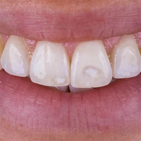
El cuidado de las encías y los dientes es fundamental para evitar las caries, el mal aliento y enfermedades como la gingivitis. Sin embargo, las manchas marrones en los dientes son un problema común que afecta la estética de nuestra sonrisa. Estas manchas pueden variar en tonalidad, desde un amarillo sutil hasta un marrón oscuro, y pueden presentarse de diversas formas: moteadas, en líneas, irregulares o uniformes.

Causas de las Manchas Marrones en los Dientes
Los dentistas de confianza de la Clínica Clidecem nos explican qué causa que se formen manchas descoloridas en los dientes. Conocer el origen de estas manchas es crucial para elegir el tratamiento adecuado. A continuación, exploramos las causas más comunes:
1. Principio de Caries
Cuando el esmalte dental, la capa externa dura de los dientes, comienza a erosionarse, se producen caries. Al consumir alimentos azucarados, las bacterias producen ácido y placa que se acumula. Si la placa no se elimina con el cepillado regular, el ácido descompone el esmalte dental, resultando en manchas marrones indicativas del inicio de una caries.
2. Sarro
Cuando la placa no se elimina regularmente mediante el cepillado, puede endurecerse y convertirse en sarro, una sustancia de color marrón que se adhiere a la superficie dental.
3. Fluorosis
El flúor en el agua protege los dientes, pero un exceso puede causar fluorosis dental. Esto generalmente ocurre en niños mientras se están formando los dientes, debajo de la línea de las encías. La fluorosis leve se manifiesta como marcas blancas, mientras que en casos graves, el esmalte se pica y aparecen manchas marrones.
4. Factores Genéticos o Ambientales: Hipoplasia del Esmalte
A veces, factores genéticos o ambientales pueden hacer que los dientes tengan menos esmalte del necesario, una condición conocida como hipoplasia del esmalte. Esto puede ser causado por deficiencias de vitaminas, enfermedades maternas o desnutrición durante el embarazo, exposición a toxinas y otros factores.
5. Enfermedad Celíaca
Los defectos del esmalte dental, incluidas las manchas marrones en los dientes, a veces son causados por la enfermedad celíaca. Como se explica en Celiaquia.info, el esmalte dental de las personas celíacas suele estar poco desarrollado, por lo que pueden aparecer manchas o tiras blancas, amarillas y marrones, y el esmalte puede ser translúcido.
6. Medicamentos
Los antibióticos, como la tetraciclina y la doxiciclina, pueden manchar los dientes, especialmente en niños con dientes en desarrollo o si sus madres tomaron estos medicamentos durante el embarazo.
7. Alimentos y Bebidas con Cromógenos
Muchos alimentos y bebidas de color oscuro contienen sustancias químicas llamadas cromógenos. Estos contienen partículas que pueden incrustarse en los poros microscópicos del esmalte dental, causando manchas con el tiempo. Por ejemplo, el café o el vino tinto contienen una gran cantidad de cromógenos (bacterias que producen color), por lo que son las peores opciones si queremos unos dientes blancos.
8. Envejecimiento
A medida que las personas envejecen, el esmalte blanco que protege los dientes se degrada lentamente, exponiendo las capas de dentina amarilla debajo.
9. Tabaco y Alcohol
El consumo de café, té negro, tabaco o alcohol, o incluso de bebidas carbonatadas, es una de las causas más habituales de las manchas marrones en dientes. En general estas bebidas, así como la nicotina del tabaco, no solo tiñen sino que alteran el pH de la flora bacteriana de la boca.
10. Bruxismo
El bruxismo, o rechinar los dientes, también puede contribuir al amarilleamiento y la aparición de manchas debido al desgaste del esmalte.
11. Descalcificación
La pérdida de calcio en los dientes puede causar manchas blancas, volviéndolos más vulnerables a las bacterias y a la caries.

