Además de las lesiones cariosas, nuestros dientes están sujetos a otra gran amenaza que no debe subestimarse si queremos gozar de unos dientes sanos: el desgaste dental. También llamadas lesiones dentales no cariosas, el desgaste dental se divide en cuatro categorías dependiendo de la etiología, la localización y la morfología del desgaste. Éstas son: Abrasión, abfracción, atrición y erosión dental. El desgaste dental supone la pérdida irreversible de tejidos duros en la superficie externa del diente y engloba diferentes lesiones que pueden acabar arruinando nuestra dentadura. Será muy importante valorar, tratar y controlar los desgastes dentales.

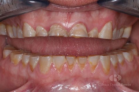
Desgaste oclusal patológico debido al bruxismo
Habitualmente se atribuía esta pérdida a la abrasión y erosión causadas por el cepillado, pero actualmente se tienen en cuenta otros factores como las fuerzas oclusales. La Dra. Carmen Álvarez junto con su colaboradora, Carmen Grille, describen minuciosamente estas lesiones en una extensa revisión de la literatura sobre el tema.
Tipos de Desgaste Dental
El desgaste dental se define como la pérdida de tejido del diente. Los dientes pueden presentar lesiones que no siempre derivan de padecer una caries dental, es decir, pro lesiones no cariosas. El desgaste dental es la pérdida de grosor y/o de estructura del esmalte dental que es la capa más externa que recubre las piezas dentales.

Tipos de desgaste dental
Atrición Dental
La atrición dental es el desgaste patológico de los dientes causado por el contacto o fricción diente-diente. La atrición dental es la pérdida gradual de los tejidos duros como resultado de la actividad masticatoria. Atrición dental: es un proceso de desgaste dental producido por las superficies de contacto dentarias durante la función o la parafunción. Este contacto se produce en áreas proximales, cúspides de soporte y superficies incisales. Se produce un aplanamiento de las cúspides o de los bordes incisales y facetas localizadas en superficies oclusales o palatales. El mismas también puede provocar una que puede producir una mínima incidencia en nuestra dentadura o bien volverse patológica en el caso de las personas con bruxismo, en los que se produce, entre otras consecuencias, una excesiva destrucción dentaria. Las zonas de desgaste aparecen lisas y pulidas y en los casos más extremos queda expuesta la cámara pulpar. Pueden existir diferentes grados de atrición dental: fisiológica, intensificada y patológica.
Abrasión Dental
La abrasión dental es un tipo de desgaste patológico de los dientes de origen mecánico no relacionado con la caries. Se produce por la fricción repetida entre la superficie dentaria y agentes externos (objetos o sustancias), lo que conlleva una pérdida progresiva de esmalte e incluso dentina.
La abrasión es una patología dental causada por fricción de un cuerpo extraño independiente de la oclusión entre los dientes, como por ejemplo, el cepillado dental. Abrasión: la abrasión es un proceso de desgaste dental producido por un agente externo que tienen un efecto considerable sobre el cepillado de los dientes y otros factores dietéticos. Se da a causa del (propias de ambientes laborales donde se trabaja con sílice, cemento...), la (costureras, músicos...) o un junto con el uso de cepillos demasiado rígidos o dentífricos abrasivos. La apariencia inicial es la de un pequeño surco que en estado avanzado adquiere forma de cuña con paredes limpias, pulidas y brillantes de una coloración amarillo-marrón.
A diferencia de la atrición (desgaste por contacto diente con diente) o la erosión (desgaste químico por ácidos), la abrasión proviene de fuerzas mecánicas externas como el cepillado dental agresivo, el uso inadecuado de palillos o el contacto habitual con objetos duros. Suele afectar especialmente la zona cervical de los dientes (unión entre corona y raíz), con mayor frecuencia en premolares y caninos, y está reconocida como la causa más común de las lesiones cervicales no cariosas en la dentición adulta.
Erosión Dental
La erosión dental es el deterioro de las superficies dentales por la acción de agentes ácidos no bacterianos. La erosión también destruye gradualmente la superficie dental por la (radiación) o (alimentos ácidos, carbonatados, excesivamente ricos en frutas, fármacos como la vitamina C, el ácido acetilsalicílico, el hierro, los ácidos del tracto digestivo asociados a vómitos o reflujo...). La apariencia de unos dientes erosionados es mate y lisa y pueden aparecer cavidades redondeadas sin la rugosidad característica de la caries. En los casos más severos, se produce sensibilidad persistente. Técnicamente las lesiones causadas por agentes ácidos deberían denominarse corrosión en vez de erosión. Erosión: es un proceso químico en el cual la superficie dental es desgastada en ausencia de biofilm. Pueden ser factores intrínsecos (desordenes alimenticios como bulimia o anorexia) i extrínsecos (bebidas carbonatadas, zumos de naranja, limones). Las lesiones resultantes del proceso de erosión son redondas y poco profundas.
