El injerto de tejido conectivo es una técnica de periodoncia avanzada que permite devolver volumen y resistencia a la encía. Al igual que podemos perder hueso dental cuando llevamos mucho tiempo con una ausencia, también podemos perder encía debido a enfermedades periodontales o por factores como el cepillado agresivo. En estos casos, uno de los tratamientos más eficaces es el injerto de tejido conectivo.

El injerto de tejido conectivo es un procedimiento quirúrgico preciso y minuciosamente planificado. Consiste en tomar una pequeña porción de tejido blando del propio paciente, generalmente de la capa interna del paladar (la zona donante). Este tejido, que es rico en células y fibras, se extrae cuidadosamente y se prepara para ser colocado en la zona donde la encía se ha retraído (la zona receptora).
La ventaja de utilizar tejido del propio paciente es doble: se minimiza el riesgo de rechazo y la cicatrización en la zona donante es muy rápida, ya que el paladar está diseñado para sanar con facilidad.
Indicaciones del Injerto de Tejido Conectivo
Los procedimientos de recubrimiento radicular suelen aplicarse en pacientes que demandan mejoras de la estética, disminución de la sensibilidad radicular, tratamiento o prevención de caries radiculares, eliminación de zonas de acumulación de placa, o restauración del margen gingival a su contorno y posición normales.
El recubrimiento radicular puede llevarse a cabo mediante procedimientos como los injertos gingivales libres, los colgajos de avance coronal o lateral, la regeneración tisular guiada, y los injertos de tejido conectivo subepiteliales.
- Colocación de implantes dentales: Antes o durante la colocación de un implante, el injerto se utiliza para reforzar la encía que lo rodeará. Esto garantiza una estética natural y una mayor durabilidad del tratamiento.
- Aumentar la cantidad de encía queratinizada (la encía más dura y resistente) alrededor del diente.
Diferencias entre Injerto Gingival Libre e Injerto de Tejido Conectivo
Aunque a menudo se confunden, es importante entender que el injerto gingival libre y el injerto de tejido conectivo son dos técnicas distintas con propósitos específicos.
Procedimiento del Injerto de Tejido Conectivo
El injerto de tejido conectivo es una cirugía sencilla y predecible, con una duración de entre 30 y 90 minutos.
- Anestesia local: Se aplica anestesia local en la zona donante (el paladar) y en la zona receptora (donde falta encía).
- Extracción del injerto: Se realiza una pequeña incisión en el paladar para extraer una porción de tejido conectivo, sin dañar la capa superficial. Esta técnica permite una cicatrización más rápida y menos molesta.
- Preparación de zona receptora: Se levanta suavemente la encía en la zona afectada para crear un espacio o «bolsillo».
- Colocación y sutura del injerto: El tejido extraído se ajusta y se coloca en el espacio preparado. El dolor es generalmente leve y controlable con analgésicos habituales.

Injerto de encía - Colgajo desplazado coronalmente para tratar la recesión de encías ©
Caso Clínico: Injertos Subepiteliales con Técnica de Incisión Única
A veces es necesario emplear repetidamente la misma área del paladar del paciente para procedimientos consecutivos de injerto debido a las limitaciones causadas por tejidos inadecuados o por la anatomía vascular. En estos casos, uno debe considerar múltiples procedimientos quirúrgicos, y esto significa la necesidad de obtener varios injertos de tejido conectivo de la misma zona donante. Se introdujo una técnica de incisión única para minimizar el tamaño de la herida palatina y permitir el cierre por primera intención de la zona donante, con la intención de reducir el dolor postoperatorio.
El caso que presentamos describe los resultados clínicos de 2 injertos subepiteliales empleados para recubrimiento radicular obtenidos de una misma zona donante en diferentes tiempos mediante la técnica de incisión única.
Presentación del Caso
Una mujer de 45 años de edad fue remitida al Departamento de Periodoncia del Hospital Dental de la Universidad Nacional de Seúl. La historia clínica no presentaba datos de interés. La paciente presentaba problemas estéticos y de hipersensibilidad. No presentaba enfermedades crónicas y no estaba tomando ninguna medicación que pudiera comprometer la respuesta de curación de los tejidos blandos.
La paciente presentaba múltiples retracciones gingivales incluyendo un defecto de recesión Clase I de Miller de 3 mm en el canino superior izquierdo y un defecto de recesión Clase I de Miller de 2 mm en el canino superior derecho. El canino superior izquierdo presentaba una profundidad de sondaje de 3 mm y un nivel de inserción de 6 mm. La profundidad de sondaje del canino superior derecho era de 2 mm, y el nivel de inserción de 4 mm. La paciente presentaba sensibilidad táctil y al chorro de aire en ambos dientes.


