¿Te preocupa la aparición de sarro en los dientes tanto por salud como por estética? ¿Te causa mal aliento o molestias en las encías? El sarro dental, también conocido como cálculo dental o tártaro, es una acumulación endurecida de placa bacteriana que se forma en los dientes y puede producir uno de los problemas bucodentales más frecuentes.
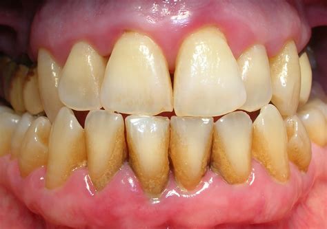
El sarro se distingue por su color, que puede ir de blanquecino a pardo. Además los problemas estéticos derivados de su aspecto desagradable, su presencia puede traer consecuencias negativas para la salud oral.

¿Qué es el sarro dental?
El sarro es la calcificación de la placa dental o bacteriana. Si no eliminamos la placa bacteriana de manera adecuada después de cada cepillado, se va calcificando y formando lo que conocemos como sarro. El sarro dental, también conocido como cálculo, no es más que la acumulación de placa bacteriana en nuestros dientes y encías. Es decir, es la mineralización y calcificación de la placa dental, a la que se irán adhiriendo bacterias orales y otras sustancias, como la saliva o el calcio, formando una capa dura y amarillenta.
El sarro dental es una capa de suciedad y residuos calcificados que se acumula en los dientes como consecuencia de una higiene oral insuficiente o ineficiente. Esta capa de suciedad también se puede amontonar en el borde o debajo de las encías, llegando a irritar los tejidos gingivales.
La placa es una película pegajosa compuesta por restos de comida, bacterias y saliva. Cuando no se elimina adecuadamente mediante el cepillado y el uso de hilo dental, la placa se mineraliza debido a los minerales presentes en la saliva, formando sarro. La acumulación de placa bacteriana se relaciona con diferentes problemas bucodentales. Las bacterias que se acumulan en los dientes después de las comidas forman una película que se conoce como placa bacteriana o biofilm oral.
El sarro está compuesto por bacterias calcificadas y depósitos minerales que no producen una respuesta inflamatoria per sé en la encía, pero tiene una superficie muy rugosa que favorece el acúmulo de bacterias que si producen una inflamación y un daño en la encía y en el hueso que sujeta los dientes. Estos cálculos son sobre todo fosfato de calcio, fosfato de magnesio y carbonato de calcio. Ten en cuenta que el sarro contiene bacterias.

Factores que influyen en la formación del sarro
Como hemos visto, el sarro se forma cuando la placa bacteriana se mezcla con saliva y restos de comida y se endurece. Esto puede ser el resultado de una mala higiene bucodental, pero no siempre es el caso. Otro factor que influye es el pH de la saliva, que varía según la persona. Por ejemplo, los pH que tienen un nivel de acidez alto debilitan más el esmalte dental, lo que nos hace más vulnerables a las caries. Los hábitos alimentarios también influyen en la aparición de sarro.
La acumulación de sarro en los dientes inferiores no es una coincidencia:
- Proximidad a las glándulas salivales: Los dientes inferiores, especialmente los incisivos y caninos, están muy cerca de las glándulas salivales submandibulares y sublinguales.
- Gravedad y flujo salival: La saliva tiende a acumularse en la parte inferior de la boca debido a la fuerza de la gravedad.
- Higiene dental inadecuada: Aunque el sarro puede formarse incluso con una buena higiene, una limpieza deficiente o irregular aumenta significativamente el riesgo.
- Dieta y estilo de vida: Una dieta alta en azúcares y carbohidratos procesados alimenta las bacterias que forman la placa.
- Factores genéticos y de salud: Algunas personas tienen una predisposición genética a producir más sarro debido a la composición de su saliva.
007 CÓMO SE PUEDE PREVENIR LA FORMACIÓN DE SARRO EN LOS DIENTES
Consecuencias del sarro dental en la salud bucodental
El sarro no es solo un problema estético; también tiene un impacto significativo en la salud de tus dientes y encías. La acumulación de sarro en los dientes, especialmente a nivel radicular, es nociva para los tejidos que lo rodean.
Las bacterias presentes en el sarro dental son capaces de provocar, de manera directa o indirecta:
- Caries: Las bacterias presentes en el sarro producen ácidos que deterioran el esmalte dental.
- Gingivitis: Inflamación de la encía. Cuando el sarro llega a la línea de la encía empiezan los problemas periodontales. Las encías se inflaman, se enrojecen y sangran con facilidad por la proliferación de bacterias. En una etapa inicial se conoce como gingivitis.
- Periodontitis: Pérdida del tejido gingival que sostiene al diente como consecuencia de la inflamación crónica de la encía. Podría considerarse como una de las peores consecuencias de la acumulación de sarro. Esta enfermedad pone en peligro la salud de la boca en general y puede causar el aflojamiento de los dientes.
- Halitosis: Un indicador de la presencia de sarro en los dientes, a diferencia de la placa bacteriana, es el mal aliento o halitosis. Los residuos y los efectos de las bacterias son el origen en muchas ocasiones de mal olor en la boca.
- Problemas digestivos: Existe una relación entre el sistema digestivo y la salud oral. Por lo tanto, la presencia de un mayor número de bacterias en la boca puede favorecer trastornos estomacales o intestinales.
¿Cómo se puede eliminar el sarro?
A diferencia de la placa bacteriana que se puede eliminar en casa, el sarro dental no puede eliminarse con un cepillado de dientes. Una vez que la película de suciedad y residuos se calcifica y se endurece, solo se puede eliminar mediante una limpieza profesional.
El sarro o cálculo dental tiene que ser eliminado en la clínica dental mediante una profilaxis dental profesional.
Existen diferentes métodos para quitar el sarro:
- Ultrasonidos: El empleo de ultrasonidos es especialmente útil cuando el sarro está ubicado por encima de la línea de las encías (unión del diente con la encía). Logran desprender el cálculo en fragmentos sin dañar la superficie dentaria. Es muy importante que el proceso sea profusamente refrigerado con agua, pues los ultrasonidos producen un aumento térmico que podría causar dolor y daño en la estructura dentaria. En primer lugar, el dentista hará uso de la punta de ultrasonidos para eliminar los depósitos de cálculo.
- Curetaje: Las curetas dentales son dispositivos manuales con formas muy variadas, de tal manera que consiguen adaptarse perfectamente a la superficie de los dientes. Permiten llegar bien a los espacios que hay en el surco de la encía. Allí se acumula el denominado sarro subgingival, especialmente nocivo para los tejidos gingivales al estar colonizado frecuentemente por patógenos periodontales muy dañinos. Sin embargo, cuando el sarro se acumula aparece por debajo de la encía (subgingival) es necesario proceder a la instrumentación subgingival o comúnmente conocida como curetaje.
- Fresas: Existen también fresas de diseños específicos para la eliminación de placa y sarro. Se acoplan a las turbinas y los motores dentales a diversas revoluciones.
- Aeropulverizadores: Los aeropulverizadores de polvo de glicina son de gran ayuda para eliminar la placa bacteriana y las manchas. Se trata de un método poco invasivo y muy efectivo tras la eliminación grosera del sarro con los métodos descritos en los puntos anteriores. Si el paciente presentase más resistencias, el odontólogo utilizará un aeropulidor con spray de bicarbonato.
- Pulido: Es importante insistir en la importancia del pulido de la superficie dentaria tras la realización de cualquier tipo de procedimiento de eliminación de sarro (tartrectomía). De no ser así, se volvería a acumular nuevamente la placa y el sarro de manera aún más rápida y severa, favorecida por las rugosidades que pueden producirse al limpiar. Posteriormente, el higienista empleará la seda dental, pasándola por todas las superficies de las piezas. Además, aplicará tiras de pulir y la pasta de profilaxis, que eliminarán cualquier mancha superficial.
La profilaxis es un proceso totalmente indoloro para el paciente, que no requiere de anestesia. No obstante, en ocasiones, una profilaxis puede no ser suficiente para eliminar todo el sarro dental, especialmente si se acumula debajo de la línea de la encía. En estos casos, la persona podría padecer periodontitis.

