Si estás en un tratamiento de ortodoncia, es probable que tu ortodoncista te haya mencionado la necesidad de usar "topes oclusales" o "levantes de mordida". Estos pequeños elementos juegan un papel crucial en la corrección de la mordida y el alineamiento dental.

¿Qué son los topes oclusales?
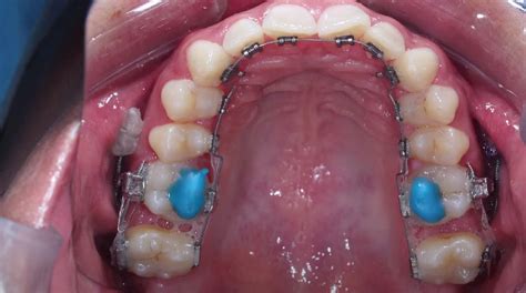
Los topes oclusales, también conocidos como levantes de mordida, son pequeños elementos utilizados en tratamientos de ortodoncia que evitan que los dientes engranen de forma completa. Se colocan en los dientes para prevenir el contacto excesivo entre los dientes superiores e inferiores, aliviando la presión en ciertas áreas de la boca.
Tipos de topes oclusales
- Topes oclusales posteriores: Se colocan en la parte posterior de la boca.
- Topes oclusales anteriores: También conocidos como "Turbo Bites", se colocan en la parte anterior de la boca.
🌟 TOPES OCLUSALES! 🦷✨ LEVANTES DE MORDIDA EN ORTODONCIA /¡REVELO LOS SECRETOS OCULTOS!
¿Qué funciones tienen los topes oclusales?
Los topes oclusales crean "desoclusión" (desengranan los dientes) y, dependiendo de su ubicación (anterior o posterior), cumplen diferentes funciones:
- Solucionar mordidas cruzadas: Desengranan los dientes para corregir este tipo de maloclusión.
- Extrusión e intrusión dental: Al colocarlos en la parte anterior, facilitan la extrusión de los dientes posteriores y la intrusión de los dientes anteriores.
- Evitar el contacto de brackets: Previenen el contacto excesivo entre los dientes superiores y los brackets inferiores, reduciendo el riesgo de caída de brackets.
- Estabilizar la mordida temporalmente: Alivian las molestias durante las mordidas transicionales en algunos tratamientos, permitiendo contactos estables al morder.

Tratamientos para corregir la mordida profunda
Existen diferentes tratamientos para corregir o mejorar la mordida profunda. Dependiendo de factores como las causas que la originan, el nivel de la maloclusión y la edad del paciente se aplican unos u otros correctivos. Incluso, hay casos en donde se deben combinar varios tratamientos para obtener los resultados deseados.
Los tratamientos para la mordida profunda o adelantada son:
- Ortodoncia
- Alineadores
- Cirugía ortognática
- Extracción dental
Recomendaciones para pacientes con topes oclusales
Si llevas topes oclusales, es importante seguir estas recomendaciones para asegurar el éxito del tratamiento:
- Higiene oral rigurosa: Mantén una rutina de higiene bucal estricta para evitar la acumulación de placa.
- Evita alimentos duros o pegajosos: Estos pueden dañar o desplazar los topes oclusales.
- Revisiones periódicas: Asiste a todas tus citas programadas para que el ortodoncista ajuste o reemplace los topes según sea necesario.
- Periodo de ajuste: Ten paciencia, puede tomar un tiempo acostumbrarse a los topes oclusales.
Beneficios de los topes oclusales
Los topes oclusales ofrecen múltiples beneficios durante el tratamiento de ortodoncia:
- Mejora de la mordida: Ayudan a corregir problemas de mordida, mejorando la función masticatoria.
- Prevención de daños: Protegen contra el desgaste excesivo de los dientes.
Los levantes de mordida pueden utilizarse también con la ortodoncia invisible.

