La acumulación de sarro en los dientes es un problema común que puede afectar la estética dental y la salud bucal. Es importante entender qué es el sarro, cómo se forma y cómo eliminarlo para mantener una sonrisa saludable. En este artículo, exploraremos todo lo que necesitas saber sobre el sarro dental, desde su formación y la importancia de eliminarlo, hasta cómo prevenir su formación y los procedimientos profesionales para su eliminación.

¿Qué es el Sarro Dental y por Qué Aparece?
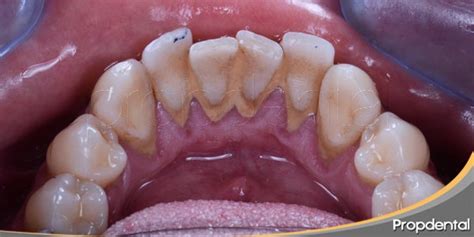
El sarro, también conocido como cálculo dental, es una placa endurecida que se forma en los dientes cuando la placa bacteriana no se elimina eficientemente. Está compuesto principalmente por minerales procedentes de la saliva y residuos alimenticios.
La formación de sarro se produce en varias etapas:
- En primer lugar, se forma la placa bacteriana, que es suave y pegajosa y se adhiere a la superficie de los dientes.
- Luego, si no se elimina a través del cepillado y el uso del hilo dental, comienza a endurecerse debido a la calcificación.
¿Por Qué es Importante Eliminar el Sarro Dental?
El sarro no solo es un problema estético, sino que también puede causar serios problemas de salud bucal:
- Gingivitis y periodontitis: La placa bacteriana y el sarro irritan las encías y provocan su inflamación, lo que deriva en una gingivitis más grave si no se trata a tiempo.
- El sarro es una de las principales causas de enfermedades bucales, y si no se trata a tiempo, puede derivar en problemas más graves.
- Algunos síntomas que te indican que tienes sarro es el color amarillento de los dientes, el sangrado de las encías, o el mal aliento.
- Además del impacto positivo en la boca, se ha demostrado que una buena salud bucal repercute en la salud general.
Las bolsas de las encías son un síntoma del daño existente en el periodonto causado por la gingivitis y la periodontitis. En este caso, las encías se despegan del diente, dando lugar a bolsas gingivales. Las bacterias patógenas pueden asentarse y esconderse especialmente bien en estas bolsas.
Tipos de Sarro Dental
Existen fundamentalmente 2 tipos de sarro dental:
- Sarro supragingival: este sarro se forma en la superficie de los dientes, fuera de la encía.
- Sarro subgingival: este sarro se forma debajo de la línea de la encía.
El sarro puede ser de color amarillento, marrón o verdoso en casos más severos.
Problemas de Salud Causados por el Sarro Dental
Los problemas de salud que se originan de la presencia de sarro son:
- Halitosis o mal aliento.
- Caries dentales. Se producen por la desmineralización del esmalte por parte de los ácidos que producen las bacterias presentes en la boca del paciente. Si la caries es pequeña se puede solucionar con una obturación.
- Enfermedades periodontales o de los tejido de soporte del diente. Dentro de las enfermedades periodontales tenemos dos:
- Gingivitis: afecta principalmente a los tejidos blandos y consiste en la inflamación de la encía. El principal síntoma es el sangrado.
- Periodontitis: es la fase mas avanzada de la gingivitis. Cursa con inflamación de la encía y con pérdida de hueso de los tejidos que soportan los dientes.
Procedimientos Profesionales para Eliminar el Sarro Dental
Existen diferentes tratamientos profesionales que ayudan a eliminar el sarro dental extremo y prevenir su acumulación. Para tratar el sarro dental has de acudir a la consulta del dentista, y hacer una limpieza dental profesional.
Limpieza Profesional (Profilaxis Dental)
Es un tratamiento donde el dentista utiliza herramientas especiales para raspar y eliminar el sarro de los dientes y las encías. La limpieza dental puede ser un poco incómoda, pero no suele ser dolorosa. En Clínica Guitián, realizamos limpiezas dentales profundas, donde utilizamos instrumentos especializados para eliminar el sarro. Una de las técnicas más efectivas para la eliminación el sarro es el uso de ultrasonidos.
Así es el proceso de Profilaxis dental profesional:
- Primero se emplea una punta de ultrasonidos para eliminar las piedras o cálculos de sarro depositados sobre los dientes. El ultrasonidos emplea una vibración y agua a presión para ir removiendo este sarro.
- A continuación se emplea la seda dental y las tiras de pulir interproximales para eliminar el sarro que queda entre los dientes.
- Por último se emplea la pasta de profilaxis para dejar la superficie completamente lisa y pulida con el fin de evitar que vuelva a formarse sarro.
La respuesta es no, es un proceso completamente indoloro. En todo caso puede aparecer una leve sensibilidad dental si eres propenso a la sensibilidad dental, que desaparece al poco tiempo.
