Las encías negras u oscuras pueden tener diferentes causas y orígenes. Antes de desarrollarlo, nos gustaría aclarar que en muchos casos, tener las encías oscuras es algo completamente normal, que no compromete la salud bucodental, pero en otros, sí puede ser síntoma de que algo no va bien. Diagnosticar qué provoca el oscurecimiento y cómo ha sucedido determinará el tratamiento adecuado, si es que fuese necesario. Para ello, nadie mejor que un especialista para valorarlo.
Como hemos mencionado al principio de este post, lo primero que debes saber es que tener las encías negras u oscuras no tiene por qué ser malo ni significar que exista un problema. Rosadas, rojas, grises, oscuras, inflamadas, rugosas, lisas… el color y la textura de tus encías nos dice mucho sobre la salud de tu boca. Normalmente, cuando hay un cambio en la coloración de la encía, también aparecen otros síntomas, como inflamación, dolor, llagas y sensibilidad. Por lo que, si aparecen síntomas como estos, te sugerimos que te pongas en contacto con tu clínica dental de confianza para que evalúen tu caso y puedan determinar el mejor tratamiento para tu caso.
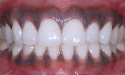
La apariencia natural debe ser de un rosa pálido, esto indica que hay una buena circulación y que tu salud bucal es correcta. Si cuando las miras ves que presentan un tono rojo muy oscuro, es posible que tengas alguna inflamación o incluso gingivitis.

¿Qué aspecto deben tener unas encías sanas?
Antes de nada, vamos a explicarte qué aspecto deben tener unas encías sanas. Encías rosa pálido o encía rosada: Las encías de color rosa pálido nos indican que todo va bien y que la encía está sana y cuidada. Encías color café o tostado: si tu piel es naturalmente de tono oscuro, tu encía también será más oscura. Encías rojas: las encías enrojecidas, con o sin inflamación, suelen ser síntoma de alguna infección. Encías blancas o blanquecinas: pueden tener varios orígenes, como la acumulación de placa bacteriana, la presencia de hongos o de una infección viral.Debido a la acción de las bacterias en la boca o por otro tipo de patologías, en ocasiones pueden volverse más roja de lo normal o incluso blancas.
Las encías están compuestas de un tejido duro, fibroso y sensible. Su tejido duro, fibroso y sensible sirve de unión entre los dientes y el hueso alveolar, por lo que su buen estado de salud es fundamental para dar soporte a las piezas dentales. Las encías son el tejido mucoso que rodea la cavidad oral, rodeando así todos los dientes. Esta encía forma parte del sistema de soporte del diente, realizando una barrera entre el hueso y el resto de la boca que de normal es de color rosa. Esta mucosa puede cambiar de color cuando se padece de algún tipo de problema como los citados anteriormente.
Un signo alarmante a priori, es el oscurecimiento de las encías. Los motivos de que las encías se vuelvan negras pueden ser de diferente índole.
Causas de las encías oscuras
Las encías oscuras, como decimos, pueden estar provocadas por diferentes causas. Generalmente, se vuelven oscuras cuando hay un aumento de melanocitos, conocido en nuestro campo como melanosis gingival. La melanina de la piel, presente también en el pelo o los ojos, también está presente en las encías y determina su color. En ocasiones, se produce una acumulación anormal de melanina que puede darles ese aspecto oscuro. Por lo tanto, las encías oscuras, en algunos casos, pueden significar algo y, en muchos otros, ser algo completamente natural, por lo que, en principio, no debes preocuparte. Lo que sí recomendamos es, que si notas una alteración rápida o severa en el color de tus encías, no lo dejes pasar y acudas a tu dentista habitual.
- Melanoplaquia: La melanoplaquia es una causa genética. Simplemente, hay personas que tienen una mayor cantidad de melanina en las encías, lo que hace que estas sean más oscuras o negras. La melanosis gingival de origen genético no compromete la salud de la boca, ya que solo implica que hay un mayor número de melanocitos que provocan este color de encías más oscuro. La herencia genética tiene, en ocasiones, una importante presencia en diferentes aspectos de la boca.
