El zirconio se ha posicionado como uno de los materiales más innovadores en la odontología moderna. Al ser un material relativamente reciente, todavía es un gran desconocido para muchos. El zirconio es un mineral que surge como resultado de la fusión de otros minerales, entre ellos el circón, la fuente más importante de zirconio. Sus múltiples propiedades y cualidades lo han convertido en un material muy recomendable para utilizar en odontología.

¿Qué es una Corona Dental de Zirconio?
Una corona dental en zirconio es un elemento rehabilitador que protege y fortalece los dientes. Se pueden usar sobre implantes dentales previamente colocados, como en dientes naturales intervenidos y preparados para la reestructuración. La corona dental de zirconio también puede ser una estructura de varias piezas soldadas, lo que conocemos como puente dental de zirconio, en el que dos dientes actúan como pilares para soportar una prótesis cementada si faltan una o más piezas entre los dos pilares. Aunque cada vez están más en desuso, las carillas dentales de zirconio son unas finas láminas que se adhieren a la superficie de los dientes para modificar el color, la forma o el tamaño de las piezas dentales. La resistencia del zirconio y su parecido con el esmalte dental natural, hace que los brackets de zirconio sean mucho más estéticos y discretos.
¿Cuál Es El Mejor 𝐌𝐚𝐭𝐞𝐫𝐢𝐚𝐥 En 𝐂𝐨𝐫𝐨𝐧𝐚𝐬 𝐃𝐞𝐧𝐭𝐚𝐥𝐞𝐬? La Elección Acertada 𝐙𝐢𝐫𝐜𝐨𝐧𝐢𝐚 vs 𝐌𝐞𝐭𝐚𝐥-𝐏𝐨𝐫𝐜𝐞𝐥𝐚𝐧𝐚
Ventajas de las Coronas de Zirconio
El uso del zirconio en el sector de la odontología presenta un montón de beneficios que lo han convertido en un material muy atractivo para muchos profesionales del sector:
- Estética visual: Este material se asemeja mucho al tono del esmalte natural de los dientes gracias a su color y translucidez.
- Biocompatible: El zirconio es un material biocompatible, lo que significa que es menos probable que cause reacciones alérgicas o inflamatorias en el cuerpo.
- No lleva metal: Las personas alérgicas al titanio no tendrán de qué preocuparse con el zirconio.
- Dureza: Gran dureza y resistencia. Es un material muy fiable en la elaboración, por ejemplo, de prótesis dentales de una calidad inigualable. Su color blanco y aspecto translúcido.
Las fundas de zirconio se han convertido en un elemento revolucionario dentro del mundo de la odontología estética al ofrecer un equilibrio ideal entre belleza y funcionalidad. Estas fundas están elaboradas completamente de zirconio dental, un material reconocido por su durabilidad y apariencia natural que se mimetiza perfectamente con el aspecto de los dientes. Una de las principales ventajas de las fundas dentales de zirconio es su capacidad para fusionarse estéticamente con el resto de los dientes, además de poderse colocar de manera individual. Su translucidez y la ausencia de metales permiten que se disimulen perfectamente haciéndolas indetectables a la vista. La higiene también se ve facilitada con las fundas de zirconio, ya que se pueden limpiar individualmente evitando la formación de manchas y la acumulación de placa. Si miramos a largo plazo, estas fundas no sufren de oscurecimiento cerca de las encías, un problema común en coronas de materiales menos avanzados como el composite.

Desventajas de las Coronas de Zirconio
Sin embargo, las fundas de zirconio no están exentas de contras. La principal, y prácticamente única, desventaja del zirconio es su coste económico en comparación con otros materiales que pueden usarse para el mismo fin. Las carillas y las coronas zirconio no son lo mismo. Ahora bien, las ventajas de las carillas de zirconio son muy similares a las de las fundas. En definitiva, las carillas proporcionan una solución estética y duradera para problemas como manchas o deterioro superficial del diente aportando naturalidad, estética y durabilidad. Como puedes observar, las ventajas de las fundas y carillas de zirconio superan con creces sus desventajas convirtiéndolas en una opción valiosa para quienes buscan restaurar su sonrisa sin comprometer la funcionalidad ni la estética.
Factores a Considerar al Elegir una Corona Dental
A la hora de elegir el tipo de corona dental más adecuado para cada paciente, hay varios factores a tener en cuenta. Cada tipo de corona tiene características específicas que pueden hacerla más o menos adecuada dependiendo de las necesidades individuales del paciente.
