¿Te ha aparecido un bulto en la encía? ¿Sabías que puede tratarse de una fístula dental? En este artículo, te explicamos cuáles son sus características, a qué se debe y qué tratamientos existen para eliminarla.
En BLASI Clínica Dental Barcelona, comprendemos que la fístula dental representa un desafío significativo para la salud bucodental de nuestros pacientes. En Dental Care Barcelona, sabemos perfectamente la preocupación que puede generar una fístula dental en las personas. Este problema dental, que se caracteriza por una infección que crea un conducto entre el diente y el exterior de la boca, puede ser muy doloroso y preocupante para nuestros pacientes.
En este artículo, nos enfocaremos en un problema dental común pero crucial: la fístula dental.

¿Qué es una Fístula Dental?
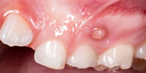
Una fístula dental es un pequeño canal que se forma desde la zona infectada del diente, que suele coincidir con el ápice de la raíz, hasta la superficie exterior de la encía. La fístula dental tiene el aspecto de una ampolla llena de pus en la boca, similar a un grano de pus. El pasaje actúa como depósito de pus y a medida que se llena, se forma una pequeña protuberancia en forma de grano cerca de las encías.
Una fístula dental es una pequeña abertura o canal anormal que se forma en la encía o en la región cercana a la raíz de un diente infectado. Esto es una fístula dental, o absceso periapical, es una acumulación de pus en un tejido periodontal, que puede abrirse y generar una vía de salida del pus, lo que provoca dolor. Una fístula dental es una afección oral que implica la formación de un conducto anormal entre el diente y el exterior de la boca.
El principio de funcionamiento es similar al de un canal de drenaje. La creación de una fístula dental se produce debido a la propagación de una infección en el diente o en los tejidos circundantes. Normalmente, la infección se origina en el interior del diente, en la pulpa dental, donde se encuentra el tejido blando, los nervios y los vasos sanguíneos. Esta conexión anormal se crea como resultado de una infección dental que ha progresado y se ha extendido más allá de la raíz del diente, formando un absceso. La fístula actúa como un conducto de drenaje para permitir que el pus y los desechos de la infección se eliminen del cuerpo.
Las fístulas dentales suelen desarrollarse debido a una inflamación bacteriana en un diente o en la raíz de un diente, más concretamente en la punta de la raíz del diente.
Diferencias entre Fístulas Dentales, Aftas y Abscesos
Aunque las aftas tienen un aspecto similar a las fístulas dentales, su causa es completamente distinta: se producen cuando el sistema inmunitario provoca la muerte del tejido de la mucosa oral. Esto puede deberse al estrés, al debilitamiento del sistema inmunitario debido a una enfermedad o a una lesión. Los puntos amarillos blanquecinos del centro no son pus, sino decoloración.
Los abscesos -al igual que las fístulas dentales- están causados por una inflamación bacteriana en el tejido gingival. Sin embargo, a diferencia de las fístulas, el pus que se forma como consecuencia de la inflamación no puede drenar por sí solo de los abscesos porque está completamente encapsulado y no hay ninguna abertura hacia la cavidad bucal. Por lo tanto, un absceso siempre debe abrirse mediante cirugía.
Mientras que las aftas y los abscesos también pueden producirse en el paladar, en el interior de las mejillas o en la lengua, las fístulas dentales se forman exclusivamente en las encías, normalmente directamente encima o debajo de un diente o un implante. La decoloración blanquecina amarillenta en el centro de las aftas no es pus, sino una decoloración.
Absceso dental: Un absceso dental es una acumulación de pus en el área infectada.

¿Porque me SALE una 𝗕𝗢𝗟𝗜𝗧𝗔 𝗱𝗲 𝗣𝗨𝗦 en la 𝗘𝗡𝗖𝗜𝗔? Tratamiento para 𝗔𝗕𝗦𝗖𝗘𝗦𝗢 𝗗𝗘𝗡𝗧𝗔𝗟 (Incluido el FLEMON)
Causas de las Fístulas Dentales
La formación de una fístula dental puede ser el resultado de distintos motivos y causas. Las fístulas dentales pueden tener varias causas, pero generalmente están asociadas con problemas de salud oral que han progresado sin tratamiento adecuado.
El desencadenante más común del desarrollo de fístulas dentales es una infección bacteriana de la raíz del diente, especialmente de la punta de la raíz del diente. La principal causa de una fístula dental es una caries profunda o mal curada. Una infección de este tipo se produce cuando un diente está infectado por caries y las bacterias pueden abrirse camino hasta la raíz del diente.
