Cada vez son más las personas que desean lucir una sonrisa perfecta y radiante, y las carillas dentales son una excelente opción para lograrlo. Las carillas dentales no solo cumplen una función estética, sino que también permiten corregir pequeñas alteraciones estructurales y funcionales de forma mínimamente invasiva. Además de mejorar la imagen, estas finas láminas devuelven seguridad y confianza al sonreír.

¿Qué son las carillas dentales?
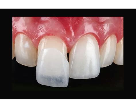
Son unas láminas finas que se adhieren a la superficie frontal de los dientes para mejorar su apariencia estética. La aplicación de las carillas dentales es un tratamiento estético mínimamente invasivo y relativamente rápido que se realiza en pocas visitas al dentista.
Ventajas de las carillas dentales
Las carillas dentales se han convertido en una solución innovadora y eficaz para quienes buscan transformar su sonrisa de manera rápida y duradera. Las carillas dentales ofrecen múltiples beneficios que las convierten en una opción ideal para mejorar la estética dental:
- Transformación estética inmediata: Las carillas nos permiten corregir rápidamente varias imperfecciones dentales, como dientes manchados, desalineados, desgastados o con espacios interdentales.
- Conservación de la estructura dental: A diferencia de otras restauraciones más invasivas, las carillas requieren una eliminación mínima del esmalte dental.
- Resistencia y durabilidad: Fabricadas generalmente de porcelana, las carillas son altamente resistentes a las manchas y pueden durar muchos años con el cuidado adecuado.
- Mantenimiento sencillo: Cuidar las carillas es tan fácil como mantener una buena higiene oral diaria.
- Refuerzo de la confianza: Una sonrisa atractiva tiene un impacto significativo en la autoestima de una persona.

Tipos de carillas dentales
Las más populares son las carillas dentales de porcelana, por su apariencia natural y durabilidad. Se fabrican a medida y se adhieren a los dientes mediante un proceso adhesivo. En función de cada paciente se opta por una u otra.
El paso del tiempo no afecta a las carillas de porcelana, en cuanto a cambios de coloración se refiere, lo que sí ocurre con las carillas de composite, sobre todo si son de baja calidad.

¿Para quién están indicadas las carillas de porcelana?
No hay limitaciones para el tratamiento con carillas de porcelana porque responden a las necesidades de cualquier paciente de estética dental avanzada. Son la solución ideal para disimular manchas persistentes que no responden al aclarado dental, como las producidas por tetraciclinas, fluorosis o desgaste del esmalte. La cobertura estética consigue un color uniforme y estable con el paso del tiempo.
Permiten modificar contorno, proporciones y tonalidad de los dientes para lograr una sonrisa más equilibrada. Es un tratamiento bioestético y biomimético que pasa desapercibido por terceras personas. Para el diseño de la sonrisa hemos encontrado un aliado fundamental en las carillas porcelánicas por lo que tienen de tratamiento eficiente y poco invasivo para descubrir el canon perfecto en tu sonrisa.
Con ellas cumplimos nuestra máxima de “vienes con una sonrisa y te vas con una sonrisa”.
Veneer Esthetic Plus®: Un tratamiento premium
Las Carillas Veneer Esthetic Plus® son un tratamiento de estética dental premium que emplea carillas de porcelana de alta calidad confeccionadas a medida para cada paciente. No tiene efectos secundarios y propone una actuación que puede ser reversible. Estas carillas son confeccionadas por el prestigioso Instituto Oral Design siguiendo unos criterios artísticos y artesanales de personalización de tu tratamiento según tus necesidades particulares y las que se derivan de la forma y naturaleza de tu rostro.
Un tratamiento indoloro, rápido e individualizado, que consiste en pulir el esmalte, sin desgastarlo, para conseguir una adhesión perfecta entre éste, el diente y las nuevas carillas de porcelana extra finas, confeccionadas por Oral Design de forma artesanal y de manera única para cada paciente, según tus necesidades y acorde a tu rostro, con la tecnología CAD-CAM de impresión digital.
