Si has llevado ortodoncia, o estás terminando un tratamiento, seguro que te interesa saber si se pueden mover los dientes después de una ortodoncia. A día de hoy, un gran número de personas se preguntan si es normal que los dientes se muevan un poco. Esta sensación puede generar angustia y nos hace pensar que se pueden llegar a caer. No obstante, esta circunstancia es habitual y se produce por la falta de sujeción del ligamento.
Las piezas dentales están rodeadas por tejidos periodontales y ligamentos que pueden permitir movimientos dentales. Cuando movemos los dientes con ayuda de una ortodoncia, estos intentarán volver a su posición anterior. Por lo que en la mayoría de casos, sin el uso de retenedores se podría echar a perder en cierta medida el tiempo invertido en la ortodoncia.
En el caso de que el movimiento sea exagerado, se recomienda acudir al odontólogo para hacer una revisión.
¿Por qué los dientes se mueven? Explorando las causas comunes
La movilidad dental es uno de los problemas más habituales en las clínicas dentales. De hecho, se trata de un problema frecuente que tiene solución en la mayoría de los casos. En primer lugar, hay que consultar al dentista para que haga un examen y pueda explicar el motivo del movimiento. Posteriormente, habrá que tratarlo en función de la causa, porque hasta un diente sano puede moverse de manera ligera.

- Traumatismo: Uno de los principales motivos de la movilidad en la pieza dental se debe a que la persona ha sufrido un accidente o traumatismo.
- Periodontitis: Otra de las razones de este movimiento tiene que ver con la enfermedad periodontal. Es decir, hay una infección en el tejido amortiguador del diente, que va destruyendo progresivamente el ligamento.
- Bruxismo: Las personas que presentan bruxismo y aprietan en exceso los dientes al dormir, también pueden experimentar esta afección.
- Caries dental: Por último, tampoco hay que descartar la caries, puesto que, en algunos casos, produce el desgaste en alguna que otra pieza.
Otra de las preguntas más habituales que se hacen muchos pacientes es por qué razón se me mueve una funda dental. ¿Qué se debe hacer en estos casos? Lo fundamental es no alarmarse, porque es normal que esto ocurra y, probablemente, solo hay que reforzar la pieza.
Consecuencias del movimiento dental: ¿Es normal o algo preocupante?
En principio, el movimiento de un diente no debería preocuparnos y, mucho menos, si es imperceptible. En este caso, se conoce con el nombre de movilidad fisiológica. Si no hay una pérdida en la zona de inserción del hueso, no hay riesgo de caída.
Sin embargo, si la movilidad es exagerada y dura más de lo normal, es cuando hay que solicitar una cita al dentista y buscar la solución apropiada. Hay situaciones en la que será necesario colocar una corona artificial dentaria para reforzar la pieza, sobre todo, si está muy desgastada o después de realizar una endodoncia dental.
Efectos a corto y largo plazo del movimiento leve de los dientes
Tal como hemos dicho, si el movimiento es leve no hay razones para preocuparse. Sin embargo, si se va acentuando con el transcurso del tiempo, hay que ponerse en manos de un especialista. Es necesario observar si hay una filtración de bacterias que afecten a la pieza dentaria original cuando está recubierta por una funda.
Uno de los problemas más habituales en los implantes dentales es que tiene lugar la periimplantitis. Es decir, dolor, sangrado e inflamación por una mala higiene oral. Esto es más habitual con el paso de los años y puede generar movilidad.
Mitos y realidades sobre los dientes que se mueven
Hay muchos mitos dentales y sabiduría popular, al igual que bulos que pueden perjudicar la salud dental. Por ejemplo, que los dientes se mueven en el embarazo, por lo que, se caen. Realmente, esto ocurre en casos extremos.
Algunos piensan que, si la caries se produce en un diente de leche y afecta a la raíz, la movilidad es el paso inicial para la caída de la pieza y acabar con el problema. El sitio afectado albergará el nuevo diente, por lo tanto, es necesario acudir al dentista para ver en qué estado se encuentra.
Asimismo, están aquellos que piensan que el dolor después de una endodoncia es muy molesto. Esto dependerá del estado de la pieza, la sensibilidad de la persona y otros factores.
LOS RETENEDORES DESPUÉS DE LA ORTODONCIA - LOS DIENTES SIEMPRE SE VAN A MOVER LUEGO DE LOS BRACKETS.