Caries profunda: Las bacterias que producen la caries dentaria pueden llegar hasta la pulpa dental y generarnos una fístula. Tenemos que tener especial cuidado y una buena higiene bucodental para evitarlo. Las caries profundas o mal tratadas son causas frecuentes de fístulas dentales. Las bacterias responsables de las caries pueden extenderse hasta la pulpa del diente. La caries dental es una de las principales causas de las fístulas dentales.
Cuando las bacterias presentes en la placa dental interactúan con los azúcares y almidones de los alimentos, producen ácidos que erosionan el esmalte dental. Con el tiempo, esta erosión puede crear orificios en el esmalte, conocidos como caries. Si no se tratan, las caries pueden penetrar en las capas más profundas del diente, llegando a la pulpa dental, donde se encuentran los nervios y los vasos sanguíneos.
La enfermedad periodontal: La periodontitis afecta a nuestras encías de manera grave, infectándolas y dañando el tejido blando. Esta patología puede llegar al hueso dentario. Otra de las causas más comunes es la enfermedad periodontal. Las infecciones bacterianas en la boca, como la periodontitis o la pulpitis, también pueden provocar la formación de fístulas dentales.
La periodontitis es una enfermedad de las encías que afecta los tejidos que rodean y soportan los dientes. Si no se trata, puede provocar la destrucción del tejido óseo y la formación de bolsas periodontales que actúan como reservorios de bacterias.
La inflamación de las encías también puede provocar fístulas dentales. Esto ocurre si no te cepillas los dientes lo suficiente y no eliminas la placa con la frecuencia necesaria. Las bacterias se acumulan entonces en la línea de las encías y las atacan con sus productos metabólicos tóxicos.
La periodontitis, una inflamación del periodonto, es la fase avanzada de la gingivitis, en la que no sólo se ataca a las encías, sino también a los huesos maxilares. Las personas que rara vez se cepillan los dientes y no son especialmente meticulosas al hacerlo tienen un mayor riesgo de sufrir fístulas dentales porque son más propensas a padecer caries, periodontitis y enfermedades similares.
Muelas del juicio: los cordales, comúnmente conocidos como las muelas del juicio, son los que erupcionan en la edad adulta al final de nuestra boca y que puede producirnos algún que otro problema. Como su limpieza, por si situación, es algo complicada, puede producirnos caries al quedar alimentos atrapados en los huecos y encías.
Los traumatismos dentales, como golpes o caídas, también pueden desencadenar la formación de fístulas dentales. Un traumatismo en un diente puede dañar el tejido pulpar y provocar una infección que se propague a través de la raíz del diente hacia los tejidos circundantes.
Otras causas incluyen:
- Estrés y tensión mental, que debilitan el sistema inmunitario.
- Tabaquismo, que disminuye la irrigación sanguínea en la boca.
- Dieta rica en azúcar, que alimenta la inflamación.
- Sistema inmunitario debilitado debido a enfermedades como diabetes o asma.

Síntomas de una Fístula Dental
Una fístula dental puede manifestarse a través de varios síntomas que indican la presencia de una infección en el diente o en los tejidos circundantes. Es importante saber detectar estos síntomas para buscar atención dental inmediata y recibir el tratamiento adecuado. Una fístula dental puede manifestarse a través de varios síntomas que indican la presencia de una infección en el diente o en los tejidos circundantes.
Al principio, las encías se inflaman ligeramente y enrojecen. Al principio, la zona afectada se hincha. Las encías se enrojecen y hay una sensación de tensión en el diente. A continuación, se forma una ampolla en la encía, encima o debajo del diente afectado, que se llena de pus a medida que avanza. La fístula al aparecer se presenta normalmente en la encía, en la cima superior del diente. Se trata, como bien indicábamos, de un bulto con pus producido por diferentes razones.
Cuando se forma la fístula dental, aún no causa dolor. El dolor intenso y persistente en la encía es el síntoma más común de una fístula dental. El dolor es uno de los síntomas más característicos de una fístula dental. Puede manifestarse como un dolor punzante, pulsátil o constante en el área del diente afectado. Este dolor puede empeorar al masticar, hablar o aplicar presión sobre el diente comprometido.