- Ubicación del diente: La ubicación del diente afectado es uno de los factores más importantes a considerar al elegir el tipo de corona. Los dientes posteriores, como los molares y premolares, requieren coronas que sean fuertes y resistentes debido a la gran cantidad de presión que se ejerce al masticar. Por otro lado, los dientes visibles, como los incisivos y caninos, requieren coronas que sean estéticamente agradables, ya que estarán a la vista al hablar o sonreír.
- Durabilidad: La durabilidad es otro factor clave a considerar. Si el diente afectado es uno que experimenta mucha presión masticatoria, como un molar, necesitarás una corona que sea capaz de resistir el desgaste a largo plazo.
- Estética: Para muchos pacientes, la estética es un factor crucial en la elección de una corona dental. Si estás buscando una restauración que se vea completamente natural, las coronas de porcelana pura o las coronas de zirconio son las mejores opciones. En cambio, si la estética no es tan importante y la restauración será colocada en un diente posterior que no será visible, las coronas de metal o metal-porcelana pueden ser una opción más práctica y económica.
- Costo: El costo es otro factor determinante al elegir el tipo de corona. Las coronas de porcelana pura y zirconio suelen ser las opciones más caras debido a la tecnología avanzada utilizada para su fabricación y sus excelentes propiedades estéticas y funcionales.
- Tiempo de colocación: El tiempo que tarda en colocarse una corona también es un factor a tener en cuenta. Algunas coronas, como las de porcelana pura o zirconio, requieren más tiempo para ser fabricadas y personalizadas, ya que deben ajustarse perfectamente a la anatomía de tu diente.
- Biocompatibilidad: La biocompatibilidad es otro factor importante a considerar, especialmente si tienes una sensibilidad conocida a ciertos materiales. Las coronas de metal-porcelana también son biocompatibles, pero algunas personas pueden experimentar reacciones alérgicas a los metales, especialmente si contienen níquel o cobalto.
- Cuidado y mantenimiento: Una vez que se coloca la corona dental, es importante seguir ciertas pautas de cuidado para asegurar su longevidad. Las coronas de porcelana y zirconio requieren cuidados similares a los dientes naturales, como el cepillado regular y el uso de hilo dental. Las coronas de metal y metal-porcelana también requieren cuidados adecuados, pero debido a su mayor resistencia, no son tan susceptibles a daños como las de porcelana.

Implantes de Zirconio: Una Alternativa Moderna
Los avances en odontología nos han brindado soluciones más estéticas y duraderas para la salud dental. Los implantes de zirconio se han convertido en una alternativa popular respecto a otros implantes hechos con materiales más tradicionales, gracias a sus múltiples beneficios. Sin embargo, como cualquier tratamiento, presenta sus propias ventajas e inconvenientes. En este artículo, exploraremos en detalle las características de los implantes de zirconio, desde sus propiedades estéticas hasta sus posibles limitaciones, para que puedas tomar una decisión informada.
¿Qué son los Implantes de Zirconio?
Los implantes de zirconio son dispositivos diseñados para sustituir dientes perdidos o dañados, colocándose en el hueso maxilar o mandibular para actuar como raíces artificiales. Están fabricados con dióxido de zirconio (ZrO2), un material cerámico conocido por su resistencia y durabilidad. A diferencia de otros implantes, los implantes de zirconio ofrecen una alternativa completamente libre de metales. Estos implantes están diseñados para integrarse con el hueso a través de un proceso llamado osteointegración, lo que les permite ofrecer una base estable para la colocación de coronas o prótesis dentales. El proceso de colocación suele implicar una cirugía en la que se inserta el implante en el hueso, seguida de un período de cicatrización que permite que el hueso se fusione con el implante.
El zirconio, como material cerámico, ha sido utilizado en odontología por sus propiedades de biocompatibilidad, y su uso en implantes ha aumentado en los últimos años debido a las mejoras en su fabricación y resistencia. Los implantes de zirconio son utilizados principalmente en la rehabilitación de pacientes que necesitan reponer uno o más dientes perdidos, proporcionando una solución a largo plazo que restaura tanto la función como la estética de la dentadura.
