Ante la pérdida de varias piezas dentales, existen diferentes soluciones para recuperar las funcionalidades de la boca, desde la masticación al habla, como las prótesis. Si bien es cierto que existen varias opciones, las prótesis removibles, sobre todo al principio, pueden ocasionar una serie de problemas y molestias.
¿Has experimentado la incomodidad de tener prótesis dentales que se mueven? Si es así, estás en el sitio correcto. Muchas personas que usan prótesis dentales enfrentan este problema en algún momento.

Molestias Iniciales y Adaptación
Uno de los principales problemas de una prótesis removible reside en las molestias en la superficie de la boca sobre la que se asienta, principalmente las irritaciones en encías o llagas. Esto es algo completamente normal al principio de su uso y que generalmente se suele solucionar con el paso del tiempo.
Al no estar anclada a las encías y la mandíbula, los músculos en labios, mejilla y lengua tienen que aprender a sostenerla sin que se desencajen por algún movimiento. Al igual que sucede con las férulas, el hecho de tener una prótesis en la boca hace que utilicemos más las glándulas salivares, produciendo un exceso de salivación que puede llegar a ser bastante molesto. Por norma general, se trata de un proceso de adaptación a la prótesis y que tiende a equilibrarse con el paso del tiempo. De la misma manera, uno se puede acostumbrar a tragar con mayor frecuencia y que no suponga tanta molestia.

Tener un elemento externo dentro de la boca puede suponer una sensación extraña, ensanchándola, como si se tuviera la boca llena y todo lo que ello implica, como el empuje de los labios hacia fuera. De nuevo, estamos ante una cuestión de adaptación. Como puedes ver, muchas de estas molestias son perfectamente subsanables con el paso del tiempo.
Problemas Comunes y Soluciones
En el caso de que una prótesis no esté bien sellada, es probable que los restos de comida o de bebida se alojen en la parte posterior de la misma. Esta acumulación, de no llevarse a cabo una pormenorizada limpieza de la boca, hace que se produzca el mal aliento.
Hay varias razones por las que una prótesis fija dental puede moverse. Por ejemplo, una de las razones más comunes es el cambio en la forma de la mandíbula con el tiempo, lo que altera la forma en que las prótesis se ajustan y su capacidad para mantenerse en su lugar.
Otras causas incluyen:
- Pérdida ósea: Con el tiempo, la mandíbula puede experimentar pérdida de hueso debido a la falta de estimulación causada por la ausencia de dientes naturales.
- Desgaste de las prótesis: Con el uso diario, las prótesis dentales pueden desgastarse y perder su ajuste original.

Las prótesis dentales móviles pueden tener varias consecuencias incómodas y limitantes para quienes las utilizan.
- Dificultad para comer: Las prótesis dentales móviles pueden causar inestabilidad al masticar alimentos, lo que dificulta la capacidad de comer alimentos más duros o pegajosos.
- Cambios en el habla: Las prótesis dentales móviles pueden afectar a la pronunciación y al habla, especialmente si se desplazan durante la conversación.
- Autoestima afectada: Sentir la inseguridad de que las prótesis dentales se muevan puede tener un impacto negativo en la autoestima y la confianza.

Implantes Dentales como Solución
Muchos pacientes vienen a la clínica con dudas sobre si son mejores las prótesis o los implantes. En este sentido, un implante dental ofrece numerosos beneficios en comparación con otras opciones de reemplazo dental, como son las prótesis móviles.
Los implantes dentales son estructuras de titanio que se utilizan para reemplazar las raíces de los dientes naturales perdidos. Estas pequeñas piezas se colocan quirúrgicamente en el hueso de la mandíbula o el maxilar y se integran de manera natural con el tejido óseo a través de un proceso llamado osteointegración.
Beneficios de los implantes dentales:
- Aspecto natural: Los implantes dentales se integran de manera segura en el hueso, lo que les da un aspecto y una sensación muy naturales.
- Preservación del hueso: Un implante fijo estimula el hueso de la mandíbula o el maxilar de manera similar a las raíces naturales de los dientes.
- Durabilidad a largo plazo: Colocar implantes dentales en toda la boca es una decisión a largo plazo. Los implantes dentales están diseñados para durar muchos años, e incluso pueden durar toda la vida con los cuidados adecuados.

