Si bien cuando pensamos en ortodoncia, lo primero que se nos viene a la cabeza es un adolescente con brackets, el campo de la ortodoncia abarca muchas más fases que la correspondiente a los clásicos aparatos de la adolescencia. Tener una sonrisa blanca y brillante es uno de los principales deseos de muchas personas. Cuando piensas en una sonrisa perfecta, seguramente imaginas unos dientes alineados, blancos y saludables.
La ortodoncia es una inversión importante para tu salud dental y tu autoestima. Déjate ayudar por un profesional.

Ortodoncia Preventiva
Es el área de la ortodoncia que pretende actuar antes de que aparezcan las desviaciones, cuando el diagnóstico nos indica que estas se van a producir. Este tipo de ortodoncia se aplica a edades muy tempranas y suele ir acompañado de la corrección de hábitos nocivos, principalmente para evitar una posible mala oclusión. En la ortodoncia preventiva se utilizan técnicas de desgaste dentario, aparatos removibles, mantenedores de espacio, la extracción de dientes supernumerarios u otras acciones que se avancen a los problemas causados durante la erupción dental.
Ortodoncia Interceptiva o Infantil
La ortodoncia interceptiva es el nombre más técnico y adecuado para referirse a la ortodoncia infantil. La ortodoncia interceptiva se centra en identificar y tratar problemas dentales y esqueléticos en niños en etapas tempranas. Recuerda que la salud bucodental de los niños es muy importante y es donde la prevención juega un papel fundamental. Ante las dudas, reserva ya tu consulta con los odontopediatras.
Como su propio nombre indica, la ortodoncia interceptiva pretende intervenir sobre los malos hábitos que pueda adquirir el niño. Los más comunes son chuparse el dedo o la mala colocación de la lengua al tragar. Este tipo de ortodoncia se aplica una vez que ya se ha producido un trastorno en el desarrollo normal de las estructuras óseas, pero que aún puede corregirse, debido a que el niño se encuentra todavía en fase de crecimiento. El ortodoncista se encargará de influir, a través de determinada aparatología, en el correcto desarrollo del maxilar y la mandíbula.
Los aparatos de ortopedia dentomaxilar se colocan en edades comprendidas aproximadamente entre los 7 y los 11 años. La primera visita al odontólogo suele ser a los 6 años de edad, por lo que el mejor momento para este tipo de tratamientos es entre los 7 y 11 años. Aunque es probable que el niño necesite un tratamiento de ortodoncia en la etapa de la adolescencia, la ortodoncia interceptiva puede ser muy útil para limitar la gravedad de estos problemas.
Algunos ejemplos de aparatos utilizados en la ortodoncia interceptiva incluyen:
- Disyuntor palatino: Utilizado para ensanchar el paladar.
- Máscaras faciales: Utilizadas para corregir problemas esqueléticos, como un maxilar subdesarrollado.
- Twin block: Consta de dos partes: la parte superior y la parte inferior. Ambas partes pueden ir tanto cementadas como removibles. Utiliza las fuerzas de oclusión como mecanismo corrector de la maloclusión.
- Placa de hawley: Este aparato removible se usa al finalizar un tratamiento de ortodoncia para mantener los resultados obtenidos.
A que edad iniciar la ortodoncia en niños
Ortodoncia Correctiva
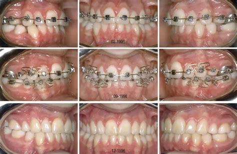
Este tipo de ortodoncia se identifica con la aparatología -tanto fija como removible- encaminada a corregir problemas de maloclusiones y alineación dental. Se realiza en personas mayores de 12 años, aproximadamente, una vez que las estructuras óseas de la boca se han desarrollado prácticamente. A partir de esta edad cada vez será más difícil corregir problemas esqueléticos (el límite se sitúa aproximadamente cuando el niño o niña termina su proceso de crecimiento), y sólo se podrá actuar sobre los dientes en sí mismos.
Los aparatos fijos son aquellos que se cementan o adhieren a los dientes y no pueden ser retirados por el paciente.
Si estás buscando mejorar la alineación de tus dientes sin someterte a los tradicionales brackets metálicos, probablemente hayas escuchado hablar de los alineadores transparentes. Si has estado pensando en corregir la alineación de tus dientes, pero te preocupa la estética de los brackets tradicionales, la ortodoncia lingual puede ser la opción ideal para ti.
Aunque no sea un tipo de ortodoncia propiamente dicho, la cirugía ortognática se combina con tratamientos de ortodoncia para corregir malformaciones esqueléticas que, llegados a la edad adulta, no se pueden tratar sólo con un sistema ortodóncico.
Con la creciente oferta de tratamientos ‘low cost’, es tentador optar por la opción más económica para obtener la sonrisa que deseas.
Salud Bucodental
La salud bucodental no se limita solo a tener dientes alineados. Una mordida adecuada y una buena alineación dental facilitan la masticación y el habla, y reducen el desgaste anormal de los dientes. Anomalías como la mordida cruzada, mordida abierta o mandíbulas desalineadas pueden ser hereditarias.

tags: #ortodoncia #interceptiva #y #correctiva