Veneer Esthetic Plus® es un tratamiento a medida de una calidad insuperable, que cuenta con una garantía de 15 años. Condiciones que sitúan estas carillas a una distancia considerable de esas carillas predeterminadas y preformadas, que han sido confeccionadas en serie, en un monobloque de un solo color cuyo bajo precio siempre va vinculado a una total ausencia de naturalidad. En tan solo tres sesiones puedes recuperar una sonrisa más blanca, más brillante y más joven.
En una primera fase te vamos a realizar el Análisis Estético Dento Facial Digital® para hacer una aproximación a tus deseos y objetivos como paciente.
¿Por qué elegir carillas de porcelana?
Cuanto más personalizado y de mayor calidad sean los materiales empleados en las carillas dentales mejor será su apariencia, llegando a ser completamente “indistinguibles” del resto de piezas. Las carillas estéticas de porcelana permiten una ajustada personalización, máxime si se emplean los más modernos protocolos de odontología digital, como es el caso del Análisis Estético Dento Facial Digital® que hemos desarrollado y patentado en la Clínica Fernando Soria. La porcelana se comporta perfectamente como material biocompatible tanto respecto al tejido de las encías como a cualquiera que se encuentre en la localización bucodental.
La alta personalización del tratamiento que llevamos a cabo en nuestras clínicas y la alta calidad y tecnología de las carillas Veneers que empleamos, nos permiten obtener una resistencia idéntica al esmalte e, incluso, superior a él en su respuesta a las manchas que producen la alimentación y diferentes hábitos del día a día.
El tratamiento con carillas de porcelana es mucho menos o, incluso, nulamente “intrusivo” (dependiendo de las necesidades del paciente), frente al que se desarrolla con coronas, debido a las leves o inexistentes manipulaciones que precisa la pieza dental. El tratamiento con carillas estéticas de porcelana no precisa de anestesia ya que en el tratamiento solo se pule el esmalte dental, sin desgastarlo. La implantación de las carillas porcelánicas es muy sencilla y rápida de realizar, pudiendo ser reversible, ya que no tocamos la estructura dental.
Mantenimiento y durabilidad de las carillas dentales
En Dental Echeverría, explicamos a nuestros pacientes que la durabilidad de las carillas dentales puede variar dependiendo del material que se elija y de los cuidados que se les dé. Nos aseguramos de que nuestros pacientes sepan que las carillas están diseñadas para sentirse como parte de sus dientes naturales.
Recomendamos a nuestros pacientes tratar sus carillas de la misma manera que tratarían sus dientes naturales. Esto incluye mantener una buena higiene bucal con cepillado regular, uso de hilo dental y visitas periódicas al dentista. Es importante evitar morder objetos duros o usar los dientes como herramienta para abrir cosas para evitar dañar las carillas.
Las carillas dentales no son permanentes, ya que con el tiempo pueden desgastarse, perder su brillo y requieren de una eventual sustitución. Los sistemas de adhesión actuales, son absolutamente fiables y, por tanto, este tipo de productos tienen una gran resistencia a desprenderse infinitamente mejor que hace unos años.
La alta eficiencia y capacidad del tratamiento con carillas estéticas porcelánicas, evita que se despeguen, dando al paciente su máximo confort, seguridad y confianza.
¿Son naturales las carillas dentales?
Sí, las carillas dentales parecen muy naturales y se adaptan a la forma, el tamaño y el color de tus dientes existentes para lograr un resultado armonioso y natural. Las carillas de porcelana son particularmente conocidas por su capacidad para imitar la apariencia de los dientes naturales debido a su translucidez y la capacidad de reflejar la luz de manera similar a los dientes reales.
Además, los avances en la tecnología dental han permitido que las carillas sean cada vez más personalizadas y adaptables para satisfacer las necesidades y deseos estéticos de cada paciente. En algunos casos (como es el tratamiento que usamos nosotros de Veneers Esthetic Plus® y que explicaremos más adelante) tocamos mínimamente la estructura dental por lo que supone un tratamiento reversible. Por lo general, el tratamiento es reversible ya que la estructura dental permanece. La preparación dentaria es cada vez menor y por lo tanto debajo de las carillas preservamos los dientes naturales.
