¿Alguna vez te han hecho una endodoncia? Es un tratamiento bastante común en aquellas personas que han desarrollado una caries que no se ha tratado a tiempo. La endodoncia es una técnica de odontología conservadora con la que logramos evitar la pérdida del diente y devolver su funcionalidad. Este tratamiento consiste en extraer la pulpa dental y rellenar y sellar la cavidad pulpar con un material biocompatible con el organismo.
Para que los resultados sean favorables, es fundamental que sea realizada por un especialista, ya que una endodoncia mal hecha es un tratamiento que resulta ser más habitual de lo normal en las clínicas dentales. Sin embargo, es muy delicado porque de hacerse el proceso mal puede acarrear graves problemas bucodentales.
Empecemos por el principio. Para aquellas personas que hayan escuchado en infinidad de ocasiones la palabra endodoncia, pero sigan sin saber claro qué es exactamente, como paciente, es indispensable que entiendas cuándo debes someterte a un procedimiento de este tipo, especialmente en aquellas situaciones donde existen alternativas más conservadoras. Es motivo para concertar una visita con tu dentista de confianza con el propósito de llevar a cabo una restauración dental.
Una vez accede al nervio tiene lugar la necrosis dental. A partir de aquí, la única alternativa es endodonciar la pieza dental o acometer un tratamiento de conductos. De lo contrario, el diente se acabará cayendo y solo podrá ser sustituido por un implante. Los resultados suelen ser definitivos y se recupera la funcionalidad de la pieza dental afectada.

¿Cuándo es Necesaria una Endodoncia?
La endodoncia dental puede surgir por algún traumatismo, caries profundas o lesiones endoperiodontales. Cuando esto sucede, el diente se vuelve sensible a las diferentes temperaturas, tanto frío como calor, o al masticar algún alimento. Cuando la pulpa está afectada de forma irreversible por caries profundas, traumatismos o lesiones endoperiodontales. En estos casos el diente puede volverse sensible al frío, el calor o la masticación. El dolor puede ser intermitente o constante. Incluso el diente puede cambiar de color o puede aparecer un flemón o una fístula.
Cuando el nervio ya esta infectado de forma irreversible por la caries que ya sea muy profunda, en casos así, el diente es muy vulnerable al frío o calor o incluso en la masticación. La pieza dental también puede cambiar de color y es muy común que aparezca un flemón.
El objetivo final de una endodoncia es extraer los nervios y la pulpa dental muerta para limpiar el sistema de conductos radiculares que forman la pulpa dental eliminando bacterias y tejido necrosado y dejando el conducto lo más aséptico posible. Aunque las endodoncias son invasivas, lo son menos que extraer y sustituir la pieza dental por una prótesis.
Síntomas de una Endodoncia Mal Hecha
¿Te han hecho una endodoncia y notas que algo no va bien? Aunque cada vez se realizan mejores endodoncias y técnicamente están bien hechas, se calcula que el fracaso de una endodoncia oscila entre el 2 y el 16%. Una endodoncia mal realizada puede provocar molestias persistentes, infecciones en la raíz del diente e incluso poner en riesgo la pieza dental.
- Dolores: un diente endodonciado no debe doler, por lo que, si es así, es probable que la endodoncia no se haya realizado adecuadamente. Estas molestias pueden ser esporádicas o constantes. La pieza dental sigue doliendo. Se utiliza anestesia local y pueden aparecer molestias durante las horas posteriores a la intervención. Con una endodoncia fracasada puedes llegar a experimentar un dolor persistente que no disminuye con el tiempo. Puede presentarse de manera espontánea o como una molestia punzante al morder.
- Inflamación de encía: otro de los signos a los que debes estar atento es a la inflamación gingival en la zona en la que se encuentra el diente tratado. Inflamación en la encía y la zona. Al abordar un tratamiento de estas características, es necesario llevarlo a cabo con gran precisión.
- Molestias al masticar: El objetivo es que puedas volver a comer con normalidad con esta pieza. Además, notar molestias al masticar, podría ser señal de una inflamación periapical o de una mala oclusión por una reconstrucción mal ajustada.

Causas de una Endodoncia Mal Hecha
Son muchas las causas que hacen que este tratamiento salga erróneo, aunque no sea peligroso es cierto que hay que hacerlo detalladamente si no queremos que salga una endodoncia mal hecha. Una endodoncia mal hecha es muy fácil que se dé, por eso se hacen estudios detallados y milimétricamente con aparatos tecnológicos de última generación, claves para que en el procedimiento no haya ningún error.
