¿Te cepillas los dientes todos los días y aún así notas una especie de capa dura y amarillenta en tus dientes, sobre todo en la parte de abajo? Tranquila, no estás sola. La acumulación de sarro dental en encías y dientes es uno de los problemas orales más comunes entre la población. En este post te contamos todo lo que necesitas saber sobre el sarro dental, cómo se forma, sus consecuencias, los tratamientos más efectivos para eliminarlo y los mejores productos para prevenirlo.

¿Qué es el sarro dental y cómo se forma?
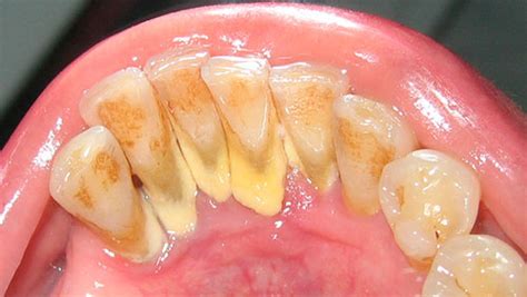
El sarro dental, también llamado cálculo dental, es una placa bacteriana que se ha endurecido debido a los minerales presentes en la saliva. Todo comienza con la placa dental, una película transparente y pegajosa que se forma constantemente en nuestros dientes. Si no se elimina correctamente (con un buen cepillado y el uso de hilo dental), esta placa se mineraliza y se convierte en sarro, especialmente en zonas como detrás de los dientes inferiores. Es común que dicha calcificación del biofilm dental se acumule en el borde de las encías o en los espacios interdentales donde no llegamos con el cepillado.
El sarro está compuesto por los restos microbianos, la acumulación de residuos de alimentos y de saliva. El biofilm dental y los restos de alimentos se deben eliminar a diario evitando que lleguen a endurecerse. Estos restos pueden presentar una coloración que va desde un tono blanquecino, amarillento, hasta un color marrón en los casos más severos.
¿Acumulas mucho sarro dental? Evítalo así. Te lo explico rápido y fácil.
Consecuencias del sarro dental
La acumulación del sarro puede ocasionar graves problemas de salud bucal. Además de ser poco estético, puede ser perjudicial para nuestra salud en términos de aparición de caries, halitosis, gingivitis o periodontitis, entre otras afecciones.
- Problemas estéticos: La primera consecuencia negativa que tiene el sarro en los dientes es un problema estético. El sarro también puede ocasionar problemas estéticos. Debido a que es poroso, por ejemplo, puede absorber manchas amarillas fácilmente. Así, cuando se toman bebidas altamente pigmentadas, como el té o el café, se puede oscurecer.
- Adhesión del biofilm dental: El sarro también favorece la adhesión del biofilm dental.
- Infección de los tejidos gingivales: La acción de las bacterias que se acumulan en el sarro conlleva la infección de los tejidos gingivales. Es la inflamación de las encías.
- Caries dental: El sarro supragingival que se acumula en la superficie de los dientes y encías es el principal responsable de la caries dental.
- Halitosis o mal aliento: Cabe destacar también que la formación del sarro en los dientes está relacionada con problemas de halitosis o mal aliento. ¡Mucho ojo! El sarro dental también es responsable de ese mal aliento persistente que no se va ni con enjuague.
- Enfermedades de las encías: El sarro en los dientes puede provocar una serie de problemas de salud bucodental, de los cuales los más comunes son las enfermedades de las encías, como la gingivitis y la periodontitis. Una evolución de la gingivitis que afecta al hueso que sostiene los dientes.
- Riesgo cardiovascular: Las investigaciones han establecido una relación entre la salud bucodental y la salud cardiovascular. El sarro y las infecciones de las encías pueden aumentar el riesgo de enfermedad cardiovascular al permitir que las bacterias de la boca entren en el torrente sanguíneo, favoreciendo la inflamación y el daño de los vasos sanguíneos.
¿Se puede quitar el sarro en casa?
