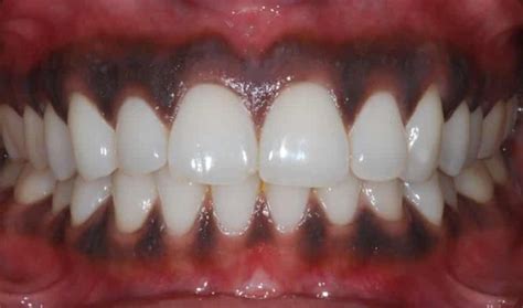
Si alguna vez has notado una mancha negra alrededor de tus encías, es posible que te hayas preocupado. Este problema, aunque no siempre es grave, puede ser indicativo de diversas condiciones orales. Es importante comprender los orígenes de este problema para tomar las medidas adecuadas.

Causas de las Manchas Negras en las Encías
Las manchas negras en las encías pueden ser causadas por una variedad de factores. Conocer sus causas y opciones de tratamiento es el primer paso para cuidar la salud y apariencia de tus encías.
1. Enfermedad Periodontal
Una de las principales causas de manchas negras es la enfermedad periodontal. Esta condición comienza con la gingivitis (inflamación de las encías) y puede avanzar a periodontitis si no se trata.
2. Consumo de Tabaco
El consumo de tabaco es otro factor que puede ocasionar encías negras. La nicotina y otras sustancias en los cigarrillos pueden causar una coloración oscura en las encías.
3. Medicamentos
Algunos medicamentos, como los que se usan para controlar la presión arterial o la epilepsia, pueden tener efectos secundarios que incluyen cambios en la coloración de las encías. Medicamentos como ciertos antidepresivos y anticonceptivos hormonales han sido documentados en la literatura como factores que pueden desencadenar cambios en la coloración.
4. Factores Genéticos
En algunos casos, las manchas negras en las encías pueden ser hereditarias. La genética juega un papel fundamental en el desarrollo de la melanoplaquia. Algunas personas tienen una predisposición natural a tener una mayor concentración de melanina, lo que puede resultar en encías más oscuras.
5. Melanoplaquia
La melanoplaquia es una condición caracterizada por la aparición de manchas oscuras en las encías y la mucosa oral. Estas manchas suelen ser el resultado de una acumulación de melanina, un pigmento natural del cuerpo. Entre las causas principales se encuentran factores genéticos, diferencias étnicas, ciertos medicamentos, hábitos como el tabaquismo o incluso materiales dentales.
6. Materiales Dentales
El uso de ciertos materiales dentales puede influir en la coloración de las encías. Una de las causas más frecuentes son los tatuajes metálicos, que se producen cuando las partículas de amalgama utilizadas en empastes dentales se trasladan a las encías, generando manchas visibles en el tejido gingival. Además de la amalgama, el uso de otros materiales dentales como ciertos compuestos resinosos y cemento dental también se ha asociado con cambios en la coloración de las encías.
7. Hábitos Cotidianos
Los hábitos cotidianos también desempeñan un papel crucial en la aparición de la melanoplaquia. El tabaquismo es uno de los factores más relevantes en la pigmentación de las encías. Ciertos alimentos y bebidas también tienen el potencial de manchar las encías. El consumo frecuente de productos con colorantes intensos puede resultar en una coloración no deseada.
Encías Negras: Causas y Soluciones | Sonríe con Confianza
Diagnóstico de la Melanoplaquia
El diagnóstico de la melanoplaquia es un proceso que requiere la atención meticulosa de profesionales dentales para asegurar que la condición se evalúe adecuadamente. Durante la revisión dental, el dentista llevará a cabo un examen visual exhaustivo de la cavidad oral. En muchos casos, no se requerirán pruebas complicadas. Sin embargo, el dentista también puede utilizar técnicas de iluminación especial para observar las encías con mayor claridad y determinar el grado de pigmentación.
En situaciones donde la pigmentación es significativa o presenta características atípicas, se puede recomendar una biopsia. La biopsia es fundamental para descartar enfermedades más graves, como lesiones malignas. La identificación de células anormales permite establecer un diagnóstico claro y desarrollar un plan de tratamiento adecuado. Es importante diferenciar la melanoplaquia de otras condiciones que pueden afectar el color de las encías.
La inflamación de las encías puede provocar cambios de color que no están relacionados con la melanoplaquia. La capacidad de un dentista para distinguir entre estas condiciones asegura que los pacientes reciban la atención adecuada.

