Uno de los motivos de consulta más frecuentes que recibimos en nuestra clínica es la aparición de manchas dentales, un problema estético que puede afectar significativamente la confianza y la sonrisa de nuestros pacientes. Si te miras al espejo y ves tonos amarillos, marrones o puntos blancos, necesitas entender tipos de manchas en los dientes y qué hacer con cada una. En este artículo, exploraremos los diferentes tipos de manchas dentales, sus causas, cómo prevenirlas y las opciones de tratamiento más efectivas, incluyendo el blanqueamiento dental profesional. Esta es la primera parte de un completo análisis para ayudarte a comprender mejor este problema y tomar decisiones informadas sobre tu salud bucodental.
Los tipos de manchas en los dientes se dividen en extrínsecas (superficie por café/tabaco), intrínsecas (dentro del esmalte/dentina), de desarrollo (fluorosis/hipoplasias) y por caries. Si te preocupa el color de tu sonrisa, clasificar bien los tipos de manchas en los dientes es el primer paso; elegir el tratamiento correcto, el segundo.
En CEID, Clínica Dental en Barcelona, nos especializamos en cuidar tu salud bucodental con un enfoque integral y personalizado.
Manchas en los dientes: ¿cómo eliminar las manchas blancas y marrones?
¿Qué son las manchas dentales?
Las manchas en los dientes son alteraciones en el color natural del esmalte dental. Aunque muchas veces se asocian únicamente con una cuestión estética, también pueden indicar la presencia de problemas de salud oral o hábitos que requieren corrección. Existen distintos tipos de manchas dentales, y cada una tiene un origen distinto, por lo que el tratamiento también varía en función del tipo de mancha.

Clasificación de las manchas dentales
Para poder iniciar un tratamiento, sea cual sea, lo primero es identificar a qué nos enfrentamos. En el caso de las manchas en los dientes, no todas son iguales. Para valorar el tratamiento más adecuado, el dentista deberá estudiar el origen de las manchas de tus dientes.
Manchas extrínsecas
Estas manchas afectan la capa externa del diente, es decir, el esmalte dental, y generalmente se deben a factores externos como la alimentación, el consumo de sustancias o una higiene bucal inadecuada. Son las más comunes y, afortunadamente, las más fáciles de tratar. Las manchas extrínsecas son aquellas que se forman en la superficie externa del esmalte dental. Generalmente, son causadas por el contacto con sustancias que pueden teñir o manchar los dientes. Estas manchas, normalmente marrones, se encuentran en la parte superficial del diente, por lo que son más fáciles de eliminar.
Causas comunes de las manchas extrínsecas:
- Consumo frecuente de café, té o vino tinto.
- Tabaco, tanto fumar como mascarlo.
- Bebidas azucaradas y carbonatadas.
- Alimentos con colorantes artificiales.
- Higiene bucodental deficiente.
- Uso prolongado de colutorios con clorhexidina.
Características:
- Suelen ser de color marrón, amarillento o incluso grisáceo.
- Se localizan en zonas visibles, como los bordes incisales o los espacios interdentales.
- Con un tratamiento adecuado, pueden eliminarse por completo.
Tratamientos recomendados:
- Limpieza dental profesional (profilaxis).
- Airflow: una técnica de limpieza avanzada con aire, agua y bicarbonato.
- Blanqueamiento dental clínico, si las manchas han oscurecido demasiado el esmalte.
Manchas intrínsecas
Estas manchas se originan en el interior del diente, afectando tanto la dentina como el esmalte. Son más difíciles de eliminar porque no se encuentran en la superficie dental, sino dentro de su estructura. Suponen la tinción de la estructura interna del diente y se debe a la presencia de sustancias cromógenas en el interior del esmalte y la dentina. Se trata de alteraciones congénitas en las que las tinciones suelen conllevar un tratamiento más complejo. Las manchas internas en los dientesLas manchas dentales intrínsecas son las que afectan a la dentina (situada bajo el esmalte) y se deben a traumatismos o al consumo de determinados medicamentos. Las manchas intrínsecas, como hemos comentado anteriormente, son aquellas que se producen en la estructura interna del diente. Las manchas intrínsecas dañan el esmalte y la dentina.
Causas comunes de las manchas intrínsecas:
- Uso de antibióticos como la tetraciclina durante la infancia.
