El papiloma invertido (PI) nasosinusal es una tumoración que, aunque benigna, presenta un comportamiento biológico que demanda atención debido a su crecimiento local agresivo, alta tasa de recurrencia y riesgo de transformación maligna con asociación a carcinoma.
Este artículo aborda en detalle el diagnóstico y tratamiento del papiloma invertido maxilar, considerando los cambios recientes y las estrategias en los abordajes quirúrgicos. Se presenta una revisión exhaustiva basada en estudios retrospectivos y la experiencia clínica acumulada a lo largo de varios años.
Rinitis Alérgica y Congestión Nasal: Síntomas, Causas y Soluciones Efectivas
¿Qué es el Papiloma Invertido?
A diferencia de los papilomas evertidos y los oncocíticos, el PI nasosinusal representa el tipo relativamente más frecuente de estas tumoraciones, siendo la pared lateral nasal su lugar predilecto de crecimiento. A pesar de estar presente en la sospecha clínica diaria de cualquier otorrinolaringólogo, supone apenas un 0,5-7% de todas las tumoraciones nasales y afecta principalmente a varones, entre la 5ta y 6ta década de la vida.
Hoy día se sabe que no se trata realmente de un papiloma, sino de una degeneración metaplásica severa de la mucosa que crece hacia el estroma subyacente y que resulta difícil de diferenciar de un carcinoma escamoso de bajo grado, por lo que clásicamente ha sido categorizado en tres tipos, PI benigno, PI con displasia y/o carcinoma in situ, y PI con carcinoma de células escamosas.
Su etiología es incierta, aunque se ha publicado que cuando se relaciona en fases iniciales con el virus del papiloma humano (VPH) 16 y 18 su incidencia (entre 0 y 70%) de transformación maligna a carcinoma es mayor.
Recientemente se ha señalado que la desmogleina 3 que está presente en 90% de los carcinomas escamoso celulares, también se localiza en ciertas áreas del PI (53%) por lo que su hallazgo puede servir como predictor de transformación maligna.
Diagnóstico del Papiloma Invertido
La evaluación inicial de los pacientes con sospecha de masa intranasal comienza con una historia clínica detallada y una exploración física, incluyendo una endoscopia nasal. Se debe documentar la historia previa de pólipos nasales o cirugías previas nasales, el consumo de tabaco, la exposición a contaminantes ambientales y los síntomas relacionados con el efecto masa (obstrucción nasolacrimal, cambios en la visión y cefalea).
Se recomienda realizar una exploración completa de la cabeza y el cuello, evaluando la función de los pares craneales. Una exploración endoscópica con ópticas de 0º o de 30º puede resultar de interés para evaluar la extensión y localización intranasal de la masa. Se debe de tomar una biopsia en la consulta o en el quirófano antes de realizar cualquier tratamiento quirúrgico.
El diagnóstico debe ser sospechado incluso en caso de una biopsia previa negativa ya que se han publicado ratios del 17% de falsos positivos y pueden estar asociados a la poliposis nasal alérgica, por lo que es recomendable tomar siempre una biopsia en esta patología.
Los papilomas invertidos se caracterizan por una hiperplasia epitelial mucosa del epitelio respiratorio de las fosas nasales y senos paranasales, con crecimiento endofítico al estroma subyacente del epitelio neoplásico.
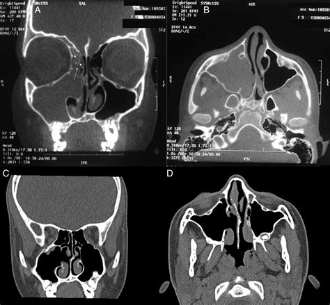
La tomografía axial computerizada (TAC) con cortes < de 1 mm permite evaluar las áreas de erosión ósea, aunque los hallazgos típicos son una masa de densidad de partes blandas con erosión ósea y microcalcificaciones en el 20% de los casos. La TAC es particularmente sensible en detectar áreas de hiperostosis, que se emplea para predecir el sitio del pedículo de implantación del papiloma invertido, aunque debe ser corroborado durante la endoscopia nasal.
La resonancia magnética nuclear (RMN) ayuda a evaluar la extensión de la masa de tejido blando y puede distinguir entre secreciones densas y tumor. Los papilomas invertidos son hipointensos en T1, iso- o hipointensos en T2, realzan con contraste y tiene un patrón cerebriforme contorneado. La RMN es superior a la TAC para delimitar el tamaño tumoral.
Varios sistemas de estadiaje y categorización se han propuesto, pero hasta ahora ninguno unificado que determine la severidad de la enfermedad, siendo el más usado el de Krouse.
Tanto la tomografía computarizada (TC) como la resonancia magnética (RM) nos permiten delimitar la extensión de la lesión antes de la cirugía, distinguiéndola del tejido inflamatorio circundante bien mediante la captación de contraste y la detección del patrón columnar que nos muestra la RM potenciada en T2 o a través de la osteolisis radiológica que se aprecia en la TC. Sin embargo, esta última no es suficiente para asegurar el diagnóstico de PI, porque puede estar presente hasta en 53% de pacientes con sinusitis crónica.
Clasificación de Krouse
Es importante señalar que este sistema de evaluación se desarrolló en la era pre-endoscópica y se basó en la experiencia quirúrgica previa y en otros sistemas de estadificación de tumores malignos.
- T1: Tumor confinado a la cavidad nasal sin extensión a senos paranasales.