“Aunque la endodoncia tiene un índice de éxito del 90%, este tratamiento puede fracasar por diversos motivos:
- No haber localizado un conducto: Por lo general un molar cuenta con tres conductos. Sin embargo, a veces puede contar con cuatro o cinco y si un solo conducto se queda sin localizar todas las bacterias se concentrarían ahí. Anatómicamente hablando, el molar tiene tres conductos, sin embargo, existen casos en los que desarrolla hasta cuatro o cinco. Si no se llega a localizar el conducto afectado a tiempo, puede desencadenar en la acumulación de las bacterias presentes y no lograr su erradicación correspondiente. En algunos casos, localizar todos los conductos puede llegar a ser muy complejo. Si llegan a obturarse, quedarán restos de bacterias que seguirán infectando al diente.
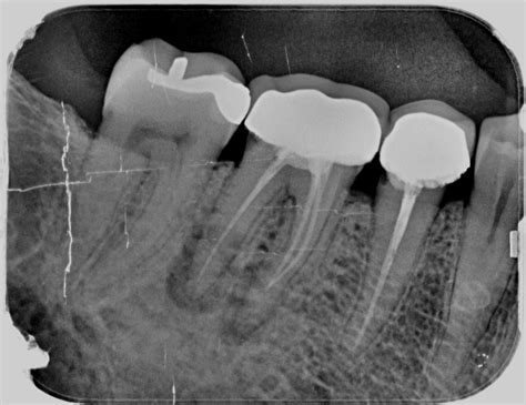
- No hacer radiografías durante la endodoncia: Tradicionalmente hay que realizar cinco radiografías en el transcurso de una endodoncia. Como norma siempre ha habido que realizar cinco radiografías durante el proceso de las endodoncias. Durante este proceso es conveniente realizar cinco radiografías para entender la situación de forma holística. Que no se hayan hecho radiografías durante el proceso de la endodoncia y tampoco se haya planificado la intervención.
- No desinfectar correctamente los conductos: El uso de hipoclorito de sodio es clave para una buena cura de la endodoncia. En este caso se usa el hipoclorito de sodio.
- Calcular mal la longitud de trabajo: Debemos medir meticulosamente la longitud de cada conducto. Para ello utilizamos un dispositivo que se denomina localizador de ápices. Además, a pesar de lo que nos indique el localizador, es importante hacer una radiografía de comprobación para asegurarnos de que el localizador no se equivoca. Se suele utilizar un dispositivo denominado localizador de ápices para tener un control al detalle. Al calcular la longitud de cada producto afectado se debe medir con mucho cuidado y exactitud. Para ello, se utiliza un dispositivo llamado localizador de ápices. Por último, otro de los errores más comunes que afectan al resultado final es no calcular adecuadamente la longitud de los conductos.
- No obturar correctamente los conductos radiculares: Una vez eliminada toda la pulpa de los conductos, pasaremos a obturarlos con un producto que denominamos gutapercha. Es muy importante que la gutapercha esté bien condensada y rellene los conductos perfectamente de manera tridimensional. Una vez que se haya eliminado la pulpa por completo de los conductos afectados. Una vez eliminada toda la pulpa de los conductos, se procede a obturar con una gutapercha.
- Presencia de una fisura o fractura vertical del diente: Aunque la endodoncia esté bien realizada, la presencia de una fisura o de una fractura vertical, a veces muy complicada de diagnosticar, provocará que la endodoncia no resuelva el problema. Una fisura vertical es muy complicado de detectar. Sin importar que la endodoncia se encuentre en perfecto estado, la existencia de fisuras y/o fracturas verticales, en ciertas ocasiones puede complicar un diagnóstico adecuado.
Cuando una ENDODONCIA sale MAL y FRACASA - ¿Te han hecho una endodoncia y ha salido mal?
Qué hacer ante una Endodoncia Fracasada
Cuando te encuentras con una situación de estas características, lo mejor es que acudas a un profesional para que evalúe tu caso de forma personalizada. Ante una endodoncia fracasada, lo más importante es actuar con rapidez para evitar complicaciones mayores como infecciones periapicales o sinusitis maxilares.
En la mayoría de los casos, podemos intentar solucionar el problema realizando una reendodoncia del diente afectado. La realización de una reendodoncia suele ser una de las opciones más comunes para resolver esta situación. Lo habitual es realizar una reendodoncia que, básicamente, es volver a realizar el proceso: se quita el material con el que se ha sellado uno o varios conductos y se vuelven a limpiar y obturar.
En otros casos, la mejor solución será extraer el diente afectado y colocar un implante dental. En el último supuesto, cuando hay una fractura vertical del diente, el problema no tiene solución. En los casos donde resulta imposible salvar el diente, porque no es posible hacer reendodoncia o una cirugía periapical, la solución será extraerlo y colocar un implante dental en su lugar. Un implante es una solución segura y duradera que permite recuperar tanto la función estética como masticatoria del diente perdido.
tags: #mal #hecha #endodoncia #radiografia #antes #y