La fístula dental es una de las afecciones más comunes y molestas que pueden padecer los pacientes. En este artículo, exploraremos en detalle qué es una fístula dental, sus causas, síntomas, diagnóstico y, lo más importante, cómo se trata y se previene.

¿Qué es una Fístula Dental?
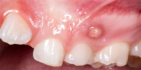
Una fístula dental, o absceso periapical, es una acumulación de pus en un tejido periodontal. Una fístula dental es una pequeña abertura o canal anormal que se forma en la encía o en la región cercana a la raíz de un diente infectado. Este conducto puede abrirse y generar una vía de salida del pus, lo que provoca dolor. El principio de funcionamiento es similar al de un canal de drenaje.
Llamamos fístula dental al canal que se origina desde la zona infectada de un diente hasta la superficie exterior de la encía. En ese canal se acaba depositando pus y, conforme se llena, se crea una protuberancia o grano próximo a las encías. Es el propio organismo quien crea esta fístula, y lo hace tras detectar una infección dental. En dicha fístula se alberga el pus que se genera y que no somos capaces de drenar. Por lo tanto, aunque es una dolencia bucodental y una infección, también es un mecanismo que sirve de alerta.
Diferencia entre Fístulas Dentales, Aftas y Abscesos
Es importante diferenciar las fístulas dentales de otras afecciones bucales como las aftas y los abscesos:
- Aftas: Aunque las aftas tienen un aspecto similar a las fístulas dentales, su causa es completamente distinta: se producen cuando el sistema inmunitario provoca la muerte del tejido de la mucosa oral. Los puntos amarillos blanquecinos del centro no son pus, sino decoloración.
- Abscesos: Al igual que las fístulas dentales, los abscesos están causados por una inflamación bacteriana en el tejido gingival. Sin embargo, a diferencia de las fístulas, el pus que se forma como consecuencia de la inflamación no puede drenar por sí solo de los abscesos porque está completamente encapsulado y no hay ninguna abertura hacia la cavidad bucal. Por lo tanto, un absceso siempre debe abrirse mediante cirugía.
Mientras que las aftas y los abscesos también pueden producirse en el paladar, en el interior de las mejillas o en la lengua, las fístulas dentales se forman exclusivamente en las encías, normalmente directamente encima o debajo de un diente o un implante.

Causas de las Fístulas Dentales
La formación de una fístula dental puede ser el resultado de distintos motivos y causas. Las fístulas dentales pueden tener varias causas, pero generalmente están asociadas con problemas de salud oral que han progresado sin tratamiento adecuado.
El desencadenante más común del desarrollo de fístulas dentales es una infección bacteriana de la raíz del diente, especialmente de la punta de la raíz del diente. Una infección de este tipo se produce cuando un diente está infectado por caries y las bacterias pueden abrirse camino hasta la raíz del diente.
La principal causa de una fístula dental es una caries profunda o mal curada. Cuando las bacterias presentes en la placa dental interactúan con los azúcares y almidones de los alimentos, producen ácidos que erosionan el esmalte dental. Con el tiempo, esta erosión puede crear orificios en el esmalte, conocidos como caries. Si no se tratan, las caries pueden penetrar en las capas más profundas del diente, llegando a la pulpa dental, donde se encuentran los nervios y los vasos sanguíneos.
Otra de las causas más comunes es la enfermedad periodontal. La inflamación de las encías también puede provocar fístulas dentales. Esto ocurre si no te cepillas los dientes lo suficiente y no eliminas la placa con la frecuencia necesaria. Las bacterias se acumulan entonces en la línea de las encías y las atacan con sus productos metabólicos tóxicos. La periodontitis , una inflamación del periodonto, es la fase avanzada de la gingivitis , en la que no sólo se ataca a las encías, sino también a los huesos maxilares.
Los traumatismos dentales, como golpes o caídas, también pueden desencadenar la formación de fístulas dentales. Un traumatismo en un diente puede dañar el tejido pulpar y provocar una infección que se propague a través de la raíz del diente hacia los tejidos circundantes.
Además, existen otros factores que pueden aumentar el riesgo de desarrollar una fístula dental:
- Muelas del juicio: los cordales, comúnmente conocidos como las muelas del juicio, son los que erupcionan en la edad adulta al final de nuestra boca y que puede producirnos algún que otro problema.
- El estrés y la tensión mental afectan a todo el organismo y debilitan el sistema inmunitario.
- Los fumadores tienen hasta siete veces más probabilidades de desarrollar periodontitis que los no fumadores.
- Una dieta rica en azúcar es un auténtico combustible para la inflamación.
- Con un sistema inmunitario debilitado, las bacterias lo tienen especialmente fácil y pueden propagarse con rapidez.

Síntomas de una Fístula Dental
Una fístula dental puede manifestarse a través de varios síntomas que indican la presencia de una infección en el diente o en los tejidos circundantes. Es importante saber detectar estos síntomas para buscar atención dental inmediata y recibir el tratamiento adecuado.
