Las vacaciones en Tailandia de la influencer Marina Yers no resultaron como esperaba, llevándola a desear "no haber hecho este p*** viaje". La razón: un blanqueamiento dental que desencadenó un intenso dolor y complicaciones inesperadas.

La Experiencia de Marina Yers
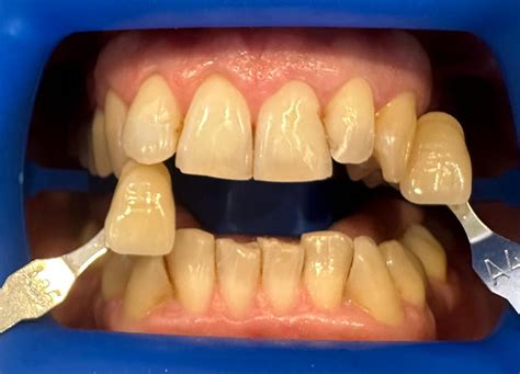
Marina Yers compartió en su cuenta de Instagram un vídeo del procedimiento de blanqueamiento dental. Durante el tratamiento, experimentó dolores tan fuertes que, diez minutos antes de finalizar, suplicó que lo detuvieran. A pesar de quedar inicialmente satisfecha con el resultado, al salir de la clínica comenzó a sufrir dolores continuos e intensos, llegando a sentir que se desmayaría.
La influencer relató: “Parecía la mejor clínica de todas. Vi el procedimiento, el cual nunca he visto antes, pero dije: ‘Me atrevo, porque quiero que mi sonrisa brille’”. Sin embargo, el dentista le advirtió que tenía los dientes “muy sensibles” y le preguntó si estaba segura de querer continuar. A pesar de la advertencia, Marina accedió, sin estar preparada para el dolor y la sensación de abrasión que experimentaría durante la activación del agente blanqueador con luz.
Aunque inicialmente quedó contenta con los resultados, poco después comenzaron los dolores continuos: “Iba llorando, tapándome la boca, sintiendo dolores fuertes en cada uno de mis dientes”, reveló. Para mitigar el dolor, tuvo que “comprar todo tipo de medicinas, incluso gel que te duerme la boca”. La influencer lamentó el desenlace de su experiencia, advirtiendo que “no merece la pena lo que me duele”.
‘Tiempo al tiempo’ ha podido hablar con Marina Yers que ha explicado cómo se encuentra después de esta catastrófica experiencia en Tailandia: “Yo fui a Tailandia de vacaciones y unos conocidos me recomendaron ir al dentista allí porque es ‘bueno’ y barato… lo barato sale caro, fue el peor blanqueamiento de mi vida, yo nunca he sufrido tal dolor en la boca… sentía que me ardía las encías, tenía la boca roja y me daban, todo el rato, calambrazos en los dientes.
El dinero fue lo que terminó por convencerla: “Una sonrisa ejemplar por 150 euros en total, que más se puede pedir”. Pero el tratamiento y sus secuelas resultaron terroríficas. Un dolor insoportable y sensación de abrasión en los dientes que la llevaron el límite: “Me tuve que ir corriendo del centro comercial porque pensé que me desmayaba”.
¿Qué es el Blanqueamiento Dental?
Para entender mejor los riesgos asociados al blanqueamiento dental, consultamos a Isabel Giráldez, presidenta de la Sociedad Española de Odontología Conservadora y Estética, quien explicó que "el blanqueamiento dental es un tratamiento a base de peróxido de carbamida o hidrógeno".
Existen dos técnicas principales:
- Blanqueamiento en clínica: Realizado por un profesional en un entorno controlado.
- Blanqueamiento en domicilio: El paciente aplica el tratamiento en casa, siguiendo las indicaciones del odontólogo.
Cuando el tratamiento a domicilio finaliza, en la consulta se aplica otro gel blanqueador en la superficie externa y/o en el interior de los dientes endodonciados y se utiliza una lámpara específica para completar el procedimiento.

Riesgos y Sensibilidad Dental
Una duda frecuente entre quienes desean mejorar su sonrisa es la relación entre blanqueamiento dental y sensibilidad. "Uno de los problemas más frecuentes en el blanqueamiento es la sensibilidad extrema, en muchas ocasiones, por no hacer un buen diagnóstico previo, ni seleccionar la concentración de gel blanqueador adecuada", indica la Dra. Giráldez. Además, añade que es clave "realizar una encuesta a nuestros pacientes sobre los hábitos de profilaxis dental, pasta dentífrica que emplean, hábitos alimenticios..."