Tabla Resumen de Causas y Tipos de Manchas
| Causa | Tipo de Mancha |
|---|---|
| Caries | Marrón |
| Sarro | Marrón |
| Fluorosis | Blanca/Marrón |
| Hipoplasia del esmalte | Blanca/Marrón |
| Enfermedad celíaca | Blanca/Amarilla/Marrón |
| Medicamentos (tetraciclina) | Gris |
| Alimentos y bebidas | Marrón/Amarilla |
| Envejecimiento | Amarilla |
| Tabaco | Marrón |
Tratamientos para Eliminar las Manchas Marrones
Si tienes manchas marrones en los dientes o simplemente quieres recuperar el blanco de tu sonrisa, es fundamental consultar con un odontólogo. El tratamiento adecuado dependerá de la causa subyacente de las manchas.
¿Cómo eliminar manchas en los dientes sin desgastarlos, en una sola cita y sin carillas?
1. Limpieza Dental Profesional
Para eliminar las manchas superficiales causadas por alimentos, bebidas o tabaco, una limpieza dental profesional es el primer paso. Este procedimiento elimina la placa y el sarro acumulados, mejorando significativamente la apariencia de los dientes.
2. Blanqueamiento Dental
Los tratamientos de blanqueamiento dental pueden ser efectivos en las manchas superficiales. Sin embargo, no todas las decoloraciones responden a estos tratamientos. Es importante hablar con tu odontólogo para que te recomiende el mejor tratamiento. El blanqueamiento consiste normalmente en dos sesiones en las que el dentista te aplicara un gel especifico que actúa sobre la dentina (parte interna del diente) sin dañar el esmalte.
Existen diferentes tipos de blanqueamiento dental:
- Blanqueamiento en clínica: Se realiza en el consultorio dental con geles de alta concentración y puede incluir el uso de luz o láser para acelerar el proceso.
- Blanqueamiento en casa: Se utiliza un gel de blanqueamiento de menor concentración aplicado con una férula hecha a medida, durante varias horas al día o por la noche.
- Blanqueamiento interno: Se aplica en dientes que han sido endodonciados y presentan manchas internas.
3. Carillas Dentales
Las carillas son láminas muy finas de porcelana o composite que se colocan sobre los dientes, mejorando no solo el color sino también la forma y posición. Son ideales para manchas intrínsecas o cuando hay un desgaste del esmalte. Estas se fabrican a medida con las técnicas más modernas. A diferencia de los modelos antiguos, estas mantienen la estructura del diente sin necesidad de tallado previo.
4. Microabrasión
Este tratamiento puede ser útil para eliminar manchas superficiales leves, especialmente las causadas por fluorosis. Consiste en pulir suavemente la superficie del diente con un agente abrasivo.
5. Empastes
Solamente el dentista puede reparar las manchas marrones provocadas por la caries dental. Para ello, eliminará la zona dañada y la restaurará mediante un empaste.
6. Baño de Esmalte
Cuando el problema de las manchas se debe a un deterioro del esmalte, el tratamiento más adecuado son las carillas dentales. Estas se fabrican a medida, no requieren anestesia y ofrecen una apariencia muy natural.
Prevención de Manchas Marrones en los Dientes
Conocer el porqué de las manchas en los dientes nos puede ayudar a evitar que las manchas aparezcan. Para evitar la aparición de manchas, lo primero que hay que hacer es llevar una correcta higiene oral en casa:
- Mantén una buena higiene oral: Cepíllate los dientes al menos dos veces al día con pasta dental fluorada y usa hilo dental diariamente.
- Modera el consumo de alimentos y bebidas que manchan: Reduce la ingesta de café, té, vino tinto y alimentos con colorantes fuertes.
- Evita el tabaco: Fumar es una de las principales causas de manchas en los dientes.
- Visita regularmente a tu dentista: Las revisiones periódicas y las limpiezas profesionales son esenciales para mantener una sonrisa saludable y prevenir la aparición de manchas.