Encontrar un pedazo de sarro desprendido puede ser inquietante. A menudo es consecuencia de una periodontitis avanzada, una higiene bucal deficiente o una limpieza dental postergada. La caída espontánea de un trozo de sarro no es normal ni un signo positivo.
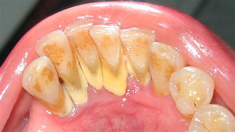
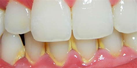
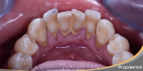
Cuando se cae un trozo de sarro dental, suele indicar acumulación crónica de placa calcificada. Aunque puede parecer un alivio, su caída puede dejar expuesta la encía o una caries. Entendamos qué es el sarro: es esa placa bacteriana que, por falta de higiene adecuada, se endurece y calcifica sobre los dientes (también llamado tártaro dental o cálculo dental). Suele tener un color amarillento o marrón y una textura rugosa. El sarro se adhiere fuertemente al esmalte y no se desprende fácilmente por sí solo con el cepillado normal.
Rutina Anti Caries ¿Cómo se lava los dientes un dentista en casa?
¿Por qué se cae el sarro?
Un trozo de sarro puede caerse principalmente cuando hay mucha acumulación y alguna fuerza o condición que lo despegue.
- Acumulación excesiva: Cuando el sarro lleva mucho tiempo acumulándose, puede formar depósitos grandes en tus dientes. A veces, una parte de ese depósito puede fracturarse o despegarse, por ejemplo al masticar algo duro o simplemente por su propio volumen.
- Ubicación típica: El sarro tiende a formarse especialmente detrás de los dientes inferiores frontales (incisivos inferiores) y en las muelas superiores, porque ahí desembocan las glándulas salivares. La saliva contiene minerales que facilitan la calcificación de la placa. Por eso, no es raro que un “trozo de sarro” provenga de la parte interna de los dientes delanteros de abajo, que es justo donde más se acumula.
- Intervención manual: Algunas personas, al notar una textura áspera en sus dientes, intentan rascar o palpar con la uña o algún objeto. Si haces esto, podrías accidentalmente desprender un fragmento de sarro.
- Retracción de encías: Si hay enfermedad en las encías (gingivitis o periodontitis), las encías pueden haberse retraído o separado del diente. En casos avanzados, el sarro puede estar ocupando ese espacio. Si la encía se retrae lo suficiente, el sarro puede aflojarse.

¿Es grave que se caiga un trozo de sarro?
La buena noticia es que, por sí mismo, un trozo de sarro caído no suele ser una emergencia grave. De hecho, suele ser un síntoma de otro problema: la presencia de sarro abundante en tu boca y posiblemente encías inflamadas.
- No suele doler: Si al caerse ese trozo no sentiste dolor ni sangrado abundante, probablemente no se rompió tu diente, sino que realmente era sarro. Mucha gente confunde un fragmento de sarro con un pedazo de diente, pero hay diferencias. El esmalte del diente es blanco o traslúcido y generalmente duele o deja sensibilidad cuando se rompe. En cambio, el sarro es amarillento/marrón, poroso, y al desprenderse rara vez causa dolor inmediato.
- Alivio engañoso: Algunas personas piensan «¡genial, se cayó el sarro, problema resuelto!». Ojalá fuera así de sencillo, pero el sarro no se elimina por completo solo. Que se caiga un fragmento puede dar la impresión de dientes más limpios en ese punto, pero ten en cuenta que seguirán quedando más depósitos adheridos al diente que no ves, o placa bacteriana en esa zona lista para calcificarse de nuevo.
Consecuencias de la acumulación de sarro
La presencia de sarro (sea que se caiga un pedazo o no) sí es algo serio si no se trata, porque indica que has tenido higiene insuficiente en alguna zona durante bastante tiempo. El sarro pegado a los dientes genera un ambiente ideal para bacterias que irritan e infectan las encías.
Esto puede provocar:
- Gingivitis: encías rojas, hinchadas y sangrantes.
- Periodontitis: una enfermedad más grave donde esas bacterias destruyen el hueso y ligamentos que sostienen el diente. En casos extremos, si dejas el sarro años sin tratar, podrías incluso perder piezas dentales porque la enfermedad periodontal las afloja.
¿Se puede caer el sarro “solo”?
