Las carillas dentales han ganado popularidad en el mundo de la odontología estética. Son un tratamiento muy eficiente para cambiar la sonrisa de un paciente. Como especialista en estética dental, te daré información clave sobre este procedimiento.
Las carillas dentales son láminas muy delgadas, hechas a medida de porcelana o resina compuesta (composite) que se adhieren a la parte frontal de los dientes para mejorar su apariencia. El uso de carillas dentales comenzó en Hollywood en la década de 1920, cuando los actores necesitaban mejorar su sonrisa para la pantalla grande.

Una de las principales razones por las que las personas optan por carillas es la mejora estética instantánea que proporcionan. Muchos pacientes informan un aumento significativo en su confianza después de obtener carillas. Comparado con otros procedimientos dentales como las coronas o los implantes, el proceso de colocación de carillas es relativamente mínimamente invasivo.
Tipos de Carillas Dentales
Existen dos tipos principales de carillas: carillas de composite y carillas de porcelana.
¿Conoces los TIPOS de CARILLAS DENTALES? ✨ El mejor tratamiento ESTÉTICO para tu sonrisa👄
- Carillas de Composite: Están hechas de resina compuesta. Este tipo de carillas requieren menos mantenimiento y son más económicas que las carillas de porcelana. Menos costosas que las de porcelana, pero también menos duraderas. Suelen requerir más mantenimiento a largo plazo.
- Carillas de Porcelana: Son más resistentes, duraderas y un poco más caras que las carillas de composite. Son más populares, pero las carillas de composite también son una opción viable. Las carillas de porcelana, si se cuidan adecuadamente, pueden durar entre 15 y 20 años.

¿Para Qué Sirven las Carillas Dentales?
Las carillas dentales son ideales para personas con imperfecciones dentales moderadas. También son una gran opción para aquellos que desean mejorar la estética de su sonrisa sin grandes alteraciones de los dientes.
Las carillas pueden ayudarte a:
- Arreglar dientes torcidos
- Reparar dientes astillados o rotos
- Cubrir manchas antiestéticas y decoloración
- Alargar o ensanchar los dientes (remodelación)
Procedimiento de Colocación de Carillas Dentales
El procedimiento para colocar carillas dentales generalmente implica varias etapas:
- Consulta Inicial y Planificación: En la primera cita, evaluaremos tu salud bucal y hablaremos sobre tus objetivos estéticos. Como especialista en sonrisa y estética lo más importante es cuando realizo en la clínica la valoración inicial. En ella podremos redactar un presupuesto acorde a las necesidades y expectativas que demandes. Es importante que en la primera cita discutamos todas tus expectativas antes de iniciar del procedimiento. Realizamos pruebas estéticas para que todo quede acorde a tus gustos.
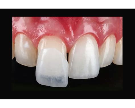
- Preparación de los Dientes: Antes de colocar las carillas, puede que sea necesario preparar ligeramente la superficie de los dientes. El proceso de colocación de carillas implica eliminar una pequeña cantidad de esmalte dental aunque el desgaste es mínimo. Sí, en el tratamiento de carillas dentales se requiere tallar o preparar los dientes. Esto implica remover una delgada capa de esmalte dental (generalmente de 0.5 a 1 mm) para crear espacio para la carilla y asegurar una buena adhesión. Este proceso es necesario para que la carilla se ajuste de manera natural y no altere la mordida del paciente. Sin embargo, el tallado es mínimo y, en algunos casos, puede no ser necesario.
- Colocación de las Carillas: Una vez preparados los dientes, las carillas se colocan siguiendo un protocolo de cementado muy meticuloso. Nos encargaremos de ajustar cuidadosamente cada carilla para asegurar que encaje perfectamente y se vea natural. En el momento que tus carillas de porcelana ya han sido fabricadas, el dentista necesita verificar cómo se ven encima de los dientes y si encajan adecuadamente. Si es necesario, se pueden acortar o redondear los bordes para que se vean “bien”. En esta fase se preparan los dientes, el dentista necesita quitar una pequeña cantidad de esmalte de la parte frontal y de los lados de los dientes. Esto crea espacio para poder colocar las carillas de porcelana y para que tus dientes se vean naturales. Tras ello se pasa a la cementación con la ayuda de la lámpara fotopolimerizable.
- Evaluación y Ajuste: Después de la colocación inicial, realizaremos pequeños ajustes según sea necesario. Tras la preparación dental y toma de medidas, se colocan unas carillas provisionales, que mejoran ya de forma drástica la estética, y evitan cualquier tipo de sensibilidad.
¿Las Carillas Dentales Duelen?
La colocación de carillas dentales generalmente no causa dolor significativo, porque se realiza con anestesia local para adormecer el área. Aunque este puede ser el momento de mayor preocupación para el paciente, es importante destacar que, en general, este procedimiento es bastante tolerable y mínimamente invasivo. No obstante, para garantizar una experiencia cómoda, podemos administrar anestesia local antes de comenzar el procedimiento. La colocación de las carillas dentales no requiere ningún tipo de anestesia local y es totalmente indolora. Lo único que el paciente puede experimentar es una ligera molestia en la encía, pero es momentánea.
Tras un tratamiento de colocación de carillas se puede experimentar sensibilidad dental, particularmente al comer o beber alimentos con cambios de temperatura. Sin embargo, algunos pacientes pueden experimentar sensibilidad temporal después del procedimiento, especialmente durante el proceso de colocación o tras la preparación del diente, donde se retira una pequeña capa de esmalte. Esta sensibilidad suele ser leve y desaparece en pocos días.