Proceso de Colocación de los Implantes de Zirconio
El procedimiento para colocar los implantes de zirconio sigue una serie de fases bien estructuradas:
- Evaluación exhaustiva: La primera etapa es una evaluación exhaustiva del paciente, que incluye una revisión de su salud bucal general, radiografías y, en ocasiones, tomografías para analizar la densidad ósea y determinar la ubicación ideal para el implante.
- Fase quirúrgica: Posteriormente, en la fase quirúrgica, se realiza la colocación del implante. El procedimiento se efectúa bajo anestesia local o sedación, dependiendo del caso. El dentista hace una pequeña incisión en la encía para exponer el hueso y, con instrumental especializado, crea un espacio en el hueso maxilar o mandibular donde se inserta el implante de zirconio.
- Osteointegración: Una vez colocado, el implante debe integrarse con el hueso a través del proceso de osteointegración, que puede durar de varios meses. Durante este tiempo, se espera que el hueso crezca alrededor del implante y lo fije en su lugar. Dependiendo del caso, se puede colocar una corona temporal sobre el implante durante la fase de cicatrización para proteger el área.
- Colocación de la prótesis definitiva: Una vez que el implante se ha integrado adecuadamente con el hueso, se coloca una prótesis definitiva, como una corona o un puente dental, que será ajustada y moldeada para encajar de manera precisa y proporcionar una funcionalidad completa. El resultado final es una restauración dental fija que actúa como un diente natural.
Cuidados y Mantenimiento de los Implantes de Zirconio
El mantenimiento de los implantes de zirconio es fundamental para asegurar su longevidad y funcionalidad a lo largo del tiempo. Aunque los implantes están diseñados para ser una solución duradera, requieren cuidados específicos para evitar complicaciones y mantener una buena salud bucal.
- Higiene oral diaria: Es necesario cepillarse los dientes al menos tres veces al día, utilizando un cepillo de cerdas suaves y una técnica adecuada para limpiar tanto el implante como el área alrededor de la encía. También es fundamental el uso de hilo dental o cepillos interdentales para eliminar restos de comida y placa de las zonas difíciles de alcanzar.
- Enjuagues bucales: En algunos casos, el odontólogo puede recomendar el uso de un enjuague bucal antibacteriano para reducir el riesgo de infecciones alrededor del implante.
- Visitas regulares al dentista: Los pacientes con implantes de zirconio deben acudir a revisiones periódicas con su dentista, generalmente cada 6 meses. Durante estas visitas, se evalúa la salud del implante, se verifica el estado de las encías y se realiza una limpieza profesional para eliminar la placa y el sarro acumulado.
- Evitar hábitos perjudiciales: Es importante evitar hábitos como morder objetos duros, rechinar los dientes o fumar, ya que estos pueden comprometer la estabilidad del implante y afectar la salud de las encías.
- Dieta equilibrada: Mantener una dieta equilibrada también es esencial para la salud oral. Consumir alimentos ricos en vitaminas y minerales contribuye a la fortaleza del hueso que sostiene el implante y ayuda a mantener las encías en buen estado.
Ventajas de los Implantes de Zirconio
- Estética superior: Una de las principales ventajas de los implantes de zirconio es su color blanco, que se asemeja más al tono natural de los dientes y las encías. Esto los hace especialmente recomendables en casos donde la estética es prioritaria, como en los dientes frontales. A diferencia de los implantes de titanio, no existe riesgo de que el material se trasluzca bajo la encía, lo que puede ser un problema con encías delgadas.
- Biocompatibilidad: El zirconio es un material cerámico altamente biocompatible, lo que significa que tiene una baja probabilidad de causar reacciones alérgicas o inflamatorias. Esto lo convierte en una opción adecuada para personas con alergias o sensibilidad a los metales.
- Resistencia a la corrosión: A diferencia de los implantes de titanio, que pueden corroerse con el tiempo, el zirconio no se oxida ni reacciona con otros elementos presentes en la boca, como el ácido de los alimentos o la saliva. Esto le otorga una durabilidad y estabilidad a largo plazo.
- Compatibilidad con tejidos blandos: Los implantes de zirconio han demostrado tener una excelente compatibilidad con los tejidos blandos, como las encías, lo que favorece una cicatrización más rápida y una integración saludable en la boca.
- Sin metal: Para pacientes que buscan una opción sin metal, ya sea por razones de salud o preferencia personal, el zirconio es una alternativa atractiva al titanio.
