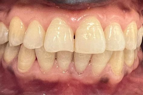
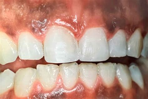
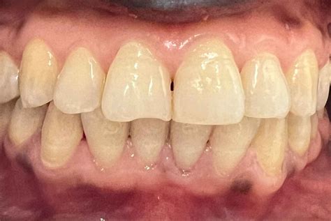
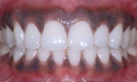
La encía negra alrededor del diente es una condición que hace que la piel de las encías tenga un tono oscuro. Este fenómeno es conocido como melanosis gingival, y aunque a veces puede parecer alarmante, en muchos casos es inofensivo. La apariencia natural debe ser de un rosa pálido, esto indica que hay una buena circulación y que tu salud bucal es correcta. Si cuando las miras ves que presentan un tono rojo muy oscuro, es posible que tengas alguna inflamación o incluso gingivitis.
La melanosis gingival es una condición en la que las encías se vuelven de color negro o muy oscuro. Esta pigmentación anormal puede afectar tanto a hombres como a mujeres y presentarse de manera localizada o generalizada en la boca. Aunque puede ser preocupante desde el punto de vista estético, generalmente no representa un problema grave para la salud bucal, por lo que no entra dentro del grupo de las enfermedades de la boca.
Esta coloración ocurre cuando las encías presentan un exceso de melanina, el pigmento responsable del color en la piel, el cabello y los ojos. La melanosis gingival es una alteración provocada por una acumulación excesiva de melanina en las encías. La melanosis gingival es una condición en la que las células de la mucosa de las encías producen un exceso de pigmento llamado melanina, que es el responsable del color de la piel y los tejidos conectivos. Esta cantidad de melanina causa una hiperpigmentación de las encías, volviéndolas negras o de un color muy oscuro. Es una afección que no es grave, sino más bien estética.

Tipos de Melanosis Gingival
Existen diferentes tipos de melanosis y cada uno tiene sus características propias. Las más frecuentes son:
- Melanosis fisiológica: Es un tipo común de pigmentación gingival que no causa ningún problema de salud. Suele presentarse en personas de piel oscura y se considera una variación normal del color de las encías. No requiere tratamiento y generalmente no afecta la estética dental.
- Melanosis racial: Se observa con mayor frecuencia en personas de ascendencia africana, asiática u oriental. Es similar a la melanosis fisiológica y no tiene consecuencias en la salud. Sin embargo, algunos individuos pueden optar por tratamientos estéticos si desean aclarar el color de sus encías.
- Melanosis medicamentosa: Algunos fármacos, como los anticonceptivos orales, pueden causar melanosis gingival. Los cambios de color en este caso son reversibles y suelen desaparecer después de suspender el uso del medicamento. Siempre es importante consultar a un médico antes de cambiar o suspender cualquier medicamento.
- Melanosis postinflamatoria: Puede ocurrir como resultado de la inflamación crónica de las encías, como la gingivitis o la periodontitis. Estas condiciones pueden desencadenar una producción excesiva de melanina, el pigmento que da color a la piel y las encías. El tratamiento implica tratar la inflamación y mantener una adecuada higiene bucal.
Causas de la Melanosis Gingival

Las causas de las encías negras son aún desconocidas, aunque se ha observado que puede estar relacionada con factores genéticos, hormonales y ambientales. Algunas de las causas más comunes incluyen:
- Tabaco: El humo del tabaco contiene una variedad de sustancias químicas que pueden afectar la producción de melanina en las células de las encías. En estos casos se habla de melanosis del fumador; aquí el oscurecimiento de la mucosa oral constituye un desafío.
- Algunos alimentos: El consumo de ciertos alimentos y bebidas, como el café y el té, que contienen pigmentos oscuros, también puede contribuir a desarrollar esta condición.
- Medicamentos: Algunos medicamentos, como ciertos anticonceptivos orales, pueden tener un impacto en la producción de melanina y pueden contribuir a que aparezca esta condición.
- Hormonas: Los cambios hormonales durante el embarazo o la menopausia pueden desencadenarla en algunas personas.
- Predisposición genética: Hay quien tiene una mayor producción de melanina en los tejidos de las encías, lo que puede resultar en una pigmentación más oscura. Esto puede ser más común en personas con antecedentes familiares.
- Enfermedad periodontal: Es una condición inflamatoria crónica que afecta las encías y los tejidos de soporte de los dientes. Puede provocar cambios en la pigmentación de las encías.
Síntomas de la Melanosis Gingival
Uno de los síntomas más comunes de la melanosis bucal es la presencia de manchas oscuras en las encías. Suelen ser asintomáticas, es decir, no producen dolor ni molestias. Sin embargo, en ocasiones, pueden generar incomodidad desde el punto de vista estético, especialmente si se presentan en áreas visibles al sonreír.
Es importante destacar que tener la encía negra no está asociada a ningún tipo de riesgo para la salud bucal. No obstante, es recomendable acudir a un dentista si se observa un cambio en el color de las encías o si se perciben manchas oscuras. Un profesional de la odontología podrá realizar una evaluación adecuada y descartar otras posibles causas de este oscurecimiento, como el tabaquismo o enfermedades periodontales.