- T2: El tumor afecta a la unidad osteomeatal, seno etmoidal y/o seno maxilar. Puede o no afectar a la fosa nasal.
- T3: El tumor afecta a la pared lateral, inferior, superior, anterior o posterior del seno maxilar; al seno esfenoidal y/o seno frontal.
- T4: Tumor con afectación extranasal/extrasinusal (orbita, intracraneal o espacio pterigomaxilar).

Tratamiento del Papiloma Invertido Maxilar
El tratamiento de elección es la resección endoscópica. Se ha usado exitosamente la radioterapia para el tratamiento de los PI extensos, pero no se conocen informes documentados de su uso en pacientes con PO avanzado o con extensión extrasinusal y sin malignización asociada.
El manejo quirúrgico agresivo primario intentando remover por completo el tumor junto con amplios márgenes de mucosa saludable son las premisas de la terapia actual, sin embargo, recientemente se ha descrito la preservación quirúrgica del cornete inferior al realizar la maxilectomia medial, con la intención de ser más fisiológicamente conservador y evitar la sensación de congestión nasal postoperatoria originada por una posible rinitis seca y/o atrófica.
La evaluación de la resecabilidad endoscopica antes de la cirugía es hecha por la combinación de exploración endoscópica y técnicas de imagen.
Históricamente fue propuesta la cirugía y radioterapia coadyuvante pero debido a las altas tasas de efectos adversos se desestimó esta última, pudiendo afirmarse actualmente que el abordaje endoscópico exclusivo o combinado externamente ha probado ser eficiente al disminuir las tasas de recurrencia comparado con sólo el tradicional abordaje externo.
Así, la tendencia europea según recientes metaanálisis revela que los resultados con abordaje endoscópico son buenos, incluso mejores que por vía externa con respecto al control tumoral, ausencia de incisión facial, ingreso hospitalario y reducción del dolor postoperatorio.
Experiencia Clínica y Resultados
Se realizó un estudio retrospectivo con la revisión de historias clínicas desde 1998 hasta 2008. A través de un protocolo se recogen datos clínico patológicos como edad, sexo, localización, tratamiento realizado y evolución postquirúrgica. Las lesiones se estadificaron según el sistema propuesto por Krouse.
En el período de estudio fueron tratados en nuestro hospital 15 papilomas invertidos, de los cuales 11 eran hombres (73,3%) y 4 mujeres (26,7%), con una edad media de 54 años (rango: 30-74 años). El síntoma principal fue insuficiencia respiratoria nasal unilateral (86,7%) seguido de algias faciales (cefalea) y epistaxis con 40% y 26,7% respectivamente. El 60% de los pacientes presentaba papilomas en la fosa nasal izquierda.
Las tumoraciones se extendían comprometiendo diferentes localizaciones; etmoides (anterior y posterior) con 86,7%, seguida de seno maxilar (60%) y esfenoides (33,3%). El tiempo medio desde la presentación de los síntomas hasta el diagnóstico y tratamiento fue de 59 meses. En los 15 pacientes analizados se realizó TC y en 6 (40%) se complementó con RM.
Según la clasificación de Krouse, 7 (46,7%) pacientes se encontraban al momento del diagnóstico en estadio I, 4 (26,7%) en estadio II, 3 (20%) en estadio III y 1 (6,6%) en estadio IV.
Once pacientes fueron operados por abordaje endoscópico, 1 únicamente por etmoidectomía externa y 3 se sometieron en diferentes oportunidades a ambos procedimientos.
La tasa de recidiva total fue del 40%, observada en 4 (26,6%) pacientes del grupo que se sometieron a abordaje externo y combinado, y 2 (13,4%) a cirugía endonasal. El tiempo medio de la recidiva fue de 14 meses.
Seis pacientes presentaron complicaciones, 5 (83,3%) del grupo tratado endoscópicamente: 3 formaron sinequias, 1 mucocele y 1 con fístula de LCR; y uno (16,7%) por abordaje externo presentó fistula oroantral. No hubo ninguna defunción debido a las complicaciones quirúrgicas.
La malignización ocurrió solo en 1 paciente (6,6%) operado en primera intención por vía externa (etmoidectomía paranasal) y luego por vía endoscópica. Los pacientes de esta serie fueron seguidos al menos durante 36 meses.
Nuestros resultados en cuanto a recidivas se corresponden con los encontrados en la literatura nacional e internacional; donde el tratamiento quirúrgico endoscópico es de elección sin descartar el abordaje externo cuando la extensión de la tumoración rebase los límites asequibles endoscópicamente. Por su tendencia acusada a recidivar, se recomienda un seguimiento anual endoscópico y, pruebas de imagen sólo si observamos hallazgos patológicos en la exploración endoscópica. El estudio de la pieza anatomopatológica es fundamental para confirmar el diagnóstico.

Recidiva y Seguimiento
No existen dudas sobre el elevado índice de recidivas, cuya mayoría se presenta dentro de los 2 primeros años y que se cree se deben generalmente a la resección incompleta, considerando la experiencia del cirujano con el endoscopio como un gran condicionante de esta posibilidad. Nuestra tasa de recidivas está probablemente en relación a la extensión, multifocalidad y al empleo en los primeros años de abordaje externo, ya que al resecarse sólo endoscópicamente se equipara con otras publicaciones.
Por su tendencia acusada a recidivar, se recomienda un seguimiento anual endoscópico y, pruebas de imagen sólo si observamos hallazgos patológicos en la exploración endoscópica. El estudio de la pieza anatomopatológica es fundamental para confirmar el diagnóstico.