No. Una vez formado, no puedes eliminar el sarro en casa (ni aunque frotes como si no hubiera un mañana). Si ya has detectado importantes cantidades de sarro en tu boca, debes saber que solo un profesional dentista o higienista dental podrá eliminarlo por completo. Una vez que se ha endurecido el sarro, la única forma de eliminarlo es a través de un higienista o dentista cualificado. El sarro sólo se puede eliminar con una limpieza profesional realizada en una clínica dental. Para eliminar el sarro que ha crecido más profundamente debajo de los tejidos blandos que sostienen los dientes, es necesario un tratamiento distinto, que recibe el nombre de raspado y alisado radicular, o curetaje, que sí necesita anestesia local.
A través de una limpieza dental profesional es posible desprender los cálculos y depósitos de sarro sobre el diente. Cuando el sarro se encuentra por debajo de la línea de las encías, la forma más habitual de eliminarlo es a través de un proceso manual. Este procedimiento se realiza mediante un instrumental adecuado, sin dañar el esmalte dental.

El sarro se puede eliminar de manera segura en el consultorio dental. El dentista o higienista usará herramientas de raspado dental o un dispositivo ultrasónico para retirarlo de los dientes, así como en/y por debajo del borde de las encías. Si le preocupa el coste, existen muchas opciones para obtener tratamientos dentales a precios accesibles, como por ejemplo en las facultades de Odontología.
Remedios caseros: ¿son efectivos?
Y si te preguntas por soluciones DIY, debes saber que los remedios caseros para el sarro en los dientes de abajo no sustituyen la limpieza profesional. Como hemos mencionado, las limpiezas con limón, vinagre, bicarbonato de sodio, sal, etc. no son efectivas para eliminar el sarro y, además, pueden dañar seriamente el esmalte de nuestros dientes. Además, si intentamos eliminar el sarro dental con remedios caseros como aplicando vinagre o limón, solo conseguiremos dañar el esmalte de nuestros dientes, ya que estos productos resultan altamente abrasivos y perjudiciales.
También se ha llegado a sugerir el uso de fresas, vinagre o semillas de ajonjolí como remedios naturales. Aunque estos ingredientes y productos se pueden adquirir con facilidad, no es buena idea usarlos. Esto se debe a que hace falta una formación y una capacitación especializadas para eliminar el sarro de los dientes de manera segura.
La mayoría de estos remedios caseros tienen en común una cosa: aplicarlos puede implicar un severo daño en el esmalte dental. De hecho, cuando se recomiendan estos trucos caseros ya se suele advertir del poder abrasivo de dichos ingredientes. Así es como, a menudo, se hacen virales consejos relacionados con la salud que pueden resultar perjudiciales. Aunque existen diversas variaciones de este método casero, el más extendido consiste en emplear una mezcla de bicarbonato de sodio y de sal.
¿Cómo prevenir la formación de sarro dental?
Con la finalidad de no tener que recurrir a tratamientos invasivos para la eliminación del sarro de los dientes, la mejor recomendación es prevenir su formación. Dado que no es posible quitar el sarro en casa y que su aparición puede traer consecuencias graves para la salud dental, la clave radica en evitar que el sarro comience a formarse en tus dientes. No es posible eliminar en casa el sarro, pero si prevenirlo.
Para prevenir la acumulación de sarro, es fundamental adoptar una rutina de higiene bucal rigurosa. La mejor técnica de limpieza es cepillándonos 3 veces al día y empleando cada día el hilo dental o los cepillos interdentales que nos ayuden a eliminar los restos de comida que se quedan en nuestra boca y a los que el cepillo de dientes no llega. Recuerda: la placa es blanda y se elimina con el cepillo. El sarro es duro y solo sale en el dentista. Al menos una vez al año, aunque lo ideal es cada seis meses.

