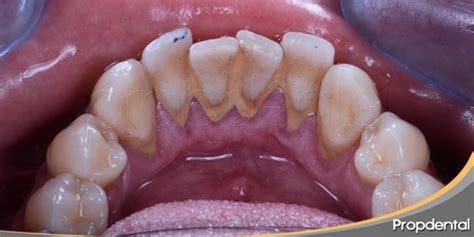
El sarro, también conocido como “cálculo dental” u “odontolito”, es una sustancia mineralizada y dura que se acumula sobre los dientes cuando no se elimina la placa bacteriana. Aparece tanto por fuera como por dentro de la línea de las encías, y su posición puede afectar en su color.
El sarro duro detrás de los dientes afecta a más del 70% de los adultos (según la Encuesta de Salud Oral en España 2020), convirtiéndose en una de las principales causas de enfermedades periodontales. Este problema, aparentemente invisible pero con consecuencias significativas para la salud bucodental, requiere un enfoque profesional y especializado para su correcta eliminación.
El sarro está compuesto de bacterias muertas mineralizadas y proteínas salivales.
Se puede prevenir la acumulación de placa y sarro con una buena higiene dental, cepillándose dos veces al día con pasta de dientes y usando hilo dental.

El sarro se acumula en la superficie de los dientes y puede causar problemas de salud bucal.
¿Qué es el Sarro Dental?
El sarro duro, conocido científicamente como cálculo dental, representa la mineralización completa de la placa bacteriana que se adhiere firmemente a la superficie dentaria.
La diferencia fundamental entre la placa bacteriana y el sarro duro radica en su composición y resistencia. Mientras que la placa bacteriana es una biopelícula blanda que puede eliminarse mediante el cepillado dental regular, el sarro duro presenta una estructura mineralizada que no puede removerse con métodos de higiene bucal convencionales.
Se forma a partir de la placa bacteriana, pero tiene una textura diferente y no es fácil de eliminar. La placa es una mezcla de saliva, bacterias, alimentos y ácidos que las bacterias producen a partir del azúcar y el almidón. Es pegajosa, pero el cepillado regular y el uso de hilo dental la eliminan.
Una vez formado, el cepillado y el uso de hilo dental no lo eliminan, el sarro solamente puede eliminarse en la consulta dental.
Tipos de Sarro Dental
El color del sarro depende de la edad y de dónde aparece en la boca.
El sarro sobre la línea de las encías, también denominado cálculo supragingival, es amarillo o tostado. El cálculo subgingival es el sarro que aparece debajo de la línea de las encías, el cual puede ser marrón, negro o verde.

El sarro puede acumularse por encima (supragingival) o por debajo (subgingival) de la línea de las encías.
Causas de la Acumulación de Sarro
La acumulación de sarro es un problema común que puede prevenirse con una higiene bucal adecuada y visitas regulares al dentista. Estas son algunas de las causas principales:
- Mala higiene bucodental: La principal causa de la aparición del sarro es una mala higiene bucodental.
- Dieta rica en azúcares: La dieta rica en azúcares y carbohidratos refinados proporciona nutrientes abundantes para las bacterias orales, intensificando la producción de ácidos y la formación de placa bacteriana.
- Tabaquismo: El tabaquismo altera significativamente la composición salival y reduce la capacidad de autolimpieza natural de la boca, favoreciendo la formación de sarro duro.
- Malposición dental: Ello aumenta la dificultad de llevar a cabo una higiene adecuada y, por tanto, de retirar correctamente la placa dental.
- Factores genéticos: Factores genéticos que afectan a la saliva como el grado de acidez (pH).
- Flujo salival reducido: Producir una cantidad insuficiente de saliva debido al uso de medicamentos u otras condiciones médicas.
- Edad avanzada: Con el paso de los años, las encías pueden retraerse, lo que expone una mayor superficie dental a la acumulación de placa y a la formación de sarro.
- Acumulación excesiva: Cuando el sarro lleva mucho tiempo acumulándose, puede formar depósitos grandes en tus dientes. A veces, una parte de ese depósito puede fracturarse o despegarse, por ejemplo al masticar algo duro o simplemente por su propio volumen.
¿Por qué se acumula sarro duro específicamente detrás de los dientes inferiores?
