Las carillas dentales son uno de los tratamientos estéticos más demandados en la actualidad, tanto por su sencillez como por su eficacia. Hablar hoy en día de estética dental es, sin duda, hablar de carillas dentales. Las carillas dentales constituyen uno de los tratamientos de estética más demandados y efectivos.
Las carillas dentales son láminas delgadas, generalmente fabricadas en porcelana o resina compuesta, que se colocan sobre la parte frontal de los dientes. Las carillas dentales son unas finas láminas que se colocan en la superficie frontal de los dientes con la finalidad de mejorar su aspecto. Su principal objetivo es mejorar el aspecto de los dientes, ya sea para modificar el tamaño, el color, la forma o la posición de algunas piezas dentales.
Por tanto, su objetivo no es el de mejorar la funcionalidad de las piezas dentales, sino el de darles un aspecto más armónico, bonito y natural. Las carillas dentales sirven para solucionar los desperfectos que puedan dañar la parte exterior de la pieza dental como por ejemplo, fracturas o variaciones de la coloración y forma dental, al tiempo que consiguen proporcionar una sonrisa sana, y bonita con un acabado muy natural.

Las carillas dentales permiten solucionar las pequeñas imperfecciones que afectan al color, la forma, el tamaño y la posición de tus dientes.
¿Quién puede llevar carillas dentales y cuándo se recomiendan?
Las carillas dentales son adecuadas en una gran cantidad de situaciones y permiten corregir multitud de defectos estéticos en los dientes. Sin embargo, antes de llevar a cabo este tratamiento es necesario realizar un estudio bucodental para comprobar que el paciente es apto para llevar carillas. Mediante dicho estudio inicial, los dentistas comprueban si la persona tiene los dientes y las encías en un buen estado de salud.
A continuación, te detallamos los casos concretos en los que puede resultar recomendable ponerse carillas para mejorar la apariencia de la sonrisa:
- Dientes amarillos o con manchas: las carillas se pueden utilizar en pacientes que presentan dientes amarillos, decolorados o con manchas.
- Resistencia al blanqueamiento dental: las carillas son un excelente complemento al blanqueamiento.
- Dientes desalineados: las carillas también pueden ofrecer un buen resultado estético a los pacientes que tienen ligeras malposiciones dentales, ya que en ocasiones permiten disimularlas.
- Dientes con formas o tamaños irregulares: las carillas se utilizan para corregir pequeños defectos que afectan a la forma de los dientes.
- Diastemas: las carillas también están recomendadas para disimular los diastemas o espacios entre los dientes.
- Dientes desgastados: las carillas se pueden colocar en dientes que presentan desgastes en el esmalte.
- Dientes fisurados o fracturados: las carillas también pueden estar indicadas en determinados casos de fisuras o fracturas leves en los dientes.
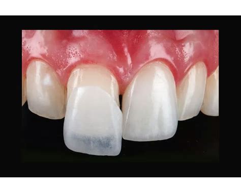
Carillas dentales - ¿Cómo se preparan y se colocan? Porcelana y resina o composite ©
Tipos de carillas dentales
Existen diferentes tipos de carillas dentales en función del material y la técnica empleados en su confección. Cada una de ellas tiene sus ventajas, y la elección dependerá del caso concreto y las necesidades del paciente. Vamos a clasificarlas según el material del que están fabricadas, así, podremos encontrar tipos como las carillas de porcelana o las carillas de composite entre otras.
Carillas de porcelana, disilicato de litio y zirconio
De este tipo vas a encontrar carillas ultrafinas, que son las que ofrecen más calidad y duración. De hecho, este es el material más demandado en la mayor parte de clínicas dentales. Se emplea porcelana inyectada para su fabricación, esto hace que tengan mucha resistencia y, por tanto, durabilidad, lo que al final es importante. Visualmente, las carillas de porcelana, presentan un color y apariencia más natural y parecida al esmalte y son altamente resistentes.

Tienen un grosor similar a una lentilla, manteniéndose entre los 0,3 y 1 mm. Este tamaño pequeño hace que no sea necesario ningún proceso de limado del diente para colocarla. Aunque si es posible que, dependiendo del caso, sea necesario un pequeño contorneado del diente.
El circonio es otro material que se emplea en la fabricación de estas, este tipo de carilla se usa en momentos puntuales, pero tienen una gran utilidad estética. El grosor y la opacidad son mayores que las ultrafinas. Este tipo de carillas se usan si el paciente tiene un perno metálico que no se puede quitar. La mayor ventaja es el aspecto natural que da.
Carillas de composite
Este tipo de carillas dentales se usan mucho, tienen también una buena resistencia y un buen resultado estético, aunque son más frágiles. De ahí que puedan ser más económicas. El composite se aplica directamente sobre el diente, normalmente en una única sesión.
Este tipo se recomienda cuando se trata de una corrección muy sencilla o en el caso de niños pequeños, es decir, antes de los 18 años. Se trata de carillas dentales que son hechas a base de una resina acrílica que funciona como matriz. Tienen las ventajas de no requerir excesiva preparación en los dientes y que el proceso de colocación es rápido.

Procedimiento para colocar las carillas dentales
Dado que existen distintos tipos de carillas dentales, cada una de ellas sigue un protocolo de colocación específico. Sin embargo, todas comparten los principales pasos del proceso.
- Estudio bucodental completo: consta de una exploración oral y la realización de radiografías (panorámicas y periapicales) y fotografías (intraorales y extraorales).
- Preparación de los dientes: con algunas carillas hay que realizar una mínima reducción del esmalte dental. Este paso suele ser necesario en las carillas de porcelana, pero no en las de composite.
- Toma de impresiones: tras preparar los dientes, en el caso de que haya que hacerlo, se toman medidas de los mismos para confeccionar las carillas de manera personalizada.
- Fabricación de las carillas: la confección puede realizarse directamente en la clínica dental (en el caso de las de composite) o encargarse al laboratorio (en el caso de las de disilicato de litio).
- Colocación de las carillas: en función del proceso de confección, la técnica de colocación también varía. Las carillas de composite se crean directamente sobre el diente, en una sesión en la clínica dental. En cambio, las carillas mínimamente invasivas (disilicato de litio) se fabrican en el laboratorio y posteriormente se colocan en la clínica dental.
Duración de las carillas dentales
La duración de las carillas dentales está determinada por diversos factores, como los cuidados que siga el paciente en cuanto a higiene oral, alimentación, tabaco, revisiones con el dentista, etc. Adicionalmente, la durabilidad del tratamiento también depende del material con el que están fabricadas las carillas y de la técnica de colocación (directa o indirecta). Por ello, no resulta posible determinar de antemano cuánto tiempo duran las carillas dentales. Lo que sí podemos decirte es que, con unos cuidados y unos mantenimientos adecuados, son un tratamiento pensado para durar a largo plazo.