¿Has notado en tu boca la presencia de algún bulto o protuberancia en los tejidos blandos? Puede tratarse de un tumor benigno que aparece por el mordisqueo constante, succión o por el uso de prótesis. En este artículo, explicaremos qué es y cómo tratar un fibroma oral, así como las medidas que puedes tomar para prevenir que aparezcan.

¿Qué es un Fibroma Oral?
El fibroma en la mucosa oral es una lesión que tiene origen hiperplásico. Aparece en los tejidos blandos como reacción a un estímulo constante sobre la zona. Por ejemplo, cuando la persona muerde con frecuencia sus labios o el carrillo.
Ese estímulo persistente provoca irritación, lo que da origen al fibroma, que tiene características similares a las cicatrices. Como esta, posee fibras de colágeno tipo I y III, por lo que se le conoce como cicatriz hiperplásica. También recibe otros nombres como fibroma traumático -uno de los más comunes-, hiperplasia fibrosa local, pólipo oral o nódulo fibroso.
Los fibromas traumáticos son la patología más común en los tejidos de la cavidad oral y su aparición está relacionada con estímulos crónicos. Estos tumores suelen tener menos de dos centímetros, son benignos y aparecen en cualquier parte de los tejidos blandos de la boca. Al no causar molestias y, en ocasiones, ser tan pequeños, es probable que el paciente no note su presencia.
Sin embargo, si el estímulo que lo provoca se extiende en el tiempo, puede crecer. Es por eso que mediante las visitas al odontólogo se detecta su presencia para tratarlo antes de que se vuelva más incómodo.
¿Cómo es un Fibroma?
Las características de la hiperplasia fibrosa focal son las siguientes:
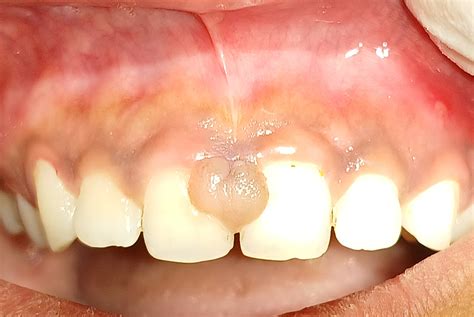
- Aparece una masa o tumor con base sésil, es decir, que no tiene tallo y está unido a la superficie. También puede ser pediculada, con tallo.
- Tiene un aspecto carnoso, con forma redonda u ovalada. Si crece debajo de una prótesis, la superficie será plana.
- La masa suele ser blanda o dura y estar cubierta de un epitelio escamoso estratificado.
- Tiene un color rosa, similar al del resto del tejido oral, aunque debido a la falta de vasos sanguíneos puede ser más claro.
- Su crecimiento es lento y el tamaño suele ser entre 1 y 1,5 centímetros; sin embargo, puede crecer más de eso y en este caso hablamos de fibromas gigantes.
- Los tumores son asintomáticos, aunque pueden generar molestias por su ubicación y tamaño. Además, debido al roce constante pueden ulcerarse.
- Por otra parte, son benignos y no evolucionan a un fibroma bucal maligno.
Tipos de Fibromas Orales
Fibroma Traumático
Estas lesiones en la cavidad oral aparecen a cualquier edad, incluso se han encontrado en bebés. Sin embargo, casos como esos no son muy frecuentes. Aunque los niños son los menos afectados, sí es posible que se presenten, en esta etapa los más comunes son los osificantes. En cambio, el fibroma oral es más común en adultos entre los 30 y 60 años.
El nódulo aparece en zonas en las que hay un trauma frecuente. Los sitios más usuales son la lengua, la cara interna de los labios, carrillos, encía y paladar; en este último no es tan frecuente.
Otros Tipos de Lesiones Orales Similares
El fibroma traumático se llega a confundir con otras lesiones que son más delicadas. Tales como neurofibroma, lipomas, fibromatosis, hiperplasia fibrosa inflamatoria, tumores benignos y malignos en las glándulas salivales, entre otros. De allí la importancia de evaluarlo y hacer un diagnóstico preciso. De acuerdo al sitio y las características donde aparezca la lesión se determinará si se trata de un fibroma o algún otro problema.