- Fluorosis dental: exceso de flúor durante la formación dental.
- Traumatismos dentales, especialmente en dientes anteriores.
- Malformaciones congénitas del esmalte o la dentina.
- Envejecimiento natural del diente.
El consumo de tetraciclina (antibiótico.) Los dientes son susceptibles de teñirse con tetraciclina desde los 6 meses de gestación (vida intrauterina) hasta los 12 años de vida. Se pueden teñir dientes temporales (dientes de leche) o los dientes permanentes (que comienzan a salir después de los 5 años de edad). Al inicio esta pigmentación es amarilla, pero con la luz toma un color marrón (café). La incompatibilidad Rh (eritoblastosis fetal) origina pigmentación endógena en los dientes primarios. Debido a la rotura de los glóbulos rojos fetales por los anticuerpos maternos, los productos de la desintegración de la sangre (bilirrubina) se depositan en los dientes primarios en desarrollo, los cuales tienen color de verde a café. La porfirina congénita (trastornos innatos del metabolismo de las porfirinas) es también causa potencial de pigmentación endógena. Enfermedades de hígado como atresia biliar y hepatitis neonatal pueden producir pigmentación en los dientes de leche. En la atresia biliar, los dientes muestran coloración verdosa.
Entre los trastornos que pueden influir en la tinción del diente, la fluorosis es uno de los más habituales. Otra causa común es la ingesta de tetraciclinas, un antibiótico que se utilizaba en las décadas de los 60 y 70 para acabar con ciertas infecciones.
Otros tipos de pigmentaciones son las producidas por hemorragia del diente, por ejemplo en una fractura, también por recibir un tratamiento de conducto (endodoncia) mal realizado. La tinción es de apariencia negruzca. También se puede producir una tinción de color marrón grisáceo, cuando se “muere el diente”, proceso conocido como necrosis pulpar. Esto puede ocurrir, por ejemplo, cuando la pieza recibe un fuerte golpe.
Hipocalcificación. Hay una alteración en la calidad del esmalte de modo que se ve más opaco, de manera más localizada (vemos bien los límites de la zona que se ve más opaca) o difusa (no vemos bien los límites). Hipoplasia. Alteración en la “cantidad” de esmalte de manera que el existente no es suficiente para cubrir la superficie de la pieza. Su causa puede ser genética (heredado), por una infección en los dientes temporales (dientes de leche) que daña los dientes permanentes que todavía no salen, por enfermedades como la rubeola, raquitismo y viruela, por alergias, falta de vitaminas, nacimientos prematuros, entre otras. Esta alteración puede ocasionar sensibilidad. Fluorosis. Es un tipo de hipoplasia producida por una ingesta excesiva y prolongada de flúor. Se puede presentar como manchas de aspecto moteado, también puede haber pérdida de esmalte, y al quedar expuesta la dentina (capa porosa bajo el esmalte), se facilita la tinción del diente con sustancias que se depositan sobre él.
Características:
- Tienen colores que van desde el blanco opaco hasta el gris, marrón o incluso azulados.
- No se eliminan con una simple limpieza dental.
- Requieren tratamientos más complejos y en algunos casos restauradores.
Tratamientos recomendados:
- Blanqueamiento dental interno (especialmente en dientes desvitalizados).
- Carillas dentales de porcelana o composite.
- Coronas estéticas, en los casos más severos.
Manchas dentales mixtas
También existen casos donde coexisten manchas extrínsecas e intrínsecas, lo cual puede dificultar el diagnóstico y el tratamiento. En CEID evaluamos cada caso de forma individual, combinando diferentes estrategias terapéuticas para devolverle al paciente una sonrisa natural y armónica.

¿Cómo saber qué tipo de mancha tengo?
En nuestra clínica dental en Barcelona, utilizamos herramientas de diagnóstico como la lámpara de luz ultravioleta, radiografías y exploraciones clínicas detalladas para determinar la causa exacta de las manchas. Solo con un diagnóstico preciso se puede aplicar un tratamiento realmente eficaz.
Detectar y tratar las manchas dentales a tiempo no solo mejora la estética, sino que también puede prevenir problemas más graves como caries, erosión del esmalte o infecciones dentales. Por eso, en CEID recomendamos acudir a revisión al menos dos veces al año, incluso si no hay molestias evidentes.