- Tabaquismo: Si hay un vicio o hábito dañino para salud y, concretamente, para la salud oral, ese es el tabaquismo. El tabaquismo puede causar una condición llamada melanosis del fumador, que surge como resultado de la exposición persistente a ciertas sustancias presentes en los cigarrillos. Las encías oscuras por fumar representan la mayoría de los casos de cambio de color en las encías. Los pacientes con gran adicción o que fuman desde hace muchos suelen presentar cambios de tonalidad en las encías, siendo la nicotina, la principal responsable. Manchas de nicotina: la acumulación de nicotina en las zonas que sujetan al diente estimula la cantidad de melanina, lo que hace que las encías se oscurezcan.
- Enfermedad Periodontal: Otra patología distinta son las encías oscuras por enfermedad periodontal. La periodontitis, llamada coloquialmente piorrea, es una enfermedad provocada por el exceso de placa bacteriana y sarro en la boca. Las enfermedades de las encías, como la gingivitis y la periodontitis, pueden tener efectos negativos en los dientes, así como afectar al color de las encías. Las encías se inflaman, sangran e incluso cambian de color, oscureciéndose. Además de afectar a la encía, afecta al hueso, provocando su destrucción y desencadenando así una movilidad o pérdida dental. La gingivitis y periodontitis pueden tener entre sus síntomas la aparición de manchas negras.
- Medicamentos: Determinados fármacos pueden tener como efecto secundario la hiperpigmentación de las encías y la aparición de manchas negras. Algunos medicamentos, como los anticonceptivos, pueden crear manchas negras en las encías. Determinados fármacos tienen, entre otros efectos secundarios, el oscurecimiento de las encías.
- Amalgama dental: Hace algunos años, la amalgama era el material más utilizado para realizar reconstrucciones o incrustaciones dentales. La amalgama de plata es un material fabricado con una mezcla de metales y que se ha utilizado durante décadas para realizar empastes dentales. Es posible, que con los años, quede un depósito de esta amalgama en las encías que crea una mancha oscura. Al rellenar una cavidad con un empaste de amalgama de plata, es posible que quede un depósito de esta amalgama en las encías, creando una mancha oscura. Manchas por amalgama: la amalgama es un material metálico que se empleaba hasta hace unos años en algunas restauraciones de dientes. Actualmente está prohibido debido a que tenía mercurio que podía ser peligroso para la salud.
- Lesiones: Las encías pueden lesionarse como cualquier otra parte de su cuerpo. Caerse de bruces, comer algo con bordes afilados e incluso cepillarse los dientes o usar hilo dental con demasiada fuerza puede dañar las encías. Estas lesiones suelen curarse por sí solas sin necesidad de tratamiento médico. Un golpe o lesión en las encías puede causar hematomas o áreas de color oscuro.
- Quistes de erupción: Cuando un diente está a punto de erupcionar, puede crear un quiste lleno de líquido. Ese quiste, a veces puede estar compuesto de sangre mezclada con líquido, lo que puede hacer que se vea morado oscuro o negro. Por lo general, desaparecen por sí solos después de que sale el diente.
- Nevus azul: Un nevus azul es un lunar inofensivo que es redondo y plano o ligeramente elevado. Por lo general, no necesitan tratamiento. Se trata de un lunar o tumor benigno provocado por la acumulación de melanocitos. Es poco habitual y normalmente tiene una coloración grisácea o negra, pasando por marrón claro o azulado. No obstante, es recomendable su seguimiento para descartar que se trata de otro tipo de mancha. Este tipo de lesiones pigmentadas también se presentan en la piel. Son de color azul oscuro o negro, redondeadas, y pueden tener algo de elevación. Aparecen como consecuencia de un problema en el desarrollo embrionario, aunque no tienen mayores repercusiones en tu salud.
- Melanoacantoma oral: El melanoacantoma oral es una afección poco común que hace que se desarrollen manchas oscuras en diferentes partes de la boca, incluidas las encías. Se desconoce la causa del melanoacantoma oral, pero parece estar asociado con lesiones causadas por la masticación o la fricción en la boca. Se trata de una lesión rara que aparece en la mucosa de la boca, los labios, el paladar o las encías. Microscópicamente se aprecia un depósito de melanocitos, las células que producen melanina.
- Cáncer oral: El cáncer dentro de la boca también puede causar encías negras. Si la mancha es cancerosa, se podrá extirpar quirúrgicamente si no se ha propagado. En este caso se trata de un tumor maligno que se presenta como una mancha oscura, aislada o solitaria, y suelen estar asociados a otros indicios como llagas, sangrado o hinchazón. Este tipo de patologías requieren de intervención médica urgente.
Existen determinadas condiciones sistémicas que causan manchas negras en las encías.

Tratamientos para las encías oscuras
Existen diferentes tratamientos que pueden solucionar el problema de las encías necrosadas o con manchas oscuras. Fundamentalmente, te hemos explicado los tratamientos más utilizados contra las principales causas de las encías negras (melanoplaquia, tabaco y medicamentos).
Sea cual sea tu caso, si buscas tratamiento o soluciones para las encías oscuras, consulta con tu odontólogo. Establecer el origen de la melanosis gingival es esencial para establecer un tratamiento efectivo. En la mayoría de los casos las manchas negras son un síntoma que se puede eliminar y tratar, pero son complejas de detectar en fases tempranas. Por eso, tus vistas regulares al dentista son una garantía para tu salud dental y la de tu familia.
El tratamiento para las encías negras depende de la causa subyacente. Si las encías están amoratadas e inflamadas, el tratamiento debe ser controlar la enfermedad periodontal. En este caso, el problema fundamental del paciente no es el estético, sino que está en riesgo la conservación de su dentadura. Gracias a estos tratamientos podrás recuperar la estética de tu sonrisa, pero además tu salud bucodental.
En el caso de las encías oscuras por malos hábitos, como ocurre con otro tipo de deterioros, el mejor tratamiento será la prevención. Solo tratando este oscurecimiento desde el origen, conseguiremos aclarar las encías y evitar daños mayores. En casos donde el oscurecimiento de las encías se debe al tabaquismo o al uso de ciertos medicamentos, el cambio de hábitos es fundamental. El caso del tabaco es el más complejo ya que exige del compromiso del paciente. En los casos relacionados con la genética, amalgama o ingesta de medicamentos se establecen diferentes tratamientos en función del tipo de y cantidad de manchas, pero siempre es una situación reversible.
⚫️¿Qué son estas MANCHAS NEGRAS en las ENCÍAS? - Melanosis gingival
Técnicas y procedimientos
- Microabrasión y peeling gingival: Este procedimiento se utiliza para eliminar la capa superficial de las encías y reducir la pigmentación oscura. Con ello, se retiran los pigmentos que han dado lugar a las encías negras. Al igual que la mucoabrasión, la despigmentación consiste en retirar la capa superficial de la encía para eliminar el exceso de pigmentación. La microabrasión y el peeling gingival son opciones seguras y efectivas para quienes desean mejorar la estética de sus encías. Consiste en utilizar una serie de productos químicos para eliminar la capa superficial del tejido gingival.
- Injertos de encía: En algunos casos, los dentistas pueden recomendar injertos de encía para cubrir áreas oscuras. Después de haber injertado el tejido en la zona a reparar, tendremos una encía negra alrededor del diente. Este procedimiento implica la colocación de tejido sano sobre las zonas afectadas, logrando un color más uniforme y natural en las encías.
- Terapia láser: La cirugía láser es uno de los tratamientos más recomendables contra las encías negras. El láser actúa en el exterior de la encía, en la última capa epitelial, que es donde se encuentra el exceso de melanocitos que producen la coloración, y consigue aclarar las encías en varios tonos. La terapia láser es otra opción para aclarar las encías. El láser permite eliminar las células pigmentadas sin dañar el tejido circundante. Al utilizar el láser, la intervención es mínimamente invasiva y tiene una recuperación muy rápida. Además, este procedimiento es mínimamente invasivo, por lo que el tiempo de recuperación suele ser corto. ¿Cómo funciona este tratamiento?
- Criocirugía: La criocirugía es uno de los tratamientos más novedosos para eliminar las manchas negras en las encías. Consiste en aplicar nitrógeno líquido directamente sobre las encías para congelar su capa superficial.
| Causa | Tratamiento |
|---|---|
| Melanoplaquia | Microabrasión, peeling gingival, terapia láser |
| Tabaquismo | Cesar el hábito, microabrasión, terapia láser |
| Enfermedad Periodontal | Tratamiento periodontal, terapia láser |
| Manchas por amalgama | Microabrasión, peeling gingival |