¿Te cepillas los dientes todos los días y aún así notas una especie de capa dura y amarillenta en tus dientes, sobre todo en la parte de abajo? Tranquila, no estás sola. En este artículo te contamos todo lo que necesitas saber sobre el sarro dental, cómo se forma, sus consecuencias, los tratamientos más efectivos para eliminarlo y los mejores productos para prevenirlo.

¿Qué es el sarro dental?
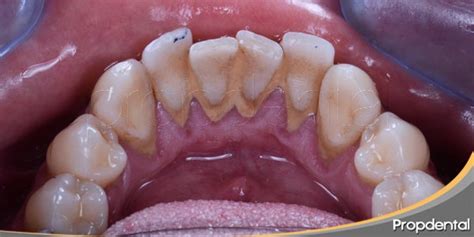
El sarro dental, también llamado cálculo dental, es una placa bacteriana que se ha endurecido debido a los minerales presentes en la saliva. Todo comienza con la placa dental, una película transparente y pegajosa que se forma constantemente en nuestros dientes. Si no se elimina correctamente (con un buen cepillado y el uso de hilo dental), esta placa se mineraliza y se convierte en sarro, especialmente en zonas como detrás de los dientes inferiores.
Formación del sarro
El sarro, o cálculo dental, es placa bacteriana que se ha endurecido por los minerales de la saliva. La mala higiene bucodental es la principal causa de su aparición.
¿Cómo saber si tienes sarro dental?
Para saber si tienes sarro dental, lo primero que puedes hacer es mirarte en el espejo. También puedes palpar alrededor de los dientes con la lengua. La forma más efectiva de detectar si tienes sarro dental es acudir a tu dentista para que te haga un examen profesional.
007 CÓMO SE PUEDE PREVENIR LA FORMACIÓN DE SARRO EN LOS DIENTES
Consecuencias del sarro dental
Más allá de sus consecuencias estéticas, el sarro provoca que la placa bacteriana de los dientes se engrandezca y acabe provocando otros problemas aún más graves en las encías, como la gingivitis. La acumulación del sarro puede ocasionar graves problemas de salud bucal.
- Gingivitis: Es la inflamación de las encías.
- Periodontitis: Una evolución de la gingivitis que afecta al hueso que sostiene los dientes. ¡Mucho ojo!
- El sarro dental también es responsable de ese mal aliento persistente que no se va ni con enjuague.
- El sarro también puede ocasionar problemas estéticos. Debido a que es poroso, por ejemplo, puede absorber manchas amarillas fácilmente. Así, cuando se toman bebidas altamente pigmentadas, como el té o el café, se puede oscurecer.
Cuanto más tiempo dejes que el sarro dental permanezca en tu boca, más bacterias se acumularán a su alrededor. Estas bacterias pueden empezar a corroer el esmalte dental, favoreciendo la decoloración de los dientes y la aparición de caries.

Tratamientos para eliminar el sarro dental
Limpieza profesional en el consultorio dental
Una vez que la placa se convierte en sarro, ya no se puede quitar con el cepillo de dientes. Si ya has detectado importantes cantidades de sarro en tu boca, debes saber que solo un profesional dentista o higienista dental podrá eliminarlo por completo. El sarro se puede eliminar de manera segura en el consultorio dental. El dentista o higienista usará herramientas de raspado dental o un dispositivo ultrasónico para retirarlo de los dientes, así como en/y por debajo del borde de las encías. Este procedimiento se realiza mediante un instrumental adecuado, sin dañar el esmalte dental.
Para eliminar el sarro que ha crecido más profundamente debajo de los tejidos blandos que sostienen los dientes, es necesario un tratamiento distinto, que recibe el nombre de raspado y alisado radicular, o curetaje, que sí necesita anestesia local. Se realiza cuando el sarro está debajo de las encías. Parecidas a las del dentista cuando te hacen un empaste.
Si le preocupa el coste, existen muchas opciones para obtener tratamientos dentales a precios accesibles, como por ejemplo en las facultades de Odontología.
¿Se puede quitar el sarro en casa sin ir al dentista?
No. Una vez formado, el sarro requiere herramientas profesionales. Una vez formado, no puedes eliminar el sarro en casa (ni aunque frotes como si no hubiera un mañana).