Los agentes ácidos que desgastan los dientes pueden estar asociados a la ingesta o uso de sustancias ácidas o al reflujo gastroesofágico excesivo o inducido. El odontólogo debe estar preparado para reconocer y proporcionar al paciente la ayuda terapéutica, nutricional y/o psicológica para cada una de las etiologías posibles. Es importante realizar un buen diagnóstico de la erosión dental y de su etiología.
Abfracción Dental (Desgaste de Cuello Dental)
La abfracción dental es la pérdida de tejido en el cuello dental por un aumento excesivo de la fuerza al apretar los dientes. En este caso, la se debe a fuerzas biomecánicas como la masticación. La fuerza ejercida tiene un componente vertical y otro horizontal que generan tensión y compresión. Mientras que durante la compresión la estructura del esmalte es fuerte, en las áreas de tensión resulta vulnerable, pudiendo inducir microfracturas que a largo plazo resulten en una pérdida del esmalte, dentina y cemento. Este tipo de lesiones de superficie áspera son profundas y estrechas, con bordes muy afilados y un ángulo cavosuperficial muy marcado.
La tensión excesiva durante la masticación se acumula en el cuello dental, generando un trauma en forma de microfracturas que lentamente van eliminando (descascarillando) el tejido dental sano y producen esta lesión tan característica en forma de cuña. Abfracción: la abfracción es un proceso surgido como consecuencia de fuerzas excéntricas que provocan fatiga dental, flexión y deformación biomecánica de la estructura dental. Ocurre principalmente en la región cervical. La flexión causa estrés al fulcro cervical, que desencadena la pérdida de la superficie externa dentaria. La abfracciontiene un predominio por el sexo masculino, de edades entre 45 a 65 años.
| Tipo de Desgaste | Etiología | Características |
|---|---|---|
| Atrición | Contacto diente-diente | Aplanamiento de cúspides y bordes incisales |
| Abrasión | Agentes externos (cepillado, objetos) | Surcos en forma de cuña, superficies pulidas |
| Erosión | Ácidos no bacterianos | Superficies lisas, cavidades redondeadas |
| Abfracción | Fuerzas oclusales excéntricas | Lesiones en forma de cuña en el cuello dental |
Causas y Factores de Riesgo
En ocasiones, el desgaste dental puede ser asociado al estrés, provocando hábitos orales parafuncionales como rechinar o apretar los dientes, acciones referidas al bruxismo. Existen varias situaciones que pueden causar un desgaste patológico de los dientes entre ellos, pero el desgaste dental por bruxismo es la causa más común. Consumir moderadamente algunas sustancias, realizar un correcto cepillado con los elementos adecuados y usar férulas de descarga para el bruxismo pueden minimizar el riesgo de sufrir lesiones por desgaste. Para prevenir y tratar los desgastes dentales será fundamental establecer la causa que provoca estos. El patrón de desgaste es más común en dientes anteriores de la dentición natural pero, en el caso de pacientes portadores de prótesis dental, el desgaste más común es en las regiones posteriores.
¡Alerta! Desgaste dental: Síntomas y qué hacer.
Síntomas del Desgaste Dental
- Un color dental más amarillo.
- Presencia de fisuras o fracturas dentales. Cuando el desgaste dental está relacionado con la fricción dental es normal presentar fisuras en el esmalte dental.
- Dientes más pequeños. El desgaste dental provocará la pérdida de tamaño o la altura de los dientes. Ello afectará de forma importante a la estética dental.
Soluciones y Tratamientos
Como hemos podido ver, no todos los desgastes tienen las mismas características o se presentan con la misma intensidad. Por ello, el enfoque terapéutico se puede orientará en cada caso hacia la prevención o el tratamiento.
Prevención del Desgaste Dental
Para aquellos casos en los que tengamos un desgaste dental ligero que afecte principalmente a esmalte, es sensato realizar un tratamiento informativo-preventivo. Este enfoque terapéutico consiste se centra en informar al paciente de su patología: hacerle conocer los estados avanzados de su desgaste y explicar las alternativas terapéuticas en caso de desgaste dental avanzado. Además, se pueden realizar tratamientos preventivos como la confección de una férula de descarga, la mejora de la posición y articulación dental (con aparatología ortodóntica), sesiones de fisioterapia para la articulación temporomandibular y la inyección de toxina botulínica.
Tratamiento del Desgaste Dental
Cuando el desgaste de los dientes es moderado o severo, afectando a dentina superficial, dentina profunda o cemento, se recomienda realizar un tratamiento restaurador, en el que se busca devolver a la boca el tejido perdido y prevenir de esta manera mayor desgaste de los dientes. El tratamiento dependerá de la localización y la cantidad de tejido dental sano remanente. Es decir, de la realización y colocación de coronas dentales con el fin de mejorar la estética y funcionalidad de estos dientes dañados.
El tratamiento de la lesión en cuña de la abfracción dental consiste en la reconstrucción de la concavidad con composite y la prevención del hábito parafuncional de bruxismo. También puede valorarse la cirugía de injerto de tejido conectivo para tratar las posibles recesiones gingivales asociadas.