La Clínica Dental Nuria Calvo Cervera se ha posicionado como un referente en el cuidado bucodental en Baeza, Jaén. Ubicada en la Calle San Andrés, 6, 1-IZDA, 23440 Baeza, Jaén, España, esta clínica se especializa en ofrecer una atención dental integral, abarcando desde revisiones preventivas hasta tratamientos estéticos avanzados.

Un Equipo Apasionado por tu Sonrisa
En la Clínica Dental Nuria Calvo, encontrarás un equipo de dentistas entusiastas, unidos por la pasión y la ilusión de ofrecer tratamientos integrales de la más alta calidad. Su objetivo principal es mejorar la sonrisa de sus pacientes, entendiendo que una sonrisa bonita, armoniosa y equilibrada es la mejor carta de presentación.
Son un grupo humano que trabaja día a día con pasión e ilusión, con el único objetivo de ofrecer tratamientos integrales de máxima calidad.
Para nosotros no eres uno más, cuando acudes a nuestra clínica queremos ofrecerte una experiencia y no solo un tratamiento.
Servicios Ofrecidos
La clínica ofrece una amplia gama de servicios para satisfacer las necesidades de cada paciente:
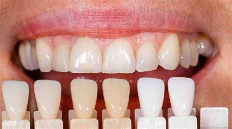
- Odontología Estética: Utilizando la tecnología más avanzada, se dedican a transformar sonrisas, ofreciendo tratamientos como blanqueamiento dental, carillas de porcelana y recontorneado de dientes y encías.
- Odontología Infantil: Se encargan del cuidado bucodental de los más pequeños, creando un ambiente seguro y familiar para que se sientan cómodos y confiados en el dentista.
- Tratamiento de Maloclusiones: Abordan cualquier problema de maloclusión dental tanto en niños como en adultos.
Ofrecemos tratamientos dentales estéticos, utilizando la tecnología más avanzada.
Nos encargamos del cuidado bucodental infantil, para que los más pequeños de la casa se familiaricen con el dentista , y lo encuentren un lugar seguro que les aporte bienestar. Asimismo tratamos cualquier maloclusión dental tanto en niños como adultos.
BLANQUEAMIENTO Dental ¡Secretos Revelados para una Sonrisa Radiante!
Estética Dental: Más Allá de una Sonrisa Bonita
La estética dental abarca todos los procedimientos y tratamientos utilizados para mejorar la apariencia de sus dientes y su sonrisa. Esto puede incluir todo, desde el blanqueamiento dental profesional, carillas de porcelana hasta el recontorneado de dientes y de encias.
- Blanqueamiento Dental: Los agentes blanqueadores permiten aclarar el diente de forma segura, y te ayudarán a conseguir una sonrisa más blanca y luminosa. Hay varias opciones de tratamiento, en casa, supervisado por el dentista, en clínica ( luz LED), o una combinación de ambos.
- Carillas Dentales: Son unas finas láminas de cerámica o composite, que se adhieren en la superficie anterior del diente, permitiendo cambios en su forma, color etc.
- Otros Tratamientos: Perfilado, hidratación, aumento o corrección de asimetrías del labio, para armonizar la sonrisa. Corrección de sonrisa gingival. A veces pequeños retoques en los dientes, permiten mejorar zonas de desgastes, microfracturas etc, mejorando así la estética.

Atención Personalizada y Adaptada
En la Clínica Dental Nuria Calvo, se prioriza la calidad sobre la cantidad. Les gusta trabajar con mucho mimo y de manera pausada, con calma. Se adaptan a cada paciente, ofreciendo condiciones de financiación y planes específicos para facilitar el acceso a los tratamientos.
Nos gusta trabajar con mucho mimo y de manera pausada, con calma, siempre priorizando la calidad por encima de la cantidad. Nos adaptamos a cada paciente con condiciones de financiación y planes específicos.
Compromiso con la Calidad y la Formación Continua
La asistencia a congresos y cursos de formación continuada es un pilar fundamental en la filosofía de la clínica. La mejora continua es un aspecto clave para ofrecer una odontología de calidad y estar al día con las últimas técnicas y avances en el campo.
Asistencia a congresos y cursos de formación continuada, la mejora continua, es un aspecto clave para ofrecerte una odontología de calidad.
Información de Contacto
Si deseas contactar con la Clínica Dental Nuria Calvo Cervera, puedes hacerlo a través de los siguientes medios:
- Dirección: Calle San Andrés, 6, Baeza, Andalucía 23440
- Teléfono: +34 953 74 42 93
- Sitio web: clinicadentalnuriacalvo.com
Ubicación
Aquí tienes un mapa para facilitar tu llegada a la clínica: