Probablemente, la mayoría de la gente quiere tener los dientes rectos. Pero, por desgracia, la naturaleza no siempre actúa así. Los dientes definitivos erupcionan con frecuencia desalineados, y esto puede ocurrir también en los dientes de leche. A muchas personas les resultan antiestéticos los dientes torcidos. Sin embargo, tener los dientes torcidos no es solo una cuestión de estética.
A continuación, exploraremos las causas más comunes de los malos resultados en tratamientos de ortodoncia y las soluciones disponibles para corregirlos y lograr la sonrisa deseada.

¿Por qué se tuercen los dientes?
Tener unos dientes bien alineados y en buen estado es esencial para tener una correcta salud bucodental.
Los dientes torcidos presentan infinidad de variantes. A veces el problema se produce con los dientes anteriores, otras con los posteriores. A continuación, se describen algunas de las maloclusiones más comunes:
- Sobremordida: Este tipo de maloclusión se conoce comúnmente como «dientes hacia adelante». La característica más llamativa son los incisivos superiores que sobresalen excesivamente. Esto puede deberse a un maxilar inferior demasiado pequeño o demasiado retrasado.
- Prognatismo: A diferencia del resalte, el prognatismo hace que el maxilar inferior sobresalga. En este caso, los dientes anteriores inferiores se sitúan delante de los superiores.
- Mordida abierta: Con una mordida abierta, los dientes superiores e inferiores no llegan a hacer contacto ni en la parte anterior ni en la posterior de la boca. Este tipo de desalineación puede deberse a un mal funcionamiento de la lengua o a patrones de deglución anormales.
- Mordida profunda: La mordida profunda es una maloclusión en la que los dientes superiores sobresalen más de tres milímetros de los inferiores.
- Mordida cruzada: En la mordida cruzada, los dientes posteriores superiores muerden demasiado hacia dentro, hacia la lengua. La causa suele ser una arcada dental demasiado ancha.
- Espaciamiento: El espaciado, como su nombre indica, consiste en la existencia de huecos o espacios notables entre los dientes. En el caso de una mandíbula ancha, esto puede ocurrir especialmente en la parte frontal de la boca.
- Apiñamiento: Las personas con una mandíbula estrecha corren el riesgo de que el espacio entre los dientes sea irregular. En este caso, los dientes adultos pueden salir demasiado tarde o estar muy juntos. Al igual que ocurre con la mandíbula estrecha, el espacio insuficiente en la región posterior suele provocar apiñamiento.
- Dientes desplazados o retenidos: Los dientes desplazados o retenidos describen la situación en la que los dientes no erupcionan correctamente y permanecen dentro de la mandíbula. Entre los dientes más afectados se encuentran las muelas del juicio, los caninos superiores y los premolares superiores e inferiores.
- Labio leporino y paladar hendido: El labio leporino y el paladar hendido son una de las anomalías congénitas más frecuentes y se dan en uno de cada 5.000 bebés. La hendidura puede provocar la desalineación de los dientes.
Retratamiento de Ortodoncia: ¿Cuándo es Necesario?
¿Sabías que, incluso después de haber llevado ortodoncia, tus dientes pueden moverse con el tiempo? Ya sea porque los dientes se han desplazado o porque no se utilizó una retención adecuada, un segundo tratamiento de ortodoncia puede ser la solución para recuperar esa sonrisa alineada. El retratamiento de ortodoncia es un procedimiento que se realiza cuando, tras haber completado un tratamiento ortodóntico, los dientes vuelven a moverse o desalinearse con el tiempo.
Entre las causas más comunes se encuentran:
- Uso inadecuado de retenedores: Tras retirar los brackets o alineadores, es fundamental utilizar retenedores fijos o removibles para evitar que los dientes se desplacen.
- Cambios en la estructura dental: Con el paso de los años, es normal que la estructura ósea cambie, y esto puede afectar la alineación de los dientes.
El retratamiento de ortodoncia permite alinear nuevamente los dientes y mantener el resultado deseado a largo plazo.
👉Maloclusion dental - 𝙈𝙤𝙧𝙙𝙞𝙙𝙖 𝘾𝙡𝙖𝙨𝙚 𝙄𝙄 dental en Ortodoncia - que es y como corregirla
Opciones de Retratamiento
Cada caso es único. Sin embargo, existen diversas opciones para el retratamiento, entre ellas:
- Brackets tradicionales: Son una opción efectiva y confiable.
