La ferulización dental es la unión de dos o más piezas dentales que pretende dar estabilidad y evitar la movilidad de los dientes. Existen distintas técnicas y motivos por los que realizar una ferulización dental. Como hemos dicho, no sólo se utiliza para impedir que se muevan las piezas dentales una vez finalizado el tratamiento de ortodoncia.
En muchas ocasiones los pacientes nos preguntan qué pueden hacer para «fijar» uno o varios dientes que presentan movilidad. Para estos casos el especialista puede optar por una técnica llamada ferulización, que consiste en la inmovilización de la pieza que sufre movilidad. Esta técnica consiste en unir las piezas móviles con otras próximas que tienen una mayor estabilidad.

Un diente que se mueve puede generar gran preocupación, ya sea por un golpe, enfermedad de las encías o cualquier otra causa. Aunque la idea de solucionar este problema rápidamente con un remedio casero es tentadora, lo cierto es que no se recomienda intentar pegar un diente flojo por tu cuenta. Como clínica dental en Córdoba, la clave para resolver este inconveniente es buscar atención profesional lo más pronto posible.
Cuando un diente se mueve, es señal de que algo está afectando su estabilidad. Esto puede ser causado por un golpe en la boca, una enfermedad periodontal (como la gingivitis o periodontitis) o incluso por un mal cuidado dental. En cualquiera de estos casos, la intervención profesional es fundamental para que el diente no se pierda.
¿Cuándo está indicada una ferulización dental?
La técnica empleada dependerá del tipo de tratamiento que vaya a realizarse.
- Tras finalizar el tratamiento de ortodoncia: Ésta es la más conocida, puesto que al terminar con brackets, alineadores, etc. se realiza para evitar que los movimientos que se han corregido puedan recidivar, es decir, volver a moverse a su posición inicial.
- Tras traumatismo dental: Cuando uno o más dientes han recibido un golpe y se ha producido una luxación, el odontólogo examina el estado de los dientes afectados y realiza radiografías para comprobar el estado de la raíz y el hueso.
- Dientes comprometidos periodontalmente: Como ya sabemos, la enfermedad periodontal supone la pérdida de la estabilidad de los dientes, perdiendo hueso y encía. Con el tiempo puede verse comprometida la vida de las piezas, pudiendo llegar a caerse por falta ósea.
- Preparación para una cirugía ortognática: Cuando va a realizarse una cirugía importante de los huesos maxilares, se ferulizan todas las piezas para evitar movimientos en los dientes.
Ferulización Post-Ortodoncia
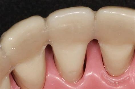
Al terminar un tratamiento de ortodoncia con Brackets o Invisalign, se suele realizar una ferulización para impedir que los dientes corregidos vuelvan a su posición inicial de antes de la ortodoncia. La técnica más empleada en este caso es la colocación de un alambre, generalmente entre canino y canino, en la parte interior de los dientes.
Para ello, se sitúa un alambre, más comúnmente entre canino y canino de la mandíbula y/o del maxilar, en la parte interior de los dientes (lingual y palatino). Este alambre queda unido a cada uno de los seis dientes mediante composite. El alambre se prepara previamente y se va adaptando a la forma de los dientes del paciente. Esto es conocido como: retenedor lingual. Evita que los dientes corregidos mediante ortodoncia se muevan a su posición original.
Una alternativa o complemento al retenedor fijo es una férula removible. Una férula transparente es realizada individualmente para cada paciente adaptándose perfectamente a la boca evitando que se realicen movimientos de los dientes tratados con ortodoncia. Esta férula solo es efectiva en el momento en el que se pone. Al ser removible, es imprescindible de la colaboración del paciente. Si deja de ponerse durante un tiempo, hay un riesgo de que puedan moverse los dientes. Es por ello que se recomienda su uso al menos durante todas las noches.
