mejor tratamiento ESTÉTICO para tu sonrisa👄
¿Qué pasa si se rompe una carilla?
Haciendo un buen uso de las mismas, es muy poco probable que pase, pero en el caso de que se rompa una carilla, únicamente habría que volver a diseñar y confeccionar una nueva, volviendo a adherirla al diente en las mismas condiciones.