Raspado y Alisado Radicular (Curetaje)
Es un tratamiento que se utiliza para eliminar el sarro dental y la placa bacteriana que se encuentra debajo de las encías. En estos casos el tratamiento indicado es un Curetaje o Raspado radicular.
Este tipo de limpieza es una limpieza más profunda para retirar el sarro que se encuentra debajo de la encía. Se retira mediante un instrumento llamado cureta.
El procedimiento se realiza bajo anestesia local para evitar molestias. Es posible que después del tratamiento puedas notar algún dolor leve, que desaparece con la ingesta de antiinflamatorio o analgésicos. Durante el proceso puede aumentar sensibilidad dental, por ello se pueden emplear productos que reduzcan la sensibilidad.
Terapia Láser
Es una técnica relativamente nueva en la que se utiliza un láser de baja intensidad para eliminar la placa bacteriana y el sarro de los dientes y las encías.
Es importante tener en cuenta que estos tratamientos solo deben ser realizados por un dentista o higienista dental calificado.
Procedimiento de Limpieza Dental Profesional en SJD Dentistas
En SJD Dentistas, realizamos la limpieza dental siguiendo un procedimiento meticuloso y profesional para asegurar los mejores resultados. Aquí te explicamos cada paso:
- Comenzamos con una evaluación completa de tu salud bucal, identificando cualquier área problemática.
- Empleamos esta técnica adicional para eliminar manchas superficiales y proporcionar una sensación de frescura.
- Este paso mejora la apariencia de los dientes y fortalece el esmalte contra la caries.
- En caso de encías sensibles, aplicamos un gel antiinflamatorio para reducir la sensibilidad y promover la cicatrización.
Algunos pacientes pueden experimentar sensibilidad en los dientes y encías después de la limpieza.
¡COMO QUITAR EL SARRO 💩 DE LOS DIENTES EN CASA 🏡! ¡ES EN SERIO!
¿Qué Ocurre Durante una Limpieza Dental Profesional?
La limpieza dental profesional (PZR) es una limpieza intensiva que expertos dentales (menos a menudo los propios dentistas) con formación especial llevan a cabo en una clínica dental.
Una limpieza dental profesional varía siempre ligeramente de una clínica dental a otra; no existe un procedimiento estándar absoluto.
Al inicio de una PZR, los especialistas de la clínica dental examinarán primero a fondo sus dientes. También puede hacer gárgaras con un colutorio para desinfectar y limpiar los dientes y las encías antes del tratamiento.
A continuación, la cosa se pone realmente en marcha: utilizando una amplia variedad de herramientas, como instrumentos manuales o dispositivos ultrasónicos, abordamos ahora la placa patógena y las bacterias que se encuentran en los dientes, en los espacios entre los dientes y también por debajo de la línea de las encías. La placa dura, es decir, el sarro, se trata en primer lugar.
Para facilitar el reconocimiento de estos depósitos de placa, algunos odontólogos colorean previamente los dientes con pastillas para colorear la placa. Esto hace que la placa de los dientes destaque claramente y pueda eliminarse de forma más selectiva.
Una vez eliminado el sarro, es el turno de la placa blanda. ¿Ha oído hablar alguna vez de la llamada técnica de chorro de polvo Airflow? Se trata de un método de limpieza dental profesional en el que una mezcla de aire, agua y sal se pulveriza en los espacios interdentales y se limpia mediante un proceso de alta presión.
Una vez que las encías y los dientes se han liberado de las bacterias patógenas y la placa, es hora de dar los "toques finales", por así decirlo. Esto significa que los dientes se pulen para que las superficies vuelvan a ser lisas. Una vez eliminada la placa, los dientes vuelven a estar ásperos, y eso es exactamente lo que les gusta a las bacterias de la caries, ya que les encanta asentarse aquí. Les resulta mucho más difícil hacerlo en superficies lisas, por lo que la placa nueva no puede formarse tan rápidamente. Los dientes se pulen con un cepillo giratorio y una pasta pulidora.
Al final de una limpieza dental profesional, los dientes suelen fluorarse con un barniz o gel. Después de unos 45 a 60 minutos, suele recibir el alta de la limpieza dental profesional. Sin embargo, antes de irse a casa, el odontólogo le dará unos valiosos consejos sobre cómo mantener el resultado de limpieza reluciente en casa el mayor tiempo posible.
¿Cómo Prevenir la Formación de Sarro Dental?
La prevención es clave para evitar la formación de sarro dental. La prevención del sarro comienza en casa con una buena higiene bucal.

- Cepillado dental: Al menos dos veces al día, utilizando una pasta de dientes con flúor y un cepillo de cerdas medias.
- Uso del hilo dental: Este paso es fundamental para eliminar la placa bacteriana y los restos de comida que se acumulan entre los dientes y en la línea de las encías.
- Enjuague bucal: Solo se recomienda en casos muy específicos como por ejemplo pacientes con ortodoncia, con dificultades para sujetar los cepillos de dientes o con riesgo de enfermedades periodontal o caries. El uso de enjuagues bucales antibacterianos también puede ayudar a reducir la formación de placa y sarro.
