Si has perdido un diente y tienes poco hueso en tus maxilares, puede que te preguntes si es posible colocarte implantes dentales para recuperar tu sonrisa. Los implantes dentales son pequeños tornillos que se insertan en el interior de tus maxilares para sustituir las raíces de los dientes perdidos.

Elevación del seno maxilar para la colocación de implantes dentales.
Cuando el espesor de los maxilares no es suficiente surge la pregunta sobre la posibilidad o no de colocar implantes dentales con poco hueso. Debes saber que, gracias a los avances en el campo de la implantología, hoy en día disponemos de varias alternativas para resolver estas situaciones.
¿Por qué se pierde hueso dental?
Existen varias razones que pueden llevar a que pierdas el espesor de tus huesos maxilares. Una de ellas es la falta de dientes: Al perder una pieza dentaria y no reemplazarla de inmediato con implantes, la porción de tu hueso que sostenía la raíz del diente perdido deja de recibir los estímulos y las fuerzas de la masticación.
Estos factores pueden hacer que tu hueso dental no tenga la suficiente altura, ancho y densidad. La pérdida de hueso en la mandíbula también puede darse por periodontitis.
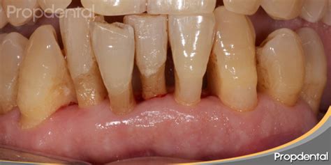
Como mencionamos, la periodontitis es una de las causas de pérdida de hueso de la mandíbula, asistir regularmente a las consultas con tu dentista te puede ayudar a prevenir problemas mayores asociados a esta enfermedad.

Pérdida de hueso por periodontitis avanzada.
¿Cómo saber si tengo poco hueso?
Para saber si tienes poco hueso dental o cuentas con el suficiente para colocarte implantes dentales, debes visitarnos en nuestra clínica dental. A través de esta información podremos conocer tus necesidades y elegir las mejores opciones para que recuperes tu sonrisa.
Técnicas para Colocar Implantes Dentales con Poco Hueso
El avance de la odontología nos permite colocar implantes dentales en muchas situaciones difíciles, incluso cuando hay muy poco hueso. Para que un implante dental funcione, sea estable y seguro, necesita rodearse de tejido óseo. Entonces, para colocarte un implante dental necesitamos que haya un buen soporte óseo donde insertar el tornillo.
Hacer un tratamiento convencional sobre un maxilar sin la altura y la calidad ósea suficiente sería contraproducente. Para realizarte implantes dentales cuando hay poco hueso recurrimos a técnicas quirúrgicas que nos ayudan a aumentar el espesor de tus maxilares.
1. Elevación del Seno Maxilar
Los senos maxilares son dos cavidades ubicadas en el interior de los maxilares superiores, uno a cada lado de la cara. La técnica consiste en elevar el suelo de tu seno maxilar para que ese espacio sea ocupado con nuevo hueso. Con el paso del tiempo, en esa zona de tu maxilar se habrá formado nuevo hueso.
La cirugía es corta y sencilla para manos experimentadas. La realizamos bajo anestesia local y el postoperatorio no te provocará grandes molestias.
2. Injerto Óseo
Otra de las opciones para colocarte implantes dentales cuando hay poco hueso es realizarte un injerto óseo. En la actualidad los injertos comerciales son los que más utilizamos. Para que el injerto de hueso dental se consolide y tengamos una base sólida y estable, debemos esperar alrededor de 4 a 9 meses.
La técnica que utiliza plasma rico en factores de crecimiento también es muy beneficiosa en algunos casos.
3. Implantes Cortos
Existen otros tipos de tornillos especiales que nos permiten realizar tratamientos con implantes dentales cuando hay poco hueso. Estos implantes dentales son cortos, de alrededor de 6 mm de largo y unos 2 mm de ancho.
Al ser tan pequeños, pueden ser la opción indicada si todavía tienes algo de hueso y no quieres, o no puedes, realizarte una cirugía más compleja como el levantamiento de seno o los injertos.
4. Implantes Cigomáticos
En cambio, si te faltan todos o la mayoría de los dientes y tienes mucha atrofia ósea, los implantes que se sostienen en otros huesos pueden ser una opción para ti. Los implantes cigomáticos son aditamentos largos que se colocan en otros sitios más alejados de tu boca para brindar el soporte que necesitamos para rehabilitar tu dentadura.
Estos implantes se colocan en tu hueso cigomático o, lo que es lo mismo, en tus pómulos. Son otro tipo de implantes especiales, de mayor longitud que los convencionales. Estas zonas de hueso son muy compactas, lo que genera una elevada tasa de éxito.