La importancia de los retenedores después de la ortodoncia
Para mantener la alineación lograda a través de la ortodoncia, es importante seguir las recomendaciones de tu ortodoncista. Los retenedores son dispositivos utilizados después de la ortodoncia para mantener la alineación dental. Pueden ser fijos o removibles. En función de la edad y de cada caso, como ortodoncistas utilizamos un tipo de retenedor o los dos.

Tipos de retenedores
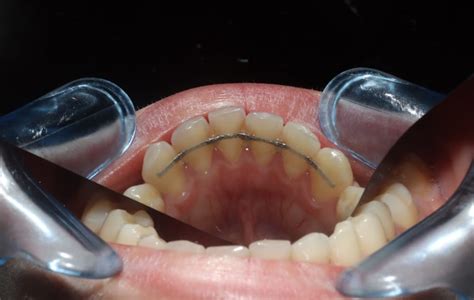
- Retenedores fijos: Estos retenedores están hechos de un alambre delgado que se coloca en la parte posterior de los dientes, en la superficie lingual. Los retenedores fijos son invisibles desde el frente y están diseñados para permanecer en su lugar de manera permanente. A menudo se utilizan en la parte inferior de los dientes anteriores.
- Retenedores removibles: Estos retenedores son similares a las férulas utilizadas en el tratamiento de Invisalign. Están hechos de un material plástico transparente y se ajustan cómodamente sobre los dientes.
Estos aparatos tienen como misión la de dar estabilidad a los resultados obtenidos en la fase activa del tratamiento de ortodoncia. Tan importante es esta fase que consideramos que, si el paciente no va a colaborar en llevar estos aparatos, así como en su mantenimiento, recomendamos que no se realice ningún tratamiento de ortodoncia, ya que el riesgo de que los dientes puedan sufrir movimientos indeseados (recidivas o movimientos derivados de la presión de las muelas del juicio) es muy alto.
Existen diversos protocolos de retención cada uno con sus criterios más o menos sólidos.
Recomendaciones y cuidados después de la ortodoncia
- Debemos ser absolutamente claros a la hora de informar a nuestros pacientes de la importancia de la retención, así como de los efectos indeseables de no llevarla o de no seguir a raja tabla su prescripción.
- Para la arcada superior: 2 meses a tiempo completo después de la retirada de la aparatología fija. Sólo se quita para comer y beber. Transcurrido este tiempo, se recomienda el uso nocturno de por vida.
- Al año de la retirada de la aparatología fija (esta revisión es obligatoria), para evaluar el asentamiento y el estado de los retenedores. En esta cita hacemos insistencia en la importancia de su colaboración.
- Durante las visitas post-retención vamos supervisando la higiene del paciente sobre todo en la zona donde está cementado el retenedor lingual inferior y si es necesario remitimos al dentista para realizar una profilaxis de esa zona.
- La principal función de los retenedores fijos es evitar que se muevan los dientes.
- No muerdas tus uñas (onicofagia).
- Aunque parezca que tu boca está en perfecto estado, acude a las revisiones pautadas.
En Lorente Ortodoncia otorgamos la misma importancia a la fase de retención como a las fases propias de corrección ortodóntica. Si crees que tus dientes se mueven incluso utilizando retenedores fijos, ponte en contacto con nosotros y pide cita.
¿Por qué los dientes se van hacia afuera tras usar brackets?
Es más común de lo que crees. Varios pacientes experimentan malposición dental tras la ortodoncia, donde los dientes frontales superiores o inferiores se ven proyectados hacia adelante («proinclinados» en términos técnicos, coloquialmente «dientes salidos» o «volados»).
Si los dientes se proyectan hacia afuera tras la ortodoncia, puede deberse a una falta de retención, crecimiento óseo o un mal ajuste inicial. La solución puede incluir nuevos alineadores, ortodoncia correctiva o tratamientos de estética dental como carillas.
Causas de la proyección dental después de la ortodoncia
- Falta de retención adecuada: Al terminar tu tratamiento, el ortodoncista debió darte retenedores (removibles o fijos) para mantener los dientes en su nuevo lugar. Si no usas el retenedor disciplinadamente o lo dejas muy pronto, tus dientes intentarán moverse de nuevo a su posición original.