Tipos de manchas en los dientes según su color
El color de las manchas nos puede ayudar a identificar la causa de estas.
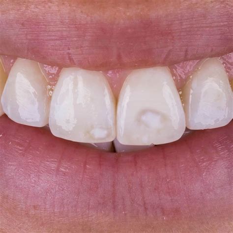
Manchas blancas
Debemos prestar especial atención a estas manchas ya que pueden representar el inicio de una caries, desencadenandose por la desmineralización que ocasionan las bacterias en el esmalte. Es común ver manchas blancas en los dientes tras ortodoncia o por higiene irregular.
Manchas amarillas
Son las más comunes y están asociadas a la ingesta de alimentos ácidos o altos en carotenos, café, té, refrescos y hábitos como el tabaco.
Manchas marrones
Estas manchas, normalmente marrones, se encuentran en la parte superficial del diente, por lo que son más fáciles de eliminar. Suelen aparecer por el consumo de alimentos y bebidas con un gran pigmento como el café, el té o el vino.
Manchas grises o azuladas
Estas manchas son causadas por la exposición a antibióticos de tetraciclina durante el desarrollo dental.
Prevención de las manchas dentales
La mejor forma de mantener una sonrisa blanca y saludable es prevenir la aparición de manchas. Aquí te dejamos algunos consejos clave:
- Cepíllate los dientes al menos dos veces al día con un dentífrico con flúor.
- Usa hilo dental y enjuague bucal para una limpieza completa.
- Evita o modera el consumo de bebidas pigmentadas y alimentos muy ácidos.
- No fumes. El tabaco es uno de los principales enemigos del color dental.
- Acude a tu dentista en Barcelona de confianza cada 6 meses.
- Realiza una higiene dental profesional periódica.
- Mantente hidratado y enjuagarse la boca tras consumir bebidas que puedan decolorar los dientes.
- Cuida tus hábitos de higiene bucal.
Tratamientos para eliminar las manchas en los dientes
El tratamiento para eliminar las tinciones dentales dependerá de la causa de la tinción así como del estado de gravedad de la misma. El tratamiento para eliminar las manchas dentales está directamente relacionado con la causa de las mismas.
Para valorar el tratamiento más adecuado, el dentista deberá estudiar el origen de las manchas de tus dientes.
Si quieres mejorar el color de tus dientes y recuperar la estética de tu sonrisa, pide cita en BordonClinic y nosotros atenderemos tus necesidades. Recuerda que la primera cita es gratuita. Acude a nuestra clínica dental en Madrid y recupera el blanco de tus dientes. ¡Te esperamos!.
Tratamiento para manchas extrínsecas
Estas manchas suelen tener un origen superficial, por lo que el tratamiento es más directo y efectivo.
- Limpieza dental profesional (profilaxis): Elimina la placa, el sarro y las manchas superficiales. Recomendado como primer paso en cualquier tratamiento estético.
- Airflow: Técnica que utiliza una mezcla de agua, aire y polvo de bicarbonato o glicina para eliminar manchas superficiales sin dañar el esmalte. Muy eficaz para manchas por tabaco, café o vino. La limpieza profesional con AirFlow es ideal para eliminar manchas en los dientes superficiales.
- Blanqueamiento dental clínico: Utiliza peróxido de hidrógeno o carbamida activado por luz LED para aclarar varios tonos el color del diente. Se realiza bajo control profesional y con resultados visibles desde la primera sesión.
Tratamiento para manchas intrínsecas
Estas manchas son más profundas, por lo que requieren técnicas más avanzadas.
- Blanqueamiento dental interno: Se aplica en dientes que han sido tratados con endodoncia (dientes “muertos”) y que han cambiado de color. Consiste en aplicar un agente blanqueador dentro del diente, restaurando su color original.
- Carillas dentales (de composite o porcelana): Finas láminas que se adhieren a la cara visible del diente para cubrir manchas resistentes. Ideales para manchas por tetraciclinas o fluorosis. En el caso de que las manchas sean persistentes o menos superficiales, quizá sea aconsejable colocar carillas dentales. En estos casos, recurrir a tratamientos profesionales que ofrecen resultados más efectivos y duraderos es lo ideal.Esto se debe a que las carillas están diseñadas para mantener un aspecto natural y luminoso, por lo que son muy finas y translúcidas.
