El bruxismo es una afección muy común que se caracteriza por el hábito involuntario de apretar y/o rechinar los dientes, tanto de día como de noche. El bruxismo es el hábito involuntario de apretar y/o rechinar los dientes, lo que puede ocurrir tanto de día como de noche y afectar a niños y adultos. Esta costumbre ejerce una presión excesiva sobre la musculatura de la mandíbula y deriva en una sobrecarga de la dentadura.
Aunque muchas personas no se dan cuenta de que lo padecen, los efectos del bruxismo pueden ser bastante evidentes con el tiempo: dolor mandibular, desgastes en los dientes, sensibilidad dental y cefaleas.
Si tu sufres de bruxismo puede que ni siquiera lo sepas, y que hasta que alguien que convive contigo, no te comente que te ha escuchado rechinando los dientes por la noche, tu no te enteres.

Tipos de Bruxismo
Generalmente, el bruxismo se clasifica en dos tipos, en función del momento del día en que ocurre: bruxismo diurno y bruxismo nocturno.
- Bruxismo Diurno: Suele estar relacionado con el estrés y la ansiedad.
- Bruxismo Nocturno: Es el tipo más común de bruxismo y ocurre durante el sueño. Este tipo de bruxismo puede ser más difícil de detectar, ya que el individuo no siempre es consciente de sus acciones. Ocurre durante el sueño y puede estar asociado con trastornos del sueño como la apnea.
¿Por qué aparece el bruxismo?
El bruxismo es multifactorial y en la actualidad no se sabe a ciencia cierta su origen. El bruxismo no tiene una única causa, sino que suele ser el resultado de una combinación de factores físicos y psicológicos. El bruxismo puede ser causado por una combinación de factores físicos, psicológicos y genéticos.
Estas son algunas de las causas más comunes:
- Estrés crónico y ansiedad: Uno de los principales desencadenantes del bruxismo es el estrés emocional. El estrés activa el eje hipotálamo-hipófiso-adrenal, elevando cortisol y disparando episodios de bruxismo.
- Maloclusión dental: Aunque menos influyente que se pensaba, una oclusión conflictiva puede desencadenar tensión muscular y rechinamiento. Una alineación incorrecta de los dientes, conocida como maloclusión, puede causar bruxismo. Una mala oclusión aumenta el grado ,la intesidad y las consecuencias del bruxismo, por lo cual una revisión por parte de un especialista en ortodoncia puede daros soluciones para mejorar este punto, con una oclusión perfecta las fuerzas bucales se reparten de una manera uniforme y estable en la boca haciendo que todos los musculos, piezas dentales y estructuras fáciles que intervienen sufran menos desgaste. Para mí la ortodoncia es mucho más que alinear dientes y trabajo cada día por conseguir la excelencia y estabilidad en los tratamientos que realizamos en nuestra clínica. Me apasiona lograr armonía en todo el sistema masticatorio hasta el último detalle, me mantengo en constante formación, innovando en técnicas y a su vez soy formador de otros profesionales que buscan llevar su práctica al próximo nivel.
- Hábitos posturales: Apretar la mandíbula inconscientemente durante el día o mantener tensión en cuello y hombros puede perpetuar el hábito.
- Consumo de estimulantes: Cafeína, tabaco o alcohol aumentan la alerta simpática y la incidencia de episodios de bruxismo, incluso multiplicando por 6 el riesgo con alcohol. Limita café, tabaco y alcohol, sobre todo antes de dormir.
- Trastornos del sueño: Microdespertares o apneas pueden desencadenar episodios de bruxismo durante el sueño. El bruxismo está relacionado con alteraciones del sueño como el ronquido o la apnea del sueño.
- Factores Genéticos: El bruxismo puede ser heredado.
¿Cuáles son los síntomas del bruxismo?
El bruxismo puede manifestarse con una variedad de síntomas que afectan tanto la boca como otras partes del cuerpo.
- Dolor en la mandíbula, cara o cuello al despertar
- Cefaleas tensionales matutinas o al final del día
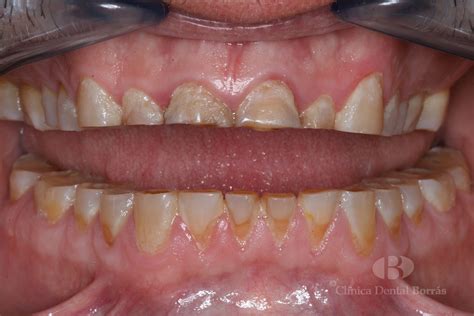
- Dientes con desgaste, grietas o fracturas
- Sensibilidad dental (frío/calor)
- Ruidos al mover la mandíbula o al bostezar
- Sueño interrumpido o poca calidad del descanso
- Rechinar detectado por la pareja o familiares
- Dolor muscular, de cabeza, cuello, oido y/o de ATM: recuerda, somos un toso, todo el aparato masticatorio y lo que lo rodea sufre por la contraccion con excesiva fuerza de los musculos.