Prevención del sarro dental
Dado que no es posible quitar el sarro en casa y que su aparición puede traer consecuencias graves para la salud dental, la clave radica en evitar que el sarro comience a formarse en tus dientes. No es posible eliminar en casa el sarro, pero si prevenirlo. Y no olvides que tu alimentación también es fundamental para prevenir la aparición del sarro.
Consejos para prevenir el sarro
- Cepillarse los dientes al menos tres veces al día te ayudará a mantener a raya la acción de las bacterias de los alimentos que ingieres. El mejor hábito es cepillarse los dientes tres o cuatro veces al día (después de cada comida) siguiendo las recomendaciones de los profesionales.
- Hilo dental: sí, todos los días. Y si te preguntas por soluciones DIY, debes saber que los remedios caseros para el sarro en los dientes de abajo no sustituyen la limpieza profesional. Al menos una vez al año, aunque lo ideal es cada seis meses.
- En general, los dentistas recomiendan que se utilice un dentífrico con flúor porque refuerza el esmalte y ayuda a eliminar la placa para evitar la aparición de sarro. Respecto a la cantidad, mejor quedarse corto que ponerla en exceso para evitar que se genere demasiada espuma.
Hábitos y alimentos que producen sarro
En primer lugar, lo más importante para prevenir la formación del sarro es no tomar café ni abusar de infusiones como el té, que pueden ser perjudiciales para los dientes. Por supuesto, fumar también sería contraproducente. Sabemos que esto no resulta fácil, por eso, en cualquier caso, te aconsejamos limpiar bien tus dientes a menudo y evitar que se genere y se agrave aún más el problema. No fumar, no tomar café ni infusiones y cepillarte frecuente y correctamente son pautas importantes.
Come muchas manzanas y zanahorias, y evita, en la medida de lo posible, el pan de molde y las bebidas carbonatadas.
Técnicas "caseras" para prevenir el sarro (¡con precaución!)
Así es como, a menudo, se hacen virales consejos relacionados con la salud que pueden resultar perjudiciales. También se ha llegado a sugerir el uso de fresas, vinagre o semillas de ajonjolí como remedios naturales. Aunque estos ingredientes y productos se pueden adquirir con facilidad, no es buena idea usarlos. Esto se debe a que hace falta una formación y una capacitación especializadas para eliminar el sarro de los dientes de manera segura. De hecho, cuando se recomiendan estos trucos caseros ya se suele advertir del poder abrasivo de dichos ingredientes. La mayoría de estos remedios caseros tienen en común una cosa: aplicarlos puede implicar un severo daño en el esmalte dental. Además, ninguna de estas recomendaciones para eliminar el sarro será efectiva sin una higiene dental completa de forma regular.
Algunos ejemplos de estas técnicas incluyen:
- Mezcla una cucharadita de bicarbonato de sodio con media cucharadita de sal y unta el cepillo de dientes con esta solución para debilitar la placa.
- Lávate los dientes con vinagre de manzana disuelto en agua, al menos una vez a la semana, para retrasar la formación de sarro.
- Con los dientes limpios, enjuágate la boca con agua tibia mezclada con un poco de agua oxigenada.
¡Importante! En cualquier caso, ninguna de estas recomendaciones para eliminar el sarro será efectiva sin una higiene dental completa de forma regular. Ante cualquier duda, consulta con tu dentista de confianza.
El sarro en las prótesis dentales
Saber cómo limpiar las prótesis dentales es esencial para mantener una buena higiene bucal. Algo que debes tener en cuenta siempre es que hay que limpiarla y desinfectarla a diario. Las manchas y el sarro se acumulan muy fácilmente en las prótesis dentales, por lo que es muy importante saber cómo limpiarlas.
Consejos para el cuidado de las prótesis dentales
- Te recomendamos que limpies tu dentadura postiza después de las comidas. Otro buen momento sería por la noche, justo antes de acostarte. De esta manera, puedes dejarla en remojo en agua durante la noche después de limpiarla.
- Cepilla tu dentadura postiza después de cada comida. Para ello, utiliza un cepillo de dientes. Es mejor si tiene cerdas fuertes. Eliminará al instante los restos de comida que se acumulen. No utilices pasta de dientes. Se estropeará el brillo de su dentadura postiza. Hay pastas y pastillas especiales, o simplemente puedes usar agua.
- Evita fumar. El tabaco hará que tus dientes se vuelvan amarillos y ten cuidado cuando tomes café o vino tinto.
- No te olvides de visitar al dentista. La boca es más sensible, por eso es tan importante acudir a un profesional.
- Dormir con una dentadura postiza de quita y pon podría ser arriesgado. Sobre todo, si alguna de sus partes no está bien adaptada, podría soltarse y causar asfixia y ahogos.