¿Cómo se cuidan las carillas dentales?
Las carillas dentales requieren de un cuidado similar al de los dientes naturales, incluyendo una buena higiene oral diaria y visitas regulares al dentista.
Debido a hábitos, como fumar, tomar té, café, vino tinto, jugos cítricos y demás, los dientes tienden a volverse mas oscuros o amarillos. Las carillas de porcelana no se manchan con productos como el café, el tabaco o el vino. Es muy difícil que esto ocurra. Se podría producir en los márgenes laterales y en ese caso la caries se trataría desde la parte interior de la boca sin que afectase a la carilla de porcelana.
Les aseguramos a nuestros pacientes que el procedimiento para colocar carillas es mínimamente invasivo y generalmente no doloroso. Se aplica anestesia local durante la preparación de los dientes para garantizar el confort. Antes de considerar las carillas, es esencial tratar cualquier problema de salud dental como caries o enfermedades de las encías. Las carillas no son una solución para dientes dañados estructuralmente o profundamente cariados.
Carillas dentales en Barcelona y Madrid
¿Quieres que te traten los mejores dentistas de Madrid? En Smile Design Center será nuestro grupo de expertos quien valore y recomiende al paciente qué tipo de carillas va a ser mejor o más aconsejable en cada caso . Pide una cita informativa a nuestro grupo de expertos.
Especialistas en carillas dentales en Barcelona. En Dental Echeverría, comprendemos la importancia de lucir una sonrisa que refleje confianza y bienestar.
Tabla comparativa: Carillas de porcelana vs. otros métodos
Te vamos a mostrar en la siguiente tabla las ventajas de nuestro tratamiento con carillas dentales de porcelana frente a otros métodos.
| Característica | Carillas de Porcelana (Veneer Esthetic Plus®) | Otros Métodos |
|---|---|---|
| Personalización | Alta personalización con criterios artísticos y artesanales | Menos personalización, a veces preformadas |
| Material | Porcelana de alta calidad | Diversos materiales, incluyendo composite |
| Durabilidad | Alta resistencia a manchas y desgaste | Variable, menor resistencia en algunos casos |
| Invasividad | Mínimamente invasivo, a veces reversible | Puede ser más invasivo, requiriendo mayor desgaste dental |
| Estética | Apariencia natural y biocompatible | Puede variar en naturalidad y biocompatibilidad |
| Garantía | Hasta 15 años | Variable o inexistente |
El precio de las carillas dentales: ¿Cuánto cuestan?
La realización de carillas es un procedimiento bastante complejo, como todos los que tiene que ver con los dientes del sector anterior superior. Asimismo, la comunicación con el laboratorio es crucial. Conviene tener en cuenta que una carilla bien realizada deberá tener varios colores en su estructura con el fin de que se comporte de forma natural ante la luz y no tenga ese aspecto monocromático, como de tecla de piano, que presentaban algunas coronas o carillas antiguas y tristemente también de hoy en día.
*Desde 390€ Tratamiento a tu medida.
Preguntas frecuentes sobre carillas dentales
¿Tienes dudas acerca de cómo podemos ayudarte? Revisa estas preguntas que nos hacen con frecuencia.
Solicite asesoramiento. Pida una cita informativa a nuestro grupo de expertos. ¿Quieres saber más de tus carillas de porcelana? Pide una cita GRATIS sin compromiso con nuestra especialista para evaluar tu caso de manera personalizada y explicarte los beneficios que puedes conseguir.
Casos de éxito
Nuestra paciente Marta, llegó a nuestra clínica dental con las ideas muy claras, quería transformar su sonrisa porque no estaba a gusto con ella. Sus requisitos: que la nueva sonrisa fuera natural, blanca y perfecta.
El tratamiento dental que realizamos a nuestro paciente Kiko fue reemplazar sus antiguas coronas por nuestras exclusivas y personalizadas coronas de porcelana.
El Dr. Soria ha devuelto la confianza a Carmen, se siente alegre y rejuvenecida y el miedo a sonreir forma parte de su pasado.