La sensibilidad dental es una molestia, a veces dolorosa, ante estímulos como el frío, calor, ácidos o el cepillado. Los tratamientos para blanquear los dientes dilatan los poros del esmalte, permitiendo que el agente blanqueador actúe. Esta hipersensibilidad suele ser temporal, alcanzando su punto álgido en las 48 horas posteriores al tratamiento, aunque en algunos casos puede prolongarse varias semanas.
Si esa hipersensibilidad es especialmente incómoda, conviene consultar al dentista. En verano esa sensibilidad suele mostrarse con mayor intensidad por el consumo de comidas y bebidas frías o incluso heladas. El especialista puede también tomar algunas decisiones a lo largo del tratamiento para hacer que esa relación entre blanqueamiento dental y sensibilidad no tenga efectos o que estos no sean demasiado incómodos para el paciente.
Si el paciente tiene hipersensibilidad, antes de iniciar el blanqueamiento, debemos realizar dos tratamientos.
La hipersensibilidad tras el blanqueamiento no siempre se puede evitar, pero sí se pueden minimizar sus efectos.
La Importancia de Profesionales Especializados
En cualquier caso, hay una cuestión de enorme importancia que no se debe pasar por alto: confiar solo en profesionales especializados en odontología estética. Ponerse en manos de profesionales especializados en odontología cosmética es fundamental. Esos remedios milagrosos que circulan por Internet pueden ser realmente peligrosos. En ese caso sí hay un riesgo real de blanqueamiento dental y sensibilidad vayan de la mano y que incluso el esmalte pueda sufrir daños irreversibles.
En Carralero Clínica Dental Avanzada somos especialistas en tratamientos de blanqueamiento dental, efectivos y seguros.
Publicidad Ilícita y Blanqueadores Dentales
A la polémica sobre la fuga de youtubers a Andorra en busca de políticas fiscales más laxas, sobre la que recientemente se ha pronunciado el streamer TheGrefg en “El Hormiguero”, se suma también la de los influencers y la publicidad ilícita de supuestos blanqueadores dentales comercializados a través de páginas web.
La semana pasada, casi una decena de perfiles en redes sociales pertenecientes a personalidades famosas y populares promocionaron de manera encubierta sitios de apuestas deportivas. Marina Yers, Genissa González o Jesús y Diego James Lover -concursantes del dating show "La Isla de las Tentaciones”- fueron algunos de los que publicaron mensajes en sus cuentas de Instagram , sin identificarlos como publicitarios. En ellos contaban su supuesta experiencia de éxito apostando al fútbol y animaban a sus seguidores a probar suerte.
5D White y Freshy White estarían incurriendo en publicidad engañosa. En esta ocasión, los productos que se ha promocionado de manera ilícita han sido 5D White y Freshy White, unas tiras para el blanqueamiento dental cuya publicidad da a entender que tienen la misma eficacia y composición que los productos empleados en los tratamientos realizados en clínicas dentales profesionales. Una comunicación de carácter engañoso que podría llevar a confusión a los consumidores.
Ante esto, FACUA-Consumidores en Acción ha presentado una batería de denuncias por publicidad ilícita a cuatro personajes implicados en la promoción de estas páginas web y a las dos empresas implicadas, ante la Dirección General de Salud Pública del ministerio de Sanidad y la Dirección General de Consumo del ministerio de Consumo. Los influencers, que han logrado su popularidad a partir de su participación en programas de televisión, son: Marta López, colaboradora de “Sálvame”, y Marta de Lola Mencía, Manuel González y Lucía Sánchez, concursantes del reality “La isla de las tentaciones”.
Las acciones promocionales llevadas a cabo por estos influencers infringe lo estipulado en el Real Decreto 1907/1996, de 2 de agosto, sobre publicidad y promoción comercial de productos con pretendida finalidad sanitaria. Según el artículo 4 de la normativa, se prohíbe cualquier promoción de "materiales, sustancias, energías o métodos con pretendida finalidad sanitaria” en el caso de que "pretendan aportar testimonios de profesionales sanitarios, de personas famosas o conocidas por el público o de pacientes reales o supuesto”.
Dicho apartado también prohíbe la publicidad que “utilice el término “natural” como característica vinculada a pretendidos efectos preventivos o terapéuticos”; que "atribuya carácter superfluo o pretenda sustituir la utilidad de los medicamentos o productos sanitarios legalmente reconocidos" o "la consulta o la intervención de los profesionales sanitarios".