La paciente recibió una explicación detallada sobre el procedimiento, y firmó el consentimiento informado. Se le sugirió realizar injertos simultáneos, pero la paciente quería que primero se le tratara un solo defecto para continuar después con los demás tratamientos.
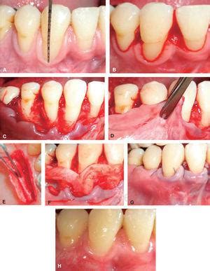
Justo antes del procedimiento, la paciente se enjuagó durante 2 min con solución de digluconato de clorhexidina al 0,12% (Hexamedine Bukwang). Después de una inyección de anestesia local de lidocaína al 2% con epinefrina 1:100.000, se realizaron dos incisiones horizontales que se extendieron a mesial y distal 2 a 3 mm a una distancia del vértice de la papila anatómica igual a la profundidad de la recesión. Después se realizaron dos incisiones verticales de alivio hacia la mucosa alveolar.
El injerto de tejido conectivo se obtuvo del paladar entre la cara distal del canino y la región mesial del segundo premolar mediante la técnica de una incisión única. Se obtuvo un injerto de tejido conectivo de 7,0 mm de longitud y 6,5 mm de anchura, aplicando a continuación presión sobre la zona donante con una gasa empapada en suero salino. El área donante se cerró con suturas reabsorbibles (Vicryl, Johnson & Johnson Medical). El injerto de tejido conectivo se posicionó con las suturas justo apical a la unión amelocementaria del canino superior izquierdo, y el colgajo de avance coronal se aplicó cubriendo totalmente la zona donante. En el área receptora se colocó un parche seco y sobre él un apósito periodontal sin eugenol (Coe-Pak, GC America) para estabilizar y proteger el tejido donante en el postoperatorio.



Se le dieron a la paciente compresas extraorales frías para minimizar la inflamación y el sangrado. Se le estableció un régimen de amoxicilina 500 mg 3 veces al día durante 5 días, aceclofenaco 100 mg 2 veces al día durante 5 días y digluconato de clorhexidina al 0,12% 3 veces al día durante 4 semanas. Los clínicos instruyeron a la paciente para que no masticara ni se cepillara en el área quirúrgica durante las 4 primeras semanas del postoperatorio.
Doce días después de la cirugía, se retiraron el apósito periodontal y todas la suturas remanentes, incluyendo las de la zona donante, y se limitó el área injertada cuidadosamente con solución de clorhexidina al 0,12%. A los 12 días la zona donante mostraba una buena curación.

La paciente recibió instrucciones de higiene oral y se le enseñó cómo practicar una técnica de cepillado circular. La paciente fue visitada regularmente para monitorizar la curación y el control de placa.
Seis semanas más tarde, se llevó a cabo el segundo injerto de tejido conectivo sobre el canino superior derecho de forma similar al primero. Se obtuvo un injerto de tejido conectivo de 10 mm de largo y 8 mm de anchura de la misma área del paladar, y a los 14 días de la intervención se retiraron el apósito periodontal y todas las suturas remanentes. La respuesta de curación del área palatina 14 días después de la cirugía reveló un cierre completo de la herida.




La paciente refirió molestias mínimas durante todo el periodo. La evaluación final a las 12 semanas y 6 semanas después de la cirugía mostró un buen mimetismo de color del área tratada con los tejidos blandos adyacentes y una disminución de la sensibilidad. El canino superior izquierdo presentaba una recesión residual de 0,5 mm, y el canino superior derecho mostraba una cobertura completa de la raíz en la evaluación final.


Morbilidad y Prevención de Infecciones
La cirugía mucogingival, siendo una cirugía de tejidos superficiales, raramente presenta complicaciones postquirúrgicas siendo la morbilidad bastante limitada. La infección palatina se observa más frecuentemente en pacientes sometidos a técnicas de obtención de injertos conectivos, cuando el colgajo primario sufre dehiscencias o necrosis. Más rara es la infección de la herida palatina que cicatriza por segunda intención tras la obtención de injerto de epitelio-conectivo.
Para prevenir las complicaciones infecciosas es aconsejable prescribir antibióticos en los pacientes que van a ser sometidos a la cirugía mucogingival con injertos palatinos. La terapia antibiótica (amoxicilina + ácido clavulánico 1g.) se inicia una hora antes de la cirugía con la administración de dos gramos y se continua con un gramo seis horas después de la intervención (profilaxis antibiótica).
En todos los pacientes sometidos a este tipo de cirugía, para prevenir el riesgo infeccioso, es fundamental el uso postquirúrgico de colutorio con clorhexidina. Es importante instruir al paciente sobre la correcta utilización del colutorio, ya que la eficacia de la clorhexidina depende de la sustantividad, es decir, de su capacidad para adherirse a los tejidos duros y blandos intraorales. Por ello es importante reforzar la idea de que los colutorios deben permanecer en la boca del paciente durante un minuto en la zona intervenida.
En la semana posterior a la retirada de las suturas el paciente deberá continuar con la utilización de colutorio tres veces al día, evitando todavía el cepillado. Aproximadamente a las seis siete semanas después de la cirugía el paciente podrá cambiar a un cepillo blando y comenzar con el hilo interdental.