Cuando se forma la fístula dental, aún no causa dolor. Al principio, la zona afectada se hincha. Las encías se enrojecen y hay una sensación de tensión en el diente. A continuación, se forma una ampolla en la encía, encima o debajo del diente afectado, que se llena de pus a medida que avanza. La fístula dental empieza a palpitar y doler. Puede que incluso se te hinche la cara del lado afectado y te duela la cabeza. Esto puede tardar varias semanas en desarrollarse.
Si se ha acumulado mucho pus y la presión es excesiva, la fístula dental se rompe y el pus se drena a la cavidad oral. Pero ¡cuidado! Esto no significa que la fístula dental se haya curado y haya desaparecido. Como la inflamación persiste, todo vuelve a empezar: la fístula dental vuelve a llenarse de pus hasta que estalla de nuevo.
Estos son algunos de los síntomas más comunes:
- Dolor e inflamación: Una de las primeras señales de una fístula dental es el dolor en la zona afectada. El dolor es uno de los síntomas más característicos de una fístula dental. Puede manifestarse como un dolor punzante, pulsátil o constante en el área del diente afectado. Este dolor puede empeorar al masticar, hablar o aplicar presión sobre el diente comprometido. La infección en la raíz del diente puede provocar sensibilidad al calor y al frío, así como dolor constante o punzante. Al principio, las encías se inflaman ligeramente y enrojecen. Con el tiempo, la fístula dental se llena de pus y aparece un dolor punzante. Si se aplica mucha presión, el pus drena hacia la cavidad oral.
- Absceso dental: La presencia de una fístula dental puede dar lugar a la formación de abscesos dentales. Un absceso dental es una acumulación de pus causada por una infección bacteriana en el tejido dental. En el caso de una fístula dental, el absceso puede manifestarse como una protuberancia roja y dolorosa en las encías cerca del diente afectado. Esta protuberancia puede estar acompañada de sensibilidad al tacto y al calor, así como de hinchazón en el área circundante.
- Mal aliento: La infección asociada a una fístula dental puede causar mal aliento persistente, también conocido como halitosis. Los pacientes con fístulas dentales también pueden experimentar cambios en el sabor y olor de la saliva. Esto se debe a la presencia de pus y desechos bacterianos que se acumulan en el conducto de la fístula y se mezclan con la saliva.
- Movilidad dental: En algunos casos, las fístulas dentales pueden provocar una pérdida gradual de soporte dental, lo que resulta en una mayor movilidad de los dientes afectados.
Cabe señalar que puedes padecer una fístula dental sin dolor. Son protuberancias que salen en la zona de las encías y que, aunque se inflaman, no siempre duelen.
Diagnóstico de una Fístula Dental
👉 ¿Sabes cómo se quita un BULTO en la ENCÍA? 👄 TIPOS de bulto y CÓMO ELIMINARLOS
El diagnóstico de una fístula dental requiere una evaluación exhaustiva por parte de un dentista. Durante el examen, el dentista examinará detenidamente su boca y buscará hinchazón, enrojecimiento, lesiones y otras anomalías en las encías. A continuación, realiza una prueba de frío para comprobar si la raíz o el nervio del diente siguen siendo plenamente funcionales o ya han muerto. Si el diente está sano, al paciente le resultará desagradable el frío y reaccionará en consecuencia. A continuación, se realiza una radiografía de la mandíbula para que el dentista pueda reconocer si los huesos maxilares ya están afectados por la inflamación y dónde se encuentra exactamente el foco inflamatorio.

Si tu dentista descubre una fístula dental durante el embarazo, las cosas se complican un poco más. Como durante el embarazo se deben evitar las radiografías, tu dentista no podrá evaluar el alcance de la fístula dental.
Tratamiento de una Fístula Dental
El tratamiento de una fístula dental se centra en eliminar la infección y restaurar la salud del diente afectado. El tratamiento de una fístula dental no solo consiste en eliminar el conducto fistuloso, sino en tratar la infección que la ha causado.
Dependiendo de lo avanzada que esté la fístula dental, el dentista puede recomendar distintos tratamientos. Una vez realizado el diagnóstico, el tratamiento dependerá de la causa subyacente y la gravedad de la infección.
Si te han diagnosticado una fístula dental, el dentista suele recetarte antibióticos para eliminar las bacterias que han causado la inflamación. Gracias al antibiótico mejorará la sintomatología pero no se tratará la causa que originó el problema. Si la inflamación es claramente limitada y ya se ha eliminado la causa, es posible que tu dentista no quiera tratar la fístula dental con antibióticos, sino que te pida que utilices un colutorio antibacteriano.
En algunos casos, puede ser necesario drenar el absceso para aliviar el dolor y la presión. El dentista puede realizar un drenaje incidiendo el absceso para permitir que el pus y los desechos se eliminen del área afectada.
Si siente un dolor intenso y necesita acortar el tiempo de espera hasta la cita con el dentista, puede tomar analgésicos sin receta que contengan el principio activo Ibuprofeno . Estos analgésicos tienen un efecto antiinflamatorio.