- Coronas dentales estéticas: Cubren todo el diente cuando el daño estético y funcional es mayor. Utilizadas en casos severos o cuando hay pérdida estructural.
El blanqueamiento dental en la clínica es uno de los procedimientos más habituales y eficaces para eliminar manchas dentales extrínsecas. Durante este proceso, tu dentista aplicará un gel blanqueador en tus dientes y utilizará una luz especial o láser para activar el gel. Esto ayuda a descomponer las manchas y aclarar el esmalte dental.
La microabrasión dental implica la eliminación controlada de una fina capa del esmalte dental con una mezcla de ácido y abrasivos.
Combinación de tratamientos (manchas mixtas)
Algunos pacientes presentan manchas combinadas, lo que requiere una planificación más estratégica. En CEID solemos iniciar con una limpieza profunda, luego evaluamos la necesidad de un blanqueamiento profesional, y finalmente consideramos restauraciones estéticas si las manchas persisten.
Tratamientos para eliminar las manchas en los dientes
El primer paso para tratar las manchas en los dientes es una consulta con tu dentista. Durante esta visita, los dentistas podemos identificar la causa de las manchas y determinar si son extrínsecas o intrínsecas.
Basándonos en la evaluación, los dentistas podemos elaborar un plan de tratamiento completamente ajustado a tu caso.
Agenda tu primera valoración gratuita y conoce los mejores especialistas en estética dental en Torrejón de Ardoz.
¿Qué tratamientos ofrecemos en CEID?
En CEID, ofrecemos una amplia gama de tratamientos para combatir las manchas dentales y mejorar la estética de tu sonrisa:
- Blanqueamiento dental profesional en Barcelona. Blanqueamiento dental, un tratamiento sencillo donde en una sola sesión podemos aclarar el tono del diente.
- Airflow y profilaxis avanzada.
- Carillas dentales estéticas.
- Blanqueamiento interno para dientes no vitales.
- Tratamientos mínimamente invasivos y 100% personalizados.
Nuestros especialistas trabajan con tecnología de última generación y materiales de alta calidad, garantizando resultados visibles, naturales y duraderos.
Blanquea tu sonrisa con Impress
En Impress ofrecemos servicios de blanqueamiento dental profesional para quitar manchas de los dientes. Ofrecemos tratamientos profesionales y seguros, respaldados por la última tecnología. Con el blanqueamiento profesional Impress es posible eliminar manchas de los dientes de manera efectiva y reducir hasta 5 tonos el color de tus dientes. Todo esto en una sola sesión, con resultados inmediatos y duraderos.
Después del tratamiento: ¿Cómo prevenir la reaparición de manchas?
Después de haber eliminado las manchas dentales y haber logrado una sonrisa más blanca y radiante, es fundamental tomar medidas para prevenir su reaparición.
- Mantén una higiene oral rigurosa: Continúa cepillando tus dientes al menos dos veces al día y utilizando hilo dental diariamente.
- Evita alimentos y bebidas que manchan: Reduce el consumo de café, té, vino tinto y alimentos altos en pigmentos que tienden a manchar los dientes.
- Deja de fumar: El tabaco es uno de los principales culpables de las manchas dentales.
- Hidrátate con agua: El agua es tu aliada para enjuagar los restos de alimentos y mantener tu boca fresca.
- Después de someterte a un tratamiento profesional para eliminar manchas dentales, es importante seguir las recomendaciones de tu dentista.
Programa revisiones regulares con tu dentista de confianza. Recuerda que la prevención y el cuidado continuo son esenciales para disfrutar de una sonrisa blanca y saludable a lo largo del tiempo.
| Tipo de Mancha | Causas Comunes | Tratamientos Recomendados |
|---|---|---|
| Extrínsecas | Café, té, tabaco, mala higiene | Limpieza profesional, Airflow, blanqueamiento dental |
| Intrínsecas | Tetraciclina, fluorosis, traumatismos | Blanqueamiento interno, carillas, coronas |
| Mixtas | Combinación de factores | Plan personalizado con limpieza, blanqueamiento y restauraciones |
tags: #manchas #intrinsecas #dentales