Muchas personas con bruxismo nocturno no lo detectan hasta que el dentista lo observa durante una revisión.
¿Qué consecuencias tiene el bruxismo?
- Desgaste dental progresivo: planos de desgaste, fracturas, astillamientos.
- Sensibilidad o retracción gingival, por presión excesiva.
- Dolor crónico en mandíbula, cuello o cabeza (cefalea tensional, migraña).
- Trastornos temporomandibulares (TMD): crujidos, bloqueo, limitación articular.
- Alteraciones del sueño.
- Impacto en restauraciones dentales: fracturas o fallos en puentes, coronas o empastes recurrentes.
- Problemas con implantes dentales: El bruxismo puede suponer una amenaza directa para el exito de los tratamiento con implantes dentales.
- Problemas en niños: reducción del rendimiento cognitivo, conducta ansiosa o depresiva si no se interviene temprano.
Diagnóstico del bruxismo
El dentista realizará un examen físico para detectar signos de desgaste dental, sensibilidad y dolor en la mandíbula.
A la hora de diagnosticar el bruxismo es muy importante observar el estado de las piezas bucales para comprobar su desgaste y el aumento de la musculatura. Unos de los principales signos de alarma y por los que el paciente suele acudir a consulta son el dolor en la mandíbula y de cabeza.

Tratamientos eficaces para el bruxismo
Bruxismo, 😬 ¿Qué es y cómo curarlo? ✅ - Odontología Láser.
¡La buena noticia es que el bruxismo se puede controlar eficazmente! Y cómo puedes hacerlo, conociendo las opciones que tienes: El tratamiento del bruxismo y sus consecuencias requiere un enfoque multidisciplinar.
- Férula de descarga rígida: La solución más común y efectiva es el uso de una férula de descarga, un dispositivo de plástico transparente que se coloca sobre los dientes superiores o inferiores durante la noche. Protege los dientes, relaja la musculatura y reduce hasta un 70 % la actividad muscular durante la noche. El principal tratamiento que se recomienda para combatir este hábito es la utilización de férula de descarga. Hay que dejar claro a los pacientes que la ferula o «placa de descarga» no elimina el bruxismo, sino que protege y previene desgastes en los dientes, e incluso en algunos casos protege musculos y articulacion de los posibles danos al apretar tan fuertemente los dientes. Las férulas y los protectores bucales son dispositivos que se colocan en la boca para proteger los dientes del desgaste.
- Revisión y corrección de la mordida: Ortodoncia o ajuste oclusal si hay maloclusión relevante.
- Control del estrés y apoyo psicológico: Mindfulness, respiración, terapia conductual, especialmente en bruxismo diurno.
- Fisioterapia y osteopatía: Masajes, estiramientos y ejercicios para aliviar tensión mandibular.
- Infiltraciones de toxina botulínica (Botox): Mediante la infiltración de una neurotoxina en los músculos maseteros, mejorando de forma espectacular y combatiendo las secuelas y alteraciones del bruxismo. Efectivas en reducir dolor y fuerza mandibular 3‑4 meses.
- Si el bruxismo es diurno: ser consciente de cuando lo haces, (generalmente aparece en momentos de concentracion, estres o ansiedad) y aprender a relajar los musculos de tu cara. Un ejercicio recomendable es poner la punta de la lengua en el paladar, justo detrás de los dientes.
¿Qué puedes hacer para prevenirlo?
- Limita café, tabaco y alcohol, sobre todo antes de dormir.
- Evita chicles duros o alimentos resistentes.
- Practica relajación al acostarte (respiración, meditación).
- Cuida postura y realiza ejercicio de cuello/mandíbula.
- Acude al dentista ante cualquier síntoma inicial.
¿Te has sentido identificado?
Muchas personas no saben que sufren bruxismo hasta que un dentista, como los nuestros en nuestra clínica dental en Moratalaz, lo detecta en una revisión.
El bruxismo es un problema más común de lo que pensamos, y sus consecuencias pueden ser graves si no se tratan a tiempo. Si crees que podrías estar apretando o rechinando los dientes, no esperes a que los síntomas empeoren. Cuida tu sonrisa y tu salud.