El dentista se encargará de hacer el diagnóstico diferencial. Si la lesión aparece en la lengua, puede ser que se trate de un neurofibroma o también un neurilemoma. En este último caso, la lesión puede provocar dolor. Hay que descartar también que se trate de tumores, los cuales pueden aparecer en el paladar. En la encía suele aparecer granulomas piogénicos y en la mejilla los lipomas.
Otra señal de que puede tratarse o no de un fibroma es la cantidad de lesiones. Si hay más de una lesión en la boca, es probable que se trate de algo distinto a un fibroma.
Síntomas y Diagnóstico del Fibroma Oral
Cómo Identificar un Fibroma en la Boca
Un fibroma oral está ubicado en los tejidos blandos de la boca (encías, interior de las mejillas, lengua y revestimiento interno de la boca) y al tacto se puede sentir como una masa sólida, con una coloración rosada o un tono parecido al de las encías.
Como paciente debes estar atento a la aparición de cualquier bulto en la cavidad oral. En especial si estás consciente de algún hábito que pueda provocar la aparición de un fibroma.
Pero para recibir un diagnóstico acertado es necesario acudir a un especialista para que realice algunas pruebas, ya que este profesional el que está capacitado para identificar lesiones durante la evaluación de rutina.
Métodos Diagnósticos Utilizados por el Odontólogo
Una consulta con un dentista que realice una evaluación física (visual y táctil) de la boca del paciente, es el primer paso para detectar un fibroma en la boca. Durante esta revisión, el médico también indagará sobre la historia clínica del paciente, consultará si se han observado cambios en la lesión y cuáles síntomas ha tenido.
Por último, el especialista tomará una pequeña muestra de la lesión, para ser analizada mediante una biopsia, y así poder confirmar el diagnóstico.
Causas del Fibroma Oral
El fibroma oral se origina por un trauma localizado. Las causas más comunes son por morderse los labios o las mejillas, la succión de carrillo e irritación por prótesis y dentaduras mal ajustadas o defectuosas.
La irritación provoca el sobrecrecimiento del tejido que puede ser elevado. Además, la superficie puede ser lisa o ulcerada, de acuerdo a su ubicación.
Algunos expertos señalan que personas que sufren anemia y problemas en la piel son más propensas a este tipo de tumores benignos. De igual forma, se ha encontrado mayor incidencia en mujeres.
Por otra parte, también afecta la salud bucal de los pacientes con diabetes. Esto puede ser por el uso de prótesis y problemas de cicatrización de esta población.
¿Cómo se Trata un Fibroma Oral?
Tratamiento Quirúrgico: Cuándo es Necesario
El tratamiento para el fibroma traumático es quirúrgico. Es decir, solo se elimina al extirparlo mediante una cirugía. Si tiene tallo, debe extraerse desde la base de este.
Se puede hacer de forma manual o con láser. Para ello, el cirujano adormece el área en la que se encuentra la lesión, luego hace un corte alrededor de la base. Por último, se sutura y, si es necesario, se cierra con un colgajo.
Una vez que se extraiga el tejido, este debe evaluarse para descartar que se trate de alguna otra patología.
Otra alternativa para eliminar el fibroma es mediante la criocirugía. Para usar esta técnica se utiliza nitrógeno líquido que congela el tejido y lo destruye. Este tratamiento no provoca dolor ni sangrado; sin embargo, la muestra que se obtiene no se puede evaluar luego para el diagnóstico definitivo.
Una vez que se forma la lesión, esta no desaparece por sí sola y tampoco existen remedios caseros para el fibroma en la boca. Es posible que su tamaño disminuya un poco si se elimina la causa que lo provoca, pero la involución espontánea no es probable.

Recuperación Tras la Extirpación
Después de la extracción quirúrgica del fibroma, la lesión aparecerá de nuevo si persisten las causas que lo originaron. De manera que la eliminación definitiva dependerá también de que se elimine también el problema que lo causó.
El tejido se analiza luego para asegurarse de que no se trate de una lesión distinta a un fibroma. Hacer este análisis es aún más necesario si la lesión creció muy rápido.
El postoperatorio es sencillo y no suele presentar ningún problema en el tejido. Es importante continuar con la higiene bucal durante todo el proceso, siguiendo las recomendaciones del odontólogo.