En la web de 5D White aseguran que su producto ofrece un “resultado seguro e idéntico al de los dentistas”, mientras que en el portal de Freshy White, la compañía sostiene que su artículo está “formulado con el mismo compuesto blanqueador seguro para el esmalte que utilizan los dentistas, este sistema de blanqueamiento dental elimina las manchas superficiales y subsuperficiales de los dientes”.
Además de la publicidad ilícita realizada por los influencers mencionados, Freshy White -perteneciente a la empresa BM Ecom LLC, con sede en Nuevo México (Estados Unidos)- incluye los logotipos de otros medios y revistas (Elle, Forbes, Women's Fitness y Teen Vogue), induciendo a los usuarios a creer que estas publicaciones recomiendan el producto. Sin embargo, dichos logotipos no incluyen un link al sitio web que divulga esa supuesta información ni aportar ninguna prueba similar. Es más, Facua ha llevado a cabo un rastreo por los contenidos de dichas publicaciones sin encontrar alusión alguna a los productos.
Por su parte, la página web de 5D White no incluye un apartado dedicado a la política de privacidad en lo que respecta al tratamiento de los datos de los consumidores. En este sentido, el sitio estará vulnerando el Artículo 13 del Reglamento General de Protección de Datos. Del mismo modo, tampoco queda indicado en ningún lugar de la página el nombre de la empresa comercializadora, lo que a su vez infringe lo estipulado en el artículo 10 la Ley 34/2002, de 11 de julio, de servicios de la sociedad de la información y de comercio electrónico. En consecuencia, Facua también ha presentado denuncias ante a Agencia Española de Protección de Datos (AEPD) y la Secretaría de Estado de Digitalización del ministerio de Asuntos Económicos.
Atendiendo a las características del producto, el Real Decreto 1599/1997, de 17 de octubre, sobre artículos cosméticos establece desde 2012 que los blanqueadores dentales que contengan entre 0,1% y 6% de peróxido de hidrógeno, ya sea presente o liberado por otros compuestos o mezclas, no pueden ser directamente accesibles a los consumidores. Por tanto, solo podrán ser suministrados a pacientes mayores de 18 años por odontólogos y estomatólogos, quienes llevan a cabo los tratamientos en sus clínicas o facilitando las pautas a los pacientes para que se los apliquen ellos mismos.
Por tanto, según explican desde Facua, ambas empresas estarían incurriendo en algún tipo de infracción. Por un lado, los productos podrían estar siendo comercializados ilegalmente al contener un 0,1% o más de peróxido de hidrógeno y, en consecuencia, supondrían un riesgo para la salud. Y por otro, porque sus compuestos no cumplen con los supuestos mismos efectos y durabilidad que los productos suministrados por los dentistas, tal y como aseguran en su publicidad.
Tras los hechos acontecidos, desde Facua consideran que las correspondientes sanciones no solo había que aplicarlas sobre las empresas infractoras, sino también sobre los personajes conocidos que protagonizan la publicidad. “Hablamos muchas veces de retransmisiones en directo donde se muestran las supuestas propiedades de los productos y donde incluso ellos mismos se presentan como usuarios o compradores, incurriendo muchas veces en actos de publicidad engañosa”, ha señalado Rubén Sánchez, portavoz de la federación, en una rueda de prensa.
Así, consideran que cuando se den a conocer las primeras sanciones o multas a personajes famosos, se sentará un precedente que invitará a otras personalidades a reflexionar sobre los productos o servicios que promocionan. “Invitamos a estas cuatro personas a que rectifiquen en su actitud y dejen de hacer este tipo de publicidad”. No obstante, al tratarse de normativas y marcos sancionadores diferentes, no hay una cuantía fija o concreta para dichas sanciones, que además podrían variar en función de la comunidad autónoma que las aplique.
Según ha explicado el portavoz, tanto las denuncias relacionadas con estos supuestos blanqueadores, como las presentadas a los influencers vinculados a los servicios de apuestas, forman parte de una estrategia de Facua para luchar contra las malas prácticas de este tipo de figuras en materia de publicidad.
¡LO QUE NADIE TE DICE 🚫 DEL BLANQUEAMIENTO DENTAL 💔! Deberías ver este vídeo 👀.
tags: #marina #yers #blanqueamiento #dental