- Una dieta equilibrada, baja en azúcares y carbohidratos refinados, contribuye a una menor acumulación de placa y sarro.
- Programar visitas regulares al dentista para chequeos y limpiezas es vital.
- Realizarse una limpieza bucodental regular va mucho más allá de una cuestión estética.
Mitos sobre la Limpieza Dental Profesional
Existen muchos mitos alrededor de la limpieza dental profesional, aquí te aclaramos algunos:
- Una de las frases más repetidas es: “la limpieza desgasta el esmalte”. Esto es falso. La limpieza bucal profesional no daña el esmalte si la realiza un profesional cualificado.
- Otro mito frecuente es que “la limpieza duele”.
- También es falso que con una limpieza al año sea suficiente.
- Ni el mejor cepillo ni la pasta más avanzada sustituye una limpieza bucodental profesional. Por eso, lo ideal es combinar una rutina diaria eficaz con revisiones periódicas.
¿Con Qué Frecuencia Debo Realizarme una Limpieza Dental Profesional?
Aunque cada caso es distinto, lo habitual es realizar una limpieza de dientes profesional cada 6 meses. En SJD Dentistas, recomendamos realizar una limpieza dental profesional cada seis meses.
No se especifica con qué frecuencia se debe acudir a una limpieza dental. En general, los dentistas recomiendan concertar una cita una o dos veces al año. Esto es especialmente cierto para los pacientes que tienen dientes y encías sanos.
Tabla de Tipos de Limpieza Dental y Frecuencia Recomendada
| Tipo de Limpieza | Descripción | Frecuencia Recomendada |
|---|---|---|
| Básica | Para pacientes con buena salud bucal general. | Cada 6 meses |
| Profunda | Para pacientes con enfermedad periodontal. | Según lo indique el dentista |
La Importancia de la Limpieza Dental Profesional Durante el Embarazo
Aunque estés embarazada, nada te impide pedir cita para una limpieza dental profesional. Mejor aún: es muy recomendable. ¿Por qué? El embarazo afecta a todo el cuerpo y, por tanto, también a los dientes y las encías. Por ejemplo, hasta el 80% de las embarazadas sufren inflamación de las encías, también conocida como gingivitis del embarazo.
La inflamación de la boca puede reconocerse en una fase temprana y remediarse con una limpieza dental profesional. Las mujeres embarazadas tienen un mayor riesgo de desarrollar caries. Esto se debe a que el pH de la saliva es más bajo de lo habitual durante el embarazo. Esto reduce la función protectora de la saliva.
¿Duele la Limpieza Dental Profesional?
Normalmente, una limpieza dental profesional no debería causar ningún dolor. Esto es especialmente cierto si no tiene molestias como inflamación de encías o cuellos dentales abiertos. No obstante, a veces los pacientes refieren sensaciones desagradables durante el tratamiento. Esto puede ocurrir cuando el dentista utiliza herramientas manuales o dispositivos eléctricos para eliminar el sarro duro.
Hay otras razones por las que los pacientes pueden sentir dolor durante una limpieza dental. Existe riesgo si los dientes están dañados (por ejemplo, por caries) o si hay inflamación de las encías. En estos casos, algunos dentistas ofrecen tratar las zonas sensibles con anestesia local.
Cuidados Posteriores a la Limpieza Dental Profesional
Aunque una limpieza dental deja los dientes maravillosamente limpios, también los hace temporalmente especialmente vulnerables. Esto se debe a que la membrana del esmalte, la delgadísima película protectora que recubre los dientes (en términos médicos: película), también se elimina durante la limpieza; por desgracia, esto no se puede evitar. Esta película protectora vuelve a formarse al cabo de unas dos horas.
Incluso en las horas posteriores a la limpieza dental, no te equivocarás si intentas evitar alimentos colorantes como el café, la remolacha, el té, el vino tinto o las bayas. Para los fumadores, lo mejor es evitar el tabaco durante unas ocho horas. Esto se debe a que no sólo los dientes, sino también las encías están sensibles después de una limpieza dental profesional.
Coste de la Limpieza Dental Profesional
La limpieza dental profesional no es una prestación general del seguro de enfermedad obligatorio. Esto significa que los pacientes tienen que pagarla de su propio bolsillo. El coste de la PZR depende en cierta medida de la consulta dental. El importe se calcula en función del tiempo necesario y del grado de dificultad. Los métodos y materiales utilizados también influyen en el cálculo del precio.
Para los pacientes, esto significa que es esencial pedir presupuesto antes de someterse a una limpieza profesional. Si el precio es inferior a 80 euros o superior a 120 euros, la oferta puede considerarse bastante dudosa. Los precios más elevados, en particular, tienen más probabilidades de ser lucrativos.
Dado que las compañías de seguros médicos no suelen pagar las limpiezas dentales profesionales, es posible contratar un seguro dental complementario privado.