La pérdida de un diente es mucho más que un simple hueco en la boca, ya que afecta la confianza al sonreír, dificulta disfrutar de las comidas favoritas y puede influir en la forma de hablar. Afortunadamente, la odontología moderna ofrece soluciones como los implantes dentales, que no solo recuperan la estética, sino que también restauran la función y la salud de tu boca de la forma más natural y duradera posible.
Al considerar esta solución avanzada, la pregunta sobre la inversión necesaria es lógica. Encontrar una respuesta clara puede ser complicado, por lo que hemos creado esta guía para desglosar los factores que influyen en el coste, ofrecer rangos de precios orientativos, explicar qué incluye un presupuesto completo y mostrar las opciones de financiación disponibles.
Factores que Influyen en el Precio de los Implantes Dentales
Cuando se trata de un tratamiento tan importante como los implantes dentales, es fundamental entender que no existe un «precio estándar». Cada paciente es único, y por tanto, cada tratamiento también lo es. Un presupuesto detallado y profesional siempre será personalizado. Si te ofrecen un precio cerrado sin un diagnóstico previo, es una señal de alerta.
A continuación, te presentamos los factores clave que determinan el precio de los implantes dentales:
- Número de Implantes: No es lo mismo reponer un único diente perdido que rehabilitar una arcada completa. El coste se multiplica en función del número de implantes necesarios.
- Regeneración Ósea: Para que un implante tenga éxito, necesita estar rodeado de una cantidad y calidad de hueso suficiente. Si ha pasado mucho tiempo desde la pérdida del diente, es probable que sea necesario realizar técnicas de regeneración ósea, como un injerto de hueso o una elevación de seno maxilar.
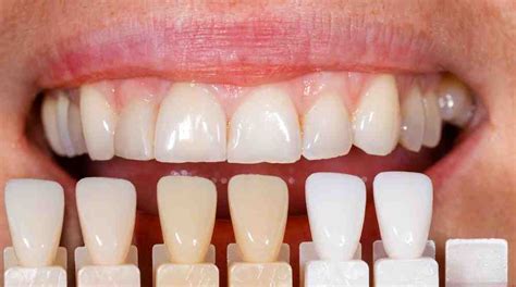
- Calidad de los Materiales: No todos los implantes son iguales. En el mercado existen implantes de diferentes gamas y no todas las coronas (el «diente» visible) tienen la misma calidad. Las coronas de zirconio son la opción premium por su altísima estética, translucidez y biocompatibilidad, imitando a la perfección un diente natural, mientras que las de metal-porcelana son una opción funcional y más económica.
- Tecnología y Planificación: La planificación y ejecución de la cirugía es un factor que diferencia a las clínicas de vanguardia. La implantología moderna se apoya en la tecnología 3D. Realizar un TAC o CBCT nos permite obtener un mapa tridimensional de tu hueso y planificar la posición exacta, la inclinación y la profundidad del implante de forma virtual antes de la cirugía. Esta planificación permite realizar una cirugía guiada por ordenador, que es mínimamente invasiva, mucho más precisa y segura, y con un postoperatorio más rápido y cómodo para el paciente.

Técnicas de regeneración ósea para implantes dentales.
Precios Orientativos de Implantes Dentales en Córdoba
Ahora que ya conoces los factores que personalizan cada presupuesto, podemos ofrecerte unos rangos de precios orientativos para que tengas una idea clara de la inversión. Es crucial recordar que estas cifras son una estimación. El presupuesto final y exacto solo se puede determinar tras un diagnóstico profesional en la clínica, con un estudio radiológico 3D que nos permita valorar tu caso de forma precisa.
- Implante Dental Unitario: Esta es la solución más común para reponer un único diente perdido. Generalmente, el coste de un implante dental completo en Córdoba se sitúa entre 1.200€ y 1.800€.
- Puente sobre Implantes: Cuando faltan varios dientes consecutivos, no siempre es necesario colocar un implante por cada diente ausente. Una solución muy eficaz es el puente sobre implantes, donde se colocan dos implantes en los extremos que sirven de pilares para una estructura fija que repone tres o cuatro dientes.
- Prótesis Fija Completa sobre Implantes: Para pacientes que han perdido todos los dientes de una arcada (superior o inferior) o cuya dentadura está en muy mal estado, la solución más avanzada es una prótesis fija completa sobre implantes. Técnicas como «All-on-4» o «All-on-6» permiten rehabilitar toda la boca con una prótesis fija de alta estética atornillada sobre 4 o 6 implantes estratégicamente colocados.
¿Cómo debes cuidarte luego de una cirugía de IMPLANTE DENTAL?
¿Qué Incluye un Presupuesto de Implantología?
Al comparar el precio de los implantes dentales en Córdoba, es vital que no te fijes solo en la cifra final. Un presupuesto aparentemente bajo puede ocultar costes adicionales que aparecen más adelante, como las revisiones, la prótesis provisional o las radiografías.