¿Cómo prevenir la formación de sarro?
Los estudios demuestran que una correcta higiene oral es la mejor manera de prevenir la aparición de sarro. Si bien el sarro no se elimina con una buena higiene mental, sí se previene con esta.
El sarro debe prevenirse diariamente mediante una correcta higiene bucodental:
- Cepillado: Recuerda cepillar los dientes después de cada comida y con una buena técnica de cepillado. Cepillado tras las comidas, de 2 a 3 veces al día, con especial atención en la remoción de la placa tras el sueño y el desayuno, y antes de irse a dormir por la noche. El cepillado debe ser enérgico, pero atraumático, con cepillos manuales con cerdas no agresivas o cepillos eléctricos. Se deben cepillarse correctamente todas las caras dentarias e, idealmente, debe hacerse siempre en el mismo orden para asegurarnos que quedan siempre todas las superficies barridas y limpias. Es imprescindible realizar un buen cepillado de los dientes, al menos durante un tiempo de 5 minutos. Los cepillos eléctricos tienen mayor efectividad de limpieza que los cepillos manuales.
- Hilo dental y cepillos interdentales: Los irrigadores bucales y los cepillos interdentales mejoran todavía más la limpieza. Complementar el ritual de limpieza, al menos en una ocasión al día, con higiene interdental. Se recomienda utilizar hilo dental, seda o cinta, y/o irrigadores. Usar hilo dental o cepillos interdentales para eliminar restos entre los dientes, donde no llega el cepillo.
- Técnica de Bass: Existen diferentes técnicas para la higiene dental. Una de las más eficaces y extendidas es la técnica de Bass, que permite eliminar adecuadamente el sarro en la zona gingival sin dañarla.
- Pasta de dientes con flúor: La pasta de dientes facilita la eliminación mecánica de la placa, pero la cantidad de pasta que se colocar en el cepillo debe ser siempre reducida (un guisante). Utilizar dentífricos y colutorios con flúor, ya que ayuda a evitar que la placa dental se endurezca y se transforme en sarro.
- Enjuagues bucales: Utilizar colutorios o enjuagues bucales puede ser muy útil cuando hay gingivitis, si bien no es, ni mucho menos, lo más importante.
- Dieta: Intentar no picar cosas dulces o beber zumos y refrescos entre horas.
- Limpiezas profesionales: Lo recomendable es acudir al dentista al menos una o dos veces al año para hacerse una limpieza completa de los dientes y un examen oral. Los tratamientos de limpieza profesional en la clínica eliminan una mayor cantidad de sarro. En general, se recomienda realizar una limpieza dental profesional o una instrumentación subgingival (curetaje) una o dos veces al año.
La prevención del sarro requiere constancia y una buena higiene bucal. Si notas que el sarro se acumula con frecuencia, es posible que necesites ajustar tu rutina de cuidado dental o buscar ayuda profesional.