Con el tiempo, la fístula dental se llena de pus y aparece un dolor punzante. La fístula dental empieza a palpitar y doler. Puede que incluso se te hinche la cara del lado afectado y te duela la cabeza. Esto puede tardar varias semanas en desarrollarse.
Si se aplica mucha presión, el pus drena hacia la cavidad oral. Cuando se produce una infección dental, generalmente aparece asociada una hinchazón dentro y alrededor del sitio infectado. Un absceso dental es una acumulación de pus causada por una infección bacteriana en el tejido dental. En el caso de una fístula dental, el absceso puede manifestarse como una protuberancia roja y dolorosa en las encías cerca del diente afectado. Esta protuberancia puede estar acompañada de sensibilidad al tacto y al calor, así como de hinchazón en el área circundante.
Si se ha acumulado mucho pus y la presión es excesiva, la fístula dental se rompe y el pus se drena a la cavidad oral. Pero ¡cuidado! Esto no significa que la fístula dental se haya curado y haya desaparecido. Como la inflamación persiste, todo vuelve a empezar: la fístula dental vuelve a llenarse de pus hasta que estalla de nuevo.
Los pacientes con fístulas dentales también pueden experimentar cambios en el sabor y olor de la saliva. Esto se debe a la presencia de pus y desechos bacterianos que se acumulan en el conducto de la fístula y se mezclan con la saliva.
La presencia de una fístula no tiene porqué ir asociada con dolor, por ello se puede sentir la tentación de ignorar esa fístula dental.
La presencia de una fístula dental puede tener varias consecuencias negativas para la salud bucal y general de una persona.
- Dolor e incomodidad: Una fístula dental generalmente está acompañada de dolor e incomodidad en la zona afectada.
- Infecciones recurrentes: La presencia de una fístula dental indica la existencia de una infección en el área. Si no se trata adecuadamente, esta infección puede persistir y provocar episodios recurrentes de inflamación y dolor.
- Pérdida ósea y daño dental: La infección asociada a una fístula dental puede provocar la pérdida de hueso en la mandíbula y el deterioro del tejido dental.
- Abscesos dentales: Una fístula dental puede estar relacionada con la formación de abscesos dentales, que son acumulaciones de pus causadas por infecciones bacterianas.
Diagnóstico de una Fístula Dental
Para diagnosticar esta afección, el dentista examinará el bulto y hará una radiografía oral para evaluar su tamaño y su alcance. Durante el examen, el dentista examinará detenidamente su boca y buscará hinchazón, enrojecimiento, lesiones y otras anomalías en las encías. A continuación, realiza una prueba de frío para comprobar si la raíz o el nervio del diente siguen siendo plenamente funcionales o ya han muerto. Si el diente está sano, al paciente le resultará desagradable el frío y reaccionará en consecuencia.
El odontólogo, tras una revisión radiográfica, encontrará la fuente del problema, ofrecerá una serie de protocolos terapéuticos para el alivio temporal del dolor, si existiera, y elaborará un plan para curar el problema dental subyacente.
A continuación, se realiza una radiografía de la mandíbula para que el dentista pueda reconocer si los huesos maxilares ya están afectados por la inflamación y dónde se encuentra exactamente el foco inflamatorio.
El diagnóstico de una fístula dental generalmente se realiza mediante un examen clínico realizado por un dentista. Nuestro dentista examinará la cavidad oral y buscará signos de inflamación, abscesos o salidas de pus cerca de los dientes afectados.
Si tu dentista descubre una fístula dental durante el embarazo, las cosas se complican un poco más. Como durante el embarazo se deben evitar las radiografías, tu dentista no podrá evaluar el alcance de la fístula dental.
Tratamiento de una Fístula Dental
Dependiendo de lo avanzada que esté la fístula dental, el dentista puede recomendar distintos tratamientos. El tratamiento comienza abordando la infección bacteriana.
Si te han diagnosticado una fístula dental, el dentista suele recetarte antibióticos para eliminar las bacterias que han causado la inflamación. El médico suele recetar antibióticos para eliminar las bacterias que causan la inflamación. En caso de sospecha de fístula dental, es crucial frenar la infección subyacente. Lo primero que se debe hacer es frenar la infección para que desaparezca el problema que está causando la fístula.
Si la inflamación es claramente limitada y ya se ha eliminado la causa, es posible que tu dentista no quiera tratar la fístula dental con antibióticos, sino que te pida que utilices un colutorio antibacteriano.
En algunos casos, la terapia antibiótica ya es suficiente. Sin embargo, a menudo el dentista tiene que utilizar un bisturí y abrir la fístula con una pequeña incisión bajo anestesia local.