- Tratamiento sin extracciones (falta de espacio): Cada sonrisa es un mundo. En casos de apiñamiento severo, a veces para alinear los dientes sin extraer piezas se recurre a expandir el arco o inclinar los dientes hacia adelante para ganar espacio. El resultado puede ser unos incisivos más hacia afuera de lo ideal. Si tus dientes eran muy grandes o estaban muy montados antes del tratamiento y no te sacaron ninguna pieza, es posible que ahora estén demasiado proyectados hacia adelante.
- Crecimiento de la mandíbula o cambios esqueletales: Si terminaste tu ortodoncia en la adolescencia, debes saber que los huesos de la cara siguen cambiando. Un crecimiento mandibular tardío (la mandíbula inferior creciendo hacia adelante en la edad adulta joven) puede alterar la mordida y hacer que los dientes superiores parezcan más hacia afuera en relación con los inferiores.
- Muelas del juicio erupcionando: La aparición de los terceros molares (las muelas del juicio) entre los 17 y 25 años a veces coincide justo con el final de un tratamiento de brackets. Si no hay suficiente espacio para ellas, pueden ejercer presión en la dentadura y provocar apiñamiento o que los incisivos se vean hacia adelante.
- Hábitos y fuerza muscular: Acciones cotidianas pueden influir mínimamente en la posición dental. Por ejemplo, empujar los dientes con la lengua (un hábito conocido como tongue thrust) puede hacer que los dientes frontales se inclinen hacia afuera con el tiempo. De igual forma, morder objetos duros, masticar de un solo lado o incluso los movimientos de la musculatura al hablar o toser generan micro-presiones continuas.
- Problemas periodontales: Una enfermedad de las encías (gingivitis, periodontitis) debilita el soporte de los dientes. Si el hueso y las encías están dañados, los dientes pueden aflojarse levemente y moverse. Unos dientes anteriormente rectos podrían torcerse o inclinarse hacia afuera si las encías no están saludables.
Soluciones y recomendaciones
- Consulta con tu ortodoncista (seguimiento): Lo primero es no quedarte con la duda. Agenda una cita de revisión con el ortodoncista que llevó tu caso (o con otro especialista de confianza si prefieres una segunda opinión). Cuéntale claramente qué te incomoda de tu sonrisa actual. El especialista evaluará si hay algún desajuste real en la posición de tus dientes y cuál podría ser la causa. A veces, puede que la inclinación hacia afuera sea ligera y esté dentro de lo esperable; otras veces, puede requerir intervención.
- Uso disciplinado del retenedor: Si dejaste de usar tu retenedor o lo estuviste usando menos de lo indicado, ¡aún estás a tiempo de retomarlo! Muchas veces, volver a usar el retenedor constantemente (de día y noche al inicio) puede recolocar pequeños desplazamientos recientes. Notarás que el aparato está más apretado: es señal de que estaba haciendo falta. Úsalo según las indicaciones de tu ortodoncista: normalmente tras una recaída leve se recomienda usarlo tiempo completo (24/7, quitándolo solo para comer y aseo) hasta que los dientes vuelvan a la alineación lograda. Luego se sigue con uso nocturno indefinido. Ojo: esto funciona si la recidiva es leve y reciente.
- Ortodoncia de «retoque»: Cuando la desalineación posterior al tratamiento es más pronunciada, es posible que se requiera algún tipo de tratamiento ortodóncico adicional. No necesariamente implica ponerte brackets completos de nuevo durante dos años (así que calma).
- Alineadores transparentes: Tratamientos con aligners (como Invisalign u otras marcas) pueden corregir movimientos menores o moderados de los dientes. Son casi invisibles, removibles para comer y suelen ser rápidos en casos focalizados.
- Brackets segmentarios: Si prefieres la vía tradicional o el caso lo amerita, se pueden colocar brackets solo en algunos dientes o segmentos durante un período corto. Por ejemplo, unos pocos brackets en los dientes frontales superiores con un par de alambres y ligas podrían bastar para retrocederlos a su posición ideal.
- Extracciones tardías: En casos donde claramente faltó espacio (como mencionamos antes), quizá deban considerarse extracciones de premolares ahora para lograr acomodar bien los dientes sin que queden hacia afuera. Sé que suena drástico, pero a veces es la mejor solución para un resultado estable y armónico. Esta decisión la tomará el ortodoncista contigo, tras estudiar modelos y radiografías.
- Otros aparatos auxiliares: Dependiendo de la situación, podrían usarse dispositivos adicionales como mini-tornillos (micro-implantes) para anclar y mover dientes hacia atrás, resortes especiales o barras de avance mandibular si el problema es de posición ósea.
¿Es posible perder dientes durante el tratamiento de ortodoncia?
El tratamiento de ortodoncia es una práctica común y efectiva para corregir problemas de alineación dental y mejorar la salud bucal. A pesar de ello, algunos pacientes pueden preocuparse por la posibilidad de perder dientes durante el proceso.
Si bien es normal que se muevan los dientes con ortodoncia, la pérdida de dientes es extremadamente rara si el tratamiento es realizado y supervisado por un especialista. La respuesta a esta preocupación es un rotundo «NO«. Los dientes flojos en ortodoncia son una señal de que las fuerzas aplicadas están surtiendo efecto, pero no implican que se vayan a caer.
También puede suceder cuando se utilizan aparatos de ortodoncia sin el adecuado control y conocimientos del especialista. Por tanto, no hay razón para temer la caída de dientes por el uso de brackets o alineadores invisibles si se sigue un tratamiento adecuado y se cuida la higiene dental.
Movilidad dental tras ortodoncia: ¿qué debes saber?
La movilidad dental tras ortodoncia es algo completamente normal, y no supone que el tratamiento no haya sido efectivo. Tras un tratamiento de ortodoncia, los dientes se encuentran en una posición nueva que requiere tiempo para estabilizarse.
La ortodoncia ejerce fuerzas controladas para desplazar los dientes a su posición ideal. Este movimiento implica una remodelación del hueso alveolar y los tejidos periodontales que sostienen las piezas dentales.
Factores que influyen en la movilidad dental
- Retenedores dentales: Los retenedores dentales son dispositivos diseñados para mantener los dientes en su posición final tras la ortodoncia.
- Higiene bucal: La acumulación de placa bacteriana o enfermedades periodontales como gingivitis o periodontitis pueden debilitar el soporte de los dientes, aumentando su movilidad.
- Hábitos: El bruxismo, morder objetos o utilizar los dientes para abrir envases son conductas que pueden incrementar la movilidad dental.
Recomendaciones
- Una leve movilidad dental es completamente normal. Esto forma parte del proceso natural de adaptación del hueso y los tejidos periodontales.
- El retenedor es esencial para evitar que los dientes vuelvan a su posición original.
- Mantener una buena higiene bucal es clave para prevenir enfermedades periodontales.
Recidiva ortodóntica: Causas y prevención
La recidiva ortodóntica es el término utilizada para referirnos al movimiento de los dientes hacia sus posiciones originales después de haber sido corregidos mediante tratamiento ortodóntico. Este proceso puede ocurrir semanas, meses o incluso años después de la finalización del tratamiento. Es importante entender que la recidiva es un fenómeno natural y puede afectar a cualquier persona que haya recibido ortodoncia.
Cabe destacar que el movimiento dental se produce durante toda la vida, independientemente de si se ha llevado ortodoncia o no. Los dientes están sometidos a fuerzas constantes por parte de la lengua, labios, mejillas y a otras directamente relacionadas con nuestros hábitos: parafunciones, hábitos de masticación unilateral, etc. Dichas fuerzas, ejercen una presión sobre los dientes con los gramos de fuerza necesarios como para producir movimiento dental.
Causas comunes de la Recidiva Ortodóntica
- La memoria de las fibras periodontales: Una de las razones principales detrás de la recidiva es la memoria elástica de las fibras periodontales. Estas fibras, que sostienen los dientes en su lugar, tienden a volver a su posición original después de haber sido elongadas durante el tratamiento ortodóntico. Este fenómeno es similar a la forma en que una banda elástica tiende a recuperar su forma original después de ser estirada.
- Cambios en la estructura ósea: Otra causa de la recidiva es el cambio en la estructura ósea. La pérdida ósea por causa periodontal deja al diente con una menor “sujeción” y, por tanto, es más susceptible a las fuerzas de tejidos blandos como la lengua o los labios. Asimismo, la pérdida de piezas dentales va a provocar que los dientes adyacentes o antagonistas sufran un movimiento compensatorio.
- Falta de uso de retenedores: El uso de retenedores después del tratamiento ortodóntico es crucial para mantener los dientes en su nueva posición. Sin embargo, muchos pacientes no siguen las indicaciones de su ortodoncista y dejan de usar los retenedores demasiado pronto. Esto puede resultar en una recidiva rápida y significativa.