Diagnóstico de la Melanosis Gingival
Para realizar un diagnóstico, es necesario llevar a cabo un examen clínico completo de la cavidad bucal. Con ello, el odontólogo o periodoncista especializado en este tipo de afecciones busca signos de pigmentación anormal en las encías y evalúa la densidad y distribución del color.
Un aspecto fundamental en el diagnóstico es la diferenciación de otras afecciones similares como el melanoma oral o la melanoniquia oral. Para ello, se pueden realizar pruebas adicionales, como una biopsia de la encía afectada, que consiste en tomar una pequeña muestra de tejido para su análisis en laboratorio. El resultado permite determinar si la pigmentación es benigna o maligna. En caso de tratarse de melanoma oral u otro tipo de cáncer, se procede a un tratamiento más agresivo.
Tratamiento de la Melanosis Gingival
En la mayoría de los casos la melanosis gingival no requiere de tratamiento. Sin embargo, si el paciente está preocupado por tener la encía negra alrededor del diente, se pueden considerar algunas opciones para devolverle un color más natural. Éstas pueden variar desde trucos caseros hasta tratamientos profesionales realizados por un dentista.
Tratamientos profesionales para las encías oscuras
Los principales tratamientos de la melanosis gingival realizados por dentistas incluyen:
- Blanqueamiento dental: Implica la aplicación de un gel blanqueador en las encías y puede producir resultados visibles en pocas sesiones.
- Cirugía gingival estética: En algunos casos más severos puede ser necesaria una cirugía para eliminar el exceso de pigmentación. Durante este procedimiento, se retira quirúrgicamente el tejido pigmentado de las encías y se sutura el área. La despigmentación quirúrgica es una pequeña cirugía plástica periodontal. Sirve para eliminar el tejido epitelial. Este tratamiento se puede realizar con electrobisturí o con láser. En general, ambas técnicas son muy sencillas y rápidas. Sin embargo, el láser presenta una serie de ventajas para el paciente: reduce el sangrado y acelera la cicatrización.
- Microabrasión: es otro de los tratamientos para solucionar las encías negras u oscuras. Tanto la microabrasión como la despigmentación quirúrgica son tratamientos indicados para la melanosis gingival o para las encías oscuras debido al consumo de determinados fármacos.

Tratamientos caseros de la melanosis gingival
Algunos de los tratamientos caseros para las encías negras son:
- Cepillado y uso de hilo dental: Un buen cuidado bucal, que incluya cepillarse tres veces al día y usar hilo dental regularmente, puede ayudar a reducir la pigmentación de las encías. Con esta rutina se puede eliminar la acumulación de placa y pigmentos de la superficie de las encías.
- Enjuague bucal con agua oxigenada: Se mezcla una pequeña cantidad de agua oxigenada con agua tibia y se realizan enjuagues bucales regulares. Sin embargo, es importante no abusar de este tratamiento, ya que el uso excesivo de agua oxigenada puede irritar las encías.
⚫️¿Qué son estas MANCHAS NEGRAS en las ENCÍAS? - Melanosis gingival
Prevención de la Melanosis Gingival
En una gran cantidad de casos, las encías oscuras o negras no se pueden prevenir, ya que están causadas por razones genéticas. Sin embargo, hay medidas que puedes tomar:
- Consultar los efectos secundarios de los medicamentos: de esa manera, sabrás de antemano si pueden causar un perjuicio estético en tu boca. Y, en caso de que así sea, tendrás la oportunidad de preguntar al médico si existe otra opción.
- Mantener una buena higiene bucal.
- Dejar de fumar.
Si tienes melanosis gingival es bueno buscar la opinión de un dentista especializado. Aunque es una condición benigna, el tratamiento adecuado puede ayudar a reducir o incluso eliminar la hiperpigmentación de las encías, devolviendo una sonrisa más estética y saludable.
Recuerda que para mantener una correcta salud de tu boca es importante que acudas a revisiones periódicas en el dentista.
En general, las encías negras o muy oscuras no suponen un problema para la salud oral de la persona. Sin embargo, algunas personas piensan que son antiestéticas. Sin embargo, las encías moradas o rojas sí que pueden advertir la existencia de un problema de salud: gingivitis o periodontitis. En estos casos, es preferible acudir al odontólogo cuanto antes.
tags: #melanosis #gingival #tratamiento