- Alineadores invisibles: Este método se ha vuelto popular para el retratamiento, ya que es discreto y cómodo.
Cuidados Posteriores al Retratamiento
Una vez completado el retratamiento de ortodoncia, es importante seguir una serie de cuidados para mantener los resultados obtenidos:
- Usa retenedores según las indicaciones del ortodoncista: Los retenedores son clave para evitar que los dientes se desplacen.
- Mantén una higiene bucal estricta: La acumulación de placa y sarro puede afectar los dientes alineados.
Preguntas Frecuentes sobre el Retratamiento
- ¿Es común necesitar un retratamiento? Sí, es algo frecuente.
- ¿Cuánto dura un retratamiento? La duración varía según el caso, pero generalmente es más corto que el primer tratamiento, ya que los movimientos necesarios suelen ser menos complejos.
- ¿Puedo usar alineadores invisibles si tuve brackets antes? Sí. No importa si tu primera ortodoncia fue con brackets.
Malos Resultados con Invisalign: ¿Qué Hacer?
Con el tratamiento de ortodoncia se diagnostican y corrigen los problemas en la forma y posición de los dientes. Por ser un tratamiento nuevo e innovador, muchos se preguntan si el tratamiento con Invisalign tiene efectos secundarios. La respuesta que han dado los profesionales de la salud bucal ha sido muy prometedora, ya que el tratamiento con alineadores está diseñado para evitar problemas y efectos adversos graves.
Definitivamente, no es casualidad que el tratamiento Invisalign sea tan popular. Los malos resultados Invisalign no son comunes. Sin embargo, hay que tener en cuenta que cualquier tratamiento, incluido el Invisalign, puede presentar problemas si no se sigue correctamente.
Es importante destacar que los problemas con Invisalign, ocasionalmente serán más errores de planificación que efectos negativos intrínsecos del aparato. Por último, los efectos secundarios pueden estar relacionados con la mecánica, por ejemplo, un diente que no se mueva según lo previsto y experimente algún movimiento no planificado y que no se haya programado en el clincheck.
Si no se utiliza el aparato Invisalign el tiempo indicado, los resultados pueden no ser los esperados. Debido a que el sistema se compone de muchas férulas que generalmente son cambiadas con regularidad de 7 a 10 días, si hay una pérdida eventual indicamos poner la siguiente férula de invisalign en el tratamiento o en determinados casos se puede hacer recambio o pedido de alineadores perdidos.
El sistema invisalign puede resultar un poco más costoso, ya que emplea una tecnología y materiales punteros y es preciso ajustarse a las tarifas de Align Technology que al estar claramente a la cabeza de los sistemas de ortodoncia Invisible en el mundo impone sus tarifas, pero este mayor coste aporta ventajas ampliamente superiores a los métodos convencionales y es solventado con flexibilidad y facilidades de pago, así como descuentos individuales cuando se es provider de un alto número de casos.
¿Qué hacer si no te gustan tus dientes después de la ortodoncia?
La finalización del tratamiento de ortodoncia es un momento emocionante, pero a veces la realidad no cumple con las expectativas. Es común que los pacientes tengan expectativas muy altas al final del tratamiento de ortodoncia. La promesa de una sonrisa perfecta puede chocar con la realidad.
Existen diferentes problemas que pueden surgir una vez que se retiran los brackets, y algunos de ellos pueden hacer que sientas que no te gustan tus dientes después de la ortodoncia. Afrontar estos inconvenientes es esencial para disfrutar de una sonrisa confiada y funcional.
Si no estás contento con los resultados, no dudes en buscar soluciones:
- ¿Necesitas un ajuste final? En algunos casos, un refinamiento puede ser necesario. Esto implica un tratamiento adicional para abordar problemas menores que han persistido después del tratamiento principal.
- Evalúa tus preocupaciones: Haz una lista de los aspectos que no te convencen de tus dientes.
- Consulta a tu ortodoncista: Programa una cita con el especialista que te atendió. Explica detalladamente lo que te incomoda.
- Preguntar por un segundo tratamiento: Si tus preocupaciones están relacionadas con problemas significativos, como un mal ajuste o una mordida que aún no está correcta, consulta sobre la viabilidad de un segundo tratamiento.

