El término estomatitis se emplea para describir una patología bucal bastante común, caracterizada por la aparición de úlceras. La estomatitis es el término general para describir una boca inflamada, dolorida y con presencia de úlceras bucales. La estomatitis, también conocida como gingivoestomatitis, es una inflamación de la mucosa que reviste el interior de la boca y las encías.

Puede aparecer en cualquier parte de la cavidad oral -tanto en el interior de las mejillas como en las encías, la lengua, los labios o el paladar-, motivo por el cual puede llegar a dificultar la capacidad para hablar o comer. Cuando la estomatitis ataca, es difícil pensar en otra cosa. Se vuelve imposible evitar que tu lengua pase sobre las pequeñas lesiones en tus mejillas, lengua o labios, a pesar del dolor que provoca. La salud de tu boca realmente puede afectar tu calidad de vida y cómo te relacionas con las personas a tu alrededor: cuando duele, no quieres reír, sonreír, comer o incluso besar. Puede causar vergüenza y hacerte sentir incómodo con familiares y amigos.
¿Qué es la Estomatitis?
La estomatitis es una irritación e inflamación que se localiza en la boca y cuyas causas pueden estar relacionadas tanto con infecciones virales o bacterianas, reacciones alérgicas o efectos secundarios ante determinados fármacos. Se entiende por estomatitis la inflamación de la mucosa que aparece en cualquiera de las estructuras de la boca. Puede afectar a la lengua, las encías, el paladar, la cara interna de las mejillas, los labios e, incluso, a la garganta. Genera dolor y molestias, que dificultan los actos de masticar, tragar, hablar e incluso bostezar. Como sabes, la integridad de las mucosas orales facilita las funciones respiratoria y digestiva.
Aunque suele relacionarse con las úlceras orales, estas no siempre están presentes, y es que puede haber otros síntomas. Labios enrojecidos, lengua blanca, ampollas, pequeñas úlceras, manchas de sangre en el interior de las mejillas, cursando dolor, labios agrietados y dificultad para tragar. Hay situaciones graves en las que la estomatitis puede causar la inflamación de los ganglios linfáticos del cuello, fiebre o sensación de malestar. Esta es una sintomatología de alarma que debe ser valorada, cuanto antes, por un profesional. Pues, el paciente puede llegar a deshidratarse por tener dificultades para beber o comer.
Tipos de Estomatitis
Los diferentes tipos de estomatitis son:
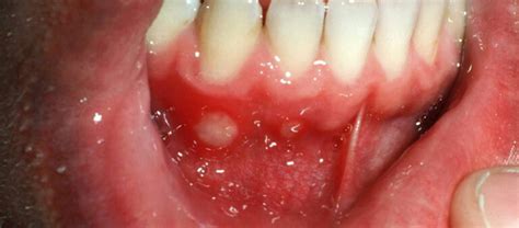
- Estomatitis aftosa: es la forma de aparición más frecuente de la estomatitis. La estomatitis aftosa se caracteriza por pequeñas úlceras redondas u ovaladas (conocidas como aftas), que pueden aparecer en las mejillas, lengua, paladar o alrededor de la base de las encías. Estas úlceras pueden aparecer individualmente o en grupos. Son blancas en el centro, enrojeciéndose hacia el borde exterior. Se caracteriza por la presencia de úlceras blancas o amarillentas con un anillo externo rojo. Con la estomatitis asociada a Candida albicans, el síntoma más característico es una capa blanca que cubre la lengua y las mejillas. El dolor y las sensaciones de ardor en la mucosa oral pueden dificultar la deglución y afectar el sentido del gusto.
- Estomatitis herpética: En este caso, se caracteriza por la aparición de llagas llenas de pus situadas en los labios o sus alrededores. Se caracteriza por la presencia de llagas llenas de líquido que se producen en o alrededor de los labios. Rara vez se forman en las encías o en el paladar. La estomatitis herpética es desencadenada por el mismo virus que causa el herpes labial, el virus del herpes simple tipo 1. A diferencia de la estomatitis aftosa, la estomatitis herpética es altamente contagiosa.