Impacto Psicológico y Funcional
La melanoplaquia puede influir de manera significativa en la salud bucodental de los afectados. La presencia de manchas oscuras en las encías puede tener un efecto profundo en la psicología del individuo. Muchas personas experimentan ansiedad y disminución de la confianza debido a la imagen que proyectan. Investigaciones han demostrado que el bienestar emocional está íntimamente vinculado a la apariencia dental.
La estética dental juega un papel fundamental en cómo percibimos nuestras propias sonrisas y las de los demás. La melanoplaquia puede alterar drásticamente la apariencia de las encías, restando armonía al rostro. La pigmentación inusual puede causar que, al sonreír, la persona sienta que se ve menos atractiva.
Desde un punto de vista funcional, la melanoplaquia no suele presentar problemas graves para la salud dental. Sin embargo, puede ser un indicador de problemas subyacentes, como enfermedades periodontales. El deterioro estético puede llevar a tratamientos innecesarios que, aunque generalmente son efectivos, pueden resultar en molestias o complicaciones si no se abordan adecuadamente.
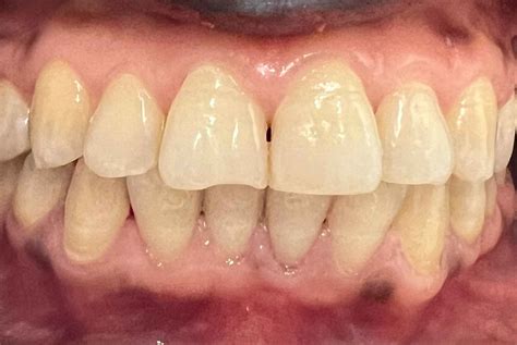
Tratamientos para las Manchas Negras en las Encías
Si notas una encía negra alrededor del diente, es importante abordar el problema lo antes posible. Existen diversas alternativas para tratar la melanoplaquia, enfocadas en mejorar la apariencia de las encías.
1. Limpieza Profunda de Encías
Si las manchas negras son causadas por una enfermedad periodontal, el tratamiento principal será limpiar a fondo las encías para eliminar la placa y el sarro. Esto incluye procedimientos como el raspado y alisado radicular, que ayudan a reducir la inflamación y prevenir la pérdida de encía.
2. Despigmentación de Encías
En casos más graves de hiperpigmentación, los pacientes pueden optar por un tratamiento estético llamado despigmentación de encías. Este procedimiento implica la eliminación de la capa externa de tejido gingival que está causando la mancha, y se realiza mediante técnicas láser o quirúrgicas.
3. Microabrasión
La microabrasión es una técnica menos invasiva diseñada para eliminar las capas superficiales de pigmento en las encías. Utilizando instrumentos específicos, se retiran las manchas de melanina que alteran el color normal de las encías. Este procedimiento suele requerir varias sesiones y la recuperación es rápida.
4. Despigmentación con Bisturí
Este método es más invasivo y consiste en la eliminación de las partes pigmentadas mediante un bisturí. Aunque es efectivo, la despigmentación con bisturí puede implicar un tiempo de recuperación mayor. Es fundamental que el procedimiento sea realizado por un profesional cualificado para minimizar riesgos. Durante la intervención, el dentista aplica anestesia local para que el paciente no experimente dolor. Se realiza una incisión en la zona afectada, retirando cuidadosamente la pigmentación. La recuperación puede implicar inflamación inicial y cierta incomodidad, pero generalmente se espera que los resultados sean visibles en unas pocas semanas.
5. Cirugía Láser
La cirugía láser se ha convertido en una opción popular para tratar la melanoplaquia debido a su menor invasividad. Este método utiliza un haz de luz para eliminar el tejido pigmentado con mucha precisión. La ventaja del láser radica en que provoca menos sangrado y dolor, además de permitir una recuperación más rápida.
6. Fresado
Esta técnica utiliza un material rotatorio para eliminar la capa superficial del epitelio donde se concentra la melanina. El fresado es un procedimiento menos invasivo y puede ser una buena opción para aquellos que buscan resultados inmediatos.
7. Mantenimiento de la Higiene Dental
Mantener una buena higiene dental es esencial para prevenir manchas y enfermedades. Asegúrate de cepillarte los dientes y encías al menos dos veces al día, usar hilo dental y realizar enjuagues bucales recomendados por tu dentista.
8. Productos Blanqueadores
Si las manchas negras se deben al uso de ciertos medicamentos, tu dentista podría recomendarte productos específicos para blanquear o mejorar la salud de tus encías.
La elección del tratamiento depende de varios factores, como la causa de la melanoplaquia, la profundidad de la pigmentación y la salud general de las encías. Es esencial que cada paciente se someta a una evaluación completa por parte de un dentista para determinar la estrategia más efectiva y segura.
Prevención de la Melanoplaquia
El tratamiento preventivo es clave para evitar que las manchas en las encías empeoren. La prevención de la melanoplaquia es fundamental para mantener una buena salud bucodental.
1. Higiene Bucal Adecuada
La higiene bucal adecuada es la primera línea de defensa contra la melanoplaquia.
2. Modificación de Hábitos y Estilos de Vida
Modificar ciertos hábitos y estilos de vida puede tener un impacto significativo en la salud bucodental. El tabaquismo es un factor de riesgo asociado con la pigmentación de las encías.
3. Visitas Regulares al Dentista
Visitar al dentista de manera regular es crucial para detectar cambios en la coloración de las encías y recibir tratamiento oportuno si es necesario.
Tabla Resumen de Causas y Tratamientos
| Causa | Tratamiento | Prevención |
|---|---|---|
| Enfermedad Periodontal | Limpieza profunda, raspado y alisado radicular | Higiene bucal rigurosa |
| Tabaquismo | Despigmentación, láser | Dejar de fumar |
| Medicamentos | Productos blanqueadores | Consultar alternativas con el médico |
| Melanoplaquia Genética | Microabrasión, cirugía láser | No aplica |
| Materiales Dentales (Amalgama) | Eliminación de partículas | Uso de goma dique durante procedimientos |

La encía negra alrededor del diente puede ser un signo de varios problemas bucales, desde enfermedades periodontales hasta el consumo de tabaco. Es fundamental acudir a un especialista para identificar la causa exacta y optar por el tratamiento adecuado. No es recomendable intentar eliminar las manchas negras sin la orientación de un profesional.
El tiempo de tratamiento depende de la causa y la gravedad de las manchas.