La anatomía oral explica por qué el sarro duro detrás de los dientes inferiores es tan común. Las glándulas sublinguales y submandibulares, ubicadas debajo de la lengua, secretan constantemente saliva rica en minerales directamente hacia la superficie lingual de los incisivos inferiores.
La superficie lingual de los dientes inferiores representa una de las zonas más desafiantes para mantener una higiene bucal adecuada. La posición de la lengua, la limitada visibilidad durante el cepillado y la dificultad para maniobrar el cepillo en esta área contribuyen a una limpieza incompleta.
Muchas personas concentran sus esfuerzos de higiene bucal en las superficies dentales más visibles, descuidando inadvertidamente las zonas posteriores y linguales.
Problemas Causados por el Sarro
Si no se elimina correctamente la placa bacteriana y se forma sarro, pueden producirse, en función del tipo de bacterias predominantes, los siguientes problemas en la boca:
- Mal aliento crónico: El mal aliento crónico constituye uno de los primeros indicadores de acumulación de sarro duro detrás de los dientes. Este síntoma se produce porque el cálculo dental proporciona una superficie rugosa ideal para la adherencia y proliferación de bacterias anaerobias, que liberan compuestos sulfurados volátiles responsables del olor desagradable.
- Gingivitis: La presencia de sarro duro detrás de los dientes provoca una respuesta inflamatoria constante en las encías circundantes. Esta inflamación se manifiesta como gingivitis, caracterizada por encías de color rojo intenso, hinchadas y sensibles al tacto. La placa y el sarro irritan e inflaman las encías, que se hinchan y sangran. Se pueden formar “bolsillos” en los que pueden proliferar bacterias.
- Retracción gingival y sensibilidad dental: Cuando el sarro duro provoca retracción gingival, las raíces dentales quedan expuestas, generando sensibilidad al frío, calor o alimentos ácidos. El sarro duro actúa como un irritante mecánico constante que «empuja» progresivamente la encía hacia abajo, exponiendo mayor superficie radicular.
- Problemas al masticar: En casos avanzados donde la enfermedad periodontal ha progresado significativamente, pueden aparecer molestias o dolor durante la masticación.
- Periodontitis: Es una forma más severa de la enfermedad de las encías, en la que los ligamentos y el hueso que soportan el diente se destruyen. Con frecuencia, desencadena la pérdida de la pieza dental.
- Caries dentales: Son agujeros o cavidades que dañan la estructura del diente. Se producen cuando las bacterias presentes en la placa metabolizan los azúcares y producen ácidos capaces de disolver el esmalte con el paso del tiempo.
- Aumento de la sensibilidad en los dientes: sobre todo al frío y/o al calor.
Además, los trastornos dentales pueden llegar a provocar una gran variedad de problemas de salud sistémicos como trastornos digestivos o enfermedades cardiovasculares, entre otros.
Tratamiento Profesional del Sarro Dental
Es fundamental comprender que el sarro duro no puede eliminarse mediante métodos caseros de higiene bucal. Su estructura mineralizada requiere instrumental especializado y técnicas profesionales específicas para su remoción segura.
En Clínica Dental Letamendia, empleamos tecnología de ultrasonidos de última generación para quitar el sarro de los dientes de manera precisa y confortable. El proceso incluye también el uso de instrumental manual especializado (curetas) para el refinado de superficies radiculares y la eliminación de sarro en áreas de difícil acceso.
Cuando el sarro duro ha progresado causando gingivitis o enfermedad periodontal, en Clínica Dental Letamendia implementamos protocolos de tratamiento integral que pueden incluir curetajes radiculares, terapia antimicrobiana y seguimiento periodontal especializado.
El tratamiento básico para eliminar el sarro se denomina tartrectomía, profilaxis o limpieza dental profesional y lo debe realizar un dentista experto. La limpieza consiste en un raspado coronal indoloro, por lo que se realiza sin anestesia. El dentista en Salamanca o higienista dental lo hace de forma manual.
En aquellos casos en los que el sarro se encuentra por debajo de la línea de la encía la limpieza dental profesional no es suficiente para eliminarlo.
Asimismo, el sarro puede extraerse con un aparato que emite ultrasonidos que lo desintegran.