Impacto de los Hábitos en la Recidiva
- Morderse las uñas y la recidiva ortodóntica: El hábito de morderse las uñas no solo es perjudicial para las uñas y las cutículas, sino que también puede afectar la posición de los dientes. Morderse las uñas ejerce una presión constante sobre los dientes anteriores, lo que puede causar que se muevan hacia adelante o se desalineen.
- Bruxismo y pérdida de dimensión vertical: El bruxismo, o rechinar de dientes, es otro hábito que puede contribuir a la recidiva ortodóntica. Este hábito generalmente ocurre durante la noche y puede causar un desgaste significativo de los dientes, así como su movimiento. Los protectores nocturnos pueden ser una solución efectiva para aquellos que sufren de bruxismo. El desgaste dental provoca una pérdida progresiva de dimensión vertical (altura de los dientes). A medida que perdemos altura se reduce el espacio disponible para que los dientes se mantengan rectos y alineados. Podremos observar apiñamiento en los dientes antero-inferiores y, en ocasiones, la apertura de espacios (diastemas) entre los incisivos superiores.
Prevención y tratamiento de la Recidiva Ortodóntica
La prevención de la recidiva ortodóntica se basa principalmente en el uso constante de retenedores. Estos dispositivos son cruciales para mantener los dientes en su nueva posición y deben ser utilizados según las indicaciones del ortodoncista. Existen diferentes tipos de retenedores, incluidos los fijos y los removibles, y la elección depende de las necesidades individuales del paciente.
Tipos de retenedores
- Retenedores Fijos: Estos retenedores consisten en un alambre que se adhiere a la parte posterior de los dientes delanteros.
- Retenedores Removibles: Estos retenedores, como los retenedores de Hawley o los de tipo Essix (alineadores), previenen la recidiva ortodóntica en las mismas situaciones que lo haría un retenedor fijo con la ventaja de que evitamos la retención adicional de placa bacteriana y cálculo. El uso constante de retenedores es fundamental, especialmente durante el primer año después del tratamiento ortodóntico.
Importancia del Seguimiento y Mantenimiento Post-Ortodoncia
El seguimiento regular con el ortodoncista es vital para asegurar la estabilidad a largo plazo de los resultados de la ortodoncia. Estas visitas permiten detectar cualquier movimiento indeseado temprano y tomar medidas correctivas antes de que la recidiva se convierta en un problema mayor. Además, el mantenimiento adecuado de los retenedores y la práctica de una buena higiene oral son fundamentales para prevenir problemas que puedan afectar la alineación dental.
Tabla resumen: Causas, prevención y tratamiento de la movilidad dental post-ortodoncia
| Causa | Prevención | Tratamiento |
|---|---|---|
| Falta de uso de retenedores | Uso constante y correcto de los retenedores según las indicaciones del ortodoncista | Retomar el uso de retenedores, considerar ortodoncia de "retoque" con alineadores o brackets |
| Enfermedades periodontales | Mantener una higiene bucal rigurosa, visitas regulares al dentista para limpiezas profesionales | Tratamiento de la enfermedad periodontal, mejorar la higiene bucal |
| Hábitos como bruxismo o morderse las uñas | Identificar y corregir los hábitos, usar protectores nocturnos para el bruxismo | Terapia para corregir hábitos, protectores nocturnos, ajustes en la ortodoncia |
| Cambios en la estructura ósea | Seguimiento con el ortodoncista para detectar cambios tempranos | Ajustes en los retenedores, considerar opciones de ortodoncia adicionales |
En las revisiones de retención revisaremos el estado de los retenedores, la presencia de caries y/o gingivitis o enfermedad peridontal así como la oclusión. La oclusión con la que hemos finalizado la ortodoncia va cambiando con el tiempo ya que la posición dental está sujeta a las fuerzas de la musculatura intraoral (lengua) y perioral y a los hábitos que ejercemos y puede requerir de ajustes periódicos para mantener su estabilidad.
Entender y prevenir la recidiva ortodóntica es crucial para mantener los resultados de un tratamiento ortodóntico. Aunque la recidiva puede ser un desafío, con la correcta adherencia a las recomendaciones del ortodoncista y la adopción de buenos hábitos orales, es posible mantener una sonrisa alineada a lo largo del tiempo.