- Estomatitis angular: También conocida como queilitis angular es una condición que causa manchas rojas e inflamadas en las comisuras de la boca donde los labios se juntan y forman un ángulo. También conocida como queilitis, produce la inflamación de la comisura de los labios, provocada por la aparición de manchas rojas. En este tipo de estomatitis aparecen manchas rojas e inflamadas en la zona en la que se unen los labios y forman un ángulo (en la comisura).
- Estomatitis subprotésica: lesiones que aparecen en el área de soporte de las prótesis, habitualmente paladar duro o reborde óseo mandibular.
- Estomatitis medicamentosa: los síntomas de la estomatitis aparecen después de consumir antibióticos, AINEs, entre otras posibilidades.

Causas de la Estomatitis
Las causas que pueden llevar a sufrir estomatitis son muy variadas, pudiendo afectar a cualquier edad, incluso bebés. Hay muchos factores que te ponen en riesgo de estomatitis, aunque el mecanismo no se conoce completamente. A nivel de la mucosa oral, existen numerosos microorganismos que, por diversas razones, pueden predisponer a la aparición de la estomatitis. A veces, con la aparición de la estomatitis, se puede destacar una disminución de las defensas naturalmente presentes en la cavidad bucal; este déficit favorece el establecimiento y la proliferación de bacterias, virus u hongos, que pueden ejercer su acción patógena.
Estas son algunas de las causas principales por las que suele darse la aparición de estomatitis:
- Infecciones: si ocurre una infección en una herida o llaga en la boca, esta puede causar la enfermedad. La infección por el virus del herpes simple es la causa de la estomatitis herpética, más frecuente en niños menores de 6 años.
- Enfermedad sistémica: si la persona cuenta con una enfermedad que afecte a los diferentes tejidos.
- Algún tipo de irritante: puede aparecer por algún producto químico que haya dañado la boca al entrar en contacto con ella.
- Estrés o ansiedad: muchas personas no lo saben, pero los nervios o el estrés también son una de las causas para que pueda aparecer este problema bucal. Se cree que el estrés psicológico y físico juega un papel.
- Reacciones alérgicas: Ciertos elementos relacionados con el cuidado de la salud oral -como el flúor, el níquel, la menta o el mercurio- pueden dar paso a reacciones alérgicas.
- Alimentación inadecuada: Seguir una dieta sana y equilibrada es vital para que este tipo de afecciones bucales no aparezcan. Por ello, te recomendamos la ingesta de alimentos ricos en fibra y con los nutrientes básicos para el bienestar general, evitando el abuso de alimentos azucarados. Consumir alimentos particularmente ácidos o picantes o fumar puede contribuir a la estomatitis.
- Irritaciones de prótesis dentales y ortodoncia: Las prótesis dentales y los aparatos de ortodoncia pueden ocasionar incómodas rozaduras. Solicitar una limpieza profesional de las prótesis dentales. En España, el precio de este tratamiento puede variar. Sin embargo, una limpieza profesional realizada en el laboratorio dental suele costar alrededor de 80 euros.
- Tabaquismo y alcohol: El consumo de tabaco y alcohol no es bueno para nuestra salud.
- Tratamientos de radioterapia y quimioterapia: La estomatitis también puede estar causada por las terapias de radioterapia y quimioterapia, propias de los tratamientos contra el cáncer.
- Otros factores de riesgo: incluyen la boca seca y la escasez o ausencia de saliva, esencial para mantener la mucosa oral húmeda e hidratada. Por ejemplo, la levadura Candida albicans es un hongo que está presente de forma natural en el cuerpo humano y generalmente no causa daño. Sin embargo, en ciertas circunstancias puede multiplicarse exponencialmente, llevando a la candidiasis oral, que puede causar estomatitis.
Síntomas de la Estomatitis
La estomatitis puede provocar diferentes síntomas, todos ellos localizados en la cavidad oral: hinchazón, enrojecimiento, en ocasiones úlceras orales (aftas) y sangrado. Como ya hemos podido ver, la estomatitis afecta inflamando la zona bucal de distintas maneras.
Para que la identifiques es crucial conocer que puede causar y cuáles son los síntomas de la estomatitis. Hablamos de ellos a continuación:
- Aparición de más de una llaga o herida en cualquier lugar de la boca.
- Que las aftas tengan formas y tamaños muy variables.
