Elegir la clínica dental adecuada en Dos Hermanas es un paso crucial para garantizar el cuidado óptimo de tu salud bucal. En Clínicas Dentales, nos esforzamos por ofrecer un servicio excepcional, asegurando que cada visita sea lo más cómoda y efectiva posible.

¿Por Qué Elegir una Clínica Dental en Dos Hermanas?
La cercanía y la confianza son factores clave al seleccionar un dentista. En Dos Hermanas, encontrarás profesionales que ofrecen:
- Trato de confianza, como nos gustaría a nosotros.
- Respuesta a todas tus dudas.
- Profesionalidad en cada etapa.
- Empatía y delicadeza.
- Odontología mínimamente invasiva.
- Servicios de implantes dentales avanzados.
Servicios Ofrecidos en Clínicas Dentales en Dos Hermanas
Las clínicas dentales en Dos Hermanas ofrecen una amplia gama de servicios para cubrir todas tus necesidades de salud bucal:
- Implantes dentales
- Estética dental
- Blanqueamiento dental
- Ortodoncia invisible
- Odontopediatría
- Prevención, diagnóstico y tratamiento de las enfermedades de las encías.
Testimonios de Pacientes Satisfechos
Las opiniones de otros pacientes pueden ser un factor determinante al elegir tu dentista. Aquí algunos testimonios:
"Estoy encantada de haber elegido esta clínica, la verdad que en un principio era reacia por qué me habían hablado mal de las franquicias. Pero todo el equipo es encantador." - Antonio J.
"Todo es bueno, tanto el doctor, como el personal auxiliar, encantada de ir a la consulta, sin miedo, y sabiendo que me harán lo mejor sin que me duela en absoluto!!" - D.
"Es muy amable y profesional. Casi no te das cuenta y ya ha terminado la intervención que tanto temías. Se me ha quitado el miedo que he tenido siempre a los dentistas." - PEDRO sobre Manuel Delgado Martinez.
"Excelente dentista, un gran profesional, llevo 18 años en su consulta y para mi es el mejor! Enhorabuena!" - Juan sobre Antonio Miguel Repullo Anaya.
Todo lo que necesita saber sobre los implantes dentales antes de decidirse
Innovación en Odontología
Las clínicas dentales de vanguardia en Dos Hermanas se mantienen actualizadas sobre las técnicas más innovadoras y los últimos avances en odontología, incluyendo la implantología monofásica. Esto permite ofrecer una gama más amplia de opciones y resultados de primera calidad en los tratamientos dentales.

Implantes Dentales Estratégicos: Una Solución Innovadora
La implantología dental estratégica es una técnica singular que posibilita un tratamiento eficaz en pacientes que presentan una cantidad insuficiente de hueso, evitando la necesidad de recurrir a injertos óseos o cualquier otro biomaterial adicional.
Ventajas de la implantología estratégica monofásica:
- Tiempo de intervención reducido.
- Mayor efectividad en situaciones de insuficiencia ósea.
- Período de recuperación postoperatorio más corto.
- Estabilidad inmediata.
- Resultados estéticos naturales.
- Mayor durabilidad.
Además, los pacientes que acuden de urgencia con dolor y/o piezas fracturadas insalvables pueden ser tratados con la colocación inmediata del implante dental tras la extracción del diente natural, reduciendo así el número de citas.
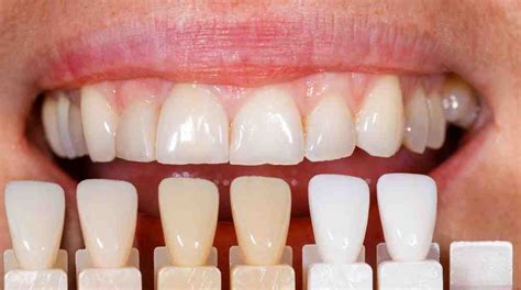
Carillas Dentales: Recupera Tu Sonrisa
Las carillas dentales son la clave para una sonrisa perfecta y radiante. Diseñadas con precisión a partir de resinas compuestas de alta calidad o cerámica fina, se adhieren a la superficie de tus dientes para transformar su forma, color y tamaño.

Con las carillas dentales, puedes despedirte de las imperfecciones y dar la bienvenida a una sonrisa deslumbrante, llena de confianza y alegría.
En algunas clínicas, se enorgullecen de ofrecer técnicas de vanguardia para las carillas dentales, que preservan la integridad de tus dientes sin necesidad de desgaste previo. Este enfoque innovador y respetuoso garantiza un tratamiento absolutamente conservador, sin comprometer ninguna parte de tu preciada estructura dental natural.
Ortodoncia Invisible: Lo Que Nos Hace Sonreír de Verdad
La Ortodoncia Invisible ofrece la posibilidad de corregir tus dientes desalineados sin recurrir a los típicos brackets metálicos y ligaduras coloridas que saltan a la vista.
La ortodoncia invisible se presenta como una opción casi imperceptible, evitando las molestias que suele generar la ortodoncia tradicional.
La Ortodoncia Invisible utiliza alineadores transparentes y personalizados para cada paciente, con el objetivo de reordenar los dientes. Este tratamiento revolucionario no solo es eficiente, sino también de gran valor estético.
Uno de los grandes beneficios de la ortodoncia invisible es la posibilidad de prever el resultado final antes de terminar el tratamiento. Gracias al diseño asistido por ordenador, podemos mostrarte cómo se moverán tus dientes y cómo se verán al final del proceso.
¿Cómo Elegir al Mejor Dentista en Dos Hermanas?
Al buscar un dentista en Dos Hermanas, considera los siguientes factores:
- Reputación: Investiga las opiniones y testimonios de otros pacientes.
- Experiencia: Asegúrate de que el dentista tenga experiencia en el tratamiento que necesitas.
- Tecnología: Busca clínicas que utilicen tecnología avanzada para ofrecer tratamientos más precisos y efectivos.
- Atención personalizada: Elige un dentista que te ofrezca un trato cercano y se preocupe por tus necesidades individuales.
Conclusión
Encontrar al mejor dentista en Dos Hermanas es fundamental para mantener una sonrisa saludable y radiante. Considera las opiniones de otros pacientes, la experiencia del profesional y la tecnología utilizada en la clínica para tomar la mejor decisión. ¡Tu salud bucal te lo agradecerá!