En el caso de que el sarro se haya acumulado bajo las encías, es necesario realizar un curetaje o raspado dental. Este implica una limpieza más profunda, que sí suele requerir la aplicación de anestesia local.
Es normal que después de un raspado radicular sientas un poco de sensibilidad en los dientes y encías.
La mejor manera de blanquear los dientes
Prevención del Sarro Dental
La prevención efectiva del sarro duro detrás de los dientes requiere una técnica de cepillado meticulosa que incluya movimientos específicos para alcanzar la superficie lingual de los dientes inferiores.
Una alimentación consciente puede reducir significativamente la formación de sarro duro. El mantenimiento preventivo profesional constituye la estrategia más efectiva para prevenir la acumulación de sarro duro.
La prevención y el tratamiento temprano del sarro duro detrás de los dientes representan inversiones fundamentales en tu salud bucodental a largo plazo.
Para reducir al mínimo la placa y evitar que se forme el sarro es necesario mantener una buena higiene bucal. En concreto, una higiene oral completa debe incluir los siguientes cuidados personales:
- Cepillado cuidadoso: Debe hacerse tras cada comida pero, sobre todo, es fundamental realizar un cepillado profundo antes de irse a dormir, cuando baja la producción de saliva y los movimientos de la lengua, ya que estos contribuyen a remover la placa bacteriana. Puede utilizarse un cepillo manual o eléctrico, aunque estos últimos han demostrado retirar la placa con mayor eficacia si cuentan con tecnología oscilatoria-rotatoria. En todo caso, se recomienda que el cepillo tenga cerdas suaves o medias y que el cabezal no sea demasiado grande para que llegue a todos los rincones de la boca.
- Cepillado de encías: Tras los dientes, debe cepillarse con suavidad la dentadura a lo largo de la línea de las encías.
- Dentífrico con flúor: El dentífrico que usemos para el cepillado debe incluir flúor en su fórmula, porque ayuda a prevenir las caries. También existe la opción de realizar enjuagues bucales fluorados tras el cepillado dental. En niños deben emplearse dentífricos adaptados a su edad en contenido de flúor.
- Limpieza interdental: Si existe espacio suficiente, debe emplearse un cepillo interproximal o, si no, hilo o seda dental. Ambos deben usarse al menos una vez al día, preferiblemente por la noche, con el fin de asegurar la limpieza de las caras laterales de los dientes y que no queden restos de comida entre ellos. También se puede emplear un irrigador de agua para eliminar los desechos que se encuentren entre los dientes y debajo de las encías. Es especialmente importante la limpieza con cepillo interproximal, seda o irrigador, en personas que lleven implantes o puentes, ya que los espacios entre los dientes y la retracción de las encías pueden favorecer la acumulación de placa en espacios difícilmente accesibles.
- Limpieza de la lengua: Debe frotarse suavemente hacia adelante usando el cepillo de dientes o un limpiador lingual, ya que en ella se acumulan un gran número de bacterias.
Además, los expertos recomiendan un examen rutinario de los dientes al menos una vez al año y una limpieza profesional cada seis o doce meses con el fin de eliminar el sarro, ya que este puede acumularse en los dientes incluso aunque se lleve a cabo en casa una buena higiene dental.

Una buena higiene bucal es clave para prevenir la formación de sarro dental.
¿Qué hacer si se desprende un pedazo de sarro?
Si te ha pasado esto recientemente, mantén la calma. No entres en pánico: Lo primero, mantén la calma. Como ya mencioné, normalmente no es una emergencia grave. Si no hay dolor fuerte o sangrado, puedes respirar aliviado. Recuerdo un paciente en Cleardent que vino muy asustado con su «trozo de diente» en la mano, y resultó ser sarro.
- Enjuaga tu boca suavemente: Lava tu boca con agua tibia (incluso con un poco de sal disuelta, que tiene efecto antiséptico suave) para eliminar cualquier resto suelto y refrescar la zona. Esto ayuda a que, si la encía quedó expuesta, no se irrite con residuos.