Dientes Hacia Afuera Tras Usar Brackets: Causas y Soluciones
¿Notas que tus dientes se van hacia afuera tras usar brackets? Si los dientes se proyectan hacia afuera tras la ortodoncia, puede deberse a una falta de retención, crecimiento óseo o un mal ajuste inicial. La solución puede incluir nuevos alineadores, ortodoncia correctiva o tratamientos de estética dental como carillas.
Es fundamental acudir al ortodoncista lo antes posible para evitar que el problema se agrave. Es más común de lo que crees. Varios pacientes experimentan malposición dental tras la ortodoncia, donde los dientes frontales superiores o inferiores se ven proyectados hacia adelante («proinclinados» en términos técnicos, coloquialmente «dientes salidos» o «volados»).
Causas Comunes
- Falta de retención adecuada: Al terminar tu tratamiento, el ortodoncista debió darte retenedores (removibles o fijos) para mantener los dientes en su nuevo lugar.
- Tratamiento sin extracciones (falta de espacio): En casos de apiñamiento severo, a veces para alinear los dientes sin extraer piezas se recurre a expandir el arco o inclinar los dientes hacia adelante para ganar espacio.
- Crecimiento de la mandíbula o cambios esqueletales: Si terminaste tu ortodoncia en la adolescencia, debes saber que los huesos de la cara siguen cambiando.
- Muelas del juicio erupcionando: La aparición de los terceros molares (las muelas del juicio) entre los 17 y 25 años a veces coincide justo con el final de un tratamiento de brackets.
- Hábitos y fuerza muscular: Acciones cotidianas pueden influir mínimamente en la posición dental.
- Problemas periodontales: Una enfermedad de las encías (gingivitis, periodontitis) debilita el soporte de los dientes.
Soluciones
La recidiva ortodóntica (es decir, la tendencia de los dientes a volver a su posición previa) puede deberse a falta de uso del retenedor, cambios naturales en tu boca o incluso detalles del plan de tratamiento original. Si al mirarte al espejo notas tus paletas o demás dientes inclinados hacia adelante tras la ortodoncia, es normal sentir disgusto o preocupación. Pero tiene solución.
- Consulta con tu ortodoncista (seguimiento): Lo primero es no quedarte con la duda. Agenda una cita de revisión con el ortodoncista que llevó tu caso (o con otro especialista de confianza si prefieres una segunda opinión).
- Uso disciplinado del retenedor: Si dejaste de usar tu retenedor o lo estuviste usando menos de lo indicado, ¡aún estás a tiempo de retomarlo!
- Ortodoncia de «retoque»: Cuando la desalineación posterior al tratamiento es más pronunciada, es posible que se requiera algún tipo de tratamiento ortodóncico adicional.
Seguir las indicaciones al pie de la letra - Una vez iniciado el plan de corrección, la clave del éxito está en tu constancia. Mantén una buena higiene y salud bucal - Mientras estás corrigiendo el problema (y de aquí en adelante), cuida tus dientes y encías como tesoro.
¿Se pueden despegar los brackets? ¿Por qué sucede esto?
El tratamiento de ortodoncia con brackets es uno de los más efectivos para lograr corregir las malposiciones de los dientes. Una de las complicaciones que puede darse y que, de hecho, suele suceder con relativa frecuencia, es que se despegue alguno o varios de los brackets de los dientes. Esto sucede por varias causas.
Una de ellas es que haya un daño en el esmalte del diente. Otra de las causas más comunes que hace que se despegue un bracket es debido a una mala mordida. Pero también hay un componente fundamental en que se produzca una pérdida o despegue del bracket. Nos referimos a la propia técnica que use el ortodoncista que nos trate, pues dependiendo del tipo de material que use, este puede tener mayor o menor permanencia.
Más allá de todo lo que está en manos del propio profesional, hay aspectos que quedan en manos del propio paciente. Lo ideal, sería visitar a tu ortodoncista en las primeras 24 - 48 horas después de notar que un bracket se ha despegado. Si esperas más tiempo, podrías retrasar la efectividad de tu tratamiento e incluso compremeterlo.
En definitiva, extremar las precauciones y el cuidado de nuestra salud bucodental hará que el tratamiento de ortodoncia funcione mucho mejor y que podamos evitar las complicaciones tales como el despeguamiento de los brackets. Si esto sucede, eso sí, hay que acudir cuanto antes a nuestro ortodoncista.