¿Qué causa la mordida profunda?
Es algo que le puede suceder a niños y adultos. La razón más común de una sobremordida es que la mandíbula inferior es más pequeña que la superior. Se produce por distintas causas como usar chupete por un tiempo prolongado, chuparse el dedo durante la etapa de desarrollo de la mandíbula y complicaciones en la formación de los maxilares. Aunque lo más común es que las personas que la presentan tengan antecedentes genéticos de esta condición; es decir, es hereditaria. También puede ser por dientes faltantes, lesiones en la mandíbula, mandíbula pequeña. Incluso la mordida profunda puede surgir por una mordida muy fuerte desarrollada por rechinar o apretar la mandíbula. Otra de las razones puede ser que la boca no tenga suficiente espacio para los dientes permanentes.
¿Cómo detectar si tienes mordida profunda?
Los pacientes con mordida profunda poseen algunas de las siguientes características.
- Labio superior bastante prominente o proyectado.
- Dientes superiores inclinados hacia afuera.
- Apiñamiento de los dientes delanteros superiores.
- La parte inferior del rostro parece tener poca proyección e incluso puede verse más corta de lo normal.
- Al sonreír, los dientes delanteros superiores cubren en su totalidad los inferiores.
Consecuencias de la mordida profunda
Aunque puede parecer simplemente un problema estético, una mala mordida puede ser algo más serio. Llevar a problemas en dientes y encías, dolores de cabeza, problemas en los oídos, digestivos y más. Tener mordida profunda o sobremordida genera múltiples consecuencias como:
- Debido al apiñamiento de los dientes aumenta la probabilidad de desarrollar caries. Ya que la higiene dental se dificulta.
- La posibilidad de padecer enfermedades periodontales aumenta. Si los dientes están apiñados es más difícil eliminar las bacterias y restos de comida que quedan atrapados entre ellos.
- Desgaste en los dientes inferiores y bruxismo como consecuencia de la presión excesiva que se produce en la mandíbula y dientes. En casos graves las piezas pueden fisurarse. Y se puede comprometer la estructura de los dientes.
- Dificultades para hacer sonidos determinados.
- Dolores de cabeza, en la zona del maxilar inferior y en el cuello.
- Tensión de la articulación temporomandibular.
- Llagas o úlceras en el cielo de la boca.
- Problemas para comer o beber.
Por eso es importante tratar este padecimiento dental a tiempo, así se evitan algunas de las complicaciones que mencionamos.
¿Se puede evitar la mordida profunda?
En los casos en donde este tipo de maloclusión forma parte de la herencia genética no se puede evitar. Pero evitar hábitos de succión de cosas por tiempos prolongados, como el dedo o chupete, es una buena forma de prevenir el desarrollo de este problema en los casos en donde no existan antecedentes con dicha afección. También es importante que lleves a los niños al dentista a temprana edad y de forma constante. De esta manera la mordida profunda es detectada antes de que los maxilares se desarrollen por completo. Así es más fácil corregirla y evitar sus consecuencias a futuro.
Aditamentos para ortodoncia
Los aditamentos para ortodoncia son piezas que se añaden a la aparatología del tratamiento (ya sea con brackets o alineadores) para reforzarla y ayudarla a cumplir su cometido. Según la forma y diseño de un aditamento, éste permitirá mover el diente en la dirección deseada.
Las funciones de los aditamentos de ortodoncia pueden ser, por ejemplo:
- Mover un diente que tiene un tamaño, forma o ángulo inusual en una dirección específica.
- Forzar la aparición de un diente que no ha erupcionado correctamente.
- Redirigir un diente girado en su base.
- Corregir un problema de mordida y mala oclusión de mandíbula.
Conclusión
Los topes oclusales son una herramienta valiosa en ortodoncia. Es cierto que puede tomar un tiempo acostumbrarse a ellos, pero en 1-2 semanas ya no te acordarás de ellos.
tags: #ortodoncia #topes #en #las #muelas