El odontólogo recomendará llevar a cabo una endodoncia, que tiene la finalidad de retirar el nervio y sellar los canales cuando la infección ha llegado al interior de la pieza dental. La endodoncia es el tratamiento estándar para drenar el área afectada, complementado con medicación. La cura de una fístula dental generalmente implica un tratamiento endodóntico o endodoncia. Este procedimiento consiste en limpiar el canal radicular del diente afectado para eliminar la infección y drenar el absceso.
El dentista también utilizará la radiografía para evaluar si son necesarias medidas adicionales: Si la fístula dental ha sido causada por una inflamación de la punta de la raíz del diente, el foco de inflamación puede eliminarse mediante una apicectomía para evitar que la inflamación siga extendiéndose, ya sea mediante un tratamiento con láser o como procedimiento quirúrgico clásico.
En algunos casos, puede ser necesario extraer el diente si el daño es muy extenso. En situaciones más graves, cuando el diente está severamente dañado o no es viable para el tratamiento, puede ser necesario extraerlo. En ocasiones, el profesional quizás determine que no se puede salvar la pieza y proponga su extracción, que es lo que se conoce como exodoncia.
En los casos menos graves de fístula dental, es posible que el enfoque inicial sea un tratamiento conservador. El dentista puede realizar un drenaje incidiendo el absceso para permitir que el pus y los desechos se eliminen del área afectada. Cuando la infección ha alcanzado la pulpa dental y amenaza la salud del diente, se puede recomendar un tratamiento endodóntico, también conocido como tratamiento de conducto radicular.
Una vez que los conductos están limpios, se rellenan con un material de obturación para prevenir futuras infecciones. En casos graves de fístula dental, donde el daño al diente es extenso o el tratamiento endodóntico no es posible, puede ser necesario extraer el diente afectado.
Si siente un dolor intenso y necesita acortar el tiempo de espera hasta la cita con el dentista, puede tomar analgésicos sin receta que contengan el principio activo Ibuprofeno. Estos analgésicos tienen un efecto antiinflamatorio.
Después de someterse a un tratamiento para una fístula dental, es importante seguir las indicaciones del dentista para un adecuado cuidado postoperatorio. Tras el tratamiento, recomendamos aplicar frío localmente para reducir la hinchazón.
Remedios Caseros
No existe ningún remedio casero que pueda combatir la causa de las fístulas dentales, es decir, una raíz dental inflamada. Sólo un tratamiento dental puede hacerlo. No obstante, puede utilizar remedios caseros para usted o para su hijo que le ayuden a aliviar los síntomas.
Algunas personas confían en los enjuagues bucales con té de manzanilla frío. También se dice que el aceite de clavo y el aceite de árbol de té ayudan con los síntomas de las fístulas dentales. Puedes enjuagarte la boca varias veces al día con agua tibia mezclada con dos o tres gotas de aceite.
El ajo y la cebolla tienen un efecto antibacteriano, antimicrobiano y antiinflamatorio. Puedes cortarlos en trozos pequeños y colocarlos sobre la zona afectada durante unos minutos para que se absorban.
Al igual que los remedios caseros, puede utilizar remedios homeopáticos como los glóbulos y las sales de Schüssler para complementar el tratamiento dental. Sin embargo, nunca pueden sustituir al tratamiento con cirugía y/o antibióticos.
Nota: Hasta la fecha, el efecto de la homeopatía no se ha demostrado científicamente.

Prevención de las Fístulas Dentales
Afortunadamente, tú mismo puedes hacer algo para prevenir la aparición de fístulas dentales. La prevención es clave cuando se trata de fístulas dentales. El mejor modo de prevenir cualquier infección oral consiste en mantener una buena higiene dental a diario.
Las infecciones bacterianas responsables del desarrollo de fístulas dentales suelen estar causadas por una higiene bucal deficiente, ya que la placa no se elimina con regularidad o con la suficiente profundidad. De tal forma, se evita la acumulación de bacterias y, por lo tanto, la aparición de placa. Esta es la que, con el paso del tiempo, ocasiona sarro y aumenta el riesgo de padecer caries, gingivitis, etc. Una buena higiene oral es la base para prevenir una amplia gama de problemas dentales, incluidas las fístulas.
Afortunadamente, tú tienes todo el control: puedes prevenir la caries, la gingivitis y la periodontitis prestando especial atención a una higiene bucal completa. Una limpieza correcta de los dientes implica el cepillado después de cada comida y el uso de hilo dental una vez al día.