Los implantes dentales ofrecen una mayor comodidad, ya que se integran de manera firme y estable en el hueso, consiguiendo una sensación similar a la de los dientes naturales. Es frecuente que las prótesis dentales ejerzan algo de presión sobre las encías y el hueso subyacente, lo que puede causar reabsorción ósea y pérdida de tejido periodontal. Por el contrario, los implantes dentales proporcionan una solución más estética y funcional, ya que se diseñan y personalizan para que se integren de manera armoniosa con los dientes naturales adyacentes.
Implantes Dentales: La Solución Definitiva para Dientes Perdidos
Transición de Prótesis a Implantes
La transición de prótesis a implantes dentales es un paso importante para aquellos que desean reemplazar sus prótesis removibles por una solución más permanente y funcional. Antes de iniciar el proceso de transición, es necesario realizar una evaluación dental exhaustiva. En esta etapa, los dentistas evaluamos la salud bucal del paciente, incluyendo la cantidad y calidad del hueso disponible, la condición de las encías y los dientes adyacentes.
Una vez que se ha determinado que el paciente es un buen candidato para los implantes dentales, se procede a la instalación de los mismos. Después de la instalación de los implantes fijos, es importante seguir las indicaciones del dentista para garantizar una buena recuperación y mantener la salud a largo plazo. Esto puede incluir cuidados posteriores, como la toma de medicamentos recetados, el seguimiento de una dieta blanda durante el período de cicatrización y la práctica de una buena higiene bucal.