- Dolor constante en la zona localizada en la que estén las heridas o rozaduras.
- Hinchazón en las llagas que no suele haber.
- Aparición muy continua de llagas en un corto espacio de tiempo.
- Sensibilidad.
- Dolor.
- Dificultad para tragar.
- Problemas para hablar.
- Hinchazón.
- Enrojecimiento.
Tratamiento de la Estomatitis
Antes de iniciar el tratamiento, es importante recordar que es fundamental identificar la causa específica que ha provocado la aparición de la estomatitis. Determinar cuál es la causa de la estomatitis no siempre es fácil, pero resulta de gran utilidad para iniciar un tratamiento temprano. En Clínica Dental Mediterráneo aplicaremos un tratamiento para la estomatitis personalizado, que variará en función de las necesidades de cada paciente. Es posible que sea necesaria la prescripción de medicamentos para combatir el dolor y la fiebre.
Como hemos dicho, lo primero que hay que hacer es acudir a una clínica dental. Un dentista debe evaluar el estado de la enfermedad para determinar si es más leve o más grave y el tratamiento a seguir puede ser diferente para cada persona.
Estos son algunos de los que se suelen llevar a cabo:
- Cuando se trata de una infección viral, bacteriana o por hongos, deberá administrarse una medicación concreta recetada por un profesional.
- Toma de antibióticos recetados por un médico para evitar infecciones o problemas mayores. También en ocasiones se recetan analgésicos para el dolor que causa.
- Enjuagar la boca repetidas veces en el día para evitar la sequedad y, por lo tanto, la aparición de heridas. Este puede suponer desde el uso de medicamentos que alivien el dolor, utilizar enjuagues bucales específicos.
- Evitar hasta que desaparezcan los síntomas como los alimentos demasiado picantes, muy crujientes o excesivamente calientes.
- Ingerir 2 litros de agua al día.
- No tomar alcohol ni fumar durante el proceso de curación.
- Para acelerar el proceso de curación y obtener alivio del dolor, existen tratamientos sintomatologicos locales.
- Aloe vera: principio activo utilizado frecuentemente en los productos cosméticos por sus beneficios sobre piel y mucosas.
¿Cómo Prevenir la Estomatitis?
Hay algunos consejos que puedes seguir para intentar evitar que aparezca el problema. Eso sí, hay que tener en cuenta que a veces no hay forma de evitarla y hay que llevar los tratamientos adecuados a cabo:
- Una buena higiene bucodental: lavarse los dientes 3 o 4 veces al día y la utilización de colutorios e hilo dental puede ser una de las mejores maneras de evitar que aparezca. Por lo tanto, es importante elegir una pasta de dientes adecuada para la boca y los dientes y elegir un cepillo de dientes con cerdas suaves o semiblandas. Asegúrate de continuar cuidando tu higiene bucal, que es la mejor manera de mantener tus dientes sanos y prevenir trastornos bucales como periodontitis, gingivitis y mal aliento (¡recuerda no presionar demasiado con tu cepillo de dientes!).
- Evitar alimentos y bebidas que irriten: puede parecer algo obvio, pero es uno de los mejores consejos. Si se suele tener este problema lo mejor es evitar alimentos picantes o ácidos y bebidas con mucho azúcar. Evita alimentos picantes y muy ácidos. Es posible que necesites hacer cambios en tu rutina de higiene bucal, como usar un cepillo de dientes de cerdas suaves para reducir el malestar al cepillarte los dientes.
- Alimentación saludable: contar con una dieta equilibrada hará que el sistema inmunológico esté fuerte y, por lo tanto, que sea menos probable tener infecciones en la boca.
Aunque la estomatitis es una afección molesta, pero no grave, conviene tratarla sin demora, ya que los síntomas pueden causar serios problemas en el día a día. En la mayoría de los casos, la enfermedad remite por sí misma. La estomatitis es una afección que generalmente revierte espontáneamente.

Únete a una comunidad dedicada a mejorar tu bienestar bucodental. Porque una boca sana es el inicio de un cuerpo saludable.
🌿👄 LLAGAS en NIÑOS: 10 REMEDIOS CASEROS para curar las Aftas en la boca de los niños
tags: #que #provoca #la #estomatitis