Ferulización Tras Traumatismo Dental
También es habitual emplear esta técnica cuando el paciente ha sufrido un traumatismo y se le mueve una o más piezas dentales. Cuando el diente o dientes presentan cierta movilidad se recurre a la ferulización para evitar que puedan caerse las piezas. La ferulización estabiliza los dientes hasta que los ligamentos periodontales se recuperan y los dientes vuelven a su estado habitual.
Esta ferulización puede realizarse mediante un alambre y composite, sólo composite o fibra de vidrio.
Ferulización en Pacientes Periodontales
Las enfermedades periodontales (gingivitis y/o periodontitis) ponen en peligro los dientes al debilitar las encías y el hueso en el que se sujeta la raíz. Cuando el periodoncista considera que hay movilidad y los dientes pueden mantenerse, se realiza una ferulización. En este caso se realizaría como en el caso de un traumatismo dental.
La movilidad dental producida por la enfermedad periodontal se debe tratar, en primer lugar, realizando un tratamiento de encías, es decir, actuando sobre el factor causante de esa movilidad. En muchas ocasiones durante el tratamiento o en la finalización del mismo, nos encontramos con una movilidad importante de la pieza dental que hace que el paciente tenga bastantes molestias.
Ferulización Pre-quirúrgica
Puede darse el caso de que haya que ferulizar las piezas dentales para evitar movimientos de las mismas por una cirugía importante de los huesos maxilares. En muchas ocasiones los pacientes nos preguntan qué pueden hacer para «fijar» uno o varios dientes que presentan movilidad.
Ferulización Dental
Procedimiento de Ferulización Dental
El tratamiento principal como expertos en implantes dentales en Córdoba, para pegar un diente que se mueve es la ferulización o entablillado. Este procedimiento consiste en unir el diente flojo a los dientes adyacentes mediante un compuesto dental especial y un pequeño alambre. El procedimiento es relativamente rápido y se realiza de forma ambulatoria. Además, permite que el diente recupere la estabilidad, lo cual es crucial para su recuperación.
El dentista no solo tratará el diente flojo, sino también la causa de su movilidad. Si la causa es una enfermedad periodontal, el dentista realizará una limpieza profunda de las encías y, en algunos casos, puede ser necesario usar antibióticos para controlar la infección.
Tipos de Ferulizaciones
Existen diferentes tipos de ferulizaciones según su duración y propósito:
- Permanentes: se utilizan de manera indefinida.
- Semipermanentes: se colocan para evitar sus movimientos.
Causas de la Movilidad Dental
Cuando un diente se mueve, es señal de que algo está afectando su estabilidad. Esto puede ser causado por:
- Un golpe en la boca
- Una enfermedad periodontal (como la gingivitis o periodontitis)
- Un mal cuidado dental
Enfermedad Periodontal
No es una exageración afirmar que la periodontitis puede causar la movilidad, e incluso la pérdida de dientes. Aunque inicia con un ligero sangrado de encías y la acumulación de placa, es fundamental frenar en el momento justo la enfermedad periodontal. De lo contrario, las bacterias prosiguen su progreso hasta penetrar en la encía y empiezan a dañar las estructuras que sustentan los dientes.
Lo primero es tratar siempre la enfermedad periodontal de las encías; esto supone la eliminación de la placa bacteriana mediante un procedimiento llamado raspado y alisado radicular. Si la enfermedad está avanzada, un procedimiento con colgajo quirúrgico puede ser necesario para tratar adecuadamente las encías.
Traumatismos
Las lesiones en la boca pueden no preocuparte si no te han causado una fractura en los dientes. Sin embargo, es siempre importante que un especialista examine la boca, ya que podría existir daño en la estructura interna que no es visible a simple vista. Si las estructuras de soporte de los dientes (alveolo o raíz) están afectadas, el diente podría llegar a moverse.
Infección por Pulpitis
La pulpitis es una infección que se origina en los vasos sanguíneos y las terminaciones nerviosas del diente. La realidad es que no se puede cambiar esta situación con soluciones domésticas. Una vez que la pieza se desplaza, es fundamental actuar rápidamente y recurrir a un dentista.