Desventajas de los Implantes de Zirconio
- Fragilidad inicial: Aunque los implantes de zirconio han mejorado considerablemente en términos de resistencia, históricamente eran más frágiles que los de titanio. Si bien los avances en su fabricación han reducido este riesgo, aún pueden ser menos flexibles bajo cargas extremas.
- Disponibilidad limitada: No todos los dentistas ofrecen implantes de zirconio, ya que su uso es menos común en comparación con los implantes de titanio. Esto puede dificultar encontrar especialistas que trabajen con este material, además de que el tratamiento puede requerir técnicas específicas.
- Costo más elevado: Generalmente, los implantes de zirconio son más caros que los de titanio, debido tanto al costo del material como a los procesos de fabricación y colocación. Esto puede ser una barrera para algunos pacientes.
- Menos flexibilidad en casos complejos: El titanio puede ofrecer menos flexibilidad para casos complejos o en pacientes con condiciones óseas particulares. Los implantes de titanio vienen en varias piezas, lo que permite más ajustes durante la colocación, mientras que muchos implantes de zirconio son de una sola pieza, lo que limita su versatilidad en ciertas situaciones.
- Menor historia clínica: Aunque el zirconio ha mostrado buenos resultados en estudios clínicos, el titanio tiene una trayectoria más larga en el campo de la implantología. Por lo tanto, algunas personas pueden preferir una opción con más evidencia acumulada a lo largo del tiempo.
Coronas de Zirconio y su Precio en España
En España, una corona de zirconio suele costar aproximadamente entre 300 y 600 euros por diente. En mi experiencia, la mayoría de pacientes entran dentro de este rango por corona de zirconio en clínicas privadas. Este rango depende de muchos factores (materiales, técnicas, ciudad, etc., que ahora detallaremos).
Factores que Influyen en el Precio
- Complejidad del caso y tratamientos previos: Antes de colocar la corona, a veces el diente requiere otros procedimientos. Si el diente está muy destruido, puede que necesite una reconstrucción con perno o un refuerzo interno; si el nervio está dañado, habrá que hacer una endodoncia previa; si directamente no hay diente y vamos a colocar un implante, eso es un procedimiento aparte. Cada paso adicional (cirugías, endodoncia, postes, etc.) tiene su coste independiente de la corona en sí.
- Material exacto y tecnología utilizada: Dentro de las coronas de zirconio, existen variaciones. Puede ser zirconio monolítico (tallado de un bloque sólido, muy resistente) o zirconio con recubrimiento de porcelana encima (para dar un extra de estética en frontales). También hay distintas marcas y calidades de zirconio dental. Esto puede hacer variar un poco el precio de laboratorio. Asimismo, si la clínica cuenta con tecnología CAD/CAM para diseñar y fresar la corona en el día, puede repercutir en el coste (aunque a veces se compensa porque ahorras visitas).
- Ubicación geográfica y prestigio de la clínica: El precio de los tratamientos odontológicos puede cambiar según la ciudad o región. En grandes ciudades como Madrid o Barcelona, los honorarios suelen ser un poco más altos que en localidades pequeñas, debido a costes operativos mayores. También influye el prestigio y experiencia del profesional o la clínica: un especialista muy reconocido o una clínica de mucha trayectoria a veces tienen tarifas algo más elevadas (aunque a cambio ofrecen gran calidad, tecnología puntera y garantías).
- Seguros dentales o convenios: ¿Tienes un seguro dental privado? Esto puede marcar la diferencia en el precio final que pagues. Algunos seguros dentales en España cubren parcialmente el coste de las coronas o tienen tarifas especiales concertadas con clínicas asociadas.
- Número de piezas a tratar y promociones: A veces, las clínicas ofrecen algún descuento si necesitas varias coronas de golpe, o paquetes cerrados si formas parte de algún plan dental. No es que el precio por unidad baje drásticamente, pero es posible obtener facilidades de pago.
