La radiolucencia es un término médico utilizado en Radiología para describir la apariencia de las regiones en una imagen radiográfica que permiten el paso de los rayos X o la radiación ionizante. Estas áreas aparecen más oscuras en la radiografía debido a su menor densidad, que permite una mayor transmisión de los rayos X a través de ellas.

Aplicaciones de la Radiolucidez en el Diagnóstico Médico
En el ámbito médico, la radiolucencia se utiliza para evaluar y diagnosticar una variedad de condiciones. La interpretación de la radiolucencia en imágenes médicas requiere un conocimiento profundo de la anatomía normal, las variaciones anatómicas y la patología.
Radiología Ósea
En la radiología ósea, las áreas de radiolucencia pueden indicar varias condiciones patológicas. Por ejemplo, una radiolucencia aumentada en los huesos puede ser un signo de osteoporosis, una enfermedad que reduce la densidad ósea y aumenta el riesgo de fracturas.
Odontología
En Odontología, la radiolucencia es crucial para el diagnóstico de caries dentales, enfermedades periapicales y periodontales, y para evaluar la integridad de los implantes dentales. Las caries aparecen como áreas radiolúcidas debido a la pérdida de mineralización en el esmalte y la dentina del diente.

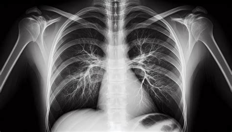
Diagnóstico Pulmonar
En el diagnóstico pulmonar, las áreas de radiolucencia en las radiografías de tórax pueden indicar la presencia de enfermedades como enfisema, neumotórax o neumonía. El enfisema pulmonar, una enfermedad caracterizada por el daño a los alvéolos, muestra un aumento de la radiolucencia debido a la destrucción del tejido pulmonar y el aumento del espacio aéreo.

¿Qué es Radiolucidez y Radiopacidad? | Tu Salud Guía
Otras Aplicaciones
Además del diagnóstico, la radiolucencia también tiene aplicaciones en la planificación del tratamiento. La radiolucencia también juega un papel en la identificación y evaluación de cuerpos extraños radiolúcidos, como ciertos tipos de plásticos o madera, que pueden ser difíciles de visualizar en comparación con los materiales radioopacos como el metal.