Una gran parte de la población padece acumulación de sarro en los dientes. El sarro dental, también conocido como “tártaro” o “cálculo dental”, puede producir uno de los problemas bucodentales más frecuentes, a pesar de que muchas personas no le dan demasiada importancia. Pero, ¿qué es el sarro dental?
El sarro dental es una capa de suciedad y residuos calcificados que se acumula en los dientes como consecuencia de una higiene oral insuficiente o ineficiente. El sarro se distingue por su color, que puede ir de blanquecino a pardo. Además los problemas estéticos derivados de su aspecto desagradable, su presencia puede traer consecuencias negativas para la salud oral.
En este artículo, exploraremos en detalle las causas, consecuencias y métodos de prevención del sarro dental.
BLANQUEAR LOS DIENTES CON BICARBONATO 🦷✨ ¿Es bueno este remedio casero?
¿Qué es el Sarro Dental?
El sarro, también llamado cálculo o tártaro dental, es consecuencia del endurecimiento de la placa bacteriana. Consiste básicamente en la calcificación de la placa bacteriana, o placa dental. La placa bacteriana es una película que se deposita sobre los dientes y está compuesta de bacterias, saliva, restos de comida y células muertas. Aparece en todas las personas.
Esta capa de suciedad también se puede amontonar en el borde o debajo de las encías, llegando a irritar los tejidos gingivales. El sarro está colonizado por las bacterias de la cavidad oral o placa bacteriana, responsable a su vez de muchas de las patologías de los dientes y encías.
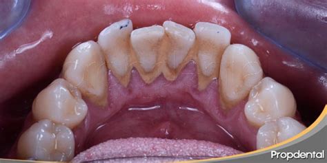
La acumulación de sarro en los dientes inferiores no es una coincidencia. Los dientes inferiores, especialmente los incisivos y caninos, están muy cerca de las glándulas salivales submandibulares y sublinguales.
El sarro está compuesto en su mayor parte (del 70 al 90%) por elementos inorgánicos ―sales minerales―, que se combinan con sustancias orgánicas como proteínas, carbohidratos y, en menor medida, lípidos.
Además de poder provocar problemas de salud como caries dentales, gingivitis o halitosis, el sarro dental constituye un problema estético.
Si hace tiempo que no acudes a una revisión odontológica, no dudes en pedir cita para una limpieza dental profesional o una instrumentación subgingival (curetaje) una o dos veces al año.
¿Cómo Se Forma el Sarro en los Dientes?
El sarro en los dientes se forma por la acumulación progresiva de residuos de alimentos, proteínas salivares y restos microbianos, que se calcifican alrededor de las superficies de los dientes como consecuencia de la precipitación de las sales minerales y los iones presentes en la saliva. Como hemos comentado, el sarro se forma cuando la placa bacteriana se mezcla con saliva y restos de comida y se endurece.
La placa dental va depositándose continuamente en los dientes, a lo largo del día y la noche. Incluso, después de cepillar los dientes, la placa se desarrolla en su superficie al cabo de unas 24 horas. Si no eliminamos la placa bacteriana de manera adecuada después de cada cepillado, se va calcificando y formando lo que conocemos como sarro.
Este acúmulo de placa dental se debe eliminar diariamente antes de su calcificación, mediante el cepillado diario tras las comidas, con una técnica adecuada, que debe incluir una correcta higiene interdental. Una vez que esta película de restos se calcifica y endurece, precisamos de ayuda profesional para su eliminación.
La placa dental se endurece y se convierte en sarro cuando entra en contacto con los minerales presentes en la saliva. Este proceso de mineralización puede ocurrir en tan solo 24 a 72 horas si la placa no se elimina.
La principal causa del sarro en los dientes y encías es la falta de higiene oral. Así pues, la principal causa de la aparición del sarro es una mala higiene bucodental.
El área detrás de los dientes inferiores, en particular, es propensa a la formación de sarro debido a la proximidad con las glándulas salivales.
Aunque el sarro puede formarse incluso con una buena higiene, una limpieza deficiente o irregular aumenta significativamente el riesgo. Otra causa de la aparición del sarro es la malposición de los dientes.
Otros factores que influyen en la aparición del sarro son:
- El pH de la saliva: Varía según la persona. Los pH que tienen un nivel de acidez alto debilitan más el esmalte dental, lo que nos hace más vulnerables a las caries.
- Los hábitos alimentarios: Una dieta alta en azúcares y carbohidratos procesados alimenta las bacterias que forman la placa.
- Factores genéticos y de salud: Algunas personas tienen una predisposición genética a producir más sarro debido a la composición de su saliva.
- Mantenimiento inadecuado: De sistemas de ortodoncia fijos o de las prótesis dentales.

¿Qué Consecuencias Tiene el Sarro Dental en Nuestra Salud Bucodental?
La acumulación de sarro en los dientes, especialmente a nivel radicular, es nociva para los tejidos que lo rodean. El sarro no solo es antiestético, sino que también supone un riesgo para la salud dental.
Las bacterias presentes en el sarro dental son capaces de provocar, de manera directa o indirecta:
- Caries: Mediante la desmineralizaciones de los tejidos duros. Las bacterias presentes en el sarro producen ácidos que deterioran el esmalte dental.
- Gingivitis: Inflamación de la encía. Cuando el sarro llega a la línea de la encía empiezan los problemas periodontales. Las encías se inflaman, se enrojecen y sangran con facilidad por la proliferación de bacterias. En una etapa inicial se conoce como gingivitis.
- Periodontitis: Pérdida del tejido gingival que sostiene al diente como consecuencia de la inflamación crónica de la encía.