Alternativas o Cuidados en Casa
Acudir con un profesional de la salud bucal es indispensable para recibir el diagnóstico certero y recibir un tratamiento oportuno y adecuado. No se recomienda realizar o probar tratamientos caseros; ya que no resultan efectivos para este tipo de condición, por el contrario, podrían empeorar el problema.
¿Cuándo Acudir al Dentista por un Fibroma? Señales de Alarma
Si tienes un bulto en la boca que no mejora en un lapso máximo de dos semanas, empeora o viene acompañado de otros síntomas, como dolor agudo, sangrado, fiebre, pus u otras secreciones. También si se observan cambios en el aspecto del bulto, como de color, tamaño o textura, es indicativo de que se debe buscar atención médica.
Además, son signos de alarma si la masa o bulto tienen un tamaño considerable e interfieren con acciones normales como hablar o comer, es momento de acudir al dentista.
Frecuencia de Revisiones Recomendadas
Luego de recibir un tratamiento por fibroma oral, se recomienda hacer un seguimiento regular con el dentista para asegurarse de que mantienes una adecuada rutina de higiene bucal, que lleve a una buena salud bucal.
Asimismo, en las consultas con el dentista es posible detectar signos de recurrencia.
¿Cuánto Dura un Fibroma?
El fibroma traumático o por irritación puede tardar algunas semanas en formarse. Si la causa que lo provoca es persistente, seguirá creciendo hasta alcanzar su tamaño máximo que, por lo general, no llega a alcanzar los dos centímetros de diámetro.
Una vez que se forma, el mismo paciente puede percibir su presencia en la boca. Sin embargo, el fibroma no presenta síntomas. Lo que sí puede ocurrir es que puede haber un dolor intenso si la persona lo muerde.
La lesión no desaparecerá por sí sola. En cambio, para eliminarla hay que extirparla y de esto se encargará el dentista.
Por ello son importantes las revisiones periódicas; así el especialista puede encontrar la lesión y diferenciarla de otros problemas similares para luego eliminarla. Asimismo, recomendará las medidas de prevención pertinentes para evitar que vuelvan a aparecer fibromas en la boca del paciente.
Prevención del Fibroma Bucal
Ya sabemos cómo curar el fibroma bucal, su eliminación debe hacerse a través de una escisión quirúrgica. Pero también es importante saber cómo prevenir que aparezca. En principio, hay que entender que la causa son los traumatismos crónicos y la irritación constante. De manera que al eliminar el origen, evitaremos que vuelvan a aparecer.
Por este motivo también es importante hacerle seguimiento al caso. Puede ser que un paciente muerda sus labios por estrés, en ese caso, hay que buscar la manera de reducir este problema mediante técnicas que le ayuden a relajarse.
Los odontólogos pueden recomendar el uso de protectores dentales durante la noche para evitar que el paciente muerda sus labios y mejillas mientras duerme.
Reducir los traumatismos es la manera más adecuada de prevenir. Además, es un complemento necesario para la cirugía de extirpación; de lo contrario, el fibroma oral aparecerá de nuevo.
De cualquier manera, si el problema persiste y la lesión vuelva a crecer, es necesario hacer una biopsia para descartar otros problemas. Por otra parte, si el paciente ya tiene un fibroma traumático, debe tener cuidado de no morderlo y tampoco cepillarlo durante su rutina de higiene. Esto puede hacer que la irritación aumente y, en algunos casos, hasta provocar sangrado. Se puede saber que ha habido sangrado si el fibroma presenta un color oscuro.
Esperamos que te haya quedado claro cómo tratar un fibroma oral. Aunque se trata de una lesión benigna, se puede confundir con otras similares, por lo que debe eliminarse y hacerse un diagnóstico adecuado.
Tabla resumen: Fibroma traumático oral
| Característica | Descripción |
|---|---|
| Definición | Lesión benigna causada por irritación crónica. |
| Causas | Mordisqueo, succión, prótesis mal ajustadas, etc. |
| Síntomas | Generalmente asintomático, puede causar molestias por tamaño o ubicación. |
| Diagnóstico | Examen físico y biopsia. |
| Tratamiento | Extirpación quirúrgica. |
| Prevención | Evitar traumatismos crónicos, uso de protectores dentales. |
👉 ¿Sabes cómo se quita un BULTO en la ENCÍA? 👄 TIPOS de bulto y CÓMO ELIMINARLOS
tags: #fibroma #traumatico #en #encia