- No intentes arrancar más sarro por tu cuenta: Puede ser tentador pensar «si se cayó ese pedazo, voy a raspar a ver si quito más». ¡Evítalo! Rascar con objetos afilados (o con fuerza excesiva) puede lastimar tu encía o el esmalte del diente. Además, el sarro está fuertemente adherido; quitarlo tú mismo es difícil y podrías terminar con una lesión. He visto casos de personas que, por rascarse con palillos o alfileres, se hicieron cortes en la encía o se esmaltaron el diente.
- Revisa tus síntomas: Pon atención a cómo se siente la zona. ¿Notas la encía inflamada donde estaba el sarro? ¿Hay sangrado leve al cepillar? ¿El diente se siente más sensible al aire o al agua fría ahora que se cayó la “costrita” de sarro? Algunos de estos síntomas son normales después de que el sarro se desprende, porque puede haber una pequeña inflamación en la encía alrededor o el diente expuesto a estímulos. Si el dolor es intenso o la encía sangra en exceso espontáneamente, eso sí amerita consultar más urgente.
- Cepilla con suavidad esa área: Continúa con tu higiene oral rutinaria, cepillando suavemente los dientes cercanos y usando hilo dental en la zona, sin hurgar demasiado debajo de la encía. Mantener la limpieza ayudará a que no se acumule más placa mientras esperas tratamiento.
- Agenda una visita al dentista lo antes posible: Este paso es clave. No lo dejes pasar. Aunque no tengas dolor, debes acudir a una limpieza dental profesional para retirar el resto del sarro. Idealmente, haz la cita en cuanto puedas dentro de los próximos días o semanas. En Cleardent, por ejemplo, siempre intentamos dar cita rápida a alguien con estos síntomas, porque sabemos la importancia. Si tu dentista de cabecera tarda mucho, busca alternativas (lo importante es solucionar pronto).
Siguiendo estos pasos, estarás manejando bien la situación. No hay necesidad de salir corriendo de urgencia al hospital por un trozo de sarro, a menos que, insisto, venga acompañado de síntomas agudos (dolor fuerte, infección evidente, fiebre - lo cual es raro solo por sarro).
Remedios Caseros vs. Tratamiento Profesional
Es importante destacar que, aunque existen muchos remedios caseros que prometen eliminar el sarro, ninguno de ellos es tan efectivo como una limpieza dental profesional. Los remedios caseros pueden ayudar a prevenir la acumulación de placa, pero no pueden eliminar el sarro ya endurecido.
Algunos de estos incluyen bicarbonato de sodio o peróxido de sodio, que a largo plazo pueden provocar desgaste y traerte más problemas. Los remedios caseros para eliminar el sarro no son seguros; sin embargo, sí hay algunas soluciones para deshacerte de la placa antes de que se endurezca.
Lo que sí puedes aprender es cómo evitar que se forme el sarro en los dientes después del tratamiento.
Preguntas Frecuentes sobre el Sarro Dental
- ¿El sarro se cae solo? Por lo general, no se cae por sí solo de forma completa. El sarro está muy adherido al diente y permanece allí hasta que un dentista lo retira. Que se desprenda un pedazo puede ocurrir, pero normalmente queda mucho sarro adherido detrás. Además, esperar a que “se caiga solo” no es buena idea, ya que mientras tanto el sarro sigue causando inflamación en las encías y otros daños.
- ¿Cómo diferenciar sarro de un diente roto? No siempre es fácil a simple vista, pero hay pistas: el sarro suele ser de color amarillento o marrón, de textura áspera o porosa, y por lo general no provoca dolor al desprenderse. Un fragmento de diente (esmalte) será blanco o ligeramente transparente, más liso, y casi siempre va acompañado de sensibilidad o dolor en el diente afectado. También, si pasas la lengua por el diente y sientes un borde cortante o irregular nuevo, es señal de diente roto.
- ¿Qué pasa si se traga sarro? En principio, no pasa nada grave. El sarro está compuesto de minerales, bacterias muertas y restos orgánicos; si lo tragas, t...
En Clínica Dental Letamendia, nuestro compromiso con la excelencia en el cuidado dental nos motiva a brindar tratamientos personalizados y educación continua a nuestros pacientes. Si tienes alguna duda que desees aclarar con respecto a este tema o quieres concertar una cita con nosotros, te invitamos a hacerlo llamando al 91 768 18 12 o bien a través de nuestra página de contacto de la web.