Mantener una buena higiene oral: Cepíllate los dientes al menos dos veces al día con un cepillo de dientes de cerdas suaves y utiliza hilo dental para eliminar la placa y los restos de alimentos entre los dientes.
Visitas regulares al dentista: Acudir al dentista de manera regular es fundamental para detectar y tratar cualquier problema dental a tiempo. Las visitas regulares al dentista son esenciales para detectar y tratar problemas dentales en etapas tempranas, antes de que se conviertan en afecciones más graves como las fístulas dentales. Acude a revisiones dentales periódicas, al menos cada seis meses, para un chequeo exhaustivo de tu salud bucal.
Tratamiento oportuno: Ante cualquier signo de dolor, inflamación o sensibilidad dental, es importante buscar atención dental de inmediato. El tratamiento oportuno de caries y enfermedades periodontales es crucial para prevenir la formación de fístulas dentales. Tratar las caries y enfermedades periodontales de manera oportuna: Si se detecta una caries dental o enfermedad periodontal, es importante tratarlas de inmediato. Las caries sin tratar y la enfermedad periodontal avanzada pueden causar infecciones y provocar la formación de fístulas dentales.
En el caso de la inflamación de la boca, suele ocurrir que los afectados no se dan cuenta inmediatamente de que algo va mal. Al igual que las fístulas dentales, que al principio no causan ningún dolor, la inflamación de las encías y la caries. Si la gingivitis, la caries y la periodontitis se tratan a tiempo, no se formarán fístulas dentales.
También puedes someterte a una limpieza dental profesional una o dos veces al año. Por otro lado, si sufres una patología periodontal, es aconsejable que te hagas limpiezas profesionales o mantenimientos periodontales con cierta frecuencia.
Dado que los fumadores tienen un mayor riesgo de sufrir fístulas dentales, ahora es un buen momento para dejar de fumar e iniciar un estilo de vida más saludable. Además, es importante evitar el tabaco, el alcohol y el exceso de azúcares en la dieta.
Esto incluye una dieta sana con abundantes alimentos antiinflamatorios, como fruta y verdura, especialmente jengibre, cúrcuma, guindilla, cebolla y ajo. Una alimentación saludable es relevante para prevenir la formación de fístulas dentales y promover la salud bucal en general. Evitar alimentos azucarados: Los alimentos y bebidas azucaradas aumentan el riesgo de caries y pueden contribuir al desarrollo de fístulas dentales.
Debe evitar en gran medida el azúcar y los llamados carbohidratos "rápidos" (como los que se encuentran en la harina blanca) porque favorecen la inflamación. Evitar el consumo excesivo de alimentos azucarados: Los alimentos ricos en azúcares y carbohidratos pueden aumentar el riesgo de caries dental.

Consecuencias de no tratar una Fístula Dental
Las fístulas dentales pueden tener diversas consecuencias que afectan tanto la salud bucal como la calidad de vida del individuo.
- Dolor e inflamación: Una de las primeras señales de una fístula dental es el dolor en la zona afectada. La infección en la raíz del diente puede provocar sensibilidad al calor y al frío, así como dolor constante o punzante.
- Abscesos dentales: La presencia de una fístula dental puede dar lugar a la formación de abscesos dentales.
- Mal aliento: La infección asociada a una fístula dental puede causar mal aliento persistente, también conocido como halitosis.
- Movilidad dental: En algunos casos, las fístulas dentales pueden provocar una pérdida gradual de soporte dental, lo que resulta en una mayor movilidad de los dientes afectados.
- Propagación de la infección: Si no se trata adecuadamente, las fístulas dentales pueden permitir la propagación de la infección a estructuras vecinas, como el hueso, los tejidos blandos o los dientes adyacentes.
¡Contacta con la Clínica Dental Ruiz de Gopegui!
La atención temprana es fundamental cuando se trata de fístulas dentales. Si estás buscando una clínica dental confiable y profesional para cuidar de tu salud bucal, no busques más. ¡No esperes más y contacta con nosotros para programar tu cita en la Clínica Dental Ruiz de Gopegui! Nuestro amable equipo estará encantado de atenderte y resolver todas tus dudas.
Si tienes alguna duda sobre los diagnósticos y tratamientos, así como si quieres recibir ayuda especializada para tratar una fístula dental, no dudes en consultarnos.