Cuando el tratamiento de ortodoncia concluye con los resultados esperados, aún queda una fase fundamental para que los dientes se mantengan alineados: la colocación de los retenedores dentales, cuyo papel en el proceso es imprescindible para evitar que se repitan los problemas de maloclusión. Los alineadores, brackets y el resto de los aparatos ortodónticos utilizados con el objetivo de que los dientes ocupen la posición adecuada en la boca requieren de la aportación final de los retenedores para evitar echar a perder el trabajo de meses o incluso años. Y es que los dientes van a tratar de regresar a su posición original, por eso hay que poner los medios para evitarlo.
Si no has oído hablar nunca de los retenedores y, tras completar el tratamiento de ortodoncia, te dicen que vas a tener que llevar otro aparato, probablemente para toda la vida, puede que te asustes un poco. La verdad es que no hay motivo para ello, pues los retenedores son mínimamente invasivos y no causan molestia alguna. Como su nombre indica, la función que cumplen es la de retener los dientes en la posición alcanzada gracias a la ortodoncia, y evitar así desplazamientos indeseados.
¿Qué son los retenedores dentales?
Los retenedores dentales son aparatos que se utilizan después de un tratamiento de ortodoncia para mantener los dientes en su nueva posición. Su función principal es evitar que los dientes vuelvan a su posición original, lo cual puede ocurrir si no se utilizan retenedores después de retirar los brackets o alineadores.
La elaboración de un molde dental es uno de los primeros pasos a seguir al realizar un tratamiento de ortodoncia profesional. El molde permite tener la medida correcta de la dentadura del paciente para poder realizar las férulas o las prótesis al tamaño de la dentadura del paciente y que estos no sean incómodos para su boca. Hay varias formas de realizar moldes dentales y cada día la medicina dental moderna va innovando nuevas técnicas. La principal función del molde dental en ortodoncia es tomar la medida y la forma de la dentadura del paciente para poder realizar correctamente el tratamiento, con la medida exacta del paciente y así asegurar que la ortodoncia pueda realizar su trabajo correctamente sin causar molestias al paciente.
Los más comunes que se conocen pueden ser los moldes de alginato o silicona. Los moldes dentales de alginato, que es un material a base de algas marinas y son los más tradicionales. El alginato es un material de secado rápido por lo que el tratamiento no demora mucho tiempo, aproximadamente un minuto. Para hacer las medidas correctas se deben calcular bien las cantidades. Se coloca el alginato en el recipiente y luego se añade el agua. Elegir la cubeta de impresión de acuerdo a la medida del paciente. Se fija la cubeta a la boca del paciente que debe estar sentado en una posición cómoda, masajeando la cubeta suavemente para lograr una medida exacta. El paciente no deberá realizar ningún movimiento y deberá respirar por la nariz. Cuando el alginato ya esté fraguado se procede a retirar la cubeta de la boca del paciente.

Molde dental de alginato utilizado en ortodoncia.
Tipos de retenedores dentales
Hay retenedores fijos y retenedores removibles. No es que haya que usar unos u otros, sino que son complementarios. En todo caso, el o la ortodoncista responsable del tratamiento definirá el procedimiento a seguir en función de cada paciente.
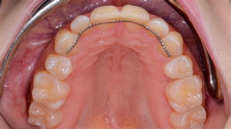
Retenedores fijos
Los retenedores fijos se colocan de manera permanente en la cara interna de los dientes anteriores de la arcada que se haya sometido al tratamiento de ortodoncia. El retenedor consiste en una pequeña barra de alambre fino que se adhiere en cada extremo a los dientes mediante un adhesivo. Los retenedores se colocan en el momento de retirar los aparatos de ortodoncia. Al estar situados en la parte interna de los dientes, son imperceptibles para los demás y, tras los pocos días que el paciente necesita para acostumbrarse al nuevo elemento, prácticamente olvidará que lo lleva. Por otro lado, aunque los retenedores pueden durar toda la vida, es importante mantener unos buenos hábitos de higiene dental y visitar periódicamente al dentista para las revisiones rutinarias que ratifiquen que todo va bien.

Ejemplo de un retenedor fijo colocado en la cara interna de los dientes.
Retenedores removibles
Además de los retenedores fijos, el especialista puede recomendar el uso de aparatos complementarios en la acción consolidadora del tratamiento de ortodoncia, que dependerán de las características de cada paciente. Es por ello que los retenedores removibles se diseñan a medida. Lo habitual es tener que llevarlos durante la noche, aunque puede haber casos en que, por un tiempo, sea necesario usarlos también durante el día. La ventaja es que se pueden quitar para comer y cepillarse los dientes.
Hay 2 tipos de retenedores de quita y pon:
- Placa de Hawley
- Retenedores Essix
Se utiliza en niños que han seguido una ortodoncia con brackets. Cubre todo el paladar para impedir la alteración de la mordida y el desplazamiento de los dientes. La placa central se fabrica con material acrílico a partir del molde de la boca del paciente infantil. Alrededor de la estructura principal, se dispone un alambre con la forma de la dentadura, de manera que el conjunto encaje en el paladar.
Para limpiar correctamente una placa Hawley, es importante realizar un cepillado diario con agua tibia y un cepillo suave, evitando el uso de pasta dental. Para una limpieza más profunda también se recomienda remojar la placa en un limpiador de prótesis efervescente para eliminar bacterias y placa. Es crucial evitar el agua caliente, ya que puede deformar la placa.

Placa de Hawley, un tipo común de retenedor removible.
Se trata de férulas removibles transparentes, de material termoplástico, diseñadas a medida a partir del molde de la dentadura del paciente, que cubren todas las piezas dentales. Son parecidas a las férulas de descarga, muy fáciles de colocar y extraer.
El mantenimiento también es muy sencillo; basta con lavar cada retenedor con agua y guardarlo en su funda después de cada uso.

Retenedor Essix, una férula transparente y removible.
Aunque los retenedores Essix no están diseñados específicamente para tratar el bruxismo, pueden ofrecer protección puntual frente al desgaste dental en casos leves o esporádicos.
| Tipo de Retenedor | Descripción | Ventajas | Desventajas |
|---|---|---|---|
| Fijos | Alambre adherido a la cara interna de los dientes anteriores. | Permanente, discreto. | Requiere higiene dental más cuidadosa. |
| Placa de Hawley | Removible, con estructura de acrílico y alambre. | Ajustable, fácil de limpiar fuera de la boca. | Menos estético, puede afectar el habla inicialmente. |
| Essix | Removible, férula transparente de termoplástico. | Estético, cómodo, fácil de limpiar. | Puede decolorarse, menos duradero que otros. |
¿Cómo limpiar tus retenedores? 🤔 Actualizado 2020 - Odontología Láser.
tags: #molde #para #retenedores