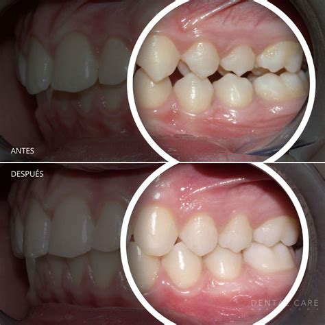
Apiñamiento Dental: Causas y Soluciones
El apiñamiento dental o dientes montados, constituye uno de los problemas bucales más habituales en la población. Por eso, no es raro ver a niños con aparatos dentales precisamente para corregir el apiñamiento. Sin embargo, tampoco es extraño ver a adultos cuyos dientes no están bien posicionados.
El apiñamiento dental es un problema en la posición de las piezas, cuando no existe espacio suficiente y los dientes empiezan a juntarse y amontonarse entre sí. Según el origen del apiñamiento, distinguimos entre tres tipos:
- Apiñamiento primario: la falta de espacio se debe a factores genéticos, como tener unos dientes grandes y una mandíbula pequeña.
- Apiñamiento secundario: los dientes montados se producen por malos hábitos dentales (como la succión del pulgar los primeros meses de vida) o debido a la caída prematura de los dientes de leche.
- Apiñamiento terciario: este tipo de apiñamiento suele aparecer con la edad, debido a la presión que ejercen las muelas del juicio.
Como sucede en todas las maloclusiones dentales, no todas las personas presentan la misma severidad. Determinar el grado es el primer paso antes de comenzar a planificar el caso. Por último, si hacen falta más de 6 milímetros, estamos ante un caso de apiñamiento severo.
Tratamientos para el Apiñamiento Dental
El tratamiento para alinear y nivelar los dientes varía en función del grado de apiñamiento, la edad del paciente y el origen.
En este contexto, si el apiñamiento dental es consecuencia de un paladar estrecho, el ortodoncista puede corregir el problema a través de una ortodoncia interceptiva. Este tratamiento es exclusivo de la niñez. De esta manera, se resuelven de una forma sencilla y rápida las maloclusiones de origen esquelético.
En el caso de adolescentes o pacientes adultos, existe la posibilidad de corregir esta alteración mediante diversos tratamientos de ortodoncia. La elección de la opción adecuada dependerá de las preferencias del paciente en términos de estética y precio.
En situaciones de apiñamiento severo, el ortodoncista puede recomendar la extracción de un diente, generalmente las muelas del juicio, para crear espacio en la arcada dental.
El stripping dental o limado de dientes es una técnica que se combina con la ortodoncia y tiene como objetivo ganar espacio entre las piezas dentales. Es un proceso seguro para los dientes y generalmente se realiza sin necesidad de anestesia.
Beneficios de Solucionar el Apiñamiento Dental
Solucionar los dientes montados acarrea numerosos beneficios para la salud oral. Tanto en niños como en adultos, el apiñamiento dificulta considerablemente la higiene bucodental adecuada.
Esto crea un ambiente propicio para la proliferación de bacterias en la cavidad oral, lo que puede dar lugar a problemas como mal aliento, caries y acumulación de sarro. El apiñamiento también puede ocasionar problemas de oclusión, ya que los dientes desalineados no encajan adecuadamente entre sí.
Como consecuencia, se originan problemas en la masticación y tensiones en la articulación temporomandibular (ATM).
En la siguiente tabla se resumen los diferentes tipos de apiñamiento y sus posibles soluciones:
| Tipo de Apiñamiento | Causa | Solución |
|---|---|---|
| Primario | Factores genéticos | Ortodoncia |
| Secundario | Malos hábitos | Corregir hábitos, ortodoncia |
| Terciario | Presión de las muelas del juicio | Extracción de muelas del juicio, ortodoncia |
Prevención del Apiñamiento Dental
Cuando el factor genético es la causa del apiñamiento, no es posible prevenir los dientes amontonados. Sin embargo, sí que podemos actuar rápido para revertir la situación y conseguir que el paciente recupere la funcionalidad de su mordida. Para ello, es importante acudir a la primera visita con un ortodoncista a partir de los 6 años.
Por otro lado, sí es posible evitar el apiñamiento de los dientes cuando este se origina debido a determinados hábitos en la infancia.
El apiñamiento dental no es solo una cuestión de armonía en la sonrisa, sino que afecta considerablemente a la salud de tu boca. Por eso, no lo dejes pasar más tiempo y mejora la higiene bucal, así como la mordida, mediante un tratamiento de ortodoncia.
tags: #malos #resultados #ortodoncia