Ventajas de las Carillas Dentales de Porcelana
- Son fuertes y duraderas.
- Tienen una superficie de aspecto natural.
- Es necesario eliminar menos o nada de esmalte dental que en el caso de una corona.
- No se manchan fácilmente.
- El tejido de las encías tolera bien las carillas de porcelana.
- Las carillas de porcelana resisten a las manchas y pueden ser más blancas que el color natural de tus dientes.
Duración de las Carillas Dentales
La duración de las carillas depende del material del que estén fabricadas y del uso que les demos. Las carillas de composite pueden durar 5-7 años, mientras que las de porcelana pueden llegar hasta los 15 años de funcionalidad. Las carillas de porcelana son más resistentes y podrían tener una durabilidad media de entre 10 y 15 años. Dicha durabilidad también depende de la buena colocación por parte del dentista y de los cuidados del paciente.
Si se cuidan adecuadamente, las carillas de porcelana pueden durar entre 15 y 20 años. Las carillas dentales se terminan desgastando con su uso, por lo que es importante que se cuiden correctamente con una higiene bucodental eficaz y unos hábitos de alimentación sanos.
Cuidados y Mantenimiento de las Carillas Dentales
Una rutina de higiene bucal adecuada es indispensable para mantener unas carillas perfectas. No hay que realizar ningún mantenimiento especial.
- Visitar a su dentista cada seis meses: Después de colocar las carillas, tendrás que visitar a nuestros dentistas cada seis meses para que te hagan una limpieza y te revisen las carillas.
- Tener cuidado al comer: Deberás tener cuidado al comer.
- Limpieza adecuada de las carillas: También necesitarás limpiar tus carillas regularmente. Recuerda lavarte los dientes con suavidad después de las comidas, ya que el exceso de agresividad en el cepillado puede dañar la carilla. Completa tu rutina de limpieza con seda dental o enjuague bucal para llegar a todos los rincones de tu boca.
Riesgos y Consideraciones
Como con cualquier procedimiento dental, existen posibles complicaciones, como la sensibilidad dental o el riesgo de que las carillas se desprendan o se dañen si no se cuidan adecuadamente. Como todo tratamiento, también existen algunos riesgos a la hora de poner carillas dentales para arreglar los dientes torcidos.
Puede ser difícil para usted comer ciertos alimentos: Las carillas pueden hacer que sea más difícil de masticar ciertos alimentos. Si no se tiene cuidado, podría astillarse o romperse las carillas.Puede ser difícil mantener los dientes limpios: Como las carillas no forman parte de los dientes naturales, puede ser más difícil limpiarlas.Puede haber riesgo de reacción alérgica: Existe un pequeño riesgo de que se pueda desarrollar una reacción alérgica al material de las carillas. Si notas enrojecimiento, hinchazón o irritación alrededor de las carillas, es posible que tengas una reacción alérgica.
¿Quiénes Son Buenos Candidatos para las Carillas Dentales?
No todas las personas son candidatas ideales para las carillas. Aquellos con dientes sanos pero que presentan problemas estéticos como manchas, desgaste leve o desalineación moderada son los candidatos ideales. Sin embargo, las personas con enfermedades periodontales graves o con un desgaste dental excesivo pueden no ser aptas para este tratamiento.
Desgraciadamente, las carillas dentales no son un tratamiento para cualquier paciente. Están desaconsejadas en casos de bruxismo, ya que la acción de apretar los dientes puede dañarlas. Además, es posible que las carillas no se adhieran correctamente si el esmalte del paciente no está sano. En casos de problemas periodontales o movilidad dentaria, será necesario un tratamiento previo al de las carillas dentales.
Alternativas a las Carillas Dentales
Siempre hay pacientes que prefieren otro tipo de tratamiento para corregir los dientes torcidos. Cada paciente es un caso y la voluntad de cada uno es respetada.
- Aparatos de ortodoncia: Si los dientes torcidos te causan vergüenza es posible que quieras considerar realizar un tratamiento de ortodoncia para enderezar los dientes.
- Coronas: Si tienes dientes dañados que necesitan ser arreglados, puedes considerar la posibilidad de ponerte una corona para reparar tus dientes.
- Rellenos: Si tienes decoloración en los dientes, existe la posibilidad de llenar el área con una resina compuesta blanca.
Preguntas Frecuentes (FAQ)
A continuación, respondemos algunas de las preguntas más comunes sobre las carillas dentales:
- ¿Las carillas se manchan con el tiempo? Las carillas de porcelana resisten a las manchas y pueden ser más blancas que el color natural de tus dientes.
- ¿Puedo comer normalmente con carillas? Deberás tener cuidado al comer.
- ¿Es posible reparar una carilla rota? En algunos casos, sí. Sin embargo, puede ser necesario reemplazar la carilla si el daño es severo. Si una carilla de porcelana se rompe o se desprende, debes de guardar cuidadosamente la pieza y acercarte a la clínica lo antes posible para su reparación y/o recolocación.
- ¿Qué sucede si no me gustan mis carillas después de colocarlas? Una vez colocadas, las carillas son permanentes y no pueden retirarse sin reemplazo.
- ¿Las carillas de porcelana dañan el diente natural? Absolutamente no. Las carillas de porcelana están fabricadas para mejorar tu aspecto estético. Lo que sí hay que tener en cuenta es que tus dientes se tienen que pulir, raspar el esmalte o tallar mínimamente para poder colocarlas. De todas formas, es un “daño” estético que te ayudará a tener una sonrisa perfecta.
