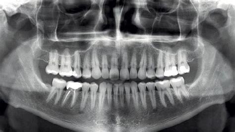
La ortopantomografía, también conocida como radiografía panorámica o panorámica dental, es una herramienta fundamental en odontología y ortodoncia. Proporciona una imagen bidimensional de toda la mandíbula, los dientes y las estructuras circundantes en una sola toma.

¿Qué es una Ortopantomografía?
Lo que define una radiografía panorámica es que da una visión panorámica de las estructuras dentales, óseas y, en menor medida, de tejidos blandos del área de los maxilares. El otro nombre de la radiografía panorámica: ortopantomografía, recoge la otra característica de las radiografías panorámicas: es una proyección ortostática. Quiere decir “recto”. Los maxilares son curvos, como esta radiografía es en dos dimensiones, lo que hace la ortopantomografía es “aplanar” los maxilares.
Las radiografías panorámicas dan mucha información general. Pero hemos de tener en cuenta que las medidas no son reales. Pero más importante que la magnificación global es saber que sentido “lateral” las medidas no son reales (la zona de los premolares está reducida). En resumen: la radiografía panorámica u ortopantomografía es una radiografía dental de toda la boca que da mucha información del conjunto con muy poca radiación y a un precio barato.
Características Principales de la Ortopantomografía
- Cobertura Completa: Ofrece una visión completa de ambas mandíbulas (superior e inferior), todos los dientes, y las estructuras adyacentes, como los senos maxilares y las articulaciones temporomandibulares.
- Diagnóstico Integral: Permite a los dentistas y ortodoncistas identificar una amplia gama de problemas dentales, incluyendo caries, enfermedades periodontales, quistes, tumores, y anormalidades óseas.
- Evaluación Preoperatoria: Es esencial para la planificación de tratamientos como la colocación de implantes dentales, la extracción de dientes (especialmente las muelas del juicio), y la evaluación ortodóncica.
¿Cómo se realiza una Ortopantomografía?
La técnica es muy sencilla y se practica en un minuto.
- Preparación del Paciente: El paciente debe quitarse cualquier objeto metálico de la cabeza y el cuello, como gafas, joyas y prótesis removibles. Luego, se le coloca un delantal de plomo para protegerlo de la radiación.
- Posicionamiento: El paciente se coloca de pie o sentado en el aparato de ortopantomografía, mordiendo una pequeña pieza de plástico para estabilizar la cabeza y asegurarse de que los dientes estén en la posición correcta.
- Toma de la Radiografía: La máquina gira alrededor de la cabeza del paciente, tomando una serie de imágenes que se combinan para crear una imagen panorámica de la boca y las mandíbulas.

Paciente preparándose para una ortopantomografía.
Ventajas y Limitaciones de la Ortopantomografía
Ventajas:
- Amplitud de Cobertura: Permite visualizar toda la boca en una sola imagen, lo que facilita el diagnóstico y la planificación del tratamiento.
- No Invasivo: Es un procedimiento rápido y no invasivo que proporciona mucha información con un mínimo de incomodidad para el paciente.
- Detección Temprana: Ayuda en la detección temprana de problemas dentales y maxilofaciales, permitiendo intervenciones oportunas.
Limitaciones:
- Resolución: Aunque ofrece una visión general excelente, la resolución es inferior a la de radiografías intraorales específicas, por lo que a veces se requieren radiografías adicionales para un diagnóstico más detallado.
- Distorsión: Puede haber una pequeña distorsión de la imagen debido a la naturaleza panorámica de la radiografía.
Usos Comunes de la Ortopantomografía
Mediante una única placa, el especialista puede analizar y diagnosticar lesiones, fracturas, tumores, patologías infecciosas o de retención dentaria y alteraciones de la articulación temporomandibulares. Existen otras técnicas más precisas, dado que las imágenes que se obtienen no son tan nítidas e incluso pueden mostrar cierta deformidad. Sin embargo, tiene la ventaja de emitir una radiación inferior a otras pruebas, lo que la convierte en una primera impresión muy práctica y en un procedimiento básico e imprescindible para el estudio rutinario en odontología y cirugía maxilofacial. En ocasiones se acude al dentista por un problema concreto, una caries o una inflamación, que presenta síntomas pero existen muchas afecciones asintomáticas hasta fases muy avanzadas de la enfermedad, cuando el tratamiento más complicado y menos eficaz.
- Diagnóstico de Caries y Enfermedades Periodontales
- Evaluación de la Estructura Ósea
- Planificación de Implantes Dentales
- Evaluación de Muelas del Juicio
- Diagnóstico de Quistes y Tumores
- Seguimiento de Tratamientos Ortodóncicos
Precio de la Ortopantomografía en Madrid
Una radiografía panorámica que muestra en una sola placa la totalidad de los dientes y el hueso que los rodea tiene un precio aproximado de 50,00€.
Clínica Dental Medics del Dr. Ferrer: Una Opción en Madrid
La Clínica dental medics del Dr. Ferrer está situada en la Calle de Ramiro II, 10. Esta clínica cuenta con la última tecnología radiológica que hace el diagnostico y el tratamiento dental más preciso. Además, el precio de la radiografía panorámica es más barato en comparación con otras técnicas como el TAC dental 3D.
¿Qué opinan los pacientes?
Muchos pacientes han expresado su satisfacción con los servicios de la clínica:
- "El Dr. Ferrer lleva viéndome a mi, y a toda mi familia, desde que me alcanza la memoria y siempre ha sido un profesional excelente, atento, cuidadoso y cariñoso. Precios realmente competitivos y una calidad humana del equipo inmejorable."
- "El doctor Ferrer es dueño de mi sonrisa. El trato ha sido siempre maravilloso y los precios los mejores de Madrid. Me han puesto varios implantes y el resultado es super natural."
- "Excelente trato tanto profesional como humano."
- "Soy Paciente desde hace tres años, el Dr Jorge Ferrer me ha puesto implantes, y fue todo satisfactorio. Son grandes profesionales los Drs Ferrer padre e hijo."
La clínica también destaca por:
- Calidad y precisión en la imagen de las ortopantomografías.
- Poca radiación. Además tiene unos programas específicos de poca radiación para niños.
- Modo de alta precisión. En ocasiones se necesita conocer con más precisión algunas zonas.
Además, el equipo tiene la opción de un programa de “baja dosis” que hace que se necesite menos dosis todavía. Se hace previa petición de cita. Solemos dar cita en el mismo día. La radiografía que hacemos es digital. Entregamos un imagen en formato jpg. También podemos hacer la telerradiografía (sobre todo en pacientes niños que van a hacer la ortodoncia).
Importante: No debemos realizarnos radiografías durante el embarazo. Si es necesaria realizar una prueba radiológica estando embarazada, se hará siempre cubriendo tu abdomen con un delantal de plomo.
tags: #ortopantomografia #donde #hacerla