En algunos casos, la terapia antibiótica ya es suficiente. Sin embargo, a menudo el dentista tiene que utilizar un bisturí y abrir la fístula con una pequeña incisión bajo anestesia local.
El dentista también utilizará la radiografía para evaluar si son necesarias medidas adicionales:
- Tratamiento de conducto: Cuando la infección ha alcanzado la pulpa dental y amenaza la salud del diente, se puede recomendar un tratamiento endodóntico, también conocido como tratamiento de conducto radicular. El dentista perfora el diente infectado, lo drena y lo sella. Una vez que los conductos están limpios, se rellenan con un material de obturación para prevenir futuras infecciones.
- Apicectomía: Si la fístula dental ha sido causada por una inflamación de la punta de la raíz del diente, el foco de inflamación puede eliminarse mediante una apicectomía para evitar que la inflamación siga extendiéndose, ya sea mediante un tratamiento con láser o como procedimiento quirúrgico clásico.
- Extracción dental: En casos graves de fístula dental, donde el daño al diente es extenso o el tratamiento endodóntico no es posible, puede ser necesario extraer el diente afectado. En situaciones más graves, cuando el diente está severamente dañado o no es viable para el tratamiento, puede ser necesario extraerlo.
Tras la intervención quirúrgica, es importante que su dentista controle el proceso de cicatrización. De este modo, podrá asegurarse de que no se produzcan complicaciones ni una reinflamación inmediata. Incluso una vez finalizado el tratamiento, debe vigilar de cerca la zona afectada y someterse a revisiones periódicas por parte de su dentista. Esto se debe a que las fístulas dentales pueden reaparecer.
Remedios Caseros y Homeopatía
No existe ningún remedio casero que pueda combatir la causa de las fístulas dentales, es decir, una raíz dental inflamada. Sólo un tratamiento dental puede hacerlo. No obstante, puede utilizar remedios caseros para usted o para su hijo que le ayuden a aliviar los síntomas.
Algunas personas confían en los enjuagues bucales con té de manzanilla frío. También se dice que el aceite de clavo y el aceite de árbol de té ayudan con los síntomas de las fístulas dentales. Puedes enjuagarte la boca varias veces al día con agua tibia mezclada con dos o tres gotas de aceite. El ajo y la cebolla tienen un efecto antibacteriano, antimicrobiano y antiinflamatorio. Puedes cortarlos en trozos pequeños y colocarlos sobre la zona afectada durante unos minutos para que se absorban.
Al igual que los remedios caseros, puede utilizar remedios homeopáticos como los glóbulos y las sales de Schüssler para complementar el tratamiento dental. Sin embargo, nunca pueden sustituir al tratamiento con cirugía y/o antibióticos.
Nota: Hasta la fecha, el efecto de la homeopatía no se ha demostrado científicamente.
Prevención de las Fístulas Dentales
Afortunadamente, tú mismo puedes hacer algo para prevenir la aparición de fístulas dentales. Prevenir la formación de fístulas dentales es fundamental para mantener una salud bucal óptima.
Las infecciones bacterianas responsables del desarrollo de fístulas dentales suelen estar causadas por una higiene bucal deficiente, ya que la placa no se elimina con regularidad o con la suficiente profundidad. Afortunadamente, tú tienes todo el control: puedes prevenir la caries, la gingivitis y la periodontitis prestando especial atención a una higiene bucal completa.
Para prevenir la formación de fístulas dentales, es fundamental:
- Mantener una buena higiene oral: Cepíllate los dientes al menos dos veces al día con un cepillo de dientes de cerdas suaves y utiliza hilo dental para eliminar la placa y los restos de alimentos entre los dientes.
- Visitar regularmente al dentista: Acude a revisiones dentales periódicas, al menos cada seis meses, para un chequeo exhaustivo de tu salud bucal. Las visitas regulares al dentista son esenciales para detectar y tratar problemas dentales en etapas tempranas, antes de que se conviertan en afecciones más graves como las fístulas dentales.
- Tratar las caries y enfermedades periodontales de manera oportuna: Si se detecta una caries dental o enfermedad periodontal, es importante tratarlas de inmediato. El tratamiento oportuno de caries y enfermedades periodontales es crucial para prevenir la formación de fístulas dentales. Las caries sin tratar y la enfermedad periodontal avanzada pueden causar infecciones y provocar la formación de fístulas dentales.
- Evitar el consumo excesivo de alimentos azucarados: Los alimentos ricos en azúcares y carbohidratos pueden aumentar el riesgo de caries dental.
- Dado que los fumadores tienen un mayor riesgo de sufrir fístulas dentales, ahora es un buen momento para dejar de fumar e iniciar un estilo de vida más saludable.
- Esto incluye una dieta sana con abundantes alimentos antiinflamatorios, como fruta y verdura, especialmente jengibre, cúrcuma, guindilla, cebolla y ajo. Debe evitar en gran medida el azúcar y los llamados carbohidratos "rápidos" (como los que se encuentran en la harina blanca) porque favorecen la inflamación.