Consejos para prevenir el sarro
- Cepillado dental adecuado: Cepillarse los dientes al menos tres veces al día te ayudará a mantener a raya la acción de las bacterias de los alimentos que ingieres. Recomendamos utilizar un cepillo de cerdas suaves y cepillar con movimientos circulares suaves para cubrir eficazmente todas las superficies dentales. Evite los movimientos horizontales enérgicos, que pueden dañar el esmalte dental y las encías. El cepillado debe durar al menos dos minutos e incluir todas las superficies dentales: externa, interna y masticatoria.
- Hilo dental: Hilo dental: sí, todos los días.
- Pasta dental con flúor: En general, los dentistas recomiendan que se utilice un dentífrico con flúor porque refuerza el esmalte y ayuda a eliminar la placa para evitar la aparición de sarro.
- Cantidad de pasta dental: Respecto a la cantidad, mejor quedarse corto que ponerla en exceso para evitar que se genere demasiada espuma.
- Dieta saludable: Cuidar la alimentación llevando una dieta saludable y equilibrada nos ayudará a mantener una buena salud dental. Y no olvides que tu alimentación también es fundamental para prevenir la aparición del sarro. Come muchas manzanas y zanahorias, y evita, en la medida de lo posible, el pan de molde y las bebidas carbonatadas.
- Evitar ciertos hábitos: En primer lugar, lo más importante para prevenir la formación del sarro es no tomar café ni abusar de infusiones como el té, que pueden ser perjudiciales para los dientes. Por supuesto, fumar también sería contraproducente. Sabemos que esto no resulta fácil, por eso, en cualquier caso, te aconsejamos limpiar bien tus dientes a menudo y evitar que se genere y se agrave aún más el problema. No fumar, no tomar café ni infusiones y cepillarte frecuente y correctamente son pautas importantes.
- Productos específicos: El zinc es un elemento que se añade a los dentífricos y colutorios para facilitar el control de la placa dental y prevenir la formación del cálculo. La línea de cuidado diario GingiKIN B5 combina en su formulación lactato de zinc y cloruro de cetilpiridinio (CPC) para un control óptimo de la placa bacteriana. Por otro lado, la línea de mantenimiento gingival KIN Forte presenta una triple combinación de agentes antiplaca (clorhexidina 0,05%, CPC y zinc). Además, incorpora el complejo Alpantha, formado por provitamina B5 (pantenol) y alantoína, para mantener unas encías sanas y fuertes. El pirofosfato es un elemento que juega un papel importante en la inhibición de la formación de cálculos. Esta molécula evita que se produzca la precipitación de iones minerales presentes en la saliva en la placa dental.
Signos de la formación de sarro
Los signos más comunes de la formación de sarro incluyen una sensación áspera en la lengua, decoloración de los dientes y una separación aparente entre las encías y los dientes, que puede indicar una recesión de las encías. Aunque el sarro en sí no afecta directamente a la alineación de los dientes, su acumulación puede crear espacios o bolsas entre los dientes y las encías, que a largo plazo pueden influir en su posición.
¿Por qué el sarro se vuelve negro?
En algunos casos, el sarro puede volverse negro debido a ciertos factores, como tener una alta concentración de hierro en la saliva. Cuanto más tiempo dejes que el sarro dental permanezca en tu boca, más bacterias se acumularán a su alrededor. Estas bacterias pueden empezar a corroer el esmalte dental, favoreciendo la decoloración de los dientes y la aparición de caries.
Para saber si tienes sarro dental, lo primero que puedes hacer es mirarte en el espejo. También puedes palpar alrededor de los dientes con la lengua. La forma más efectiva de detectar si tienes sarro dental es acudir a tu dentista para que te haga un examen profesional.
Tabla comparativa: Placa vs. Sarro
| Característica | Placa Dental | Sarro Dental |
|---|---|---|
| Textura | Blanda y pegajosa | Dura y calcificada |
| Color | Incolora o ligeramente amarillenta | Amarilla o marrón |
| Eliminación | Fácilmente con cepillado e hilo dental | Sólo por un profesional |