¿Tienes una prótesis dental y estás pensando en sustituirla por implantes en toda la boca? En Clidecem contamos con odontólogos especializados en implantología dental que pueden guiarte a lo largo de todo tu proceso de transición y garantizarte el resultado que buscas y mereces.
Prótesis Dentales Mal Adaptadas
La colocación de una prótesis dental supone, para muchas personas, una mejora notable en su calidad de vida: permite recuperar la función masticatoria, hablar con confianza y volver a sonreír sin complejos. Sin embargo, cuando una prótesis dental no está bien adaptada puede traer consecuencias indeseadas, tanto en la boca como a nivel general.
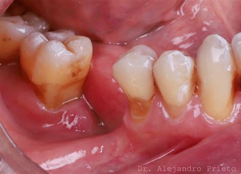
Las prótesis dentales fijas, tanto sobre implantes como sobre dientes naturales, suelen ofrecer resultados muy satisfactorios. No obstante, cuando hay una mala adaptación pueden aparecer complicaciones que afectan función, estética y salud. Una de las primeras señales es la sensación de que la prótesis «no encaja bien». Un ajuste imperfecto genera puntos de presión que, con el tiempo, producen úlceras, dolor localizado y dificultad para mantener una higiene adecuada.
Si la prótesis no está sellada correctamente, se produce filtrado de alimentos y bacterias entre la prótesis y el diente o tejido subyacente. Cuando la distribución de la carga masticatoria no es equitativa, el paciente puede sentir dolor al masticar o evitar ciertos alimentos por incomodidad. Una prótesis mal adaptada puede notarse al hablar o al sonreír: movimientos inesperados, cambios de posición o una apariencia poco natural.
Buscar un profesional de confianza es el primer paso. Aunque hoy en día existen muchos recursos en internet, cada boca es diferente y necesita un análisis individualizado. Un especialista en prótesis dentales podrá examinar cómo encaja la prótesis, si hay zonas de presión excesiva, cómo están los dientes vecinos y si los tejidos blandos presentan signos de irritación o inflamación.
En muchos casos, basta con realizar ajustes en consulta o en el laboratorio dental. Esto puede incluir limar pequeñas áreas que generen presión, rellenar huecos o modificar la oclusión para que la prótesis se adapte mejor a la boca. Sin embargo, si la prótesis tiene muchos años, presenta desgaste o el paciente ha experimentado cambios anatómicos en la boca, puede ser recomendable renovarla o reemplazarla por completo.
Mantenimiento y Revisiones
Las revisiones periódicas y el mantenimiento programado son clave para el éxito a largo plazo. Durante estas revisiones, el profesional puede detectar problemas incipientes antes de que aparezcan molestias importantes. Es importante también conocer cuándo se debe solicitar atención urgente. Situaciones como dolor agudo, inflamación progresiva, sangrado que no cede, pérdida de piezas dentales o movilidad significativa de la prótesis requieren atención inmediata.
Las causas de una mala adaptación son variadas. Entre las más comunes están impresiones poco precisas, errores en el laboratorio, desgaste natural de la prótesis, cambios en la estructura ósea tras extracciones o enfermedades periodontales y una higiene deficiente. También influye la falta de revisiones periódicas y el uso prolongado sin mantenimiento.
Sí, muchas de estas complicaciones son prevenibles con buenas prácticas desde el inicio: elegir profesional cualificado, mantener controles periódicos, cuidar la higiene y atender cualquier molestia temprana.
Higiene y Cuidados
Las prótesis dentales requieren un control periódico para garantizar su buen estado y la salud de la boca. En estas visitas, comprobamos el ajuste, la estabilidad y el desgaste de la prótesis, además de valorar el estado de las encías y dientes naturales, en caso de que los haya.
Mantener una higiene adecuada es fundamental: cepilla los dientes y la prótesis con un cepillo suave, utiliza seda dental o cepillos interproximales donde corresponda y en prótesis removibles limpia la base con productos recomendados por tu dentista. Recuerda que una mala adaptación no es normal, y prolongar su uso puede ser perjudicial.
Si la prótesis es antigua, está desgastada o se han producido cambios anatómicos en la boca, puede ser recomendable renovarla. Las revisiones periódicas y el mantenimiento programado son clave para prolongar la vida útil de la prótesis y detectar problemas antes de que causen molestias.
Tipos de Prótesis Removibles
La prótesis dental removible es la alternativa más económica y menos invasiva para la reposición de las piezas dentales perdidas o en mal estado. Una prótesis dental removible es una estructura que se puede retirar de la boca para su limpieza diaria o para realizar ajustes o reparaciones. Este tipo de prótesis puede colocarse sobre implantes, ir sujeta a los dientes a través de una serie de elementos o apoyadas en la encía.
Tipos de prótesis removibles:
- Prótesis parcial removible: Se utiliza para reponer una o varias ausencias dentales cuando existen dientes sanos en los que poder fijar la estructura dental. En este caso la prótesis se sujeta en las piezas dentales que el paciente conserva en buen estado.
- Prótesis removible completa: Sustituye todas las piezas dentales de una arcada o de las dos, en caso de edentulismo total (pérdida de todas las piezas naturales).
Materiales de prótesis removibles:
- Esquelética
- Acrílica
- Termoplástica: Material termoplástico de gran flexibilidad y resistencia a las fracturas.
Beneficios de la Reposición Dental
Con la reposición de las ausencias dentales se obtienen múltiples beneficios. Es posible que se vean los ganchos metálicos sobre los dientes remanentes. En Oris te facilitamos toda la información que necesitas para recuperar las piezas dentales que te faltan con una prótesis dental removible o fija.
La colocación de una prótesis dental removible generalmente no es dolorosa. Durante el proceso, el dentista toma medidas de la boca para asegurar que la prótesis se ajuste adecuadamente, lo cual es un procedimiento no invasivo y sin dolor. Al principio, puede haber una sensación de incomodidad o extrañeza mientras te acostumbras a llevar la prótesis. Algunos pacientes experimentan irritación leve o aumentan la producción de saliva temporalmente. Sin embargo, estos síntomas suelen desaparecer a medida que te habitúas a la prótesis.
Cuidados Específicos
En el periodo de adaptación, es común sentir:
- Rozaduras/llagas en la encía o mucosa yugal derivadas de la masticación.
- Molestias al masticar.
- Prestar mayor cuidado a la limpieza de las partes metálicas. Su odontólogo le brindará la mejor manera de cuidar de estas partes.
Si tienes manchas y te gustaría eliminarlas, nuestro equipo se encargará de planificar tu tratamiento para conseguir un resultado impecable.
Información del Autor: Dra. Marta Herrero, Médico Odontólogo, Especialista en Estética Dental, Carillas y Microcarillas. Especialista en Odontología Estética.
| Problema | Causa Común | Solución |
|---|---|---|
| Irritación de encías/llagas | Adaptación inicial de la prótesis | Tiempo, ajustes del dentista |
| Exceso de salivación | Adaptación inicial a la prótesis | Tiempo, adaptación del cuerpo |
| Mal aliento | Acumulación de restos de comida | Higiene bucal exhaustiva |
| Prótesis que se mueve | Cambios en la mandíbula, pérdida ósea, desgaste | Ajustes, implantes dentales |
| Mala adaptación | Impresiones imprecisas, errores de laboratorio | Ajustes, renovación de la prótesis |
tags: #problemas #protesis #dentales #removibles