Técnicamente, el sarro generalmente no se cae por sí solo como resultado positivo; es decir, no esperes a que tu boca se “limpie sola”. Si notas que se caen fragmentos de sarro sin asistencia, suele ser porque la situación ya es prolongada y severa. Es más, cuando a alguien “se le cae el sarro solo”, muchas veces es porque ya hay cierta destrucción debajo (encía retraída, diente un poco flojo, etc.).

¿Qué hacer si se desprende un pedazo de sarro?
Si te ha pasado esto recientemente, mantén la calma. Considera el trocito de sarro caído como un “aviso”.
- No entres en pánico: Lo primero, mantén la calma. Como ya mencioné, normalmente no es una emergencia grave. Si no hay dolor fuerte o sangrado, puedes respirar aliviado.
- Enjuaga tu boca suavemente: Lava tu boca con agua tibia (incluso con un poco de sal disuelta, que tiene efecto antiséptico suave) para eliminar cualquier resto suelto y refrescar la zona. Esto ayuda a que, si la encía quedó expuesta, no se irrite con residuos.
- No intentes arrancar más sarro por tu cuenta: Puede ser tentador pensar «si se cayó ese pedazo, voy a raspar a ver si quito más». ¡Evítalo! Rascar con objetos afilados (o con fuerza excesiva) puede lastimar tu encía o el esmalte del diente. Además, el sarro está fuertemente adherido; quitarlo tú mismo es difícil y podrías terminar con una lesión.
- Revisa tus síntomas: Pon atención a cómo se siente la zona. ¿Notas la encía inflamada donde estaba el sarro? ¿Hay sangrado leve al cepillar? ¿El diente se siente más sensible al aire o al agua fría ahora que se cayó la “costrita” de sarro? Algunos de estos síntomas son normales después de que el sarro se desprende, porque puede haber una pequeña inflamación en la encía alrededor o el diente expuesto a estímulos. Si el dolor es intenso o la encía sangra en exceso espontáneamente, eso sí amerita consultar más urgente.
- Cepilla con suavidad esa área: Continúa con tu higiene oral rutinaria, cepillando suavemente los dientes cercanos y usando hilo dental en la zona, sin hurgar demasiado debajo de la encía. Mantener la limpieza ayudará a que no se acumule más placa mientras esperas tratamiento.
- Agenda una visita al dentista lo antes posible: Este paso es clave. No lo dejes pasar. Aunque no tengas dolor, debes acudir a una limpieza dental profesional para retirar el resto del sarro. Idealmente, haz la cita en cuanto puedas dentro de los próximos días o semanas. Si tu dentista de cabecera tarda mucho, busca alternativas (lo importante es solucionar pronto).
- Mientras esperas la cita, cuida tu boca: En esos días previos a tu limpieza profesional, sé muy constante con tu higiene: cepíllate dos veces al día correctamente, usa hilo dental cada noche (con más razón ahora), y puedes añadir un enjuague bucal suave con clorhexidina si tu dentista te lo recomienda o uno sin alcohol para mantener baja la carga bacterial. Esto mantendrá a raya la placa bacteriana nueva y ayudará a que la encía se calme un poco.
Tratamiento profesional para eliminar el sarro
La solución efectiva para el sarro (sea un trozo o todo el depósito) es acudir al dentista para una limpieza dental profesional. Ningún remedio casero eliminará el sarro endurecido; la única forma segura y completa de quitarlo es con las herramientas adecuadas en la clínica.
Generalmente, se realiza lo siguiente:
- Ultrasonidos: Se usa un aparato de ultrasonidos que vibra y va rompiendo y despegando el sarro sin dañar el diente. Se aplica agua a la vez para lavar los restos.
- Raspado y alisado radicular (curetaje): Si el sarro estaba también debajo de la encía, quizás necesites un raspado y alisado radicular. Esto significa limpiar cuidadosamente esas bolsas periodontales. Se suele administrar anestesia local para que no sientas ninguna molestia si hay que limpiar en profundidad bajo la encía.
- Pulido: Tras quitar todo el sarro, pulimos la superficie de tus dientes. Esto se hace con una pasta especial y un cabezal rotatorio suave, dejando el diente lisito.
¿Y después del tratamiento?