Un presupuesto completo debe incluir:
- Estudio Implantológico Completo: Diagnóstico 3D mediante un TAC o CBCT.
- Planificación Digital y Cirugía Guiada: Utilización de software avanzado para planificar virtualmente la cirugía.
- Implante dental (tornillo) y corona (diente).
- Tornillo de Cicatrización y Revisiones: Visitas de seguimiento para controlar la correcta cicatrización y la osteointegración del implante.
- Toma de Medidas y Prótesis Provisional (si aplica): Medidas precisas con escáner intraoral 3D.
Opciones de Financiación para Implantes Dentales
Somos conscientes de que la salud bucodental es una prioridad, pero también entendemos que el precio de los implantes dentales en Córdoba representa una inversión significativa. Nuestro compromiso es que el factor económico no sea un obstáculo para que puedas recuperar la función y la estética de tu sonrisa.
Colaboramos con las principales entidades financieras para ofrecerte planes a medida con condiciones muy favorables:
- Financiación hasta 24 meses sin intereses: Una de las opciones más solicitadas.
- Financiación a largo plazo hasta 60 meses: Si prefieres una cuota mensual aún más reducida, podemos gestionar una financiación de hasta 5 años.
El proceso es muy sencillo y ágil.
Preguntas Frecuentes sobre Implantes Dentales
- ¿Duele ponerse un implante dental? No. La cirugía de colocación de implantes se realiza bajo anestesia local, por lo que no sentirás ningún tipo de dolor durante el procedimiento. En el postoperatorio, es normal sentir una ligera molestia o inflamación en la zona, similar a la de una extracción dental, que se controla perfectamente con la medicación pautada por el cirujano.
- ¿Cuánto dura un implante dental? Un implante dental está diseñado para durar toda la vida. Los implantes de titanio de alta gama que utilizamos tienen tasas de éxito de osteointegración superiores al 98%. Sin embargo, para que el implante dure tantos años, es fundamental que el paciente mantenga una higiene bucodental excelente y acuda a sus revisiones periódicas en la clínica.
- ¿Qué pasa si no tengo suficiente hueso? No es un impedimento definitivo. Es una situación muy común, especialmente si ha pasado mucho tiempo desde que se perdió el diente. En estos casos, como mencionamos antes, existen técnicas de regeneración ósea para recuperar el volumen perdido.
Otros Tratamientos de Estética Dental en Córdoba
Además de los implantes dentales, existen otros tratamientos de estética dental que pueden ayudarte a mejorar tu sonrisa:
- Prótesis Dentales: En Clínica Dental Davident realizamos protesis dentales para restaurar la anatomía de una o varias piezas dentales. Son prótesis que usan las piezas dentales para ser soportadas, previamente han sido talladas para albergar el espacio requerido para el tamaño de la corona.
- Coronas de Zirconio-Porcelana: Se caracteriza por ser un metal blanco que evita a largo plazo la exposición del metal negro en sectores anteriores.
- Carillas Dentales: Modifican el frente estético de los dientes, mediante materiales que imitan a la perfección la forma y el color de unos dientes naturales.
- Blanqueamiento Dental: En Clínica Dental Davident realizamos blanqueamientos de varios tipos.

Ejemplo de carillas dentales para mejorar la estética de la sonrisa.
Ejemplos de Financiación en Clínica Dental Davident
A nivel económico, la prótesis de metal - porcelana es más asequible.
- Carilla sobre diente de disilicato de litio: Importe mínimo: 90€. Ejemplo de financiación para un importe de 237,00 € en 6 meses. Comisión de formalización del 2,00%: 4,74€ a pagar en la primera cuota. Importe financiado: 237,00€. Primera cuota de 45,10€. 04 cuotas de 40,36€ y una última cuota de 40,38€. TIN 7,45% TAE 15,40%. Total intereses: 5,18€. Coste total del crédito: 9,92€. Importe total adeudado y precio total a plazos: 246,92€. Precio de adquisición al contado: 237,00€. Sistema de amortización francés. Financiación ofrecida por Banco Cetelem S.A.U. *Incluye carilla sobre diente de disilicato de litio. Revisión y seguimiento.
- Importe mínimo: 144€. Ejemplo de financiación para un importe de 604,00€ en 12 meses. Comisión de formalización del 2,00%: 12,08€ a pagar en la primera cuota. Importe financiado: 604,00€. Primera cuota de 64,47€. 10 cuotas de 52,39€ y una última cuota de 52,35€. TIN 7,45% TAE 11,82%. Total intereses: 24,64€. Coste total del crédito: 36,72€. Importe total adeudado y precio total a plazos: 640,72€. Precio de adquisición al contado: 604,00€. Sistema de amortización francés. Financiación ofrecida por Banco Cetelem S.A.U.