¿Cómo prevenir la movilidad dental?
Para prevenir la movilidad dental, es crucial mantener una buena higiene bucal y seguir las recomendaciones de tu dentista:
- Se recomienda siempre utilizar pasta de dientes con flúor (más de 1450ppm de flúor).
- Los más recomendable para preservar una óptima salud bucal y reforzar dientes y encías es seguir rutinas adecuadas de higiene en casa. La profilaxis en la clínica realizada por un higienista hará la diferencia.
- Para prevenirlo, siempre incluye otros elementos de higiene como el hilo dental, raspador lingual, cepillo interproximal, irrigador bucal y enjuague bucal.
- Si practicas deportes de contacto o actividades que puedan poner en riesgo tus dientes, considera usar un protector bucal.
- Las visitas regulares al dentista son fundamentales para detectar cualquier problema de movilidad dental antes de que se convierta en una urgencia.
Cuidados Posteriores a la Ferulización
Como en todo tratamiento odontológico, es fundamental una buena higiene y un buen cuidado del mismo. En las ferulizaciones es extremadamente importante la higiene. En el caso de llevar alambre, pueden quedarse muchos restos de alimentos y placa a su alrededor y en la encía. En cuanto a los retenedores removibles, es aconsejable su limpieza con un cepillo de dientes diferente al que se emplea para la higiene bucodental, agua y jabón neutro cada vez que se quiten de la boca. Conviene secarlos tras su lavado. De esta manera, se evita que se acumulen restos de sarro y saliva, así como el mal olor.
Un cuidadoso cepillado es muy importante. Se deberán hacer visitas dentales regulares, cada tres o seis meses, para mantener la férula y asegurar el cuidado dental apropiado.

Importancia de la Higiene Bucal
La acumulación de placa bacteriana y cálculo sobre los dientes es un indicio de una mala higiene bucal y una técnica de cepillado incorrecta. Esta acumulación de sarro y cálculo es el hogar de muchas bacterias, lo que provoca cambios perjudiciales en la encía adherida a los dientes. Mientras el sarro permanezca allí, la encía permanecerá roja e hinchada, ya que está causando un daño continuo a las encías. Si las condiciones de higiene siguen siendo las mismas, llegará un momento en el que el diente solo estará sujeto por ese sarro y la encía perderá su unión. Con una higiene adecuada, se puede prevenir la pérdida de dientes.
Otras Consideraciones
Aunque pueda parecerte raro, todos los dientes se desplazan ligeramente debido a un fenómeno conocido como movilidad fisiológica. La finalidad de la ortodoncia es, exactamente, llevar a cabo micromovimientos dentales progresivos para lograr una oclusión ideal. Para conseguirlo, los brackets o alineadores aplican presión sobre tus dientes. Acostumbrarse a dormir con un nuevo aparato no siempre es fácil y la adaptación lleva algunos días.
Sin embargo, si alguna de tus piezas tiene movilidad, te animo a solicitar una cita en nuestra clínica de Santa Cruz de Tenerife. Ofrecemos la primera visita dental gratuita de 30 minutos de duración. En la que conocemos las inquietudes del paciente y organizamos un plan de tratamiento. Asimismo, proponemos unpresupuesto sin compromiso. Nuestra filosofía como clínica odontológica se basa en la prevención.
Preguntas Frecuentes
- ¿Se puede salvar un diente que se mueve? Sí, si se trata rápidamente, un dentista puede estabilizar el diente y salvarlo.
- ¿Es seguro usar pegamento casero para pegar un diente que se mueve? No, el uso de pegamento casero puede irritar las encías y empeorar la situación.
- ¿Cuánto tiempo tarda en recuperarse un diente después de la ferulización? El tiempo de recuperación depende de la causa.
Visita a tu dentista o periodoncista para un examen completo y conocer todas las opciones. Si al final la opción debiera ser un tratamiento de implantes dentales, en Clínica Stoma somos especialistas en implantes dentales.
tags: #ferulizacion #por #movilidad #dental