Implantes Cigomáticos: Una solución para la atrofia ósea severa.
Tipos de Implantes Dentales para Personas con Pérdida Ósea
Existen diferentes tipos de implantes dentales diseñados para personas con pérdida ósea, cada uno con sus propias características y beneficios:
- Implantes Corticales: Se insertan en la capa externa del hueso, también conocida como hueso cortical.
- Implantes Subperiósticos: Se insertan debajo del periostio, que es una membrana fina que cubre el hueso.
- Implantes Angulados: Permiten evitar injertos gracias a su diseño.
Ventajas y Desventajas de los Implantes Dentales para Personas con Pérdida Ósea
Ventajas:
- Menor necesidad de injertos óseos.
- Reemplazo permanente de los dientes faltantes.
- Solución para pacientes con pérdida ósea a quienes tradicionalmente se les decía que no tenían opción de ser tratados con implantes.
Desventajas:
- Mayor costo en comparación con los implantes tradicionales.
Cómo COLOCAR IMPLANTES a pacientes sin hueso o POCO HUESO DENTAL | Dentalk! ©
Proceso de Colocación de Implantes Dentales con Poco Hueso
- Evaluación y planificación.
- Exodoncia de dientes dañados.
- Colocación de implantes.
- Prótesis temporal.
- Colocación de la prótesis definitiva.
Luego se necesitan varios meses para que ocurra la integración del implante con el hueso maxilar, que es lo que se conoce como osteointegración.
Cuidados Posteriores a la Colocación del Implante
Inmediatamente, tras la colocación del implante, y por al menos 24 horas, evita fumar, beber alcohol y masticar comidas duras. Con el paso de los días, sigue tu rutina de higiene bucal normal, evita cepillarte en la herida. Utiliza un enjuague bucal antiséptico que te recete el cirujano.
A largo plazo debes seguir cepillándote con normalidad, usa cepillo de cerdas suaves, hilo dental y enjuague bucal.
Alternativas a los Implantes Dentales
Si bien los implantes dentales son la opción más recomendada, existen alternativas:
- Prótesis fija sobre dientes (puente dental fijo): Para reemplazar tramos cortos donde hay ausencia de dientes.
- Prótesis removible (dentadura postiza): Para mantener una higiene óptima, es necesario retirarlas y limpiarlas cada día.
¿Eres Candidato para un Implante Dental sin Hueso?
Gozar de buena salud en general, y de una buena salud bucal es indispensable para ser candidato para un implante dental sin hueso. Cuando a un paciente le comunican que tiene poco hueso en la encía, es habitual que surjan dudas, miedos y cierta sensación de incertidumbre.
Implantes Dentales en Madrid: Clínica Dental Medics del Dr. Ferrer
La Clínica dental medics del Dr. Ferrer está en la Calle de Ramiro II, 10. 28003 de Madrid. El Dr. Ferrer y su equipo ofrecen un trato inmejorable y profesional. Los pacientes destacan su atención y los resultados naturales de los implantes.
Algunos comentarios de pacientes:
- "El Dr. Ferrer es dueño de mi sonrisa. El trato ha sido siempre maravilloso y los precios los mejores de Madrid. Me han puesto varios implantes y el resultado es super natural."
- "Soy Paciente desde hace tres años, el Dr Jorge Ferrer me ha puesto implantes, y fue todo satisfactorio. Son grandes profesionales los Drs Ferrer padre e hijo."
- "Excelente trato y profesionalidad en todas las especialidades (implantes, ortodoncia, etc). Siempre te explican lo que te están haciendo para que lo entiendas."
Conclusión
Si te faltan dientes y cuentas con poco hueso, colocarte un implante dental va a requerir algunos pasos extras. Los implantes dentales son uno de los tratamientos para reponer los dientes ausentes más estables, estéticos y duraderos. A diferencia de otros tratamientos, los implantes dentales no requieren el desgaste de tus piezas dentarias sanas.
Si deseas este tipo de rehabilitación para tu boca y temes que no será posible porque cuentas con poco hueso, no debes desanimarte. Nuestro consejo es que si pierdes un diente acudas cuanto antes a nuestra clínica para reemplazarlo y así evitar la pérdida de hueso. Los implantes dentales aportan grandes ventajas a la hora de recuperar la sonrisa. Disponemos de múltiples opciones para poder colocarte un implante dental a pesar de contar con poco hueso.
Contacta con nosotros y te ayudaremos a encontrar la mejor solución para tu caso. Recupera tu sonrisa con confianza.