- Halitosis: Los residuos y los efectos de las bacterias son el origen en muchas ocasiones de mal olor en la boca. Un indicador de la presencia de sarro en los dientes, a diferencia de la placa bacteriana, es el mal aliento o halitosis. Puede ocurrir que el sarro no sea visible, pero que sí se perciba el mal aliento.
Además, existe una relación entre el sistema digestivo y la salud oral. Por lo tanto, la presencia de un mayor número de bacterias en la boca puede favorecer trastornos estomacales o intestinales.
¿Cómo Se Puede Eliminar el Sarro?
A diferencia de la placa bacteriana que se puede eliminar en casa, el sarro dental no puede eliminarse con un cepillado de dientes. Si el sarro ya se ha endurecido, es necesario que acudamos al dentista para que lo elimine mediante una limpieza bucal. Si el sarro ha profundizado ocasionando la pérdida de encía la limpieza será más profunda, con necesidad de anestesia local.
El sarro o cálculo dental tiene que ser eliminado en la clínica dental mediante una profilaxis dental profesional. Cuando el sarro se acumula aparece por debajo de la encía (subgingival) es necesario proceder a la instrumentación subgingival o comúnmente conocida como curetaje.
Existen diferentes métodos para quitar el sarro:
- Ultrasonidos: El empleo de ultrasonidos es especialmente útil cuando el sarro está ubicado por encima de la línea de las encías (unión del diente con la encía). Logran desprender el cálculo en fragmentos sin dañar la superficie dentaria. Es muy importante que el proceso sea profusamente refrigerado con agua, pues los ultrasonidos producen un aumento térmico que podría causar dolor y daño en la estructura dentaria.
- Curetaje: Las curetas dentales son dispositivos manuales con formas muy variadas, de tal manera que consiguen adaptarse perfectamente a la superficie de los dientes. Permiten llegar bien a los espacios que hay en el surco de la encía. Allí se acumula el denominado sarro subgingival, especialmente nocivo para los tejidos gingivales al estar colonizado frecuentemente por patógenos periodontales muy dañinos.
- Fresas: Existen también fresas de diseños específicos para la eliminación de placa y sarro. Se acoplan a las turbinas y los motores dentales a diversas revoluciones.
- Aeropulverizadores: Los aeropulverizadores de polvo de glicina son de gran ayuda para eliminar la placa bacteriana y las manchas. Se trata de un método poco invasivo y muy efectivo tras la eliminación grosera del sarro con los métodos descritos en los puntos anteriores.
- Pulido: Es importante insistir en la importancia del pulido de la superficie dentaria tras la realización de cualquier tipo de procedimiento de eliminación de sarro (tartrectomía). De no ser así, se volvería a acumular nuevamente la placa y el sarro de manera aún más rápida y severa, favorecida por las rugosidades que pueden producirse al limpiar.
¿Cómo Prevenir la Formación de Sarro?
La prevención del sarro requiere constancia y una buena higiene bucal. La principal forma de evitar el sarro es manteniendo una higiene bucodental correcta. El sarro debe prevenirse diariamente mediante una correcta higiene bucodental.
Para reducir al mínimo la placa y evitar que se forme el sarro es necesario mantener una buena higiene bucal. Para ello, lo ideal es cepillarse los dientes después de cada comida, con un mínimo de dos veces al día. Pero debe hacerse de forma correcta y concienzudamente, sin olvidarnos del hilo dental o cepillos interproximales.
En concreto, una higiene oral completa debe incluir los siguientes cuidados personales:
- Cepillado correcto: Cepíllate los dientes al menos dos veces al día con un cepillo de cerdas suaves y una pasta dental con flúor. Los estudios demuestran que una correcta higiene oral es la mejor manera de prevenir la aparición de sarro.
- Técnica de Bass: Existen diferentes técnicas para la higiene dental. Una de las más eficaces y extendidas es la técnica de Bass, que permite eliminar adecuadamente el sarro en la zona gingival sin dañarla.
- Uso de hilo dental o cepillos interdentales: Para eliminar restos entre los dientes, donde no llega el cepillo. Los irrigadores bucales y los cepillos interdentales mejoran todavía más la limpieza.
- Limpieza de la lengua: También es importante limpiar la lengua, pues en ella se acumula gran cantidad de bacterias. Para limpiarla, hay que cepillarla varias veces desde la parte más interna hasta la punta.
- Utilizar dentífricos y colutorios con flúor: Ya que ayuda a evitar que la placa dental se endurezca y se transforme en sarro.
- Intentar no picar cosas dulces o beber zumos y refrescos entre horas.
- Limpiezas dentales regulares: Aunque sigas una rutina de higiene impecable, siempre quedará algo de placa que eventualmente se convertirá en sarro. Los tratamientos de limpieza profesional en la clínica eliminan una mayor cantidad de sarro. Por último, no olvides volver al dentista a los seis meses.
Recuerda cepillar los dientes después de cada comida y con una buena técnica de cepillado. Y por supuesto no olvides acudir de forma periódica a consulta.
Si notas que el sarro se acumula con frecuencia, es posible que necesites ajustar tu rutina de cuidado dental o buscar ayuda profesional.

| Medida | Descripción |
|---|---|
| Cepillado dental | Cepillar los dientes al menos dos veces al día con pasta dental con flúor. |
| Hilo dental | Usar hilo dental diariamente para limpiar entre los dientes y debajo de la línea de las encías. |
| Limpieza profesional | Visitar al dentista regularmente para limpiezas profesionales y exámenes. |
| Dieta | Limitar el consumo de alimentos y bebidas azucaradas. |
| Colutorios | Usar colutorios con flúor para ayudar a prevenir la formación de placa. |