Comparación con Otros Tipos de Coronas
| Tipo de Corona | Ventajas | Desventajas | Precio Aproximado (€) |
|---|---|---|---|
| Metal-Porcelana | Muy resistente, más económica | Compromete la estética (borde gris) | 250 - 450 |
| Porcelana Pura | Mejor estética, translucidez natural | Más frágil, no ideal para molares | 350 - 650 |
| Metálica | Extremadamente duradera (especialmente oro) | Estética nula | 100 - 1000+ (dependiendo del metal) |
| Resina o Acrílica (Provisional) | Muy económica, rápida fabricación | Poca resistencia, se desgasta fácilmente | 30 - 50 |
| Zirconio | Durabilidad y estética balanceadas, biocompatible | Más costosa que metal-porcelana | 300 - 600 |
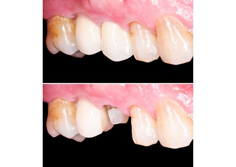
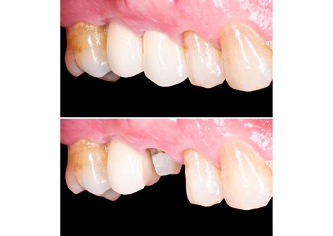
Proceso de Colocación de una Corona de Zirconio
Colocar una corona suele requerir dos visitas principales a la clínica (a veces tres, dependiendo de ajustes, o una sola si la clínica dispone de sistemas de coronas en el día).
- Primera visita - Preparación del diente: Lo primero es asegurarnos de que el diente esté limpio de caries o infecciones. Si necesitaba una endodoncia, se hace antes o durante esta fase. Después, te aplico anestesia local en la zona (¡tranquilo, no sentirás dolor durante el procedimiento!) y procedo a tallar el diente. Tallar significa reducir un poco su tamaño y darle forma cilíndrica, eliminando la parte dañada, para hacer espacio a la corona. Tomo mucha precisión en este paso: el objetivo es dejar un “muñón” de diente de cierta forma, sobre el cual encajará la futura corona de zirconio como un guante. Si el diente estuviera muy destruido,...
- Utilizamos cookies propias y de terceros para personalizar el contenido de la web, proporcionarles funcionalidades a las redes sociales y para analizar el tráfico de nuestra web. Puede aceptar el uso de esta tecnología o administrar su configuración y poder rechazarla, y así controlar completamente qué información se recopila y gestiona a través de los botones habilitados al efecto. Al clicar en "Sí, Acepto", ACEPTA SU USO, si bien podrá retirar su consentimiento en cualquier momento. También puede RECHAZAR la instalación de cookies clicando en “No Acepto" o CONFIGURAR la instalación de cookies clicando en “Configurar Cookies”. Para obtener más información sobre nuestras políticas de datos, visite nuestra Política de privacidad. Para obtener más información al respecto, puedes consultar nuestra Política de Cookies.
- Muchos pacientes a causa del nombre, creen que la corona está realizada completamente en zirconio. Pero, en realidad, solo la parte interna está hecha de ese material, sin embargo la parte externa está realizada en cerámica. El zirconio dental es absolutamente compatible con el organismo humano. El color blanco del zirconio permite el uso de las coronas para un periodo más largo. Otro factor importante para recomendar la prótesis cerámica en zirconio es sin duda la estética. Al tratarse de un material blanco y translúcido nos permite realizar prótesis de aspecto aún más natural y luminoso.
- La única desventaja de la corona de óxido de zirconio es el cuesto más alto en comparación con las de metal-cerámica o de cerámica pura (véase los precios de las coronas dentales). La utilización del zirconio representa una fase importante para el futuro de la odontología estética. Ese material es muy bien aceptado por cada organismo, se integra perfectamente en la sonrisa de los pacientes y ha sido utilizado con éxito en nuestra Clínica Dental Dr. Ya desde su nombre podemos deducir que esta corona se compone de metal y porcelana.
- Los metales que pueden ser utilizados para la parte interior son: Cromo-Níquel; Cromo-Cobalto; Oro; Platino; Titanio. Normalmente cuando la gente habla de metal-cerámica, se refiere a la aleación Cromo-Níquel o Cromo-Cobalto. No se recomienda hacer las coronas de aleación de Cromo-Níquel, incluso si es muy barato porque está comprobado que pueden ocurrir reacciones alérgicas.
- “Margen metálico” Con el tiempo las encías se retraen dejando a la vista el metal de la corona visible como un “margen metálico” entre la encía y el diente. En condiciones ideales de producción y de uso, las coronas de metal-cerámica pueden durar 15-20 años. Sujeto a los términos y condiciones de producción Elija una clínica dental de confianza, que tenga preferiblemente su propio laboratorio dental.
- La situación del diente/implante sobre el cual se fija la corona La corona metal-cerámica no se sustituye solo porque está usada. La velocidad de retracción de las encías Con el tiempo la encía se retrae dejando a la luz la corona que se vuelve antiestética.