Es posible que notes tus dientes más “raros” o sensibles al principio. Esto pasa porque, al quitar el sarro, las encías desinflaman y puede que se hayan retraído un poco si había inflamación crónica. También, al remover esa capa dura, los cuellos de los dientes quedan expuestos y pueden estar sensibles a frío/calor durante unos días. Esto es normal y temporal. Puedes usar un dentífrico para dientes sensibles un tiempo.
Prevención: La clave para evitar la acumulación de sarro
Después de haber pasado por la experiencia de ver caer un trozo de sarro de tus dientes, lo más lógico es pensar: «No quiero que me vuelva a ocurrir.» La prevención es tu mejor aliada para no acumular sarro o al menos minimizarlo.
- Higiene oral excelente y consistente: Cepíllate los dientes al menos dos veces al día, durante unos 2 minutos cada vez, alcanzando todas las superficies (por fuera, por dentro, las muelas al fondo). Tómate tu tiempo, especialmente en esas zonas críticas donde sabes que se te acumuló sarro (por ejemplo, la cara interna de los dientes inferiores frontales: inclina bien el cepillo ahí). Usa un cepillo de cerdas suaves o medias; un cepillado brusco con cepillo duro no limpia mejor la placa, solo puede dañar encías.
- Usa hilo dental (o cepillos interdentales): El cepillo por sí solo no llega entre diente y diente. Cada noche, antes de dormir, pasa hilo dental por todos los espacios interdentales. Ahí es donde la placa se esconde y luego forma sarro. Si tienes espacios amplios o puentes, puedes complementarlo con cepillitos interproximales.
- Enjuague bucal de apoyo: Un enjuague antibacteriano (como aquellos con clorhexidina en concentraciones bajas, o simplemente uno con aceites esenciales tipo Listerine) puede ayudar a mantener a raya las bacterias después del cepillado y el hilo. Ojo, el enjuague no sustituye al cepillo y al hilo, es un extra. Úsalo preferentemente una vez al día, después del cepillado nocturno.
- Alimentación y hábitos: Reduce el consumo frecuente de alimentos azucarados y ultraprocesados pegajosos. El azúcar alimenta a las bacterias que forman placa. También, si fumas, intenta reducirlo o dejarlo: el tabaco no solo mancha los dientes (haciendo el sarro más oscuro), sino que favorece más placa y sarro, y hace daño a las encías.
- Visitas periódicas al dentista: Esta es clave. Aunque seas muy juicioso con tu higiene, todos acumulamos algo de sarro con el tiempo. Lo recomendado es hacerse una limpieza dental profesional cada 6 a 12 meses, según tu caso. Algunos pacientes con tendencia a sarro (por genética, por saliva con mucho mineral, etc.) conviene que vengan cada 6 meses; otros, que lograron muy buena higiene, con una vez al año van bien. Lo importante es no dejar pasar años sin que un profesional revise.

Consecuencias de la acumulación de sarro en la salud bucodental
La acumulación del sarro en los dientes, especialmente a nivel radicular, es nociva para los tejidos que lo rodean. Las bacterias presentes en el sarro dental son capaces de provocar, de manera directa o indirecta:
| Problema | Descripción |
|---|---|
| Caries | Desmineralización de los tejidos duros. |
| Gingivitis | Inflamación de la encía. |
| Periodontitis | Pérdida del tejido gingival que sostiene al diente como consecuencia de la inflamación crónica de la encía. |
| Halitosis | Los residuos y los efectos de las bacterias son el origen en muchas ocasiones de mal olor en la boca. |
Siguiendo estos consejos de prevención, te aseguro que mantendrás el sarro bajo control. Nada me hace más feliz, como dentista, que ver en la siguiente revisión que “ya casi no tenías sarro, ¡buen trabajo!”. Y recuerda, cualquier duda que tengas en el camino, confía en profesionales.
En conclusión, que se te caiga un trozo de sarro no es el fin del mundo, pero sí es un aviso importante de que algo pasa en tu salud bucal. La solución pasa por mantener la calma, limpiar la zona, y sobre todo acudir al dentista para una limpieza profesional que elimine todo el sarro. Una vez hecho esto, pon en práctica hábitos de higiene rigurosos para que no se repita. Hablo en primera persona cuando digo: no hay nada como la sensación de unos dientes limpios y unas encías sanas después de quitar el sarro acumulado.